Cookie Consent byPrivacyPolicies.comZIRCONE et dépassement ? - Eugenol

ZIRCONE et dépassement ?

mj

10/05/2022 à 18h03

mon prothésiste me facture 120 euros la zircone Katana. je trouve que c'est top comme restauration. j'ai un autre prothé, il a 3 gammes de zircone : qui vont de 70 euros à 120 euros. en terme de dureté et d'esthétique, ca doit pas être pareil.
Je joue le jeu du RAC 0 sur les 2 PM à 440 euros mais c'est vrai que j'aimerais en faire sur les molaires ou même en antérieur mais le plafonnement à 440 euros, c'est pas possible.
et mon prothèsiste me dit que les autres praticiens lui en commandent beaucoup, comment faites-vous ?
Vous comptez en HN : analyse occlusale / montage sur articulateur pour compenser ?
est ce que vous passé en HBLD680 en autre céramique monolithique ? (il me semble que c'est pour l'emax ou la zircone stratifiée ... ) vu que la KATANA c'est de la zircone multicouches ?
et je connais un cabinet où un des praticiens fait de la pédo : chaque obturation c'est 100 euros .???
je respecte la nomenclature, je ne sais pas comment ils font.
est ce qu'on a le droit de rajouter un truc HN genre : forfait composite 25 euros ?
merci pour votre aide


antoSD

10/05/2022 à 18h31

les zircones esthetiques sont surmeent multicouches, donc en libre


Et7jtaj0pdi18gzjlxjiamlx15gs - Eugenol
Prunelles

10/05/2022 à 19h14

Non une zircone multicouche reste une zircone monolithique et est donc plafonnée.


moritooth

10/05/2022 à 21h52

antoSD écrivait:
------
> les zircones esthetiques sont surmeent multicouches, donc en libre

Zircone multicouche ça n'existe pas.
Soit c'est une céramique multicouche sur chape zircone ( libre), soit c'est une cut-back = zircone monolithique où on retire une épaisseur en vestibulaire pour mettre un peu de céram esthétique( plafonnée car c'est considérée comme monolithique)


mj

11/05/2022 à 16h03

ok donc zircone monoteinte ou multicouche RAC 0 ou maitrisé dans tous les cas plafonnée à 440
autre céramique monolithique = emax
céramo-céramique : zircone stratifiée ou emax stratifiée pas de plafond

donc vous faites des zircone multicouches à 440 sur molaire sans sourciller ?


moritooth

11/05/2022 à 16h27

mj, qu'est-ce que tu appelles zircone multicouches ?



Et7jtaj0pdi18gzjlxjiamlx15gs - Eugenol
Prunelles

11/05/2022 à 16h48

C'est une zircone avec une nuance de teintes dans le disque à usiner.


Don quichotte xrbqem - Eugenol
Don Chicot

11/05/2022 à 16h51

mj écrivait:
--
> donc vous faites des zircone multicouches à 440 sur molaire sans sourciller ?

Je ne fais plus que ça , en sourcillant de plus en plus.
Et dans 5 ans, 80% d'inflation, et toujours à 440 €
Bon j'aurai pris ma retraite, si tout se passe bien, content de pas être un "jeune"...


Hok 1b hgd3rj - Eugenol
Hokusai

11/05/2022 à 18h09

Prunelles écrivait:
---------
> C'est une zircone avec une nuance de teintes dans le disque à usiner.


Oui avec translucidité progressive et durete vickers progressive… (plus tendre en occlusal)

C était une connerie sans nom de plafonner toutes les zircones, on ne peut même pas proposer ce qui se fait de mieux.
Tu dois obligatoirement poser de la céramique stratifiée pour passer en libre en postérieur… ou pire… des ccm.


