Cookie Consent byPrivacyPolicies.comGrêlé - Eugenol

Grêlé

wind57

26/07/2021 à 10h00

les anomalies de l'email du aux phosphates au maroc donne un email marron mais lisse ce qui n'est pas le cas ici


Faut arrêter avec le Maroc les gars.

D'autant plus que l'auteur du fil a déjà précisé que la patiente est ch'ti, à moins qu'elle ait fait une connerie jadis, a du aller manger un tajine chez Mouloud et là ... le drame, toutes les dents flinguées.
Faut dire aussi qu'avec leurs épices à la con faut pas s'étonner après si on a des problèmes.

Sont cons ces ch'tis.


Mm goodteeth2 ex0rr1 - Eugenol
Jules

28/07/2022 à 12h32

bill écrivait:
----
> :-)
> Oui, j'ai tout lu, c'est ce que je disais dans mon post du 12/07, probable
> amélogénèse imparfaite...
> Ce que j'aimerais c'est que Jules, s'il a la réponse, dise si les lactéales
> étaient touchées de la même façon et si frères et sœurs ou parents ont la même
> chose ?
> Bon, je radote...
>
> --
> https://docudent.fr
> Tous les documents du cabinet dentaire
> & l'aide à la cotation du Reste à Charge 0
> ________________________________________

Salut Bill,
Les patientes ne se rappellent pas pour les lactéales...
Et oui, "les" patientes, puisque j'ai vu également sa soeur (non jumelle) avec exactement la même amélogénèse imparfaite.
Je suis les parents depuis quelques années, RAS de leur côté.


Blue eye thumb medium dx1i0w - Eugenol
bill

28/07/2022 à 18h18

Hello Jules,
merci pour le retour.
La patience est toujours récompensée sur eugénol... ;-))


--
https://docudent.fr
Tous les documents du cabinet dentaire
& l'aide à la cotation du Reste à Charge 0
________________________________________


Mm goodteeth2 ex0rr1 - Eugenol
Jules

05/08/2022 à 08h18

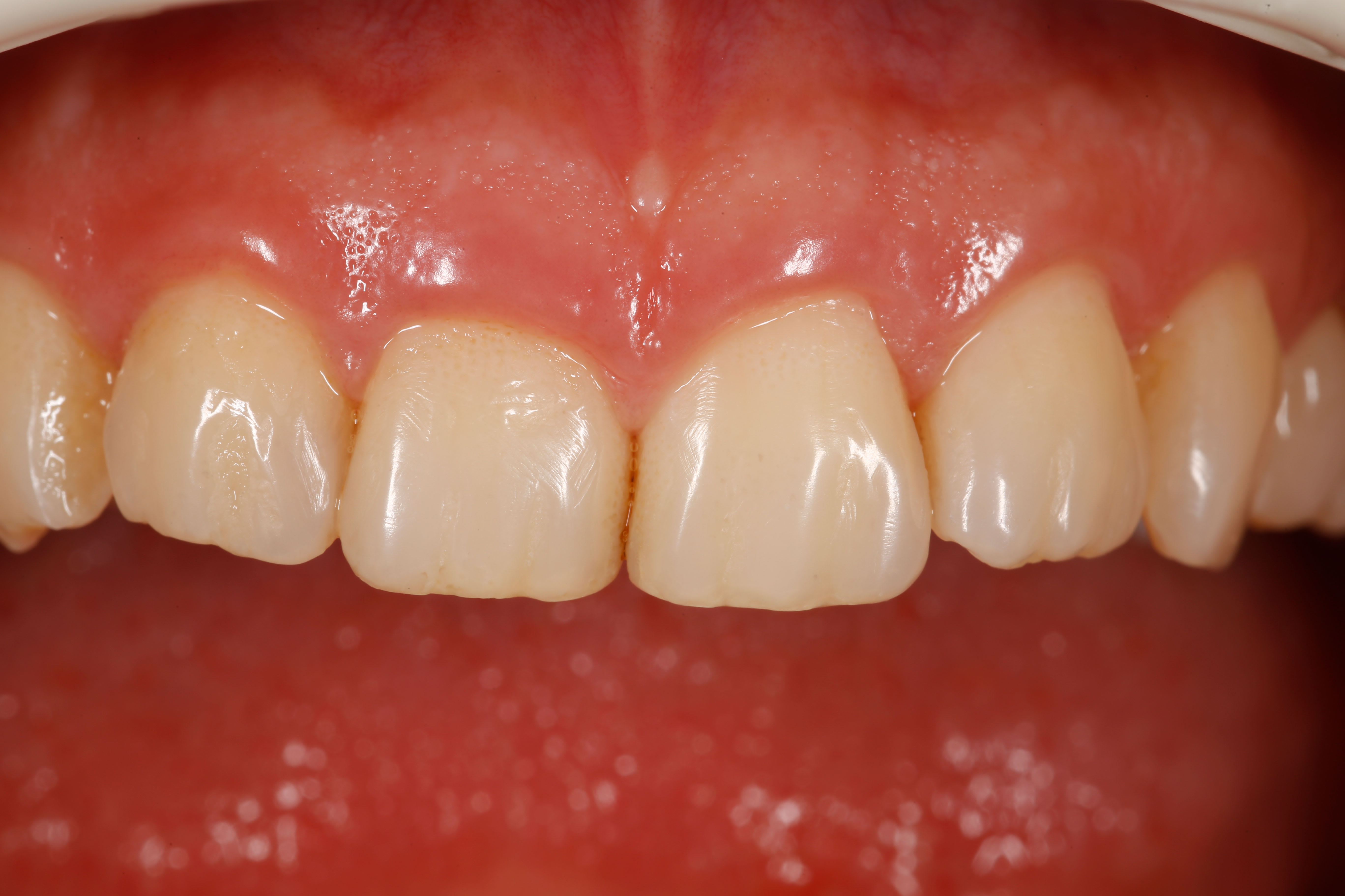
Petit retour en photos pour vous remercier de tous vos avis :)

