Cookie Consent byPrivacyPolicies.comPrésidentielle - Eugenol

Présidentielle

Utilisateur banni

08/04/2022 à 08h33

Hokusai écrivait:
-------

> Votez pour le candidat le plus a même de mener les réformes nécessaires a la
> survie de ce pays... les maux de ce pays c'est quand même pas des diagnostics
> compliqués.

c'est pas toi qui te ventais de ne jamais avoir gagné autant d'argent qu'avec le R0 ?

c'est quoi le R0, un pensement social mis en place par les arnaqueurs institutionnalisés pour profiter encore d'un système en perdition ?

c'est ton champion le quoi qu'il en coûtiste qui vas payer la dette avec une croissance imaginaire alors que la pénurie et l'inflation débute ?

----------------------------------

Hokusai écrivait:
-------

> perso je veux bien qu'on taxe d'avantage mon usage de microsoft... c'est juste
> un impôt.

C'est ce mécanisme qui permet de financer l'état en prélevant taxe et charge sur le bénéfice commercial et toi tu es pour que les GAFAM s'y substitue par des règles comptables.
C'est pourtant simple à comprendre ?


P2eqdh3csim6s7nb09ktdq3e7ev8 - Eugenol
barbabapat

08/04/2022 à 09h01

Hokusai écrivait:
-------
> barbabapat écrivait:
> ----------
> > La question des gafam est aussi une question de non application de la
> > législation et de la régulation des entreprises en position de monopole et
> > d'abus de position dominante.
>
> la question des gafam c'est plutôt l'absence d'alternative... regarde chez nous,
> comment je peux me passer de microsoft ? je refais des empreintes physiques ?
> des radio argentiques ?? des dossiers patients papier?
> perso je veux bien qu'on taxe d'avantage mon usage de microsoft... c'est juste
> un impôt.
>
> Y'aura jamais de reforme en France, personne ne consentira à l'effort que cela
> nécessite. Ca continuera juste a s'étioler.

Pour consentir à quelque chose, il faut avoir l'impression d'être acteur de la chose. quand tu fais l'amour à ta femme, tu lui demande son accord.

Pour ce qui est de Microsoft, le problème est que les éditeurs tiers n'ont pas intérêt à investir dans des solutions alternatives type linux sauf pour eux même au niveau des serveurs.


Hok 1b hgd3rj - Eugenol
Hokusai

08/04/2022 à 10h20

posit écrivait:
-----
> Hokusai écrivait:
> -------
>
> > Votez pour le candidat le plus a même de mener les réformes nécessaires a la
> > survie de ce pays... les maux de ce pays c'est quand même pas des diagnostics
> > compliqués.
>
> c'est pas toi qui te ventais de ne jamais avoir gagné autant d'argent qu'avec le
> R0 ?

t'es vraiment obnubilé par le pognon... des autres.
Yobi nous avait expliqué que le rac0 cartonne.... c'est pas vraiment ma faute.
Apres la solvabilisation des patients a tres forte demande de soin est bien évidemment une aubaine pour les cab ruraux a petits honoraires... ca va pas durer...

> C'est ce mécanisme qui permet de financer l'état en prélevant taxe et charge sur
> le bénéfice commercial

taxer les gafam sans alternative aux gafam c'est juste un impot... tu mets +500% de taxe a microsoft, je continuerai d'utiliser windows... je n'ai pas le choix.
ou est le microsoft européen ????


Utilisateur banni

08/04/2022 à 10h48

Hokusai écrivait:
-------

> Yobi nous avait expliqué que le rac0 cartonne.... c'est pas vraiment ma faute.

tu te sent coupable ?


> taxer les gafam sans alternative aux gafam c'est juste un impot... tu mets +500%
> de taxe a microsoft, je continuerai d'utiliser windows... je n'ai pas le choix.
> ou est le microsoft européen ????

donc tu es pour la concurrence déloyale et en plus tu acceptes qu'une entreprise étrangère étrangle tout développement par sa position dominante, remarque cela fait vendre des anti-virus.


