Tous les forums
Guide chirurgical à appui, osseux, dentaire, muqueux ? et pour quoi faire ?
02/06/2022 à 13h59
Grosso modo, y'a 50% des poseurs qui posent 2 implants (ou moins) par mois.
Je pourrais être dans cette situation.
Sur la trentaine de cas je vois passer chez moi, y'en à peut être la moitié qui sont simples/accessibles.
Ca ne justifie pas pour moi la prise de risque et l'investissement matériel.
Je vous parle même pas du niveau de certains travaux que j'ai vu passé chez mon prothésiste.
03/06/2022 à 09h21
pour info et pour ceux qui voudraient voir une intervention avec Posit, j'en ai une qui se fait en juillet en principe le jeudi 21 juillet....me contacter en MP pour ceux intéressés....
09/06/2022 à 09h17
enlaye écrivait:
------
> +1 Prunelles , comme tjs , c est le plan B qui demande de la bouteille .
Tout à fait d'accord, c'est aussi appelé l'expérience et nous le faisons au quotidien sans même s'en rendre compte.
Le problème est à mon humble avis lorsque tu n'as pas de plan B parce que des adaptations doivent se faire naturellement de façon consciente ou inconscientes. C'est la préparation à accomplir une tache qui vas te permettre d'atteindre l'objectif .
cela fait plus de 15 ans que je prépare du matériel pour réaliser des mises en charge immédiate avec des cas réaliser en première mondiale comme la greffe d'un péroné, pose d'implants et mise en charge immédiate. La préparation de ce type d'intervention ne doit pas laisser la place au hazard pour y parvenir.
IL me faut 5 jours de travail pour préparer une mise en charge immédiate, c'est le prix à payer pour prendre le dessus sur l'incertitude.
12/06/2022 à 09h47
Hokusai écrivait:
-------
> c est un guide coulé ? en titane ?
Me revoici :)
c'est vrai que je ne suis plus tous les jours sur eugenol...
Le guide est en résine, mais j'en ai fait aussi en titane en frittage laser chez matérialise ( 120 euro, a peut près ). la tu as un cas ou l'étage clavette est en titane, et les accessoires imprimé resine ( tu peux retrouver la video du cas facilement, je pense ), l'armature du bridge prov en titane.
J'ai fait aussi guide tout métal, et guide metal servant également d'armature de bridge.
C'était en fait l’objet de ma conf a l'ADF : si tu as une idée, le numérique te permet de la mettre en œuvre.
C'est beaucoup de temps d'apprentissage, mais après, tu fait ce que tu veux.
Le grand mérite de Posit, c'est avec son compère de l'époque, d'avoir trouver un moyen fiable de faire de super guides alors l'impression 3D était balbutiante.
Alain, je pense que tu travaille toujours en cire perdue. Pas de raison de changer un protocole que tu maitrise, mais , comme le pensait Hokusai, tu irais plus vite, ou moins vite en modélisant le guide et imprimer en resine calcinable ?
12/06/2022 à 10h03
Anto2b écrivait:
> Bonjour quelle marques de mua utilisez vous avec les rosenscrew parce qu’elles
> ne sont pas compatible avec tous les piliers merci
Effectivement , par exemple, les multi-unit MIS ne sont pas compatible, mais je crois une version doit sortir.
J'utilise les pilier tetra de chez ETK, c'est la meme chose que les multi unit nobel.
J'utilise les scan body DESS.
Un cas vendredi : ext, pose des implants, emp optique le matin. L'aprem, entre deux patients : modélisation du bridge avec meshmixer ( je n'ai toujours pas exocad... ), je lance l'impression ( resine Flexera sur Phrozen mini 4k ), le lendemain matin, nettoyage, maquillage et pose.
12/06/2022 à 13h59
jeff écrivait:
----
> Le grand mérite de Posit, c'est avec son compère de l'époque, ...
C'est qui le compère de l'époque ?
.
.
--------
> C'est beaucoup de temps d'apprentissage, mais après, tu fait ce que tu veux.
il me semble que le temps que tu passes au fauteuil et bien plus rentable que devant ton imprimante ?
