Cookie Consent byPrivacyPolicies.comGuide chirurgical à appui, osseux, dentaire, muqueux ? et - Eugenol
Icon poker h4nm2d - Eugenol
jeff

07/08/2022 à 21h35

A 6 jours, c'est certain que l’esthétisme n'est pas top. A voir si c'est systématique avec sa technique de suture. et surtout ce que cela apporte a long terme. J'ai déjà dis que personnellement, avec des sutures classique, j'ai pas mal de remodelage et même exposition de piliers. Donc, si cette suture suspendu évite cela et permets une meilleurs gencive attachée, cela me va. Le patient doit être informé, et au courant du benefice qu'il retirera de cette gêne momentanée.
Effectivement, le bridge n'est peut etre pas 100 % passif. J'ai lu aussi ce post. Ce n'est vraiment pas un probleme au vu du confort de ne rien coller en bouche.
Et c'est déjà d'une énorme précision pour permettre le vissage sur multi-unit.
Les armature soudée en bouche avec une soudeuse intra orale ne sont pas non plus passive, la deformation du fil lors de la soudure entraine une legere perte de passivité. Cela n’empêche en aucun cas l'ostéo-integration des implants.
Pas vraiment d'argument contre cette technique, a mon sens.
Prochain cas le 3 septembre : pas de guide osseux, je fais quasi flapless. Bridge prov, pilier collés en bouche, armature titane, dents imprimées en resine Flexera.

V28kchroaw3wgiuussby55n64d2j - Eugenol
Boiyv3kz03xkj2gwp79d5bxxc64b - Eugenol
7y7lp7gr85ingbpznjncftwievx8 - Eugenol
Pgbqo4k6b4popdb9zedybsir5jsi - Eugenol
6zkhduc9n0hhkqflve35fgyvjfpm - Eugenol
7nbiubjxwgqshg14dj7prcjnf60e - Eugenol
Y44njrs3ybkvliaa0qdbx7r4zw2v - Eugenol

Utilisateur banni

07/08/2022 à 21h47

jeff écrivait:
----

> ... j'ai pas mal de remodelage et même exposition de piliers. Donc, si cette suture suspendu
> évite cela et permets une meilleurs gencive attachée, cela me va. ....
.
tu peux montrer les photos post- op des cas que que tu as fais en MCI avec mes guides ?


Icon poker h4nm2d - Eugenol
jeff

08/08/2022 à 16h49

posit écrivait:
> tu peux montrer les photos post- op des cas que que tu as fais en MCI avec mes
> guides ?

Helas, je ne crois pas. D'une part, car je ne serais pas au cab avant trois semaines et que les ordi sont éteint. Je ne peux pas me connecter a distance.
Et d'autre part, j'ai abandonné kitview pour mettre toute mon imagerie dans logos. J'ai donc perdu toutes mes photos antérieures a deux ans.
Les post op ou tu etais present, tu dois les avoir. Je n'ai de toute façon jamais fais de photo à 6 jours.
Ce qui me gene le plus, c'est plutot a deux mois.


Utilisateur banni

08/08/2022 à 17h53

En forçant bien tout rentre :))
Ça doit faire une belle petite pression sur l’os en tout cas … je ne suis pas certain que cela facilite l’osteointégration. Il me semble avoir appris que l’échauffement osseux et la compression osseuse étaient néfastes à l’osteointegration.
Et l’occlusion j’aimerais bien regarder ce que ça donne , ça doit être rigolo à regarder


Icon poker h4nm2d - Eugenol
jeff

09/08/2022 à 10h39

Fripouille écrivait:
------------
> En forçant bien tout rentre :))

Pas vraiment. La limite élastique d’un bridge full zircone ne doit pas permettre beaucoup de variation .
Si trop de décalage et que tu force , c’est le bridge qui casse.
Et si Dimitri avait beaucoup d’échec d’osteointegration , j’imagine qu’il aurait abandonné son protocole.
Question à poser à la formation.


Utilisateur banni

09/08/2022 à 10h50

J'imagine qu'il te fournira les stats


Icon poker h4nm2d - Eugenol
jeff

14/08/2022 à 22h20

Autre cas en septembre. Toujours un guide à étage prevu. Cette fois avec lambeau pour expansion et sticky bone. Le sujet du post est " quel guide, pourquoi faire ". En fait, selon le cas, je vais choisir un guide osseux, avec ou sans étage, un prov avec ou sans armature metal, suivant la porté entre les implants, le support osseux accessible ou non...C'est assez au feeling, pendant la planif que je décide du type de guide .
Je n'ai pas encore complétement confiance a la résine imprimé pour un all on 4, sans fausse gencive: beaucoup de portée entre les implants, et une épaisseur de résine limité, même si je sais que certain le font.
Ici : étage clavette positionné avec support dentaire, guide de forage full guided , trousse ETK, positionnement du bridge prov sur l’étage clavette , bridge avec armature métal et pilier collés en bouche.