P2eqdh3csim6s7nb09ktdq3e7ev8 - Eugenol
barbabapat

08/04/2022 à 10h55

Hokusai écrivait:
-------

> taxer les gafam sans alternative aux gafam c'est juste un impot... tu mets +500%
> de taxe a microsoft, je continuerai d'utiliser windows... je n'ai pas le choix.
> ou est le microsoft européen ????

Linux fonctionne très bien. Le problème est sur l'écosystème tiers avec des éditeurs de logiciels et de matériels qui développent quasiment que pour Windows et un peu pour Mac pour des territoires professionnels spécifiques.
Si on souhaite le développement de systèmes d'exploitation tiers en Europe, il faut règlementairement imposer aux éditeurs tiers de développer pour ces systèmes d'exploitation tiers. Aujourd'hui tout le monde utilise linux dans son smartphone avec Android mais très peu d'éditeurs font des passerelle de développement vers linux.


Utilisateur banni

08/04/2022 à 11h25

Imaginez la tête de la professeure, mercredi matin, en lisant le mot qui excuse l’absence en cours de Jules Querellou, élève de 4e au collège Beg Avel de Carhaix :C’est vrai, Jules est avec moi. Cordialement, Emmanuel Macron. PS : merci aux profs !​.
https://www.ouest-france.fr/bretagne/spezet-29540/finistere-un-collegien-seche-les-cours-pour-voir-emmanuel-macron-qui-lui-signe-un-mot-d-excuse-978cc20a-b5c5-11ec-a299-c9106b4183f5?utm_medium=Social&utm_source=Facebook&fbclid=IwAR2i3H1L4BDIy5GIF1fYJpgyFtw8D4vCTQlABBAlk9Ay2IlA437QZFwGoXg#Echobox=1649265969

lorsque tu es capable de faire cela tu es en mesure d'accorder des PASSE droit à qui bon te semble et quoi qu'il en coûte (pour les autres)


Screenshot 20190204 160354 2 ookelm - Eugenol
Arsénieux

08/04/2022 à 11h46

Quoiqu'il en coûte, dimanche soir 🥳🥳


Hok 1b hgd3rj - Eugenol
Hokusai

08/04/2022 à 12h13

posit écrivait:
-----
> Hokusai écrivait:
> -------
>
> > Yobi nous avait expliqué que le rac0 cartonne.... c'est pas vraiment ma faute.
>
> tu te sent coupable ?

bin de quoi ?? de thermocompacter a l'apex pour faire une coiffe a 250e ? personne ne vient faire ce que je fais... y'a une roumaine qui est venue elle est repartie au bout de 6 mois, local payé par la collectivité...
et après moi y'aura plus personne.
toi tu as bien orienté ton activité exclusivement vers la bourgeoisie... ca ne me pose pas de pbm.

> donc tu es pour la concurrence déloyale et en plus tu acceptes qu'une entreprise
> étrangère étrangle tout développement par sa position dominante

je vois pas qui concurrence microsoft... je vois pas quelle alternative j'ai. c'est tout.


Utilisateur banni

08/04/2022 à 16h20

Hokusai écrivait:
-------

> je vois pas qui concurrence microsoft... je vois pas quelle alternative j'ai.
> c'est tout.

et bien oui c'est le but de leur pratiques anticoncurrentielles et l'eau sa mouille


