Cookie Consent byPrivacyPolicies.comGuide chirurgical à appui, osseux, dentaire, muqueux ? et - Eugenol
Icon poker h4nm2d - Eugenol
jeff

15/09/2022 à 20h25

Le cas N°2 en images reelles :)
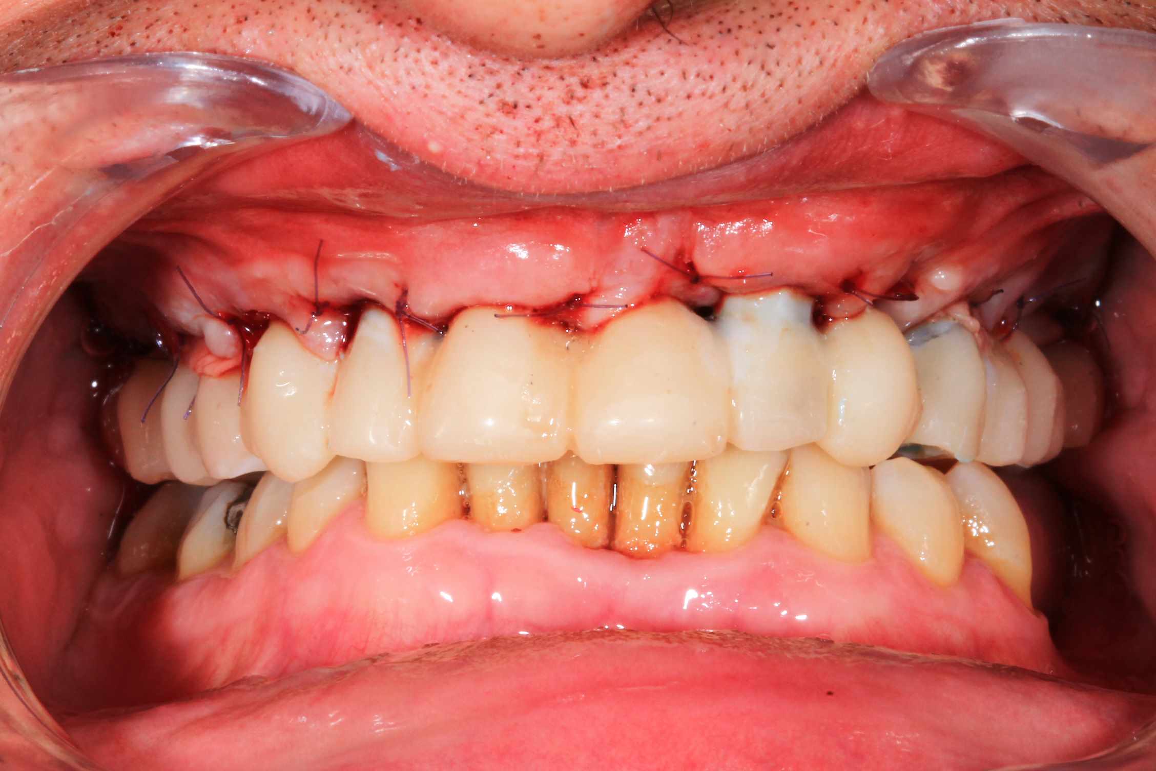
Guide métal avec support clavette, os assez fin : il est prévu un sticky bone complet : donc : lambeau avant extraction, positionnement du guide base et forage des clavettes, positionnement du guide implant, pose des piliers MU, controle des axes prothétique avec le guide pilier, collage des piliers prov sur le bridge a armature métal, occlusion nickel, sticky bone et PRF, sutures suspendues.
Ce qui ne vas pas : les dents un peu trop courte sur le provisoires, et le plan d'occlusion. L'erreur est de ne pas avoir utilisé Cadsmile3d pour le smile design du provisoire.
Ce n'est pas grand chose a prendre en compte pour le definitif.
Et surtout : j'ai creer une bonne courbe d'occlusion ideal, mais je n'ai pas imprimé de piste a coller sur son vieux stellite. Je vais rajouter de la résine samedi.

