Cookie Consent byPrivacyPolicies.comGuide chirurgical à appui, osseux, dentaire, muqueux ? et - Eugenol
Photo pluton1b h9n4ea - Eugenol
pluton

24/07/2022 à 09h02

jeff écrivait:

> Quand à Dimitri, je pense qu’il mets des multiunit. Je pense aussi que le bridge
> zircone est avec tibase, mais collé à l’avance . A priori, il ne colle rien en
> bouche . Mais j’avoue être extrêmement interrogatif sur sa technique.
> Cela me semble tellement impossible de reproduire à quelques dixièmes près
> l’enfoncement ou la rotation d’un pilier angulé pour avoir un bridge zircone
> fait à l’avance qui tombe nickel .

c'est même mécaniquement totalement impossible s'il ne colle rien en bouche....donc le bridge n'est pas à fond et/ou pas passif....
tu demanderas les radios post op....amha c'est pas aussi merveilleux au niveau des implants....
et il limite le risque en ne posant que 4 implants.....mais franchement il devrait en poser que 3....avec des multiunits ayant une grande tolérance d'axe et de vissage, sur 3 il gagne à tous les coups, comme pour un trépied...;-)))))


Utilisateur banni

24/07/2022 à 12h59

J’ai une petite question pour ceux qui ont plus d’expérience que moi , en l’occurrence Pluton et Jeff.
Il m’arrive quand il n’y a plus du tout de dent de galérer pour décoller la gencive, quand par exemple on fait toute une arcade ou une portion d’arcade sans dent. Gencive extrêmement adhérente par endroit ou fine … du coup ça se déchire ou on met plus de temps à décoller.

Et c’est là que j’ai eu l’idée saugrenue d’utiliser du sérum physiologique. Je m’explique, je ne l’ai pas encore fait donc ça se trouve c’est une idée idiote impossible à réaliser . Est-ce que vous pensez qu’avec une grosse seringue à endo remplie de sérum physiologique, on pourrait injecter le sérum entre la gencive et l’os , ce qui permettrait de décoller la gencive beaucoup plus facilement ? Comme un kärcher qui pourrait rompre la jonction entre la gencive et l’os . Vous savez c’est comme quand vous êtes en pleine nature et que vous faites pipi. Vous voyez de la mousse ou une feuille collée à un arbre, et grâce à la pression de votre jet vous décollez la mousse.


Photo pluton1b h9n4ea - Eugenol
pluton

24/07/2022 à 15h27

Faudrait être certain d’injecter en sous periosté…..
Dans les faits tu vas injecter dans les tissus mous et donc zéro efficacité
Non en fait le vrai truc et astuce utilise de l’eau ou du sérum phy….et une compresse….et au tout départ les bons instruments….
Mais là je ne peux rien te montrer….pas de vidéo sur le sujet et actuellement en vacances


Utilisateur banni

25/07/2022 à 09h16

Oui ça serait une très bonne idée de faire une vidéo. Quand l'os forme comme une sorte de surplomb ou de balcon, avec de la gencive hyper adhérente dessus , c'est parfois délicat. Je suis obligé de passer une lame sous la gencive et d'y aller très progressivement puis ensuite décolleur. Limite c'est plus facile de décoller une membrane sinusienne je trouve.


bouboule

25/07/2022 à 12h21

Le secret c’est d’en faire jusqu’à avoir saisi le truc… en fonction du type de gencive, pour ce genre d’obstacle tu peux utiliser pleins de choses .
Je suis pas fan de la lame par contre… au moindre faux mouvement c’est la boulette.
Sur une gencive version cuir de vache qui est solide comme un roc c’est no limite, jusqu au syndes faucille que tu glisse sous le surplomb pour ensuite faire levier.
Pour les cas plus fins j’aime bien me servir de mes curettes genre curettes de lucas. Ça coupe moins qu’une lame et ça permet d’y aller tout doucement sur une surface bien plus petite qu’avec un décolleur.
Attention aussi a bien avoir incisé un lambeau de pleine épaisseur…l’os doit être bien blanc sous le lambeau…


Icon poker h4nm2d - Eugenol
jeff

27/07/2022 à 13h33

pluton écrivait:
-----
> c'est même mécaniquement totalement impossible s'il ne colle rien en
> bouche....donc le bridge n'est pas à fond et/ou pas passif....