12/06/2022 à 14h21
jeff écrivait:
----
> Anto2b écrivait:
>
> > Bonjour quelle marques de mua utilisez vous avec les rosenscrew parce
> qu’elles
> > ne sont pas compatible avec tous les piliers merci
>
> Effectivement , par exemple, les multi-unit MIS ne sont pas compatible, mais je
> crois une version doit sortir.
> J'utilise les pilier tetra de chez ETK, c'est la meme chose que les multi unit
> nobel.
> J'utilise les scan body DESS.
> Un cas vendredi : ext, pose des implants, emp optique le matin. L'aprem, entre
> deux patients : modélisation du bridge avec meshmixer ( je n'ai toujours pas
> exocad... ), je lance l'impression ( resine Flexera sur Phrozen mini 4k ), le
> lendemain matin, nettoyage, maquillage et pose.
Jeff dans un cas comme ça, quelle plus value trouves tu à procéder comme ça plutôt qu’avec un iso de la situation initiale?
12/06/2022 à 20h15
posit écrivait:
-----
> il me semble que le temps que tu passes au fauteuil et bien plus rentable que
> devant ton imprimante ?
Tu as mille fois raison. C'est pour cela que le temps que je passe devant mon ordi est sur mon temps de "loisir", le soir ou le dimanche...
A ne pas faire trop souvent sous peine de burn-out :)
Pour le cas du bridge 42 41 31 32. En fait, je devait preparer un partiel prov en amont, ou un bridge a coller sur pilier prov. Et j'ai completement zappé.
J'aurais eu la possibilité de faire mon empreinte optique et envoyer a Design4me, mais quand ils ne sont pas prevenu a l'avance, ce n'est pas certain que j'aurai reçu le fichier a imprimer 3 heures plus tard. Il y a quand meme un avantage a pouvoir se demerder tout seul de temps en temps.
12/06/2022 à 20h21
bouboule écrivait:
--------
> Jeff dans un cas comme ça, quelle plus value trouves tu à procéder comme ça
> plutôt qu’avec un iso de la situation initiale?
En fait, quand je me suis rendu compte que je n'avais rien preparé en amont, j'ai fait un isomoulage.
Puis en fin de chir, j'ai hesité. J'était deja en retard. Mettre les pilier prov, faire l'automoulage, retrouver les puits de vissage pour demonter, avec le doute sur l'emergence des implants par rapport a la situation intiale... J'ai trouvé plus rapide de scanner, et de faire revenir la patiente le lendemain, pour un meilleur resultat, je pense.
12/06/2022 à 21h16
jeff écrivait:
----
> posit écrivait:
> -----
>
> > il me semble que le temps que tu passes au fauteuil et bien plus rentable que
> > devant ton imprimante ?
>
> Tu as mille fois raison. C'est pour cela que le temps que je passe devant mon
> ordi est sur mon temps de "loisir", le soir ou le dimanche...
> A ne pas faire trop souvent sous peine de burn-out :)
>
.
"Les dentistes sont en première ligne des professions à risque de burn out. En effet, selon une enquête du Conseil National de l’Ordre des chirurgiens-dentistes, plus d’un dentiste sur trois se déclare en burn-out (Lettre N° 166 avril 2018). Mais pourquoi une telle recrudescence du burn out chez les dentistes ? Pour en savoir plus, lisez cet article dans lequel Bertrand Anthony témoigne de son histoire et vous explique comment il a rebondi" ....
https://partagetonburnout.fr/le-burn-out-des-dentistes-temoignage-bertrand-anthony/#:~:text=Les%20dentistes%20sont%20en%20premi%C3%A8re,N%C2%B0%20166%20avril%202018).
.
"L’ampleur du burn out
est alarmante. Des réponses
de fond devront émerger
pour venir en aide
aux praticiens en détresse."Gilbert Bouteille
Président
du Conseil national
https://www.ordre-chirurgiens-dentistes.fr/wp-content/uploads/2020/12/La_Lettre_166_2018.pdf
.
"Utilisez vos priorités comme boussole : Prenez le temps de vous reposer la question : quelles sont mes priorités ? Si besoin, clarifiez-les avec votre responsable, avec vos collaborateurs. Et gardez-les toujours en ligne de mire quand vous vous sentez débordé : Est-ce que je suis en train de faire quelque chose de prioritaire ? Est-ce que je suis clair sur ce que j’ai à faire ? Et quand vous pouvez : déléguez !"...
https://www.fsdl.fr/le-burn-out-ou-epuisement-professionnel/
.
