Cookie Consent byPrivacyPolicies.comWhat Implant Is That ? - Eugenol

What Implant Is That ?

billabong

22/11/2021 à 23h11

Bonjour,

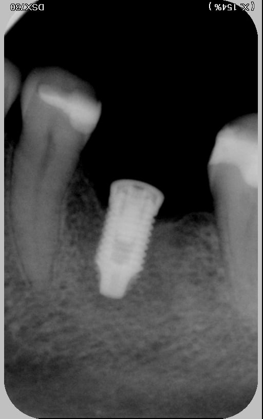
Cet implant posé en Amérique, vous dit-il quelque chose ?
Le but est de trouver un système compatible pour pouvoir le restaurer.

J'ai essayé sur le site watimplant isthat mais rien de concluant!

Merci pour vos propositions !

Swwe7xk5vyuw7f7g4n5prdlbkgh4 - Eugenol

Photo pluton1b h9n4ea - Eugenol
pluton

22/11/2021 à 23h15

Nobel, connexion hexagone externe


billabong

22/11/2021 à 23h35

Amen!!

:) Merci


vernal

23/11/2021 à 10h06

4 minutes à 23h11 !!!
Plus rapide que le remerciement de billabong !
Pluton n'est pas humain !!!


Photo pluton1b h9n4ea - Eugenol
pluton

23/11/2021 à 13h26

Si si…..tu peux me rencontrer en chair et en os…voir échanger lors d’une grosse chir avec posit par exemple….normalement j’en ai une prévue pour le 22 février prochain…


billabong

23/11/2021 à 13h42

Ce sera avec plaisir!!
ça se passe dans quelle coin ?


billabong

23/11/2021 à 13h42

Que Dis-je ?

Ce sera un Honneur !


vernal écrivait:
------

> Pluton n'est pas humain !!!

Ben normal, c'est soit une planète, naine quand même alors qu'il la ramène pas trop, soit un dieu, bon des enfers, genre culot de promo, alors qu'il la ramène pas trop non plus.
Bref pas comme nous ce gus-là.


Photo pluton1b h9n4ea - Eugenol
pluton

23/11/2021 à 20h29

billabong écrivait:
---------
> Ce sera avec plaisir!!
> ça se passe dans quelle coin ?

en pleine bourgogne, mais le TGV facilite l'accessibilité...;-))
en mp si tu veux plus d'infos...