Autres cas de Dimitri : Quad zygo guidé, bridge full zircone tibase collé à l’avance.
Avec la zircone , le moindre défaut de passivité et le bridge est en deux …
Cela fait plus de deux ans qu’il utilise ce protocole.

5gru33cgnnmdmwe0mob4m2078xyf - Eugenol
Tsrlck8evrg3hipq3fmbpy9kw6jd - Eugenol
I019h1amscr6okfqastmzq9k5a3q - Eugenol

Utilisateur banni

28/07/2022 à 10h58

jeff écrivait:
----

> Autres cas de Dimitri : Quad zygo guidé, bridge full zircone tibase collé à
> l’avance.

.
AMHA, faut être novice pour y croire.


Icon poker h4nm2d - Eugenol
jeff

30/07/2022 à 14h49

posit écrivait:
-----
> AMHA, faut être novice pour y croire.

En fait, ta réponse est très intéressante.
Tu as ouvert un post clinique : quel type de guide et pourquoi faire .
Toutes tes interventions sont en fait pour arriver à la conclusion que le mieux , c’est un guide métallique, stérilisable, à appuis osseux , avec une mise en charge immédiate en fin de chir.
Je te montre donc un protocole qui utilise un guide métal , à appuis osseux, avec mise en charge instantanée d’un bridge zircone définitif.
Tu réponds « à mon avis » , ce qui n’a rien de vraiment scientifique . « Seul les novices » : il y a clairement l’idée de décourager les éventuels praticiens qui pourraient être intéressés en les traitant de novices.
« Pourrais y croire » : encore une fois , en sciences, pas question de croyance, mais de preuves et de statistiques. Et c’est pour cela que je vais voir . Pour avoir une opinion qui ne soit pas basée sur des aprioris ou des croyances.
D’ailleurs, tu m’avais demandé le coût . Je n’ai même pas posé la question . C’est sur deux jours. Cela t’intéresse ?


Icon poker h4nm2d - Eugenol
jeff

30/07/2022 à 15h01

Et si c’est pipeau et qu’il colle en bouche, je le dirais, pas de soucis.


Utilisateur banni

31/07/2022 à 11h44

Pourquoi tu t'énerve jeff ?

Libre à ceux qui font des guides à appuis muqueux et ou dentaire de montrer le résultat qu'ils obtiennent. Je te donne mon avis pas une conclusion, pour les REHABILTATIONS TOTALES le guide à appui osseux est plus précis si il est fait sur un scanner !

"mise en charge instantanée" est utilisée, il me semble par les mêmes qui faisaient de la mise en charge légèrement différée et trouvaient plus valorisant de nommer ça immédiate.

Dans la science il y a entre autre l'observation et l'analyse des données. Surement tu peux me fournir aux moins une étude de Dimitri PASCUAL réunissant l'analyse de données de cette technique. J'ai pu observer qu'un implant quelques minutes après sa pose pouvait se dévier par la plasticité de la structure osseuse et la variété de densité, de plus pour avoir fait une étude sur la précision du positionnement obtenu avec mes guides 0° d'angulation de déviation, 0 mn de profondeur et de latéralité n'a été obtenu. tu pense qu'avec d'autres guides c'est possible ?

Encore une fois AMHA la croyance est de penser que c'est possible de visser un bridge avec des piliers MU sans rattrapage d'axes.

Pour ce qui est de poser un bridge en zircone définitif, à par la mort rien n'est définitif. Avec les moyens actuels, si j'étais praticien pour les mises en charge retardées je passerais par une prothèse en résine tendre pour préparer le site receveur avec un stress doux le temps de poser la prothèse d'usage. la zircone ne permettra pas que les pistes d'occlusions se dessinent, pour recharger la prothèse sur l'intrados c'est impossible et dans un autre sujet 4 implants au maxillaire sur + 10 ans je n'ai pas lu d'étude.