60c0qrq2m1r6updaenp5we64i8lb - Eugenol
0jfv2cc0fzmjbi05fhp8wfbhkmgf - Eugenol
Ryy4pgzatnc18smd4s5kvubza18l - Eugenol
Grn7a6g39wup6s02otc7b5iy9mj3 - Eugenol
5ftxwb8y71uckfmwz683mqd0l1ry - Eugenol
Lj175twkyr6043ecdz6o2awudlyx - Eugenol
Gorennr7axxg71yvq1kokkqmqrs0 - Eugenol
Hdsjekd24dxe6jwcpr5ey2ygz9hu - Eugenol

Utilisateur banni

15/08/2022 à 06h35

Alors là par contre le guide à étage ça me plaît bien.
J’ai une patiente sur qui j’ai viré toutes les dents maxillaires sauf 3 dents qui dégageront pendant la chirurgie. Genre il reste 23 24 26
- est-ce qu’il est possible de faire un guide à étage  « occlusale » ?
1) cône beam , scannage appareil mobile provisoire
2) le prothésiste fait son guide
3 ) la base est mise en place en occlusion (avec une simulation des futures dents de 22 à 17) . La patiente serre , je fixe la base.
4) je change d’étage pour poser les implants de 22 à 17
5) j’extrais 23 24 26
6) nouvel étage pour poser de 23 à 27
7) bridge provisoire sur la base avec vérification de l’occlusion , je solidarise , sutures suspendues

Ou à moins que ça soit plus intelligent d’enlever les 3 dents une fois la base fixée , du coup un seul étage pour poser tous les implants… puis provisoire


Icon poker h4nm2d - Eugenol
jeff

16/08/2022 à 09h05

Fripouille écrivait:
------------
> Alors là par contre le guide à étage ça me plaît bien.
> J’ai une patiente sur qui j’ai viré toutes les dents maxillaires sauf 3 dents
> qui dégageront pendant la chirurgie. Genre il reste 23 24 26
> - est-ce qu’il est possible de faire un guide à étage  « occlusale » ?
> 1) cône beam , scannage appareil mobile provisoire
> 2) le prothésiste fait son guide
> 3 ) la base est mise en place en occlusion (avec une simulation des futures
> dents de 22 à 17) . La patiente serre , je fixe la base.
> 4) je change d’étage pour poser les implants de 22 à 17
> 5) j’extrais 23 24 26
> 6) nouvel étage pour poser de 23 à 27
> 7) bridge provisoire sur la base avec vérification de l’occlusion , je
> solidarise , sutures suspendues
>
> Ou à moins que ça soit plus intelligent d’enlever les 3 dents une fois la base
> fixée , du coup un seul étage pour poser tous les implants… puis provisoire

La , tu propose de fixer le guide base ( j'appelais cela guide clavette, mais il semble que tout le monde appelle cela le guide base pour l’étage support ), en ayant comme repère les futures dents prothétique, en occlusion. Pour faire cela, il ne faudrait pas que les dents restante gêne l'occlusion ( par exemple , avec une molaire egressée ). Je n'ai jamais vu cela pour un édentement partiel. J'ai déjà fait pour un complet.

Mais j'ai un doute et peut etre mal compris : tu veux peut etre fixer le guide base prothese partiel prov en bouche, avec une goutiere qui recouvre alors l'arcade complete. Il faut alors que la prothese provisoire soit vraiment stable pour qu'il n'y ai pas de deviation alors de la mise en place des clavette. possible aussi de réaliser des indentement dans la goutiere support si tu a scanné l'arcade inf et enregister la RIM avec un espace pour la futur gouttière. Le patient serre alors sur la gouttière, ce qui la stabilise.

Cela peu aussi délicat de forer et placer les clavettes quand le patient a la bouche fermé en occlusion.

En général, quand il reste des dents il y a soit des supports simple sur les dent, soit comme une gouttière sur mon cas. Pour cela, il ne faut pas que les dents soit trop paro.

