Cookie Consent byPrivacyPolicies.comAccord à l'amiable - Eugenol

Accord à l'amiable

Copilot daqhpp - Eugenol
thebenj87

08/09/2021 à 22h54

Bonjour à tous
J'aimerais bien avoir un avis.

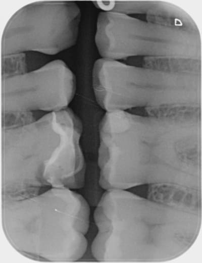
Un patient est revenu plusieurs fois après la pose d'une couronne, pour cause de douleurs à la percussions cette dent.

Je ne sais pas pourquoi mais je me suis entêté à penser que c'était l'occlusion.

C'était le mv2 que je n'avais pas trouvé et qui s'était infecté.

Endo en février, patient revenu en avril, juin et juillet. A chaque fois je corrigeais l'occlusion et satisfait de moi je le laissais repartir. Je pense qu'il était très occupé ou ne voulait pas me déranger mais je n'avais plus de nouvelles jusqu'au mois prochain.

Bref il est allé voir un confrère et me réclame 650 euros à l'amiable. J'ai bien envie de le payer ....

Ubscifq7m0vmd9gvxsmt - Eugenol
Ta9zg4rcvw1f8cy8kmwb - Eugenol
O1gavixqzzlzladiph6t - Eugenol

RépondreCiter
220px don camillo4 qrcfhs - Eugenol
camillo

09/09/2021 à 07h55

Surtout pas!!!
Il peut être tentant de se débarrasser du pb. Mais si tu payes tu reconnais être en tort avec les conséquences futures que ça pourrait avoir...

Je te conseille de vivement de confier cela à ta RCP....que tu payes pour cela!


moritooth

09/09/2021 à 10h14

Sous quelle forme est formulée la demande du patient?(oral, LRAR, mail..) Comment a-t-il calculé le montant de 650€ ?(avocat...). Qu'entend-il par "à l'amiable" ? ( entre vous, au CO...).

Il y'a une procédure a vraiment respecter dans ce genre de problème. Donc comme camillo, je te conseille de ne rien payer dans la précipitation, et selon les réponses aux points ci-dessus de contacter ta RCP.


Copilot daqhpp - Eugenol
thebenj87

09/09/2021 à 10h27

Merci beaucoup pour vos réponses. Je ne poste jamais sur eugenol mais je sais que je peux compter sur la solidarité en cas de coup dur.

Il m'a envoyé un mail me demandant les 650 euros (ccm + provisoire) par virement j'imagine ou alors qu'il allait engager touts les moyens à sa disposition (il travaille dans le juridique et les litiges).

Mon premier instinct il est vrai est de me débarrasser de tour ça en payant.

Je vais suivre vos conseils et contacter ma rcp et on m'a conseillé de me rapprocher d'un syndicat.

Merci encore pour la solidarité !


moritooth

09/09/2021 à 10h39

Si dès la première demande, il y déjà la grosse menace d'intimidation, alors surtout ne rien payer sans un conseil juridique spécialisé. Tu lui réponds que tu confie le dossier à ta RCP, qui prendra contact avec lui, et que pour toi ça s'arrête là.
Beaucoup y vont à l'intimidation, et se calment vite quand ils comprennent que ça va être moins simple pour eux de te soutirer quelques billets.


Hok 1b hgd3rj - Eugenol
Hokusai

09/09/2021 à 10h48

Aléa thérapeutique... Bonne journée.
La dent n est même pas perdue puisque un endo spé peut la récupérer... Aucun préjudice.

Si son assurance maladie ne rembourse pas les frais du spécialiste c est un pbm entre lui et son assurance.


eugeneol

09/09/2021 à 10h59

quel alea ? revois sa demande :

" un mail me demandant les 650 euros (ccm + provisoire) "

cela ne correspond en rien a un aléa, la dent était à coiffer dans tous les cas de figures, mv2 ou pas.
Sa demande est inadaptée et prouve bien qu'il, soit très mal conseillé, soit malhonnête.


Hok 1b hgd3rj - Eugenol
Hokusai

09/09/2021 à 11h01

eugeneol écrivait:
--------
> quel alea ?

L échec du traitement endodontique.
Tu lui réponds que ça arrive.

Par contre, j espère que tu as une radio per OP crampon en place... Sinon c est une faute. Et la c est une autre histoire.


Et7jtaj0pdi18gzjlxjiamlx15gs - Eugenol
Prunelles

09/09/2021 à 11h02

Par hasard, ce qu'il te demande de rembourser c'est pas plutôt la CCM que tu as "détruit" au fur et à mesure des corrections occlusales ?


Pubg2 rjl8jc - Eugenol
lemondestvaste

09/09/2021 à 11h34

Dans tout les cas, réponse par courrier, "je ne peux procéder à aucun remboursement en l’état. Je constitue un dossier auprès de ma RCP qui prendra contact avec vous". Point barre fermer le ban.


Copilot daqhpp - Eugenol
thebenj87

09/09/2021 à 11h36

Merci encore une fois de vos réponses vous êtes au top (je me répète).

Ce qu'il me reproche c'est qu'il est venu plusieurs fois pour des douleurs après la pose de la couronne, en se plaignant de douleur et que j'ai posé un diagnostic erroné.

Et qu'il a du voir un collègue pour avoir un bon diagnostic (ce n'est pas pour me justifier mais j'ai persévéré dans mon erreur car après chaque retouche occlusale, il se disait soulagé ,ce qui semble logique à postériori, et que je n'avait pas de nouvelles avant quelques semaines. Dans ma mauvaise logique ,si il ne se plaint pas directement dans les jours qui suivent, c'est que la diagnostique est bon).