Je veux bien avoir les modalités de cette formation.

jeff écrivait:
----
> posit écrivait:
> -----
> > AMHA, faut être novice pour y croire.
>
> En fait, ta réponse est très intéressante.
> Tu as ouvert un post clinique : quel type de guide et pourquoi faire .
> Toutes tes interventions sont en fait pour arriver à la conclusion que le mieux
> , c’est un guide métallique, stérilisable, à appuis osseux , avec une mise en
> charge immédiate en fin de chir.
> Je te montre donc un protocole qui utilise un guide métal , à appuis osseux,
> avec mise en charge instantanée d’un bridge zircone définitif.
> Tu réponds « à mon avis » , ce qui n’a rien de vraiment scientifique . « Seul
> les novices » : il y a clairement l’idée de décourager les éventuels
> praticiens qui pourraient être intéressés en les traitant de novices.
> « Pourrais y croire » : encore une fois , en sciences, pas question de
> croyance, mais de preuves et de statistiques. Et c’est pour cela que je vais
> voir . Pour avoir une opinion qui ne soit pas basée sur des aprioris ou des
> croyances.
> D’ailleurs, tu m’avais demandé le coût . Je n’ai même pas posé la question .
> C’est sur deux jours. Cela t’intéresse ?
>


Icon poker h4nm2d - Eugenol
jeff

01/08/2022 à 08h26

Tu es sur facebook, donc tu as peut être vu sa dernière vidéo ( sur son compte et sur le groupe workflow ).
Sinon : quelques capture d’écran .
Je crois que la, il n’y a plus de doute . Full zircone avec rosenscrew, pas de tibase .
J’ai pas mal de remodelage gingival qui m’empêcherai d’être en prothèse immédiate définitive ( avec des guillemets à « définitif  », si tu veux ) . Il utilise une technique de suture suspendue qui évite peut être ce problème . La question sera à poser .
Le remodelage de l’occlusion sur une prothèse résine est aussi quelques chose d’interessant a ne pas négliger. L’ajustage de l’occlusion reste quand même possible avec les nouvelles zircone à dureté variable.

4rm92ca7boxpdiezmg1jifwh43no - Eugenol
0a9dxr4nnkkn8un8y0pyg7wvtf2q - Eugenol
027iu659rleyysqpgreb3pj6fcgs - Eugenol
Cka0axagf6lwnnd3d7brbbzbviqa - Eugenol
Bpqwxfb4egw25a68i6o3isxo96ul - Eugenol

Utilisateur banni

01/08/2022 à 09h15

Il y a un truc que je ne comprends pas : c’est un bridge zircone temporaire ou c’est un bridge zircone définitif ? Si c’est du définitif immédiat c’est une vaste plaisanterie :
-> remodelage osseux et gingival , suture suspendue ou pas , l’os au niveau des extractions va forcément fondre
-> je n’ose même pas imaginer et regarder l’occlusion. Il n’y a même pas besoin de sortir son papier articuler pour dire que ça va être le bordel . Sur la photo que tu viens de mettre , il est certainement en inocclusion postérieure son bridge sur une ou plusieurs dents. Et je ne vous parle pas de l’occlusion dynamique.
-> et enfin la passivité du bridge. On a tous remarqué qu’on ne faisait pas exactement ce qu’on voulait quand on pose des implants. Il arrive qu’on soit obligé d’enfoncer un peu plus l’implant. Ça arrive de faire 1/4 , 1/2 , 1 , 2 tours en plus. Faudrait positionner pile poil les implants comme c’est planifié. Et encore ! Imaginons qu’on pose exactement les implants comme on veut, il y a toujours de l’imprécision… enfin moi c’est ce que j’ai pu remarquer.

