Cookie Consent byPrivacyPolicies.comCas cliniques - Eugenol

Cas cliniques

Kht70vu984bqh4e0fr5mbwyvx58g - Eugenol
peterbondra

24/11/2021 à 10h01

Hello,

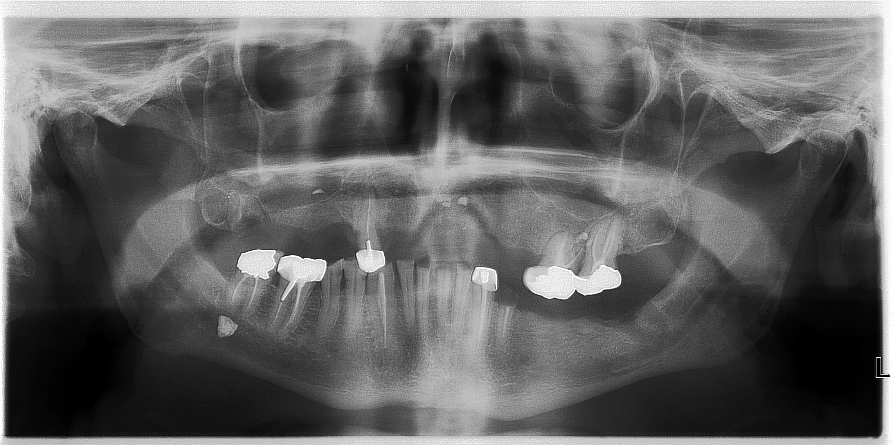
Nouveau patient sympa qui vient au cab car son stellite haut "on voit plus les dent de devant" et "tient plus trop".
La 13 est mobile.
Les dents mandibulaires ne sont pas mobiles, ni sensibles.
Comme vu à la radio, grosse perte de DV.
Vous feriez quoi?

Merci!

Kcfvc375qxul1ciefjo1c1apth00 - Eugenol

Et7jtaj0pdi18gzjlxjiamlx15gs - Eugenol
Prunelles

24/11/2021 à 10h29

Tu l'envoies chez Posit.


rat

24/11/2021 à 10h56

Je fais un complet en haut et un stellite en bas après avoir enlevé tout ce qui est douteux (43.45.34 au minimum)


Pourquoi enlever 43.43 et même 35 (à voir) ? couronne RAC 0 avec 47 en prime.


vernal

24/11/2021 à 11h41

Qu'est-ce que c'est sous la 47 ? Est-ce dans le canal alvéolaire ou est-ce parotidien (peu probable) ?
La demande est implantaire ou amovible ?


Et7jtaj0pdi18gzjlxjiamlx15gs - Eugenol
Prunelles

24/11/2021 à 12h07

vernal écrivait:
------
> Qu'est-ce que c'est sous la 47 ?

Lithiase salivaire ? Mais ca me semble trop haut par rapport au plancher.


Capture d  cran 2015 03 12 12.28 - Eugenol
chicot29

24/11/2021 à 15h11

C'est quoi ce pano merdique non indiqué ? ( attention indu). -)))))
Non avec des antécédents de soins intensifs et une maladie dentaire diffuse c'est un status complet qu'il faut pour y voir clair. Agrémenté d'une empreinte 3 D pour mater l'occlusion. Demande du patient : "j'aimerais bien qu'on me refasse les dents de devant.".



--
Dentiste qui en a plein le cul.

5x2oiidslygcywhuu2i3241594m3 - Eugenol
Cvveh6sks7m8fmw7woghlt7ztf9s - Eugenol
Yafpnqbw4nqv5j6i7kouztyroft0 - Eugenol
Mngbjnb0yoe46guevp2apo614ua6 - Eugenol
R1044v97syj3ty0flclfjpxkl61v - Eugenol
Eydf84flzsdev9zj7ru3se12kv4m - Eugenol
1cdgpyie8kcbyi2vfv3q5t7belzs - Eugenol

RépondreCiter
Et7jtaj0pdi18gzjlxjiamlx15gs - Eugenol
Prunelles

24/11/2021 à 15h16

Chicot, tu cotes combiens de rétros dans ton statuts quand tu as fait 23 clichés ?


Capture d  cran 2015 03 12 12.28 - Eugenol
chicot29

24/11/2021 à 15h21

12 secteurs. C'est le secteur qui compte.


--
Dentiste qui en a plein le cul.


Capture d  cran 2015 03 12 12.28 - Eugenol
chicot29

24/11/2021 à 15h23

Je suis désolé mais mon conseil de l'ordre m'impose de vous faire un calage postérieur correct. C'est 500 balles l'étude de cas ( parceque là c'est un peu le bordel) , juste pour voir. Non remboursé.-))))


--
Dentiste qui en a plein le cul.