Impossible de me résoudre à passer ces deux patientes au taille crayon, en tout cas, pas en plan A... Les patientes ont la quarantaine, on aura le temps plus tard de passer sur des couronnes si besoin. Les points de contacts postérieurs, même a priori compromis par les rugosités des irrégularités amélaires sont généralement indemnes. L'HBD est bonne voire excellente.
Je suis du coup parti vers un boulot au compo, sous digue en divisant les arcades en 3 séances chacune : digue, air-abrasion Rondoflex, et remplissage des lacunes amélaires avec un mélange de compo flow injectable et de carpules classiques.

Bonne fin de semaine et très bon week-end à tous !

Nnnyv0uo58zyqxvp2bxqdmvyrjc4 - Eugenol
R7akihvvunfrxpo2bpwwylpgriw5 - Eugenol
Qol8xaqgsy0ocual3sdih71hwzqj - Eugenol
Elnxty4p9l41l5a9sufumtzw76qq - Eugenol

Mm goodteeth2 ex0rr1 - Eugenol
Jules

05/08/2022 à 08h18

Et la grande soeur idem :)

Kdugc7chycpgnlzcanvbzbjonigh - Eugenol
0unvncelt0lxptxgypufy2v2o0n1 - Eugenol
J09sx8eo8hl35bnbxkgbye5f1oem - Eugenol
Zki4lcxa2atug16wr2pky1j57rco - Eugenol
Ce6domuz61le9jn4rsd9z49aqgwb - Eugenol

Et7jtaj0pdi18gzjlxjiamlx15gs - Eugenol
Prunelles

05/08/2022 à 10h30

Beau travail !
J'aurais probablement réalisé la même chose, mais je ne suis pas certain que sur le long terme cette solution soit idéale.
Est ce que tu as envisagé le collage de facettes ?


Mm goodteeth2 ex0rr1 - Eugenol
Jules

05/08/2022 à 10h47

Prunelles écrivait:
---------
> Beau travail !
> J'aurais probablement réalisé la même chose, mais je ne suis pas certain que sur
> le long terme cette solution soit idéale.
> Est ce que tu as envisagé le collage de facettes ?

Merci !

A vrai dire moi non plus, je ne suis pas certain ! Les seuls traitements que j'ai trouvé décrits étaient tous à base d'eMax partout.... Et ce n'est pas non plus aberrant, les faces palatine/linguales et proximales étant toutes concernées...
Les facettes j'aurai eu un résultat esthétique probablement plus pérenne, mais comme les patientes ont une bonne hygiène, j'ai globalement peu de besoin de repolissage à moyen/long terme.
Un énorme plus qui m'a fait choisir le compo, c'est la facilité et la rapidité de réintervention/réparation si besoin.

Et si c'est un des boulots les plus gratifiants des dernières années pour moi vu les sourires que me font ces deux patientes maintenant, je vais quand même les revoir régulièrement pour checker le reste.

Vrrz3laccrr7r4xr4vi1tfxo4nqc - Eugenol

Blue eye thumb medium dx1i0w - Eugenol
bill

05/08/2022 à 11h09

Oui super boulot, gratifiant pour toi et surtout pour les patientes.
Et puis le gradiant thérapeutique... plus tellement à la mode mais quand même la base de notre job, enfin il paraît...
[mode vieux c.... off]
Et merci pour le suivi du post, dommage pour ceux qui ont abandonné eugenol avant... 🤣


--
https://docudent.fr
Tous les documents du cabinet dentaire
& l'aide à la cotation du Reste à Charge 0
________________________________________


12