Posit tu vas me répondre honnêtement : quand avec ton guide tu réalises le bridge provisoire, ose me dire que tout rentre impeccable :) il y a de la retouche et pas qu’un peu ….. non ? Osez me dire qu’il n’y a pas de la surocclusion ici ou là, et de l’inocclusion ici ou là, et me dire que vous n’êtes pas obligés de meuler ici , et de rajouter de la résine là car on a de l’inocclusion . Déjà sur des bridges définitifs complet j’ai de la retouche. Ça m’est même arrivé de renvoyer le travail plus d’une fois avec une empreinte optique.
Donc imaginez avec un bridge zircone immédiat définitif.


Utilisateur banni

01/08/2022 à 12h29

jeff écrivait:
----
> Tu es sur facebook, donc tu as peut être vu sa dernière vidéo ( sur son compte
> et sur le groupe workflow ).
> Sinon : quelques capture d’écran .
> Je crois que la, il n’y a plus de doute . Full zircone avec rosenscrew, pas de
> tibase .

En effet il n'y a plus de doute, le bridge n'est pas passif. Comme les implants viennent d'être posés et avec l'aide des vis rosenscrew il contraint les implants dans la prothèse. Sur 4 implants cela peut être fait, sur 8 c'est beaucoup moins évident. Si un des implants dévie plus il ne met pas en charge. La question est quel pourcentage de bridge non posé et combien perte d'implants à 5 ans ?

Si j'ai bien compris le principe est de poser seulement 4 implants et un bridge d'usage en zircone pour pouvoir pratiquer des tarifs au plus bas?


Utilisateur banni

01/08/2022 à 12h59

Fripouille écrivait:
------------

> Posit tu vas me répondre honnêtement : quand avec ton guide tu réalises le
> bridge provisoire, ose me dire que tout rentre impeccable :) il y a de la
> retouche et pas qu’un peu ….. non ?
Le principe que je fabrique est un bridge à armature rigide recouvert de résine avec des ouvertures pour fixer au composite des piliers titane. Tu peux donc ajuster tes niveaux d'enfouissement et compenser les déviations d'axe dans une certaine mesure. Pour l'occlusion tu as aussi un degré de liberté pour ajuster le bridge au dernier moment. Si tu préfères en simple imagine que tu puisses solidariser les transferts et prendre un mordu dans une armature rigide en fin de chir... mai là c'est ton bridge. La difficulté est que tu dois prévoir tous les défauts de précisions et pouvoir tout raccorder à la fin. Après avoir vue des milliers de poses implants en 15 ans c'est assurément pas moi qui vais te dire que tout se déroule sans aucun défaut mais pour autant il faut arriver jusqu'au bout. Le patient est venu et accepté le devis pour repartir avec des dents fixe sur les implants. Je me déplace à chaque poses. Je me vois très mal repartir sans avoir accomplis ma mission alors j'ai créer un protocole en fonction.

Le dernier bridge posé avec ce protocole

45vxmde8ojvrgto5tavsw1d8ry0r - Eugenol
8i6es5c2m3orcyvwhcnv7b8iu0rb - Eugenol
Xjdbj3muhicszp7qmgcwi4fawims - Eugenol
8z7zucs5pn7hxhwkdpxjt81d79ne - Eugenol
1rtk76agcuykkvcw2hmmen92kku2 - Eugenol

Utilisateur banni

01/08/2022 à 13h20

Entre ton bridge armature métallique + résine , et le bridge définitif immédiat zircone …. Je pense qu’il y en a un qui a un peu plus réfléchi au problème , en l’occurrence c’est toi.

