Cookie Consent byPrivacyPolicies.comERI - Eugenol

ERI

quenotte69

16/12/2021 à 15h45

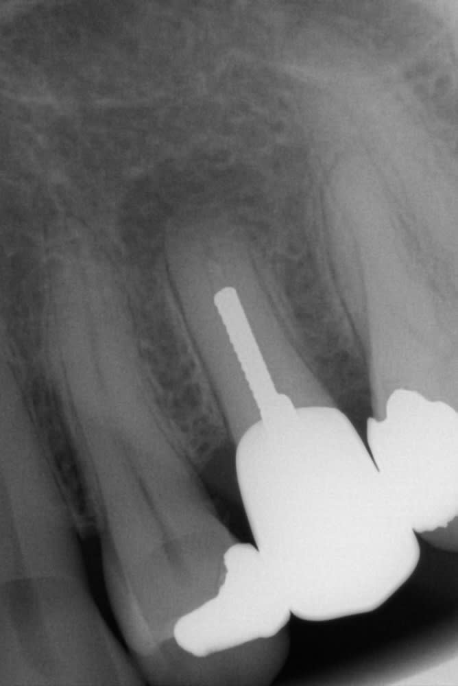
bonjour,
je ne poste que très rarement mais je tiens a remercier la communauté et particulièrement Enlay pour les explication s sur les ERI.
je viens de le réaliser pour la première fois sur un de mes patient et j attends avec impatience la suite pour voir l évolution.
Ce patient avait une grosse infection sur la 25 et malgré plusieurs séance d hca cela ne cicatrisait pas. j, ai donc décidé avec lui de tenter une ERI.
je posterai la suite des radio pour vous monter l évolution de la cicatrisation.
merci...

Nac93wayix3wkk31fg9rtxwd0dzn - Eugenol
Tku7smbajzsobno8ev15rwegy5z8 - Eugenol
0mvptplorbas84gj3rtyj4hqs8a7 - Eugenol
P5rx9tqjwzofc6y3txxvc8wa4ioz - Eugenol
Vacfiill0d29owchluasoh0h9zk2 - Eugenol

Vw campersurfvan bmnk1q - Eugenol
enlaye

18/12/2021 à 17h23

Sympa ton message .
Figures toi que je viens de recevoir d un copain qui est au Canada sa CCAM et ses tarifs associés .
Quand je pense que ERI fut un terme inventé sur eugenol , par Vulpi si ma mémoire est bonne ....
Comme quoi eugenol porte loin :-)

J6qieguwuee668girt5f5c90drl5 - Eugenol

mole

18/12/2021 à 20h37

reimplantation intentionnelle dent à trois racines : ERI de champions.
détail annexe 1 dollar canadien = 0,69€


Blue eye thumb medium dx1i0w - Eugenol
bill

18/12/2021 à 23h25

On a quand même l’inventeur de la méthode sur eugenol, vont pas nous piquer ça les cousins... 🤔


--
https://docudent.fr
Tous les documents du cabinet dentaire
& l'aide à la cotation du Reste à Charge 0
________________________________________


Avatar transparent iqadnc - Eugenol
adhoc

20/12/2021 à 16h16

Canada-efficacité anglo saxonne 34451 : 1 racine 34452 : 2 racines 34453 : 3 racines
France-CNSD-les CDF-enarques 4racines : hbgd489 5 racines : hbgd 497 6 racines : hbgd106

No comments


quenotte69

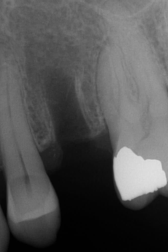
31/05/2024 à 17h50

bonjour,
voici la radio de contrôle du patient a 2 ans.

Dzl44yeejuku0k28w2s9wvsqsrru - Eugenol

Hok 1b hgd3rj - Eugenol
Hokusai

31/05/2024 à 17h51

c est tres beau... mais j aurais quand meme mis un implant ;)


Rape p0as4f - Eugenol
rapelapente

31/05/2024 à 18h35

Excellent.
Mais j'aurais juste fait un curetage péri-apical simultanément avec l'endo.



--
Schooner For Ever


Dentarue

31/05/2024 à 18h38

Juste un curetage, juste un lambeau, l’eri semble ici juste plus simple. Mais ce succès est-il la règle ?


