Cookie Consent byPrivacyPolicies.comIdentification implant - Eugenol

Identification implant

murderofcrows22

04/05/2022 à 09h43

Salut à tous,
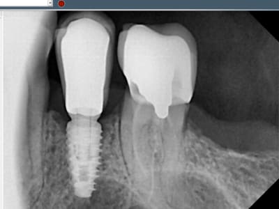
Qu'est-ce?
Implant d'une quinzaine d'années?
Nono

Mq0g8pa0wa47q30uyioz5aytco37 - Eugenol

Photo pluton1b h9n4ea - Eugenol
pluton

04/05/2022 à 12h14

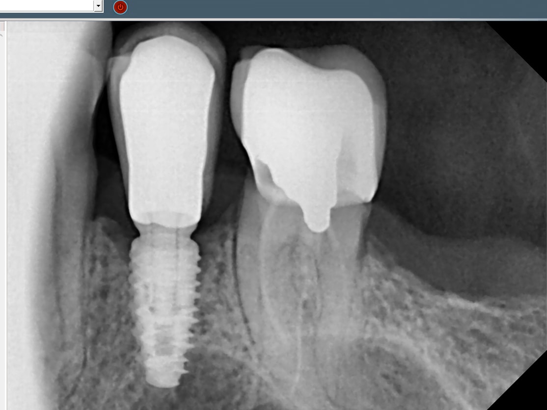
pour l'instant pas identifié formellement....ce qui se rapproche le plus c'est l'anthofit anthogyr...
dans les faits tu t'en moques un peu, c'est de l'hex externe et en général tout est intercompatible.....


Ylfwcw979cz1jnx9gfqeaxndiuzk - Eugenol
Algi

04/05/2022 à 13h31

J'ai ces 4 machins posés il y a 20 ans environ, les 3 du fond sont les mêmes on dirait, il ya celui sur la 12 different...

Par ailleurs plus aucune dent en haut....

Perimplantite stable depuis 10 ans, ça bouge pas et ca fait pas mal mais les coiffes posées sur les implants sont moches, le stellite autour pas top esthetique et on voudrait poser un complet avec une glissière ou autre moyen d'attachement par dessus...

Souci le praticien poseur est décédé et la patiente ne sait plus vraiment quand tout ça a été posé....

Pluton?


--

On a toujours le choix mais entre quoi et quoi?
Vas-y boulégue et l'avenir te le dira!

K9lg25e0io9v0ndln83zaiinwoak - Eugenol

Ylfwcw979cz1jnx9gfqeaxndiuzk - Eugenol
Algi

04/05/2022 à 13h34

Éventuellement j'envisage de virer le machin sous la 12 et de ne garder que les 3 implants similaires comme support stabilisateur du complet à venir.


--

On a toujours le choix mais entre quoi et quoi?
Vas-y boulégue et l'avenir te le dira!


Photo pluton1b h9n4ea - Eugenol
pluton

04/05/2022 à 15h19

Facile, celui avec plein de trou comme un gruyère c'est un straumann
https://whatimplantisthat.com/implants/details/hollow-cylinder

et les 3 au fond c'est du straumann aussi, mais pas la même gamme
https://whatimplantisthat.com/implants/details/standard-rn


Ylfwcw979cz1jnx9gfqeaxndiuzk - Eugenol
Algi

04/05/2022 à 16h21

Tu es merveilleux.....
Merci


--

On a toujours le choix mais entre quoi et quoi?
Vas-y boulégue et l'avenir te le dira!


croc1765

04/05/2022 à 17h38

dans ton elan de bonté pluton
le patient vient de m'appeler pour me dire que cette couronne sur l'implant est tombée
c'est quoi comme implant?
de plus visiblement d'apres lui le puit de couverture dans la couronne est toujours en place ,il doit m'envoyer une photo
ce qui supposerai
1/vis fracturée
2/le puit de couverture de la vis n'etait comblé a fond

Rd2w4ri4mkuu3fwtftltpvq2d50n - Eugenol
Rbeqxl2zdcgm9om9geq2iw0n4a2o - Eugenol
Ot9luz7wjt87v7sbxmskqa0ndaub - Eugenol

Photo pluton1b h9n4ea - Eugenol
pluton

04/05/2022 à 17h57

Kontact Biotech
https://www.spotimplant.com/fr/implants-dentaire/biotech-dental/kontact


croc1765

04/05/2022 à 18h31

pluton écrivait:
------
> Kontact Biotech
> https://www.spotimplant.com/fr/implants-dentaire/biotech-dental/kontact

merci pluton