Zv1jbv6di6hx3b9epr2q6oxr60i3 - Eugenol
G9nbswqgc4xkynzlff5wr073gndx - Eugenol
V4uot5i8v8y72jummhx5zurvn0wv - Eugenol
Znxn4gucneg2a5rbycnedane63i2 - Eugenol
8ht7sla9f8rdyz2oqvgls0cpvb4m - Eugenol
26cfkmalfokjx2nu74metqng2evd - Eugenol
H6dg7smrg1syfz3qeapj9h0njjlu - Eugenol
Gxzro3jjq4dc0fjt3fxh847h8fam - Eugenol
4xheyqfxjpla2bq1pr54dmxco1t2 - Eugenol
Xt0itn2f29ft4ronn1ankqw58hcx - Eugenol

Photo pluton1b h9n4ea - Eugenol
pluton

15/09/2022 à 21h08

T’as quand même une sacrée déviation des implants / à la planification…..
Ça se voit déjà avec les implants posés à travers le guide de forage métallique qui est amha trop permissif
Et c’est confirmé par ton guide pour les piliers multiunits qui n’est même pas à fond (clavette antérieur pas mise….enfin certainement impossible à mettre)


Icon poker h4nm2d - Eugenol
jeff

17/09/2022 à 14h43

pluton écrivait:
------
> T’as quand même une sacrée déviation des implants / à la planification…..
> Ça se voit déjà avec les implants posés à travers le guide de forage métallique
> qui est amha trop permissif
> Et c’est confirmé par ton guide pour les piliers multiunits qui n’est même pas à
> fond (clavette antérieur pas mise….enfin certainement impossible à mettre)

J’aime bien quand on regarde les détails :)
Il faut se méfier de la pano qui déforme les secteurs canins, par rapport à la planif qui est issu de la 3D ..
Il n’y a pas trop de déviation , surtout quand on regarde l’apex de l’implant 25 qui affleure voir pénétre tout juste le sinus , comme sur la planif, alors que c’est à l’apex que l’on aura le plus de déviation.
Mais tu as raison, il y avait un peu trop de jeu au niveau du guide .
C’est le premier entièrement métallique que je fais imprimer ( Fridentech ). Il faut que je fasse un modèle avec plusieurs diamètres pour avoir le meilleur ajustage . Je pense que le mieux serait d’insérer une douille ETK. C’est ce que fait Dimitri avec ses guides métalliques codiagnostic.
Pour le guide pilier , c’était pile, mais je n’avais pas fais la photo. Je l’ai remis vite fais ( et mal ) pour la photo.
Le guide pilier est la réplique du bridge prov , en plus light pour une meilleure visibilité, donc, si je n’avais pas pu bien mettre le guide pilier, cela aurait été pire avec le bridge prov.
Mais tu peux me faire confiance.Le bridge prov était nickel, avec la clavette en place, sans que je ne doive meuler les puits préparés.
J’était vraiment content de n’avoir quasi aucune retouche d’occlusion.


Utilisateur banni

17/09/2022 à 21h07

jeff écrivait:
----

> J’était vraiment content de n’avoir quasi aucune retouche d’occlusion.

?

Eee0r8bx19z9tewzily2zpqqbdn5 - Eugenol

Photo pluton1b h9n4ea - Eugenol
pluton

17/09/2022 à 21h57

jeff sur 4 implants, encore heureux que tu arrives à poser ton bridge ….
Et en même temps, je ne vois pas ce que tu aurais eu comme retouche d’occlusion vu qu’en postérieur….t’en as pas….

