Cookie Consent byPrivacyPolicies.comPhotos travaux teinte A0 - Eugenol
Nouveau image bitmap fz77zh - Eugenol
Sethef

20/06/2021 à 13h07

Juré, au début j'avais que ça.
En fait l'histoire a commencé comme souvent, ma mère s'est pointée avec la pano, le même historique que je vous ai donné, en disant qu'il était sympa, que ça avait l'air galère et que si je voulais bien m'en occuper merci bien.

J'ai réussi à négocier qu'elle lui fasse au moins une provisoire et deux alginates puisque je pouvais pas le voir avant 3 mois, et il manquait évidemment le seul truc intéressant sur les plâtres: quel est-il?

(la 28 avait déjà sauté)


Dentiste playmobil dwolng - Eugenol
PlaieMobile

20/06/2021 à 14h07

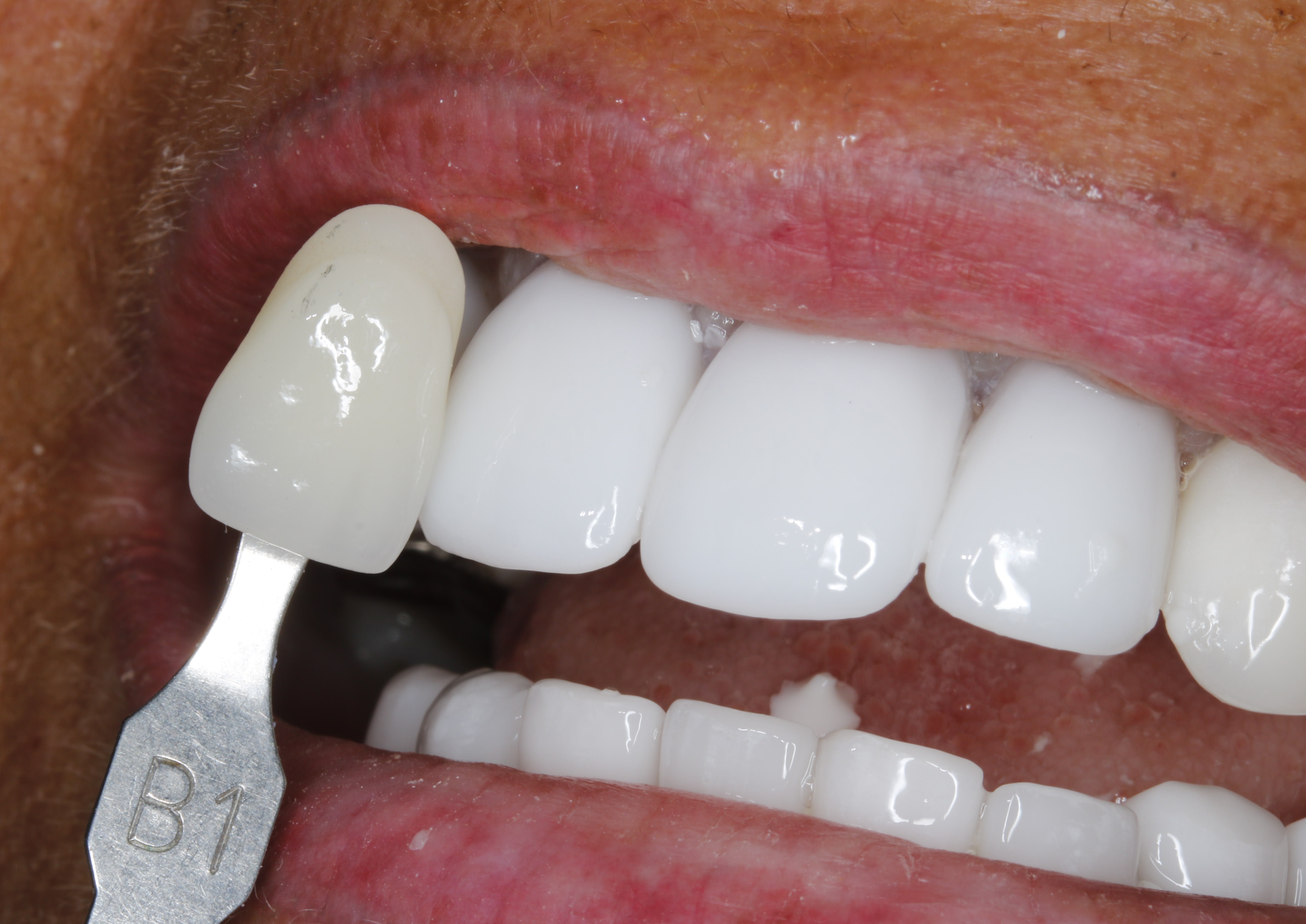
J'ai eu un patient très récemment qui a des facettes faites aux usa il y a 5 ans teinte A0 justement, de 14 à 24 et 34 à 44. Il s'est fracturé sa 21 au ras de la genciveet j'ai eu beaucoup de mal pour la teinte, c'est finalement le teintier 3D Master system plus qui a convaincu le patient avec les teintes 0M1 0M2 0M3 qui sont vraiment lavabo. Mon prothésiste a un peu halluciné mais finalement le patient était ravi. Et ma provisoire teinte A3 on aurait dit du C4 à côté