D’autant qu’attends on a oublié de dire une chose c’est que les implants ils ne prennent pas dans 100% des cas . Alors imagine tu fais directement un bridge définitif, le praticien se retrouve comme un con avec un bridge définitif qu’il faudra refaire . Il paiera deux bridges définitifs.
Tu poses 8/9 implants au maxillaire, ça arrive d’en pommer un . T’es bien content :
1) d’en avoir posé 9 car il t’en restera 8
2) et surtout t’es bien content de ne pas avoir fait du définitif directement

Mais même Posit avec un nombre restreint d’implants , là je parie un très gros billet qu’au niveau de l’occlusion on y est pas. Ce sont des dizaines de contacts . Je serais littéralement sur le cul si je voyais qu’il n’y a pas de bonne zone en sous occlusion ou sur occlusion. D’où l’intérêt de faire un bridge dents résine. Car une bonne zone en sous occlusion sur un bridge zircone tu peux te brosser pour rajouter de la résine par dessus :)


Utilisateur banni

01/08/2022 à 14h41

Merci Fripouille

Je vois aussi d'autres paramètres, lorsque tu arrives à faire de la MCI c'est que tu commence à poser un nombre d'implants conséquent et que ta pratique chir est élargie. Pour cela ta patientèle risque de limiter cet exercice sans l'apport de correspondants.

Pour ceux qui posent la prothèse quel intérêt vont ils avoir si ta proposition comprend la prothèse?

Les patients réunissant besoin et finances ne sont pas nombreux. Si pour arriver à proposer un tarif au plus bas tu dois passer + de temps à préparer le cas pour au final avoir la rentabilité de prothèse traditionnelles, pourquoi prendre autant de risque?

Pour un correspondant la prothèse transitoire armat/résine est un gain de temps.
Tu as la DVO avec les pistes d'occlusion voir tu peux la rectifier facilement au besoin. Les tissus mou sont stabilisés et si besoin tu peux ajuster l'intrados. Une fois ces points réaliser avec ce modèle le patient peut clairement expliquer ses attentes esthétique pour la prothèse d'usage, longueur, forme des dents... et là avec les empreintes numériques un scan avec et sans bridge + scan body tu as tous les éléments pour à fournir au labo pour recevoir la prothèse dans de bonnes conditions.


Icon poker h4nm2d - Eugenol
jeff

01/08/2022 à 21h32

posit écrivait:
----

« En effet il n'y a plus de doute, le bridge n'est pas passif »
Vraiment, t’es trop fort :)
Autant de mauvaise fois pour dénigrer une pratique que tu ne connais pas, c’est haut niveau :)
Cela se vois que tu n’as jamais utilisé une rosenscrew . Imaginer que tu puisses déplacer un implant en forçant le vissage dans un bridge zircone, c’est du plus haut comique .
Effectivement, quand le bridge est définitif, il peut perdre des correspondants qui enverrons ailleurs les implants.
Perso , j’ai quelques correspondants en implanto et aucun ne veut s’emmerder a faire des empreinte en plâtre , clef de validation, de…ils sont très content de m’envoyer le cas à gérer de À à Z.
Enfin, pour l’occlusion , effectivement, souvent beaucoup de retouche dans un bridge avec pilier collé en bouche sans aucun repère. Si on enfonce plus d’un côté , rien le l’empêche .
Perso , mes provisoires à armature métallique avec pilier collé en bouche sont soit sur guide à étage , soit avec des supports qui se cale dans les puits de clavette, pour garder la relation défini par le projet numérique.
La question du nombre d’échec sera bien sûr posée.
Enfin, s’il doit refaire le bridge zircone a 6 mois, il refait gratos .

« Si j'ai bien compris le principe est de poser seulement 4 implants et un bridge d'usage en zircone pour pouvoir pratiquer des tarifs au plus bas?« 
Non, tu n’as pas bien compris.



Icon poker h4nm2d - Eugenol
jeff

01/08/2022 à 22h01

posit écrivait:
> Pour un correspondant la prothèse transitoire armat/résine est un gain de temps.