Photo thumb 45 lnhuvp - Eugenol
wakrap

11/05/2022 à 18h42

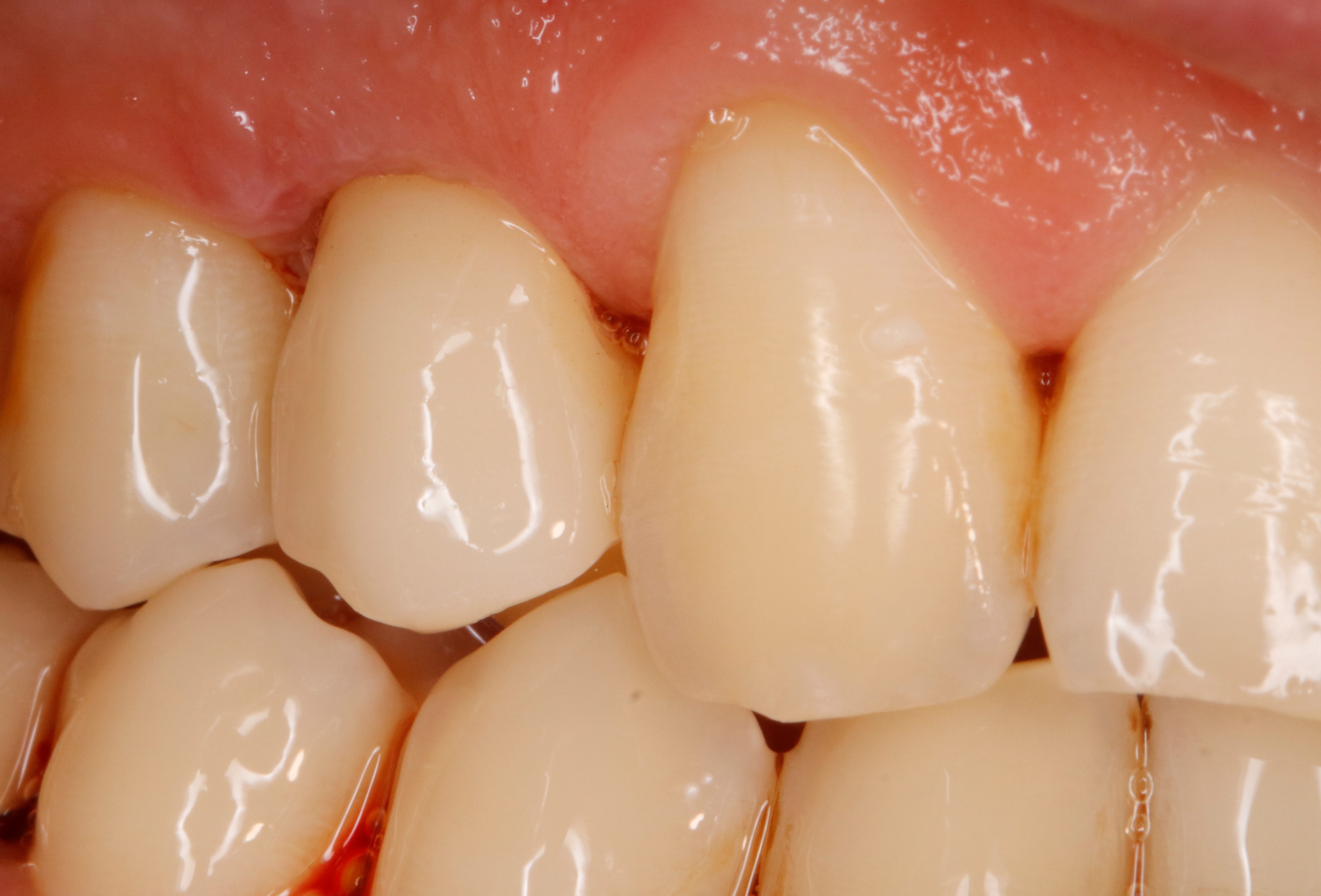
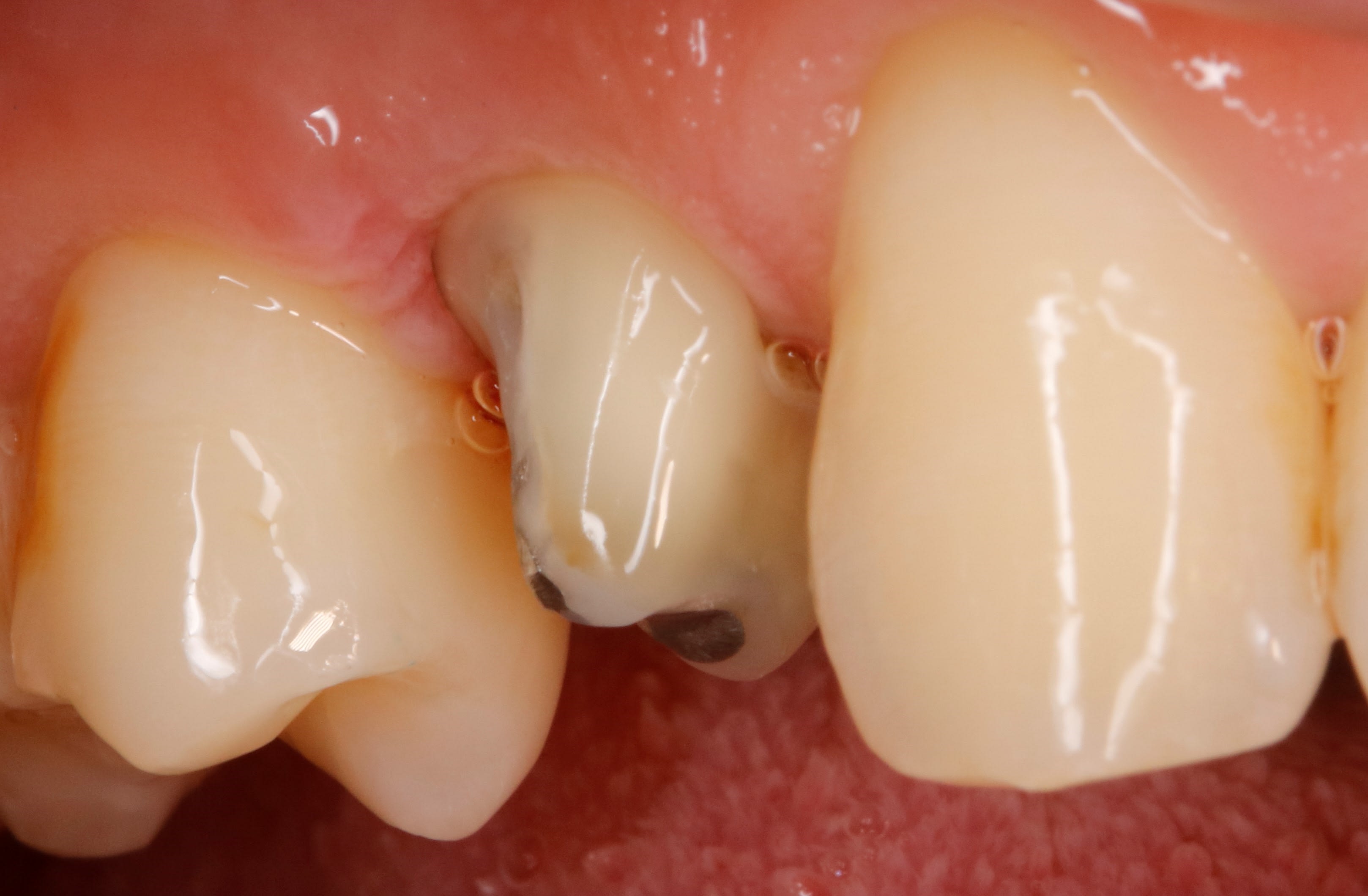
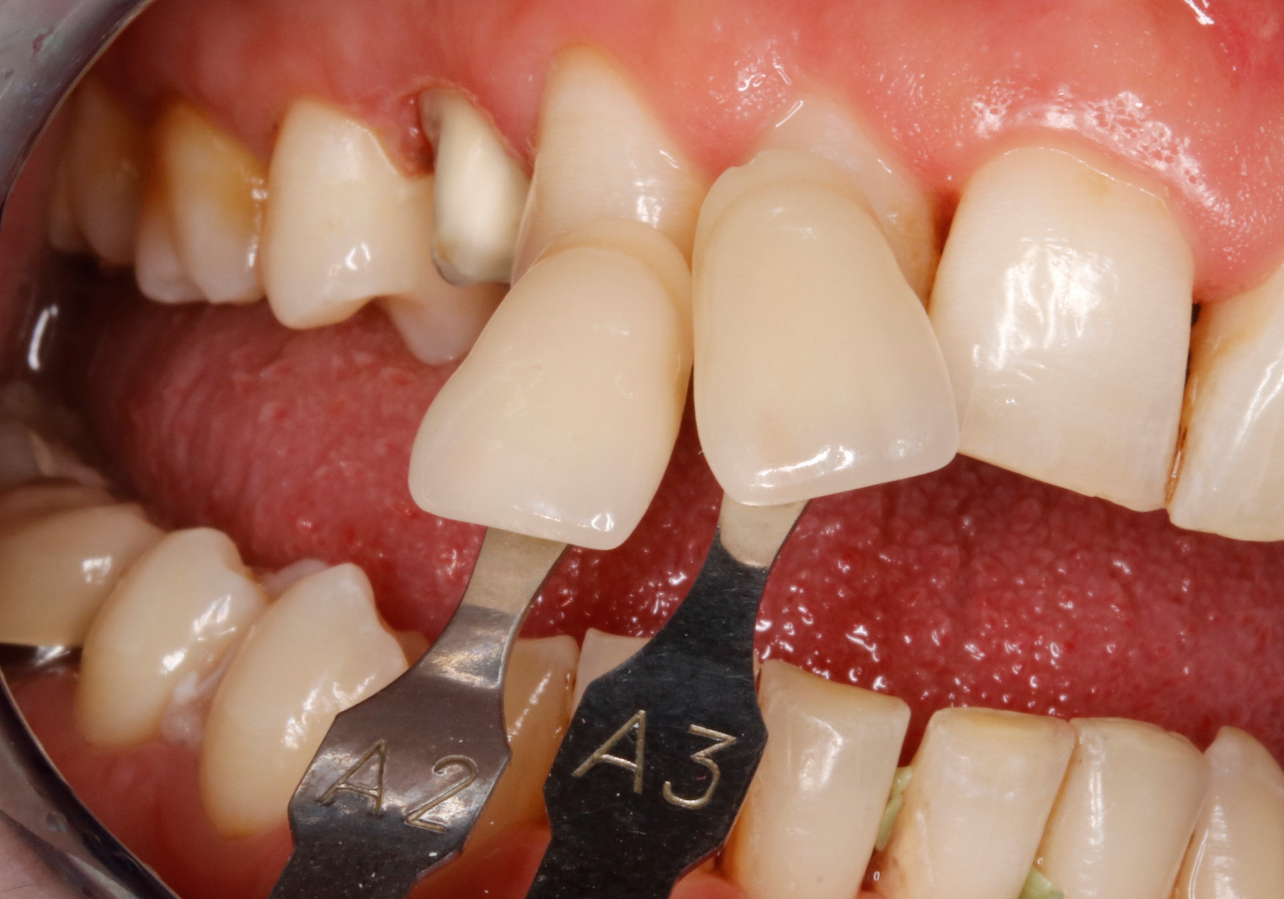
Sur les dernières Katana YML le passage de la couche incisale à la dentine est très brutal, bien plus que sur les STML. Net changement de teinte et d'opacité. J'ai quelques fois remarqué que cela était un moins esthétique sur PM ou ant. Vous avez le même soucis?