Vw campersurfvan bmnk1q - Eugenol
enlaye

20/06/2021 à 14h17

Sethef écrivait:
------
" et il manquait évidemment le seul truc intéressant sur les plâtres: quel est-il ? "
L embout de plongée :-)
Forcement la concordance des faces d usures ne pouvant se faire en totalité .


4a338550 6a5b 47ea b2a7 d3cb675c5076 oni5gh - Eugenol
𝕱𝖎𝖘𝖙𝖚𝖑𝖊

20/06/2021 à 14h38

Bin, toujours pareil, la cause, on s’en tape...
Y bruxe avec supra.
Lui c’qui veut, c’est des beaux chicots !
Bon courage...
😷🥶
https://m.youtube.com/watch?time_continue=5&v=GenPE1YlXIg&feature=emb_title


4a338550 6a5b 47ea b2a7 d3cb675c5076 oni5gh - Eugenol
𝕱𝖎𝖘𝖙𝖚𝖑𝖊

20/06/2021 à 14h45

Peut pas se passer de son truc ?
L’embout caoutchouc qui use ???
😷🥴


Nouveau image bitmap fz77zh - Eugenol
Sethef

20/06/2021 à 15h55

Non non, vraiment, pas le caoutchouc, c'est de la pure occluso.

On le reprend donc dans l'ordre:
-le bonhomme a éventuellement le tempérament à bruxer, dur au mal, bosseur, ne se plaint de rien. A part sa centrale.
-il faut un facteur déclenchant pour bruxer, un truc qui le gêne et qu'il essaie de mettre à plat.
-et comme il n'arrive pas à le régler, il reporte ailleurs, en antérieur donc.
-d'ailleurs, il n'est tellement pas supra, qu'il est plutôt en bout à bout sur ses chicots razibus. Les diastèmes se sont bien un peu accentuées il y a longtemps, mais là ça bouge plus trop.

Alors, c'est quoi qui l'emmerde?


Nouveau image bitmap fz77zh - Eugenol
Sethef

20/06/2021 à 15h57

Et venez pas me parler de remonter la dv hein, le massif facial est parfaitement conservé, et je n'ai rien fait d'autre que (2+1) réglages, puis 8 emax.


Vw campersurfvan bmnk1q - Eugenol
enlaye

20/06/2021 à 18h35

Alors je dirais prématurité s sur les couronnes du fond en fer ou en zircon . Et dans ce cas , tout a l heure quand tu as dit qu il te manquait quelque chose , ce sont des cires en centrée . Ou un mordu en centrée pour connaitre sa position d oim originale .


Vw campersurfvan bmnk1q - Eugenol
enlaye

20/06/2021 à 18h37

Sethef écrivait:
------
" Et venez pas me parler de remonter la dv hein "

Toi aussi tu commences a en avoir marre d entendre ce genre de connerie recurente à la mode ? :-))


Nouveau image bitmap fz77zh - Eugenol
Sethef

20/06/2021 à 19h01

Nan, ce qu'il me manquait sur mes alginates, c'était 17 27.
Ben oui, le problème était sur les antérieures, alors ça sert à rien d'aller lui coller de l'alginate au fond du bec.

L'histoire complète, c'est que les ferrailles du fond ont été réalisées il y a 40 ans, probablement parfaitement à l'époque. Ce sont d'ailleurs les seules à avoir conservé des pentes cuspidiennes, tout le reste a été usé comme le veut l'évolution normale.
37 et 47 ont glissé le long de la cuspide palatine de 17 et 27, puis la 34 s'est parfaitement verrouillée dans le diastème entre 23 et 24, et grince grince grince....

enlaye écrivait:
------
> Alors je dirais prématurité s sur les couronnes du fond en fer ou en zircon . Et
> dans ce cas , tout a l heure quand tu as dit qu il te manquait quelque chose ,
> ce sont des cires en centrée . Ou un mordu en centrée pour connaitre sa position
> d oim originale .