Franchement, je dis bravo pour ton implication, ton ingéniosité et ce que tu arrives à faire
Mais vu le temps passé….sincèrement, tu passes ce temps en temps fauteuil, t’as explosé le budget / à une solution comme celle de posit qui va te faire ça aux petits oignons sur 6/8 implants, donc ceinture et bretelles
Pour un all on 4 ou 6 classique sinon …je me fais ça à la Maximini….2 h de chir, et le lendemain soir je pose….et ça me coûte, de mémoire même pas 1500€ de labo pour un bridge transvissé avec armature métal et la prothèse guide chir évidée pour la procédure….


bouboule

18/09/2022 à 21h11

Chapeau pour la partie planification et fabrication du guide! Petite question, t’as pas peur de faire une mise en charge complète immédiate en sachant que l’occlusion ne va exister que de premo à premo le tout sur seulement 4 implants? Tu demandes à ton patient de ne manger que de la soupe pendant la cicat?


Icon poker h4nm2d - Eugenol
jeff

19/09/2022 à 22h46

bouboule écrivait:
--------
> Chapeau pour la partie planification et fabrication du guide! Petite question,
> t’as pas peur de faire une mise en charge complète immédiate en sachant que
> l’occlusion ne va exister que de premo à premo le tout sur seulement 4 implants?
> Tu demandes à ton patient de ne manger que de la soupe pendant la cicat?

Merci.
Pas que de la soupe, mais couteau interdit pendant deux mois. Que cela soit sur 4 6 ou 8 implants.


Icon poker h4nm2d - Eugenol
jeff

19/09/2022 à 22h52

posit écrivait:
-----
> jeff écrivait:
> > J’était vraiment content de n’avoir quasi aucune retouche d’occlusion.

> ?

Tu n'as pas bien lu le message au dessus. La courbe d'occlusion en haut est bonne. Normalement, on va modéliser et imprimer des cales que l'on colle sur le stellite.
Je n'allais pas faire des dents plus longues en haut pour avoir le contact avec un stellite affaissé.
Mais j'ai oublié de faire les cales. J'ai donc ajouté de la résine sur le stellite au controle des 3 jours. ( pas de photo ).



Utilisateur banni

20/09/2022 à 00h02

Je ne comprend pas pourquoi tu ne l'as pas fait le jour de la chir tout simplement, maintenant tu l'expliques par l'oubli.


Icon poker h4nm2d - Eugenol
jeff

20/09/2022 à 07h19

posit écrivait:
-----
> Je ne comprend pas pourquoi tu ne l'as pas fait le jour de la chir tout
> simplement, maintenant tu l'expliques par l'oubli.

On commet tous des erreurs. En fin d'intervention, j'ai contrôlé l'occlusion. Puis mis son stellite et fait la photo. Et c'est la que je me suis rendu compte du manque, et que je me suis dis ' je ferais cela samedi ". Donc, oublie pendant la planif, flemme en fin de chir :)


Icon poker h4nm2d - Eugenol
jeff

20/09/2022 à 07h27

pluton écrivait:
------
> Franchement, je dis bravo pour ton implication, ton ingéniosité et ce que tu arrives à faire

Merci :)

> Mais vu le temps passé…

C'est clair, on a déja évoqué cet aspect des choses avec posit. Moi, ça me passionne de réaliser tout ça. Je comprends tres bien que ce n'est pas le cas pour tous, et c'est tres bien qu'il y ai des prestataires de talent pour réaliser en partenariat et délégation.


bouboule

20/09/2022 à 10h15

Manquait les cales😅. Ça répond à ma question… sans caler derrière c’était tendu ton affaire!
Bravo pour la gestion, et t’as bien raison, si c’est ton plaisir, la rentabilité horaire à beaucoup moins d’importance! ( ceci dit vu le coût quand tu délégues, pas sur que ce soit si peu rentable que ça…)


Utilisateur banni

20/09/2022 à 11h05

C'est simple bouboule, dans un cabinet dentaire le travail au fauteuil paye quasiment la totalité des charges. Prend ton CA divise le par tes heures de travail est tu obtiens ce taux horaire général. Tu peux affiné ce calcul par les différentes activités que tu pratiques cela te permet de voir la rentabilité de chacune.
Dans une pose d'implant tu as le diagnostique, la préparation de la salle, la pose, le nettoyage, les consignes post op, l'administratif... . Tu peux exécuter toutes ces tâches ou en déléguer une partie. Si tu pose 30 ou 200 implants par an cette répartition a de grande chance de varier ainsi que ton taux horaire général.