mj

11/05/2022 à 19h09

oui zircone katana : DÉGRADÉ NATUREL DE COULEURS AU SEIN DE DISQUES UTML/STML/HTML MULTICOUCHES


Vw campersurfvan bmnk1q - Eugenol
enlaye

12/05/2022 à 07h53

Wakrap ,
- bon déjà , la katana comme la prime d ivoclar ce n est pas le top esthétique.
- mais il y a un truc important pour pouvoir avoir de la transparence , c est de ne surtout pas racourcir le temps de refroidissement du fin de cycle .
Il faut les 4heures de descente ,impératif sinon c est un os .
Peut être que ton pb vient de là .


moritooth

12/05/2022 à 08h24

Est-ce que les dernières génération de zircone sont moins nocives pour l'occlusion en postérieur ? J'ai arrêter la zircone post à cause de ça, trop délicat à régler en post, et à 440€ comme on peut pas y passer des heures...Je trouve que c'est un peu traitre comme matériau, sous une apparence esthétique ça cache plutôt des propriétés qui s'apparentent au métal. Et encore le métal on peut faire des retouches occlusales sans problème.


Vw campersurfvan bmnk1q - Eugenol
enlaye

12/05/2022 à 08h33

Un peu moins , oui , mais c est un massacre quand même.
Le pire c est en ant , pcq là le dégradé de dureté , zobi


Vw campersurfvan bmnk1q - Eugenol
enlaye

12/05/2022 à 08h38

Tu peux lors que tu fais le fraisage choisir le positionnement de la fraise dans la hauteur du disque pour profiter au mieux de la partie moins dure sur la couronne .
Mais ça ne va pas chercher loin .
Il te faut quand même garder de la dureté au niveau des limites .