J’ai tendance à être de ton avis. J’ai une patiente ou j’ai modélisé et imprimé 4 bridges avec forme de dent, et hauteur de fausse gencive différente pour qu’elle valide la forme définitive.
Donc, l’idéal serait : un guide métallique rigide, stérilisable, à appuis osseux, avec un bridge provisoire : soit résine à armature métallique réalisé entièrement en amont, pilier ou tibase déjà collé, pour éviter de coller en bouche, combler les manques, retoucher, polir . Avantage résine : usure possible et adaptation de l’occlusion . Ou en zircone temporaire : avantage : meilleur cicatrisation gingivale.
Visser directement le bridge fini dès la pose du dernier multiunit, quel praticien peut me dire qu’il ne rêve pas de ça ?


Utilisateur banni

01/08/2022 à 23h07

jeff écrivait:
----

> Donc, l’idéal serait : un guide métallique rigide, stérilisable, à appuis
> osseux, avec un bridge provisoire : soit résine à armature métallique réalisé
> entièrement en amont, pilier ou tibase déjà collé, pour éviter de coller en
> bouche, combler les manques, retoucher, polir . Avantage résine : usure
> possible et adaptation de l’occlusion . Ou en zircone temporaire : avantage :
> meilleur cicatrisation gingivale.
> Visser directement le bridge fini dès la pose du dernier multiunit, quel
> praticien peut me dire qu’il ne rêve pas de ça ?
>

A un moment il faut revenir les pieds sur terre, mon protocole permet d'avoir un bridge passif en 3h, si tu veux gagner 1 h avec celui de Dimitri AMHA le risque d'échec ne vaut pas la chandelle.

Tccvtqf6p2bhenu13eitoqow41xj - Eugenol

Utilisateur banni

01/08/2022 à 23h13

jeff écrivait:
----
> posit écrivait:
> ----
>
> « En effet il n'y a plus de doute, le bridge n'est pas passif »
> Vraiment, t’es trop fort :)
> Autant de mauvaise fois pour dénigrer une pratique que tu ne connais pas, c’est
> haut niveau :)
> Cela se vois que tu n’as jamais utilisé une rosenscrew . Imaginer que tu puisses
> déplacer un implant en forçant le vissage dans un bridge zircone, c’est du plus
> haut comique .

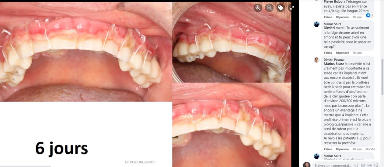
Voici ce que répond Dimitri lorsqu'on lui pose la question de la passivité:

« Marius Sturz
Dimitri merci! Tu as vraiment le bridge zircone usiné en amont et tu peux avoir une telle passivité pour le poser en perop?
Dimitri Pascual
Marius Sturz la passivité n’est vraiment pas importante à ce stade car les implants n’ont pas encore cicatrisé . Ils vont être contraint par la prothèse petit à petit pour rattraper les petits défauts d’axe/hauteur de la chir guidée ( on parle d’environ 200/300 microns max, pas beaucoup plus ) . La encore un avantage à ne mettre que 4 implants. Cette prothèse primaire est la plus « biologique/passive » car elle a servi de tuteur pour la cicatrisation des implants.
Je revois les patients à 3j pour resserrer la prothèse. »
.
Si tu trouve drôle de passer 3 jours et dépenses 3 000€ pour répondre à une question dont tu connais la réponse pour avoir un patient qui ressemble à un salami cela peut être en effet, du haut comique.

K829ndcfrh3bbf1fzug7f7tnsiwa - Eugenol

Icon poker h4nm2d - Eugenol
jeff

02/08/2022 à 23h21

J’ai fais une empreinte post op immédiate pour que Design4ME me modélise et m’envoie un bridge complet à imprimer en rosenscrew. La déformation lié au scan complet avec ma médit à rendu impossible la pose d’un bridge , pourtant en résine . J’ai du meuler et coller des tibase . Donc, pour ne pas casser un bridge qu’il visse à 25 n/cm, je pense qu’il ne doit vraiment pas être loin du truc nickel.
J’ai fais le cour de la sapo sur le all on four. Quand j’ai montrer à Nicolas Boutin une de mes vidéo, certain m’ont demandé ce que je faisais la.
Je trouve toujours intéressant de rencontrer des mec super baleze en chirurgie. On en retire toujours quelques chose.
Et ce n’est pas parce que je vais voir comment il fait que je ferais pareil . Il faut déjà avoir un super labo. Mes deux dernier bridge full zircone ont cassé en deux . Pourtant , super labo à Bordeaux.
Pose la question à pluton . S’il pouvait ne pas coller les piliers et visser directement le bridge , il le ferait volontiers, je pense .
Ce n’est pas parce que certain y arrive que ton protocole n’est pas bon. Arrête de vouloir avoir toujours raison .