Si l’édentement est assez ancien et bien cicatrisé, le guide a appuis osseux est envisageable. Posit, en demandant des scanner arrive a avoir une meilleurs définition de l'os pour les guide osseux, mais le cone beam est plus délicat avec plus d'artéfact et enregistre beaucoup moins bien l'os en formation peu minéralisé.
Enfin, pour ta deuxième question, je ne vois pas trop l’intérêt de faire deux guides implant sur un guide base.
J'ai deja vu des cas avec deux guides implants, mais sans étage : premier guide a appuis dentaire classique pour mettre les implants dans les zones édentées, puis extraction, fixation du deuxième guide sur les implants posé.

Je trouve plus simple d'avoir un seul guide implant : tu utilise ton foret n°1 partout, puis le 2... C'est a mon sens plus ergonomique.

Je vois que tu semble également intéressé par les suture suspendues. C'est le soucis avec le fait de coller les piliers en bouche : tu laisses le lambeau en vrac pendant 1/2 h., le temps de finir le bridge. Si ton prothésiste est sur place, et que tu as des greffe osseuse a faire, libération du lambeau.. tu peux faire ça pendant que ton prothésiste fini le bridge. pas de temps perdu pour le patient a attendre pour rien.

Dernier point. il y a un avantage à être capable de designer soit même le guide, c'est que si tu veux faire ton idée, c'est possible. Sinon, cela dépend de ton prothésiste qui en général va rester dans ce qu'il sait faire et ne pas expérimenter des nouveautés. A voir avec lui. ou, une boite spécialisée dans le dessin des guides style design4me. ( il en a d'autres, maintenant qui font les même prestation, je n'ai pas le nom en tete, ni de lien avec design4me :) ).


Utilisateur banni

19/08/2022 à 16h19

C'est intéressant jeff de présenter tes projets implantaire. Peux tu poster les panoramiques ainsi que que les projets implantaire pour apprécier ton choix de réhabilitation par une architecture de 4 implants pour 1 bridge sur ces cas ?


Icon poker h4nm2d - Eugenol
jeff

20/08/2022 à 12h01

posit écrivait:
-----
> C'est intéressant jeff de présenter tes projets implantaire. Peux tu poster les
> panoramiques ainsi que que les projets implantaire pour apprécier ton choix de
> réhabilitation par une architecture de 4 implants pour 1 bridge sur ces cas ?

En week-end 😉
Je fais cela lundi pour les trois cas de septembre.


Photo pluton1b h9n4ea - Eugenol
pluton

20/08/2022 à 18h01

Et tu fais quoi si tu as un des 4 implants prévus qui ne tient pas bien ?
Parce que all on 4 but nothing on 3……
Et franchement un all on 4 maxillaire j’ai fait 2 fois….mais sur des mamies de 80 balais….et sites cicatrisés pour remplacer un complet donc si pb, elles repartent avec leur complet comme avant….


Icon poker h4nm2d - Eugenol
jeff

22/08/2022 à 08h17

pluton écrivait:
------
> Et tu fais quoi si tu as un des 4 implants prévus qui ne tient pas bien ?
> Parce que all on 4 but nothing on 3……
> Et franchement un all on 4 maxillaire j’ai fait 2 fois….mais sur des mamies de
> 80 balais….et sites cicatrisés pour remplacer un complet donc si pb, elles
> repartent avec leur complet comme avant….

Excellente question, mais qui se pose aussi avec plus d’implant. J’ai eu un cas avec des extractions pas possible . Il y avait 6 implants prévus . Trois fractures de table externe. Comme j’avais prévu un bridge sur rosenscrew avec Design4me, ils m’ont fait un complet que j’ai imprimé et donné le soir .
Maintenant , je préviens toujours le patient que c’est un risque possible et je design et imprime un complet au cas où .
J’avais parfois du mal à avoir les 35 N/cm avec les naturactis, même en sous forant. Quasi plus de problème avec les i-bones 3,5 / 4,3. En 4,3, cela passe avec la trousse de chirurgie guidé ETK, qui est faite normalement pour les naturactis.
14 mm de long, un 12 éventuellement.
Si moins de longueur, je vais mettre 6 ou 8, ou on part sur du sinus et de la greffe.
Ou ça , mais j’en ai fait qu’un, jamais en quad zygo 🤔😉

Dpxp9lg1ocw4kso17bhx5iyqiumi - Eugenol

Icon poker h4nm2d - Eugenol
jeff

22/08/2022 à 19h01

10 mn, quand le bridge est déjà modélisé.