Utilisateur banni

08/04/2022 à 16h42

McKinsey, ce cabinet qui conseille Macron et qui fraude le fisc
Fraude fiscale : un mensonge sous serment du directeur associé de McKinsey France ?
Quelle ironie ! McKinsey est un cabinet de conseil connu dans le monde entier, au réseau étendu et détenant une influence très importante dans la conduite de l’action publique de nombreux pays, que peu d’entre nous pouvons mesurer. Un cabinet qu’Emmanuel Macron connaît bien puisqu’il l’a conseillé lors de sa campagne présidentielle. Bien que puissant, c’est un cabinet qui semble souhaiter rester discret. C’est raté. Il est désormais mis sur le devant de la scène suite à des accusations de fraude fiscale.
https://linsoumission.fr/2022/03/21/mckinsey-macron-fraude-fisc/

----------------------------------------

Thierry Solère, le conseiller du président mis en examen pour fraude fiscale, détournement de fonds publics et trafic d’influence passif
Thierry Solère, député LREM des Hauts-de-Seine et conseiller d’Emmanuel Macron, habitué des affaires judiciaires et déjà poursuivi pour « fraude fiscale », détournement de fonds publics et trafic d’influence passif » depuis 2019, a été mis en examen en février 2022 pour cinq nouvelles infractions.

La justice le soupçonne, entre autres, d’avoir puisé dans ses frais de mandat pour régler des amendes, des frais courants ou encore des abonnements à des organismes, comme l’avait rapporté Mediapart. Il est également question de l’emploi de sa belle-mère comme collaboratrice à l’Assemblée, de 2016 à 2017.

Thierry Solère a également été mis en examen pour « trafic d’influence passif ». On lui reproche cette fois d’avoir « usé de son influence en vue de faire obtenir des marchés » à des sociétés immobilières entre 2007 et 2017 et à une société de conseil entre 2011 et 2012.

------------------------
FRAUDE FISCALE

En 2015, on réalisait 21 milliards d'euro de résultats alors qu'en 2020 sous macron, on est à 10 milliards.

-----------------------

Emmanuel Macron rattrapé par le fisc

pour fausse déclaration
https://www.francetvinfo.fr/politique/emmanuel-macron/emmanuel-macron-rattrape-par-le-fisc_1478115.html

Myuvop7r1qqgjgvtvhq8t04xtk9b - Eugenol

Hok 1b hgd3rj - Eugenol
Hokusai

08/04/2022 à 17h12

posit écrivait:
-----
> et bien oui c'est le but de leur pratiques anticoncurrentielles

bin lance toi posit... on attend ton OS, t'as un pc, vas y code.


P2eqdh3csim6s7nb09ktdq3e7ev8 - Eugenol
barbabapat

08/04/2022 à 17h24

Hokusai écrivait:
-------

>
> bin lance toi posit... on attend ton OS, t'as un pc, vas y code.

Le problème avec Microsoft n'est pas l'OS. Le problème est que les éditeur tiers et les fabricant de matos sortent des choses sur du multiplateforme (Windows, mac et linux).
Le marché alors se refera naturellement sur les OS une fois que la partie matériel sera éliminée.

Linux est à peu prés aussi con à utiliser que mac ou windows aujourd'hui.


Utilisateur banni

08/04/2022 à 17h59

quel est le rapport avec les avantages fiscaux des GAFAM koko ?


Hok 1b hgd3rj - Eugenol
Hokusai

08/04/2022 à 18h02

barbabapat écrivait:
----------
> Hokusai écrivait:
> -------
>
> >
> > bin lance toi posit... on attend ton OS, t'as un pc, vas y code.
>
> Le problème avec Microsoft n'est pas l'OS. Le problème est que les éditeur
> tiers et les fabricant de matos sortent des choses sur du multiplateforme
> (Windows, mac et linux).