Utilisateur banni

03/08/2022 à 02h48


Tu fais une affirmation
Tu parles de science comme si ce que je raconte n'en avais pas
Tu me traites de menteur

Tu es sûr que c'est moi qui veux avoir toujours raison ?

jeff écrivait:
----
> J’ai fais une empreinte post op immédiate pour que Design4ME me modélise et
> m’envoie un bridge complet à imprimer en rosenscrew. La déformation lié au scan
> complet avec ma médit à rendu impossible la pose d’un bridge , pourtant en
> résine . J’ai du meuler et coller des tibase . Donc, pour ne pas casser un
> bridge qu’il visse à 25 n/cm, je pense qu’il ne doit vraiment pas être loin du
> truc nickel.
> J’ai fais le cour de la sapo sur le all on four. Quand j’ai montrer à Nicolas
> Boutin une de mes vidéo, certain m’ont demandé ce que je faisais la.
> Je trouve toujours intéressant de rencontrer des mec super baleze en chirurgie.
> On en retire toujours quelques chose.
> Et ce n’est pas parce que je vais voir comment il fait que je ferais pareil . Il
> faut déjà avoir un super labo. Mes deux dernier bridge full zircone ont cassé en
> deux . Pourtant , super labo à Bordeaux.
> Pose la question à pluton . S’il pouvait ne pas coller les piliers et visser
> directement le bridge , il le ferait volontiers, je pense .
> Ce n’est pas parce que certain y arrive que ton protocole n’est pas bon. Arrête
> de vouloir avoir toujours raison .


Utilisateur banni

03/08/2022 à 10h22

posit écrivait:
-----
>
> Tu fais une affirmation
> Tu parles de science comme si ce que je raconte n'en avais pas
> Tu me traites de menteur
>
> Tu es sûr que c'est moi qui veux avoir toujours raison ?
>
> jeff écrivait:
> ----
> > J’ai fais une empreinte post op immédiate pour que Design4ME me modélise et
> > m’envoie un bridge complet à imprimer en rosenscrew. La déformation lié au
> scan
> > complet avec ma médit à rendu impossible la pose d’un bridge , pourtant en
> > résine . J’ai du meuler et coller des tibase . Donc, pour ne pas casser un
> > bridge qu’il visse à 25 n/cm, je pense qu’il ne doit vraiment pas être loin du
> > truc nickel.
> > J’ai fais le cour de la sapo sur le all on four. Quand j’ai montrer à Nicolas
> > Boutin une de mes vidéo, certain m’ont demandé ce que je faisais la.
> > Je trouve toujours intéressant de rencontrer des mec super baleze en
> chirurgie.
> > On en retire toujours quelques chose.
> > Et ce n’est pas parce que je vais voir comment il fait que je ferais pareil .
> Il
> > faut déjà avoir un super labo. Mes deux dernier bridge full zircone ont cassé
> en
> > deux . Pourtant , super labo à Bordeaux.
.