Hok 1b hgd3rj - Eugenol
Hokusai

12/05/2022 à 08h57

moritooth écrivait:
---------
> J'ai arrêter la zircone post à cause de ça, trop
> délicat à régler en post

a partir d'une empreinte optique ou physique ?


Vw campersurfvan bmnk1q - Eugenol
enlaye

12/05/2022 à 09h24

Ca ne change rien , Hoku , tu peux avoir à retoucher si la forme ne va pas , même si la couronne rentre nickel et en sous occ .


Hok 1b hgd3rj - Eugenol
Hokusai

12/05/2022 à 09h40

tu me fais toujours flipper avec la zircone et sa nocivité occlusale...
mais perso via empreinte optique, je fais essayage, si c'est ok ou proche du ok (et franchement, c'est toujours OK) je scelle au fuji+
puis après je fais un petit soin ou un det en attendant la prise.
puis reglage fraise oeuf diamant rouge.
puis polissage avec le kit komet (ref 4622.204.000)
tout sous spray +++, l'etat de surface est ultra lisse... la dureté est supérieure a celle du crco mais avec une biocompatibilité excellente (avec une santé parodontale au top même avec des limites infra "sévères").

non pour moi, la full zircone c'est l'avenir.

(a et aussi sans IC dessous)


Vw campersurfvan bmnk1q - Eugenol
enlaye

12/05/2022 à 10h03

Hokusai écrivait:
-------
" non pour moi, la full zircone c'est l'avenir.
(a et aussi sans IC dessous) "

pour mon banquier aussi , il aime , à condition que je fasse l ic en meme temps :-)
à ce point que je fais de la richmond :
- soit de la zircmond ,
-soit de inlay core titane fraisé collé dans la couronne par le labo


Hok 1b hgd3rj - Eugenol
Hokusai

12/05/2022 à 10h17

normalement pour un module d'elasticité proche de la dentine vaudrait mieux faire une inlay core usiné fibré...


Vw campersurfvan bmnk1q - Eugenol
enlaye

12/05/2022 à 10h20

sinon , c est beau , meme plus qu une emax , c est donc une belle merde :-)
ici c est la 6 .

Hhtt4ei1nettcwtv7kyipb1tvetp - Eugenol

Vw campersurfvan bmnk1q - Eugenol
enlaye

12/05/2022 à 10h21

Hokusai écrivait:
-------
" normalement pour un module d'elasticité proche de la dentine vaudrait mieux faire une inlay core usiné fibré... "
oui , pour eclater une racine , je pense qu il n y a pas mieux :-)


Hok 1b hgd3rj - Eugenol
Hokusai

12/05/2022 à 10h34

enlaye écrivait:
------
> Hokusai écrivait:
> -------
> " normalement pour un module d'elasticité proche de la dentine vaudrait mieux
> faire une inlay core usiné fibré... "
> oui , pour eclater une racine , je pense qu il n y a pas mieux :-)
>

pourquoi ca puisque tu te rapproches de la flexibilité de la dentine ??


Vw campersurfvan bmnk1q - Eugenol
enlaye

12/05/2022 à 10h45

pcq avec la fibre , et je suis bien placé pour en parler puisque c est moi qui l ai inventé :-) , il y a un phénomène de délaminage suivant l axe de la fibre . (ça porte meme un un autre nom d'ailleurs , mais m en souviens plus ).
bref , ce qui fait que si la fibre est comprimée dans son axe , ça se dilate comme un choux fleur . la fibre ne fonctionne bien qu à l étirement et non pas à la compression .
alors la flexion oui , puisque de la flexion ç est de l allongement , mais est ce interressant ? pas sur , puisque c est un coup à transformer ta centrale en guimbarde et donc à claquer ton joint de ciment .
à mon avis , hein , ça n engage que moi :-)


Vw campersurfvan bmnk1q - Eugenol
enlaye

12/05/2022 à 10h56

sinon , pour la zircon , il vaut mieux partir avec le disque de la teinte la plus claire de la dent qui a foncer avec la peinture , plutôt que de faire le contraire .

9okh787om1zid9u1s2q3ifaijfhs - Eugenol
Ue71j0ojyn0uox66nfic18elhtir - Eugenol
Rdd0lq8hew5by5e2ka4x7rcefzyy - Eugenol

12...