Bin oui regarde tu peux même lancer une distrib avec un noyau linux... le travail est déjà fait... y'a plus qu'a... ;)
full compatible avec tout le hardware du commerce.
qui va le faire ?? bin personne.
(Enfin personne en France… les chinois eux ont leur OS anti Microsoft, kylin)

vous pouvez aussi concurrencer google.... je crois qu'ils appellaient ca Qwant... encore un joli echec.
(par contre y'en a qui se sont rincés dans qwant...pas de tva, pas d'urssaf, 50 millions de dettes, 11 millions de crédit d'impôt... pour finalement rediriger les requetes... vers bing de microsoft et s'aliéner aux chinois huawei, l'entreprenariat à la francaise ;)


Utilisateur banni

09/04/2022 à 09h25

Hokusai écrivait:
-------
> vous pouvez aussi concurrencer google.... je crois qu'ils appellaient ca
> Qwant... encore un joli echec.
> (par contre y'en a qui se sont rincés dans qwant...pas de tva, pas d'urssaf, 50
> millions de dettes, 11 millions de crédit d'impôt... pour finalement rediriger
> les requetes... vers bing de microsoft et s'aliéner aux chinois huawei,
> l'entreprenariat à la francaise ;)

Tu utilises QWANT ou tu n'es que la caricature de ce que tu critiques ?

Si tu ne veux pas entendre que pour maintenir leurs positions les GAFAM bénéficient de PASSE droit fiscaux et des pratiques anticoncurrentielle illégales et bien planques toi derrière ton clavier pour avoir une existence.

Pour développer une technologie avoir une proposition pertinente, d'excellence, performante ne suffit pas.

Plusieurs des préparations de dispositif réalisé par mon laboratoire ont permis de faire des interventions en première mondiale, se n'est pas pour autant que l'information circule lors des conférences où les programmes scientifique reflètent les exposant.