Ttu5w1eiazp5zux3vjk6n6iju4s7 - Eugenol

Icon poker h4nm2d - Eugenol
jeff

22/08/2022 à 19h13

Cas 1 : Implants de 14 et 12 mm, tous en appuis bi-corticale, patiente agé, emergence des implants distaux au niveau des 5. zone assez cicatrisés pour les implants , sauf pour 12 mais qui a un bon ancrage palatin. Pas trop de solution pour en mette 6. rien en distal. Bon cas de AO4 a mon avis.

T3p4fqhl3zgtmf39b7bhgoovri02 - Eugenol

Icon poker h4nm2d - Eugenol
jeff

22/08/2022 à 19h21

cas 2 : pareil. un seul implant de 12, 3 en 14 mm. zone edentée tres fine, juste un peu de place la ou j'ai mis l'implant 22. os type 4 en arriere des 7. patiente de 65 ans.

Xh47xbfq3rchddh0y9shr6umyyc5 - Eugenol

Icon poker h4nm2d - Eugenol
jeff

22/08/2022 à 19h29

cas 3 : patient 50 ans. avoir des 7 est plus important . implants plus court : 4 de 12, un 14 et un 10. émergence des implant en 14 24 : obligation de chercher un appuis postérieur : deux ptérygoidiens.
Pas de guide à étage : guide appuis osseux, bridge a armature métal avec pilier collé en bouche avec indexation du bridge grâce aux clavettes du guide.

6wgm3y421bhwchrd10giu1y212a4 - Eugenol
Ccj0u387ms8peuxe2whnnczqbegm - Eugenol

Utilisateur banni

07/09/2022 à 20h27

jeff écrivait:
----
> pluton écrivait:
> ------
> > Et tu fais quoi si tu as un des 4 implants prévus qui ne tient pas bien ?
> > Parce que all on 4 but nothing on 3……
> > Et franchement un all on 4 maxillaire j’ai fait 2 fois….mais sur des mamies de
> > 80 balais….et sites cicatrisés pour remplacer un complet donc si pb, elles
> > repartent avec leur complet comme avant….
>
> Excellente question, mais qui se pose aussi avec plus d’implant. J’ai eu un cas
> avec des extractions pas possible . Il y avait 6 implants prévus . Trois
> fractures de table externe. Comme j’avais prévu un bridge sur rosenscrew avec
> Design4me, ils m’ont fait un complet que j’ai imprimé et donné le soir .
> Maintenant , je préviens toujours le patient que c’est un risque possible et je
> design et imprime un complet au cas où .
> J’avais parfois du mal à avoir les 35 N/cm avec les naturactis, même en sous
> forant. Quasi plus de problème avec les i-bones 3,5 / 4,3. En 4,3, cela passe
> avec la trousse de chirurgie guidé ETK, qui est faite normalement pour les
> naturactis.
> 14 mm de long, un 12 éventuellement.
> Si moins de longueur, je vais mettre 6 ou 8, ou on part sur du sinus et de la
> greffe.
> Ou ça , mais j’en ai fait qu’un, jamais en quad zygo 🤔😉
>

La table externe ont s'en fout un peu, après extraction elle va se résorber totalement avant d'opérer son processus de remodelage . Sur 8 implants au maxillaire même sans une fixation primaire importante tu peux mettre en charge. La question est sur 4 implants (tout sur 4) comment tu fais si un implants n'est pas stable .... le réponse est tu ne fait pas !


Utilisateur banni

07/09/2022 à 20h35

jeff écrivait:
----
> cas 3 : patient 50 ans. avoir des 7 est plus important . implants plus court :
> 4 de 12, un 14 et un 10. émergence des implant en 14 24 : obligation de
> chercher un appuis postérieur : deux ptérygoidiens.
> Pas de guide à étage : guide appuis osseux, bridge a armature métal avec pilier
> collé en bouche avec indexation du bridge grâce aux clavettes du guide.

Sur la tubérosité au maxillaire la densité est très faible généralement, AMHA ou tu peux placer un 13 et le coincer entre l'aile du ptérygo et l'os maxillaire ou tu traverser le ptérygo pour avoir un ancrage primaire.


Icon poker h4nm2d - Eugenol
jeff

08/09/2022 à 17h17

posit écrivait:
-----

> Sur la tubérosité au maxillaire la densité est très faible généralement, AMHA ou
> tu peux placer un 13 et le coincer entre l'aile du ptérygo et l'os maxillaire
> ou tu traverser le ptérygo pour avoir un ancrage primaire.