Ylfwcw979cz1jnx9gfqeaxndiuzk - Eugenol
Algi

31/05/2024 à 18h57

Une dizaine depuis qu'on en a parlé.
Aucun echec sur monoradiculées.
Par contre pas top pour molaires mais foutu pour foutu...
Première début mars 2020... Et patiente confinée avec nous.... Revue qu'en juin sans aucun contrôle et avec provisoires bricolés.
Ben ça a marché.
Bref quand on a le choix entre extraire et tenter pourquoi pas tenter


--

On a toujours le choix mais entre quoi et quoi?
Vas-y boulégue et l'avenir te le dira!


Et7jtaj0pdi18gzjlxjiamlx15gs - Eugenol
Prunelles

01/06/2024 à 09h27

Question de jeunot inexpérimenté : Comment tient la dent réimplantée ?


Ylfwcw979cz1jnx9gfqeaxndiuzk - Eugenol
Algi

01/06/2024 à 16h52

Quasi a chaque fois je la réinsére dans son alvéole et c'est tout.
Souvent il y a un provisoire et je fais en sorte qu'il soit stable mais sans plus le bloquer que ça.



--

On a toujours le choix mais entre quoi et quoi?
Vas-y boulégue et l'avenir te le dira!


Dentarue

01/06/2024 à 19h28

Ok merci, perdu pour perdu je garderai ça dans un coin de ma tête.


Bkrn47s83sbteqas8ocnwc4tsmqu - Eugenol
éponge magique

01/06/2024 à 19h30

Dentarue écrivait:
--------
> Ok merci, perdu pour perdu je garderai ça dans un coin de ma tête.

Tu te mettrais donc au tactacboumboum ?


Vw campersurfvan bmnk1q - Eugenol
enlaye

01/06/2024 à 19h54

Faut pas dire perdu pour perdu pcq cela donne une connotation péjorative, du genre on enlève une merde pour remettre une merde .
un travail indigne aux vues de certains ce qui n est pas totalement faux.

Là où c est intéressant, c est quand il n y a pas de pb d endo , et que tu le fais quand même .
Par exemple pour faire l équivalent d une élongation coronaire ou encore favoriser la fabrication d'os en vue d une future pose d implant.
Et en plus cela évite toute négociation avec un endo .
Tac tac badaboum .


Chris

01/06/2024 à 20h36

Dentarue écrivait:
--------
> Juste un curetage, juste un lambeau, l’eri semble ici juste plus simple. Mais ce
> succès est-il la règle ?

Non effectivement privilégier systématiquement la dépose de l’inlay core et le retraitement. Et penser qu’un patient procédurier pourrait causer bien des problèmes….


Dentarue

01/06/2024 à 21h50

Perdu pour perdu…


Vw campersurfvan bmnk1q - Eugenol
enlaye

02/06/2024 à 11h54

Avoues quand même que c est une idée de génie pour la recherche endodontique.
et toi quelle idée tu as eu pour faire évoluer ta discipline d amour ?


Dentarue

02/06/2024 à 17h33

Je crois que tu te prends pour un autre.
Il y a des a choses qui ne se partagent pas avec des inconnus 😘


Dentarue

03/06/2024 à 11h16

Mais quel hasard !
Je dis à la patiente que ça n’est pas jouable, elle me répond qu’à Bretonneau ils ont les compétences ☝️
ERI


Blue eye thumb medium dx1i0w - Eugenol
bill

03/06/2024 à 12h09

Il faut te recycler.
Tu devrais aller faire un petit stage chez le professeur Enlaye…. 😎



Rape p0as4f - Eugenol
rapelapente

03/06/2024 à 12h38

Sur une 47, j'aimerais bien voir ça...
Évidemment pas de curetage péri apical possible donc pourquoi pas ?
Mais il faut être sacrément bon à l'extraction.


--
Schooner For Ever


Vw campersurfvan bmnk1q - Eugenol
enlaye

03/06/2024 à 14h48

Tiens , il y a des parisiens qui se prennent pour des varois ?


Vw campersurfvan bmnk1q - Eugenol
enlaye

03/06/2024 à 14h55

Mais s ils étaient varois ,ils auraient fait un meilleur diagnostic et ils n' auraient pas dégainé l eri si vite .
Migraines et pb sur 37 et 47 , faut d abord penser à un pb occlusal .
Si l on est pas capable de résoudre en 1 séance le pb par meulage , il n y a pas de raison que l eri ou un tt rétrograde fonctionne en remettant une couronne pipée du même acabit.


Vw campersurfvan bmnk1q - Eugenol
enlaye

03/06/2024 à 14h57

bill écrivait:
----
Il faut te recycler.
Tu devrais aller faire un petit stage chez le professeur Enlaye…. 😎

:-)))


12