2 exemples
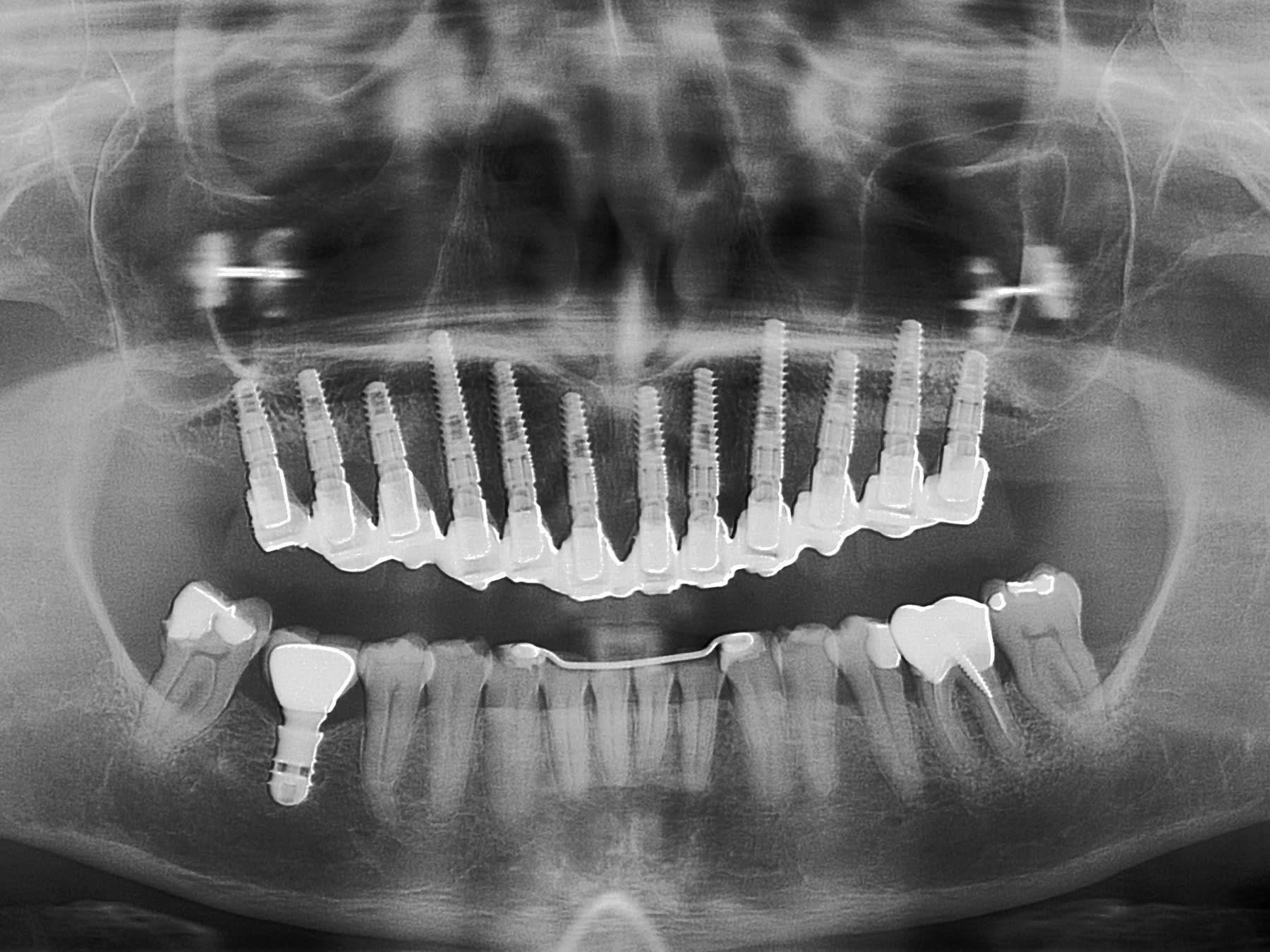
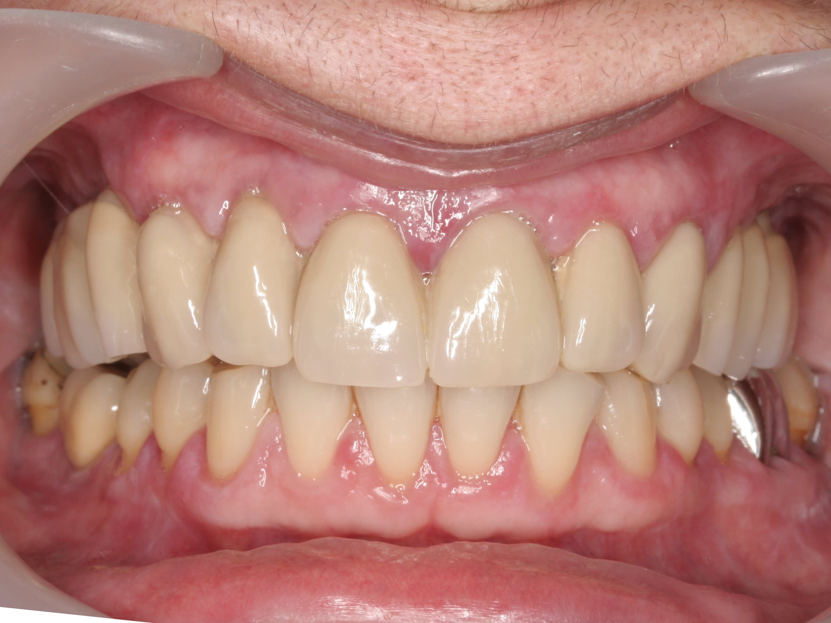
Mise en charge immédiate sur greffe de Fibula de péroné avec un bridge à armature métallique rigide après ostéotomie mandibulaire en 1 seul temps chirurgical.
Mise en charge immédiate post extractionnelle de 12 dents, de 12 implants avec un bridge à armature rigide métallique rigide fixé par friction sur pilier de prothèse implantaire pour fixe, en 1 seul temps chirurgical.