Tu as raison, c'est prévu 14 mm en ptérygoïdien. fin septembre.


Icon poker h4nm2d - Eugenol
jeff

08/09/2022 à 17h36

posit écrivait:Sur 8 implants au
> maxillaire même sans une fixation primaire importante tu peux mettre en charge.

C'est completement vrai, c'est le principe en basal ou les disques implants et plaques ne sont pas toujours tres stable : fixation externe avec un bridge prov et une grosse armature métal ( avec meme parfois une barre transpalatine !! ). Probleme quand même quand tu dois serrer un pilier multi-unit a 30 N\cm et que l'implant tourne encore a 15 !

> La question est sur 4 implants (tout sur 4) comment tu fais si un implants
> n'est pas stable .... le réponse est tu ne fait pas !

Encore vrai. C'est pour cela que je préviens toujours le patient et prépare un complet imprimé de secours. Je sélectionne surtout les cas favorables, et parfois, il n'y a tout simplement pas de place pour 8 voir 6 sans greffe.

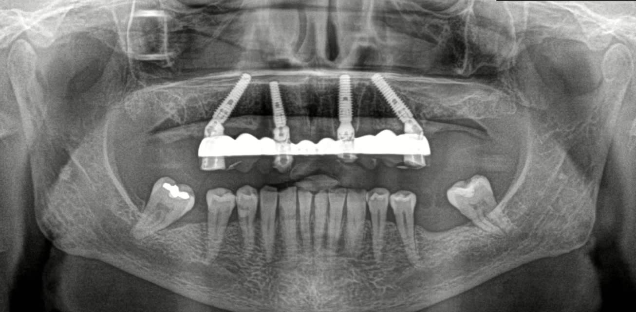
Le cas de la semaine derniere : implants super stable. Premier coup de bistouri a 9h45, patiente sortie à 13h. J'ai galéré avec un satané apex cassé et des canines rebelles : presque 3/4 h pour les extractions !

Yw04p2r2cprbkpeh89rcvauinjez - Eugenol
Teve07z8gwsslp5ccit137v3wmiu - Eugenol
Fka64jqq2fgdo4n9o9dizq0fvao5 - Eugenol
2vgkf6asr02g5o3ef9z6mlb5wzn6 - Eugenol
Kviya0h7xzdty3de38yvo6lsxvjl - Eugenol
Nhqobuwwkmal4zpnax11f6a67ar0 - Eugenol
2lqffr4wo4sv8qtj03hritiu87iz - Eugenol