Nouveau image bitmap fz77zh - Eugenol
Sethef

20/06/2021 à 19h16

En fait, y'a que sur eugenol que je l'entends, en vrai pas trop.
Mais je l'ai déjà vu en vrai sur des PAT, le mec était pas hyper jouasse avec sa tronche de cheval.

enlaye écrivait:
------
> Sethef écrivait:
> ------
> " Et venez pas me parler de remonter la dv hein "
>
> Toi aussi tu commences a en avoir marre d entendre ce genre de connerie
> recurente à la mode ? :-))


Bebe 038 nf8eum - Eugenol
danteyeah

20/06/2021 à 21h28

37 est usée, apparemment pas 47. Plein de tartre et début Paro secteur 1. Déviation des milieux vers la gauche. Il ne mange plus à droite je suppose la 17 doit taper en distale de la 47…17 à extraire, 27 j’sais pas.
Pour le bleach ça revient bien à la mode. On m’a fait le coup dernièrement en CCM RAC0, j’ai eu la gentillesse de faire un essayage et malgré le contraste flagrant entre les 13-23 naturelles en D2 (blonde/teint clair/yeux bleus) et le 0M1, la patiente n’en démordait pas elle voulait garder ce look ! Te prends pas la tête va


Avatar transparent iqadnc - Eugenol
adhoc

21/06/2021 à 11h43

Il a une une dizaine d'années, une patiente, un teintier, un refus de A1/c1
"euh, madame, vous voulez plus blanc que blanc?"
-oui
-la par terre, vous avez des carreaux signés par le grand Jacob Delafond, est ce ca que vous voulez?
-oui
-banco, je telephone au prothesiste pour savoir si le Jacob est dans ses possibilités."

Elle a eu son dentier teinte chiottes, et l'a toujours!


Vw campersurfvan bmnk1q - Eugenol
enlaye

21/06/2021 à 12h16

le jour de la pause du bas , "faut refaire le haut pcq c est un scandale ce gris , je ne paye pas pour du gris "

 mg 0771 m11anr - Eugenol

Vw campersurfvan bmnk1q - Eugenol
enlaye

21/06/2021 à 12h18

pas de pb ma princesse . et voilà suis l inventeur du full @max à tres tres tres cher :-))

 mg 1272 fjokrf - Eugenol

Nouveau image bitmap fz77zh - Eugenol
Sethef

21/06/2021 à 12h22

Mais qué misère.


Screenshot 20190204 160354 2 ookelm - Eugenol
Arsénieux

21/06/2021 à 14h54

Qué Cagole !


Bebe 038 nf8eum - Eugenol
danteyeah

21/06/2021 à 17h42

enlaye écrivait:
------
> pas de pb ma princesse . et voilà suis l inventeur du full @max à tres tres tres
> cher :-))
Au moins tout est refait pareil, c.est blanc mais homogène.
Mais comment peut-on me valider le contraste D2/OM1 du cas décrit plus haut. Elle reste persuadée que.après un blanchiment ça s.équilibrera……pas moi, mais ce n.est plus mon pb !

Bb8b3d18 b71d 4c57 8e7c 38b67ee3c436 pcyz8h - Eugenol

Vw campersurfvan bmnk1q - Eugenol
enlaye

21/06/2021 à 19h34

Arsénieux écrivait:
---------
" Qué Cagole ! "

en principe ça se passe en 3 temps
1 elle investit dans une paire de nichons de qualité
2 ce qui lui permet de trouver un guignol
3 qui lui paye les dents bien blanches , au moins au même prix que les nichons .
ce qui lui fait faire une opération blanche .


4a338550 6a5b 47ea b2a7 d3cb675c5076 oni5gh - Eugenol
𝕱𝖎𝖘𝖙𝖚𝖑𝖊

21/06/2021 à 20h03

On parle de moi !!!
😷😜


Nouveau image bitmap fz77zh - Eugenol
Sethef

24/06/2021 à 21h01

Message du prothésiste:
"votre jacob delafon sera dans la boîte demain matin."

Y'a plus de respect.


12