Gyzr6sav17357v0uskd1spmwga61 - Eugenol
2eiegfd8dlrflkgrf6iz27cpiha2 - Eugenol
Zu4bkq1hbr1g1fk04e0d7aiqt8qk - Eugenol
Nzqbdg2se0mvkdk2133i1nxbgs7b - Eugenol

Hok 1b hgd3rj - Eugenol
Hokusai

09/04/2022 à 09h42

posit écrivait:
-----
> Hokusai écrivait:
> -------
> > vous pouvez aussi concurrencer google.... je crois qu'ils appellaient ca
> > Qwant... encore un joli echec.
> > (par contre y'en a qui se sont rincés dans qwant...pas de tva, pas d'urssaf,
> 50
> > millions de dettes, 11 millions de crédit d'impôt... pour finalement rediriger
> > les requetes... vers bing de microsoft et s'aliéner aux chinois huawei,
> > l'entreprenariat à la francaise ;)
>
> Tu utilises QWANT ou tu n'es que la caricature de ce que tu critiques ?

Mais personne n utilise qwant, pas plus moi qu un autre.
Je ne critique pas je constate.

Pourquoi le Europe passe à côté de l innovation concernant les solutions internet l intelligence artificielle le big data et la robotique ??
Pourquoi tout se passe en Chine et aux usa ??

Regarde même chez toi ! Quels logiciels de cfao utilise tu pour tes guides ? C est juste un constat.

Tu peux taxer comme tu veux Microsoft c est pas pour ça que demain t auras un Microsoft francais… tu paieras juste des produits Microsoft plus cher. C est un impôt de production (ça pour les impôts on est au top ;)


P2eqdh3csim6s7nb09ktdq3e7ev8 - Eugenol
barbabapat

09/04/2022 à 10h16

Hokusai écrivait:
-------


>
> Mais personne n utilise qwant, pas plus moi qu un autre.
> Je ne critique pas je constate.
>
> Pourquoi le Europe passe à côté de l innovation concernant les solutions
> internet l intelligence artificielle le big data et la robotique ??
> Pourquoi tout se passe en Chine et aux usa ??
>
Le japon développe la robotique pour se passer d'import de mains d'œuvre immigrée. Pourquoi vouloir robotiser et en même temps importer en masse des personnes qu'il va falloir indemniser au chômage sur cette fameuse production.

Pour le big data, ca nécessite des adaptations par rapports aux lois sur la protection des données. Ca fonctionne dans des états dictatoriaux ou très libéraux sur l'utilisation de ces données.
L'intelligence artificielle est aujourd'hui une base de donnée qui recrache ce qui est le plus commun comme le racisme si on ne lui impose pas de penser correctement.

Doctolib est une solution internet. Est ce un avenir???? Le problème étant que la marché français est petit, le marché européen, n'existe pas et le marché mondial est protégé. Reste que les solutions d'interception des communications vendues à Kadafi étaient très bien vendues. Mais après, c'est comme les armes. Les application de rencontre gay en iran sont très appréciées des gardiens de la révolution.


Utilisateur banni

09/04/2022 à 10h26

Hokusai écrivait:
-------

> … tu paieras juste des produits Microsoft plus cher. C est un
> impôt de production (ça pour les impôts on est au top ;)

Ce que tu dis plus cher et la part qui finance les infrastructures comme les routes, les hôpitaux , l'éducation ... les éléments que tu trouves négligeables et pourtant constituent une nation où Microsoft trouve un marché. En fait tu es contre la contribution équitable en favorisant les règles fiscales des GAFAM.




P2eqdh3csim6s7nb09ktdq3e7ev8 - Eugenol
barbabapat

09/04/2022 à 12h26

Heureusement que l'on a des politiques de progrès qui s'occupent des problèmes urgent du monde.

https://www.7sur7.be/monde/le-canada-ouvre-la-sodomie-aux-jeunes~a8fff28f/?referrer=https%3A%2F%2Fwww.google.com%2F