> > Pose la question à pluton . S’il pouvait ne pas coller les piliers et visser
> > directement le bridge , il le ferait volontiers, je pense .
.
il sait très bien que poser un bridge dans cette configuration sans rattrapage d'axe n'est pas possible au mieux et impossible en cas de divergence importante d'un seul implant.
pluton écrivait:
------
> jeff écrivait:
>
> > Quand à Dimitri, je pense qu’il mets des multiunit. Je pense aussi que le
> bridge
> > zircone est avec tibase, mais collé à l’avance . A priori, il ne colle rien en
> > bouche . Mais j’avoue être extrêmement interrogatif sur sa technique.
> > Cela me semble tellement impossible de reproduire à quelques dixièmes près
> > l’enfoncement ou la rotation d’un pilier angulé pour avoir un bridge zircone
> > fait à l’avance qui tombe nickel .
>
> c'est même mécaniquement totalement impossible s'il ne colle rien en
> bouche....donc le bridge n'est pas à fond et/ou pas passif....
.


> > Ce n’est pas parce que certain y arrive que ton protocole n’est pas bon.
.
non personne fait un bridge passif en amont.
.

> Arrête
> > de vouloir avoir toujours raison .
>

G5ikzlva90t5qn65koy9z51hmlvy - Eugenol

Icon poker h4nm2d - Eugenol
jeff

03/08/2022 à 10h29

posit écrivait:
-----
>
> Tu fais une affirmation

Certe, c'est une opinion que se forge a mesure de la discussion. Purement subjective, je te l'accorde.

> Tu parles de science comme si ce que je raconte n'en avais pas

Pour etre clair, tu est un expert dans la conception des guides , avec une tres grande expérience et des innovations telles tes premières greffe de fibula.
C'est a ce titre que ta parole est utile et intéressante sur eugenol.
Tu as souvent produit des études sur la précision des guides, donc, tu sais ce qu'est la science. Ce n'est pas " a mon avis, c'est pipeau son truc, son bridge n'est pas passif...etc. " .
Je ne cherche pas a avoir raison, j'alimente une discution avec des faits.
Et , en effet, je donne aussi un avis. Je trouve super de pouvoir visser le bridge directement apres la pose du dernier multiunit.
Le service que tu apportes en venant sur place est tres confortable pour le praticien, car une fois les piliers collé, celui ci peut faire les greffes et sutures pendant que tu termine le bridge.
Mais tous ne font pas appel a toi. Perso, mon prothésiste locale ne maitrise pas les grands bridges sur implant. Je ne me vois pas lui demander de venir faire le provisoire pour ensuite bosser ailleurs. Donc, c'est moi qui fini le bridge, et le patient attends 1/2 h sur le fauteuil. ce n'est pas l'ideal. L'autre avantage est de pouvoir faire les sutures suspendu qui donne surement de super résultat. Ta phrase a ce sujet, c'est " pour avoir un patient qui ressemble à un salami " : encore une fois, du dénigrement gratuit sans aucune connaissance de la technique.


> Tu me traites de menteur
je ne crois pas avoir fait ça. J'ai dit que tu te permettais d'avoir un avis sur les rosenscrew et vissage d'un bridge zircone que tu n'a jamais réalisé. Traiter quelqu'un de menteur n'est pas tres valorisant pour l’auteur. Donc, dire que je te traite de menteur, alors que c'est faux, c'est... moyen...

Meme en 2013, beotien écrivait:
-----------------
> .L’étape suivante : Pouvoir imprimer de manière fiable en 3D les cas avec les
> faux moignons afin que le prothésiste fasse à l’avance les provisoires...

Enfin si cela interresse certain, et que tu n'y vois pas d'objection, ne voulant pas de polémique inutile, je peux montrer le design de mon prochain cas.


Utilisateur banni

05/08/2022 à 09h30

Le principal argument de la mise en en charge immédiate est de pouvoir proposer au patient un temps réduit au maximum pour avoir une prothèse esthétique et fonctionnelle. Les patients qui réunissent le besoin et les moyens sont peu nombreux. Souvent actif, ils veulent pouvoir retrouver une présentation correcte pour reprendre leur travail sans perte de temps. A 6 jours post opératoire comment tu trouves l'aspect esthétique du cas de Dimitri PASCUAL? jeff
.
.
Tu peux profiter de cette photo pour lire que le bridge n'est pas passif.

1enztx0ia63uijgjqwndo27z3dzw - Eugenol

1...456...