OP a mis la digue mais se disant que avec reciproc et localisateur d'apex il n'avait pas besoin de radio per op.




Pubg2 rjl8jc - Eugenol
lemondestvaste

09/09/2021 à 11h38

Roooo le vieux mail de menace ... "Il m'a envoyé un mail me demandant les 650 euros (ccm + provisoire) par virement j'imagine ou alors qu'il allait engager touts les moyens à sa disposition (il travaille dans le juridique et les litiges)."


doc.yoyo

09/09/2021 à 11h47

Attention à ne pas trop faire intervenir la RCP, car l'assureur peut rapidement te virer au 2ème sinistre (un ami a eu le cas avec la MACSF). Il est peut-être plus judicieux qu'il porte plainte au conseil de l'ordre, celui-ci ordonnera une conciliation ou effectivement tu lui feras un chèque de 650 € mais le patient signe un document ou il renonce à toute poursuite et le dossier est clos


Hok 1b hgd3rj - Eugenol
Hokusai

09/09/2021 à 11h50

Totalement d accord avec doc.yoyo


Copilot daqhpp - Eugenol
thebenj87

09/09/2021 à 12h10

Et zut je viens d'appeler la rcp et j'ai donné les coordonnées de la rcp au patient. C'est une mauvaise idée vous pensez ? C'est quoi cette histoire de 2ième sinistre. Purée, c'est pas instinctif tout ça.


TA2

09/09/2021 à 12h18

Tant que nous ne savons pas à quoi correspondent les 650 balles , difficile de se prononcer .

Réfection de la couronne après dépose ?
Honoraires d’un endo exclu ?
Indemnité pour préjudice ?


Vw campersurfvan bmnk1q - Eugenol
enlaye

09/09/2021 à 12h49

TA2 écrivait:
---
" Tant que nous ne savons pas à quoi correspondent les 650 balles , difficile de se prononcer ."
eh eh c est ça , tjs bien ciblé les réponses à TA2 :-)

et puis il y a quand même un truc qui ne va pas dans ces règlements de litiges .
le gonz te demande 650 boules , pcq le dentiste lui a demandé 650, non remboursable , je suppose , mais ce n est qu un devis , qui dit lui à l avance qu il saura résoudre son problème APRES avoir encaissé les 650 ?? :-))
trop facile


MF12

09/09/2021 à 18h22

650 euros : Il a bien pensé à déduire le montant de la sécurité sociale et le montant de la mutuelle ?


nicolive

10/09/2021 à 18h18

Bonjour.
Très franchement tu as bien fait de prévenir ton assurance RP.
La non obturation d' un canal peur arriver à tout praticien . Mais si cela se termine par une extraction (même les endos exclusifs ont un pourcentage d echecs ) un remboursement avec solde de tout compte n aura aucune valeur juridique.
On a tous fait une erreur diagnostic dans notre carrière et notre assurance est faite Pour cela.
Une fois le sinistré déclaré tu es couvert.
Passe un bon weekend.


Hok 1b hgd3rj - Eugenol
Hokusai

10/09/2021 à 18h21

nicolive écrivait:
--------
> Bonjour.
> Très franchement tu as bien fait de prévenir ton assurance RP.

Comme ça tu dégrades ta note chez ton assureur pour rien. Mauvaise idée.


Vw campersurfvan bmnk1q - Eugenol
enlaye

10/09/2021 à 21h28

Au final les tarifs de diamantaires des endos exclusifs font monter les cotisations des polices d assurances .


yobi

13/09/2021 à 10h29

Il faut que le patient demande une conciliation au niveau du conseil de l'Ordre .
le remboursement se fait après la conciliation , sur le PV de conciliation le patient signe comme pour toutes les conciliations ordinales qu'il renonce à toute action contre toi et le dossier est définitivement clos .
Si tu règles sans passer par l'Ordre le patient pourra ensuite te demander de rembourser un implant si la dent lâche.


--
YOBI


Copilot daqhpp - Eugenol
thebenj87

13/09/2021 à 10h59

Live and learn comme on dit en perfide albion. Je vous ferais un petit post pour vous dire l'évolution et partager mes connaissances.


Hakuna matata

26/03/2024 à 08h51

thebenj87 écrivait:
---------
> Live and learn comme on dit en perfide albion. Je vous ferais un petit post pour
> vous dire l'évolution et partager mes connaissances.
------------------------------------------------------

Et quelle fût la suite?


Capture d  cran 2015 03 12 12.28 - Eugenol
chicot29

26/03/2024 à 09h00

thebenj87 écrivait:
---------
> Merci beaucoup pour vos réponses. Je ne poste jamais sur eugenol mais je sais
> que je peux compter sur la solidarité en cas de coup dur.
>
> Il m'a envoyé un mail me demandant les 650 euros (ccm + provisoire) par virement
> j'imagine ou alors qu'il allait engager touts les moyens à sa disposition (il
> travaille dans le juridique et les litiges).
>
> Mon premier instinct il est vrai est de me débarrasser de tour ça en payant.
>
> Je vais suivre vos conseils et contacter ma rcp et on m'a conseillé de me
> rapprocher d'un syndicat.
>
> Merci encore pour la solidarité !
>
Il va discuter avec ses confrères de ta RCP. Ils vont finir par s'entendre. Tu lui a dis qu'il avait eu du bol de trouver encore un dentiste gratuit pour lui faire son endo au tarif sécu à 2 balles ? La prochaine fois ca sera direct endo exclusif. Surtout ne te mine pas pour ça laisses venir et transmets à ta RCP ses griefs.


--
Dentiste qui en a plein le cul.


12