.
C'est pour cela que faire une conférence à l'ADF pour expliquer comment tendre vers le burn-out ne me semble pas opportun
12/06/2022 à 21h37
jeff écrivait:
----
> En fait, quand je me suis rendu compte que je n'avais rien preparé en amont,
> j'ai fait un isomoulage.
> Puis en fin de chir, j'ai hesité. J'était deja en retard. Mettre les pilier
> prov, faire l'automoulage, retrouver les puits de vissage pour demonter, avec le
> doute sur l'emergence des implants par rapport a la situation intiale... J'ai
> trouvé plus rapide de scanner, et de faire revenir la patiente le lendemain,
> pour un meilleur resultat, je pense.
Ok je comprends la problématique du temps! Je trouvais le truc un peu lourd pour si peu de dents. Mais ça peut effectivement être un bon moyen de raccourcir une intervention( tout en devant cependant revoir le patient le lendemain et prendre du temps perso pour la partie numérique…
13/06/2022 à 23h18
« Est-ce que je suis en train de faire quelque chose de prioritaire ? »
On peux aussi se poser la question « est-ce que suis en train de faire quelque chose qui me passionne ? Est-ce que trouver une solution à un problème est gratifiant intellectuellement ? .
Je suis persuadé que tes premières planif de greffe de fébula n’ont pas été rentable par rapport au temps passé, mais que cela n’était pas important à ce moment.
18/06/2022 à 05h25
jeff écrivait:
----
> « Est-ce que je suis en train de faire quelque chose de prioritaire ? »
.
C’est toi-même qui l’explique :
« En fait, quand je me suis rendu compte que je n'avais rien preparé en amont, … Puis en fin de chir, j'ai hesité. J'était deja en retard.... J'ai trouvé plus rapide de scanner, et de faire revenir la patiente le lendemain,… »
« C'est pour cela que le temps que je passe devant mon ordi est sur mon temps de "loisir", le soir ou le dimanche... A ne pas faire trop souvent sous peine de burn-out :) »
- Cela désorganise ton planning et tu compenses sur ton temps de repos, ce sont en effet des éléments qui peuvent conduire vers du surmenage.
.
> On peux aussi se poser la question « est-ce que suis en train de faire quelque
> chose qui me passionne ?
.
- Il est incontestable que tu es motivé. La nature humaine fait qu’il nous arrive de justifier un choix, un acte, pour le rendre acceptable. Il n’y a que toi qui peux porter un jugement à la question que tu poses.
.
> Est-ce que trouver une solution à un problème est gratifiant intellectuellement ? .
.
- C’est une solution à un problème économique que tu veux résoudre puisque lorsque nous avons travaillé ensemble tu n’as pas eu besoin d’imprimer quoi que ce soit et rappelles toi j’ai même palier aux pièces qui n’ont pas été livrées le jour de la chir en trouvent une solution avec des transferts d’empreinte.
.
> Je suis persuadé que tes premières planif de greffe de fébula n’ont pas été
> rentable par rapport au temps passé, mais que cela n’était pas important à ce
> moment.
.
- Mon taux horaire est à 1/5 du tiens, ce que tu appelles « pas rentable » est mon prix normal.
-
- Je te le dis simplement, si tu passes autant de temps à préparer une chir qu’a la réaliser tu divise par 2 ta rentabilité...
.
Time is money
29/06/2022 à 14h34
Vous avez constatés que dans ma conception des guides le support osseux est privilégié.
3 raisons principale, il me semble impératif de préparer le support osseux avant de poser et j'ai pu observer dans des cas d'édentations qui ont plusieurs années des tissus fibreux sont à retirer, la levée du lambeau permet de réaménager les tissus et obtenir la laxité du conjonctif pour recouvrir les ROG.
Le flapless me semble plus un argument pour donner illusion que l'implantologie peu s'affranchir de faire de la chirurgie.
Le positionnement osseux donne toute la liberté de planifier librement les réhabilitations globales.
Un exemple d'un cas plébiscité pourtant lacunaire
j'y vois des greffes de sinus en vu d'une MCI se qui implique environ 6 mois d'attente avec un antago précaire.