Icon poker h4nm2d - Eugenol
jeff

08/09/2022 à 17h38

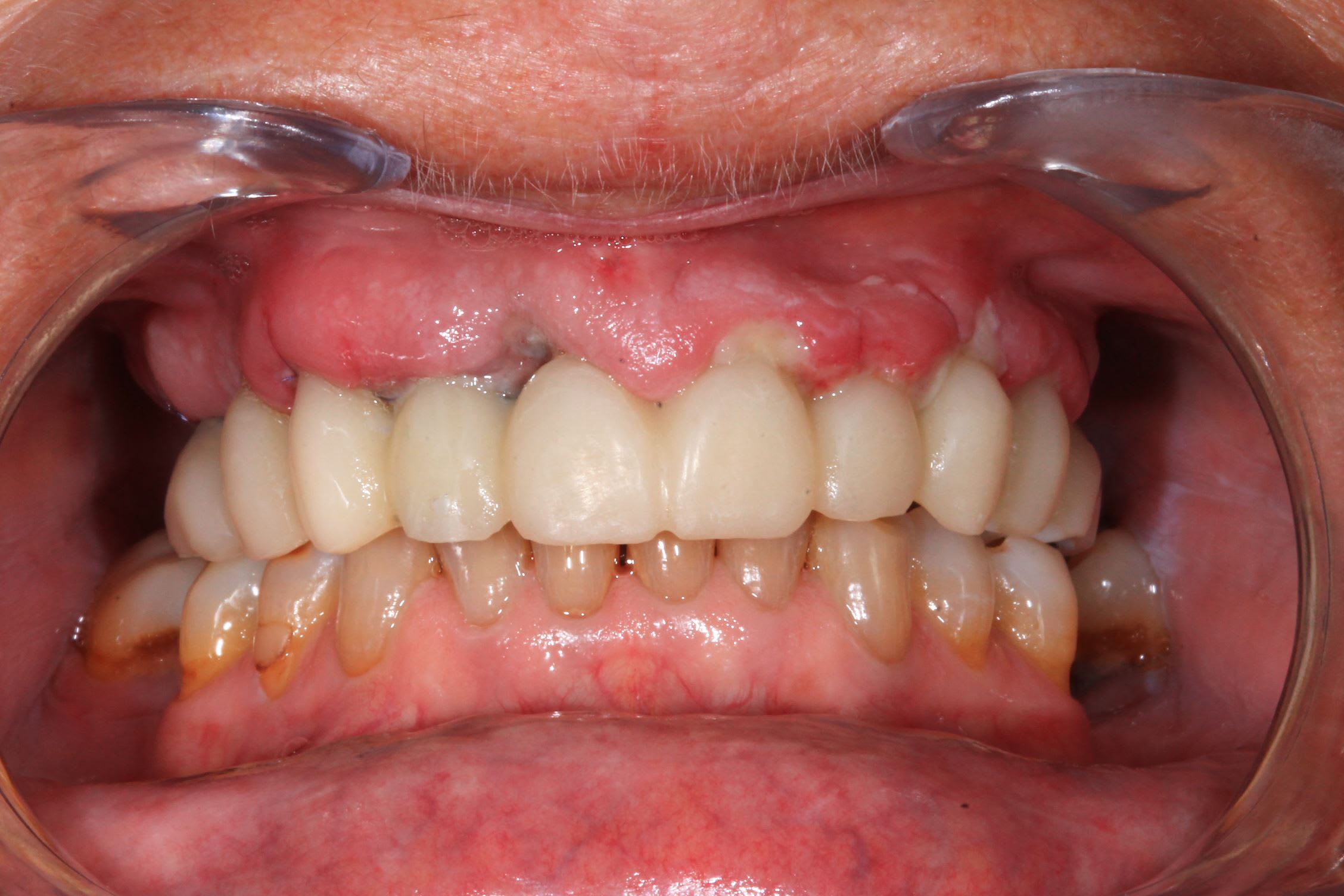
la suite. Photo post op immédiate et a trois jours.

Bbnxm5evyqv8l5hr4wg9j0g30jug - Eugenol
Qpcuob9ryt6w3p1hfai2ieix7vvf - Eugenol
Qoupbqkhgtgbhuidl5sdfmfzsoq9 - Eugenol
H0teb3y52gvmgei2isn80zh3f2pd - Eugenol
Rqattwnl3uuw0ycoebd4owl1v19z - Eugenol

Utilisateur banni

08/09/2022 à 18h48

jeff écrivait:
----
> posit écrivait:Sur 8 implants au
> > maxillaire même sans une fixation primaire importante tu peux mettre en
> charge.
>
> C'est completement vrai, c'est le principe en basal ou les disques implants et
> plaques ne sont pas toujours tres stable : fixation externe avec un bridge prov
> et une grosse armature métal ( avec meme parfois une barre transpalatine !! ).
> Probleme quand même quand tu dois serrer un pilier multi-unit a 30 N\cm et que
> l'implant tourne encore a 15 !
>
2 solutions
- Prendre une pince pour maintenir le pilier et mettre la vis en tension
- Attendre l'ostéo-intégration pour mettre la vis en tension ( Jean Koskiévic ne mettais jamais les vis en tension)


Icon poker h4nm2d - Eugenol
jeff

08/09/2022 à 22h44

posit écrivait:

> 2 solutions
> - Prendre une pince pour maintenir le pilier et mettre la vis en tension
> - Attendre l'ostéo-intégration pour mettre la vis en tension ( Jean Koskiévic ne
> mettais jamais les vis en tension)
La pince, c'est bon pour les pilier angulé, mais impossible avec un pilier droit.
En fait, je ne sais pas trop la variation dimentionnelle verticale que represente le serrage a 30 par rapport a 10. cela ne doit pas vraiment jouer. Je me disais que si je resserrais apres 5 mois, mon provisoire n'irait plus. Ce qui est sans doute completement faux. J'en prends note pour une prochaine fois :)


Utilisateur banni

08/09/2022 à 23h08

La mise en tension de la vis ne modifie pas l'enfoncement du pilier mais déforme le pas de vis, ce qui explique qu'une fois détendu la structure moléculaire sur une si petite vis ne supporte pas une nouvelle tension.


1...5678