Hok 1b hgd3rj - Eugenol
Hokusai

09/04/2022 à 12h49

posit écrivait:
-----
> Hokusai écrivait:
> -------
>
> > … tu paieras juste des produits Microsoft plus cher. C est un
> > impôt de production (ça pour les impôts on est au top ;)
>
> Ce que tu dis plus cher et la part qui finance les infrastructures comme les
> routes, les hôpitaux , l'éducation ... les éléments que tu trouves négligeables


Négligeable ??? Ce mois ci… sortie de 12ke de contribution sociale et impôts locaux… et 2ke de taxe sur les salaires… perso j ai du mal à trouver ça négligeable.
Et quand je dépense mon pognon on en prend encore 30% en moyenne…

On doit être à 54% de prélèvement obligatoire… et après on se demande pourquoi les gafam sont aux us et pas en france.


Hok 1b hgd3rj - Eugenol
Hokusai

09/04/2022 à 12h57

posit écrivait:
-----
> Hokusai écrivait:
> -------
>
> > … tu paieras juste des produits Microsoft plus cher. C est un
> > impôt de production (ça pour les impôts on est au top ;)
>
> Ce que tu dis plus cher et la part qui finance les infrastructures comme les
> routes, les hôpitaux , l'éducation ... les éléments que tu trouves négligeables


Négligeable ??? Ce mois ci… moi perso sortie de 12ke de contribution sociale et impôts locaux… et 2ke de taxe sur les salaires… perso j ai du mal à trouver ça négligeable.
Et quand je dépense mon pognon on en prend encore 30% en moyenne…

On doit être à 54% de prélèvement obligatoire… et après on se demande pourquoi les gafam sont aux us et pas en france.

Tu utilises quels logiciels de cfao pour tes guides ? Perso tout viens des us… notamment adobe.
Tu peux surtaxer comme tu veux les entreprises étrangères… ça ne créera pas d alternative française (voir le fiasco de qwant), nous paierons nos produits technologiques beaucoup plus chers (comme si c’était pas l avenir…) et on aura juste plus de mal à exporter nos produits.


Utilisateur banni

09/04/2022 à 13h05

Lorsque Mac Kinsey conseille MaCron on comprend qu'il ne recommande pas d'ouvrir le marché Français à condition de participer au fonctionnement de la nation remarque les multi nationale française profitent des mêmes PASSE droit.


Hok 1b hgd3rj - Eugenol
Hokusai

09/04/2022 à 14h02

posit écrivait:
-----
> Lorsque Mac Kinsey conseille MaCron on comprend qu'il ne recommande pas
> d'ouvrir le marché Français

Bin le marché est full open… développe ton OS posit, t auras le succès de qwant


Utilisateur banni

09/04/2022 à 15h05

Hokusai écrivait:
-------

> On doit être à 54% de prélèvement obligatoire… et après on se demande pourquoi
> les gafam sont aux us et pas en france.
>
il faut bien prendre l'argent à quelqu'un ! Puisque tu ne veux pas faire payer les GAFAM


Hok 1b hgd3rj - Eugenol
Hokusai

09/04/2022 à 16h43

posit écrivait:
-----
> il faut bien prendre l'argent à quelqu'un !

Oui… avant, le bouc émissaire c était Bernard Arnaud… aujourd’hui c est les gafam.
Je t avais déjà dit cette taxe c est 500 millons d euros par an, pour avoir un point de comparaison ça représente 40% du déficit annuel du régime des intermittents du spectacle ou 1% de la dette de la sncf ou 50% du coût annuel de l ÂME… on est assez éloigné de l alpha et l oméga fiscal qui va sauver la France non ??

Perso j ai rien contre taxer les gafam… je dis juste que ça fera un impôt de plus payé par un consommateur sans alternative, et de la perte de pouvoir d achat pour le particulier et perte de compétitivité pour le professionnel.

Et la taxation des gafam, c est l initiative de… ton copain Macron. Tu devrais au moins lui reconnaître ça…


1...8910...

Ce sujet est verrouillé

Les réponses à ce sujet sont désactivées