30/06/2022 à 09h06
la conservation des dents résiduelles pour positionner le guide conduit à une répartition non équilibrée des implants
30/06/2022 à 19h20
Ce qui est prévu 9 implants
résultat, seul 6 implants mis en charge
06/07/2022 à 17h23
Pour conclure avec ce cas qui n'a suscité aucun commentaire, voici celui qui accompagnait
la vidéo d'où sont extraites les photos : "Affaire du jour. Une partie du cours de protho commence dans 2 semaines. Apprenez à simplifier les cas d'implant en arche complète de façon prévisible.
Concept star inspiré par..."
Son auteur propose une formation de simplification en réhabilitation totale de maxillaire en prothèse implanto-portée e présentant un cas qui démarre avec 11% d'échec implantaire.
.
.
Autrement voici le prochain cas de pluton
06/07/2022 à 18h08
posit écrivait:
> Autrement voici le prochain cas de pluton
Et c'est toujours possible de venir découvrir avec moi....intervention le 21/07 prochain à partir de 9h00
MP si quelqu'un est intéressé....
22/07/2022 à 18h23
Pourquoi remettre au lendemain ce qui peut être fait en 3 heures ?
23/07/2022 à 08h29
Posit écrivait :
« la conservation des dents résiduelles pour positionner le guide conduit à une répartition non équilibrée des implants »
Pas vraiment. Tu es juste obliger de bien positionner tes clavettes pour éviter les racines et les futurs implants.
J’ai eu le cas où je n’avais pas penser a ça et dessiné mon guide après extraction virtuelle des dents.
J’avais donc une clavette dans une racine , oups. Je m’en suis sorti, mais c’est ballot.
23/07/2022 à 08h37
posit écrivait:
-----
> Pourquoi remettre au lendemain ce qui peut être fait en 3 heures ?
Si c’est une question de temps, il faut deux heures à Dimitri Pascual pour poser un bridge full zircone fait à l’avance, avec une guérison incomparable des tissus par rapport à un bridge résine collé en bouche sur pilier prov.
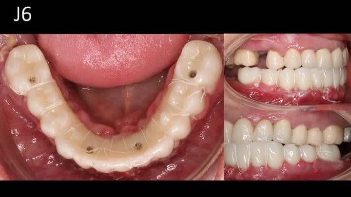
23/07/2022 à 15h18
jeff écrivait:
----
> ... il faut deux heures à Dimitri Pascual pour poser
> un bridge full zircone fait à l’avance,...
quel type de pilier utilise-t-il pour relier le bridge aux implants ?
23/07/2022 à 15h43
jeff écrivait:
----
> Posit écrivait :
> « la conservation des dents résiduelles pour positionner le guide conduit à une
> répartition non équilibrée des implants »
> Pas vraiment. Tu es juste obliger de bien positionner tes clavettes pour éviter
> les racines et les futurs implants.
...
A propos du guide chirurgical Dimitri Pascual écrit :
"
Pour plus de précision, il doit être à appui osseux. L’appui dentaire du guide est à éviter car les dents qui supportent le guide peuvent bouger, tomber avant l’intervention, géner le placement des implants avec des racines sur le trajet de l’implant. Le choix des dents à conserver pour l’appui du guide pendant la chirurgie peuvent être une source d’erreur. L’empreinte dentaire peut ne pas être suffisement précise et son repostionnement sur le scanner possiblement aléatoire. L’appui muqueux est à proscrire car la muqueuse est mobile et compressible.
"
23/07/2022 à 16h55
Je suis d’accord avec toi, je pense aussi que le guide à appuis osseux est mieux. J’ai juste corrigé le fait que garder les dents n’entraîne pas de problème particulier vis à vis de la position des implants .
Quand à Dimitri, je pense qu’il mets des multiunit. Je pense aussi que le bridge zircone est avec tibase, mais collé à l’avance . A priori, il ne colle rien en bouche . Mais j’avoue être extrêmement interrogatif sur sa technique.
Cela me semble tellement impossible de reproduire à quelques dixièmes près l’enfoncement ou la rotation d’un pilier angulé pour avoir un bridge zircone fait à l’avance qui tombe nickel .
C’est pour cela que je vais à sa formation en novembre.