Utilisateur banni

27/10/2022 à 21h44

jeff écrivait:
----
> cas 3 : patient 50 ans. avoir des 7 est plus important . implants plus court :
> 4 de 12, un 14 et un 10. émergence des implant en 14 24 : obligation de
> chercher un appuis postérieur : deux ptérygoidiens.
> Pas de guide à étage : guide appuis osseux, bridge a armature métal avec pilier
> collé en bouche avec indexation du bridge grâce aux clavettes du guide.

bonsoir jeff, tu as les photo de ce cas ?


Icon poker h4nm2d - Eugenol
jeff

03/12/2022 à 22h20

Voilà les photos du cas , avec un peu de retard.

E3qbort34hazyguvx36837ccgz15 - Eugenol
Yvpffkuukx3slf972to0m8zysitc - Eugenol
2600pws7535dp5lkkj024y278zud - Eugenol
7jyzgqe4ycyzesszwmv3wg0qyhgy - Eugenol
V3anh0gokz204t5efh8udh42yvxe - Eugenol
Yan7h48xsq8j67d1ab2ih0fz99z6 - Eugenol
Gamml7ejoz89246a5mo0v8t9idgj - Eugenol
Esxko63h2md97iapd1kp5j67nb2p - Eugenol

Icon poker h4nm2d - Eugenol
jeff

03/12/2022 à 22h35

Et la pano

E7ekivq279p7yx0l1en7ld2td0xr - Eugenol

Utilisateur banni

14/12/2022 à 18h35

Bridge immédiat posé dans la continuité de la pose des implants

Uya2oirluigh1vu3fex4y70uezce - Eugenol

Icon poker h4nm2d - Eugenol
jeff

19/12/2022 à 07h25

Tu me demande les photos du cas et ton seul commentaire est de poster une photo de ton provisoire :)
Pour montrer qu'il est plus joli que le mien ? Et bien c'est vrai, je le trouve pas mal.
Cas bi-max réalisé selon le protocole de Dimitri, entierement délégué, pour une fois, a vivien, laboratoire LIO. Planif et guide réalisé avec Co-diagnostic, bridge prov PMMA rosenscrew réalisé en amont de la chirugie.

Qnvqtjqo6ugzztijsrnjp3xr822f - Eugenol
Thgcpx7vxg4c0wzclv9q70l0ih0p - Eugenol
Pkv1b9ifa3b1h4a0nmi7tw9vwhfz - Eugenol
Rpnfg7wm65x2rtg8obzpztei6zty - Eugenol
Cv5mpga3mz2ht7o4ssdwuozjcu84 - Eugenol

S2y2o1v7q53ws4r5wy6ou8czrpom - Eugenol
pxav

19/12/2022 à 08h31

jeff écrivait:
----

> Pour montrer qu'il est plus joli que le mien ? Et bien c'est vrai, je le trouve
> pas mal.
> Cas bi-max réalisé selon le protocole de Dimitri, entierement délégué, pour une
> fois, a vivien, laboratoire LIO. Planif et guide réalisé avec Co-diagnostic,
> bridge prov PMMA rosenscrew réalisé en amont de la chirugie.

Il y a longtemps que je n'étais pas venu sur ce post, et je suis admiratif de ce que tu arrives à faire Jeff, chapeau bas, si un jour, mes dents décident de me quitter je sais à qui je demanderait de l'aide...


--
xbk
La connaissance s'acquiert par l'expérience, tout le reste n'est que de l'information." ALBERT EINSTEIN


Utilisateur banni

19/12/2022 à 10h33

pxav écrivait:
----
> jeff écrivait:
> ----
>
> > Pour montrer qu'il est plus joli que le mien ? Et bien c'est vrai, je le
> trouve
> > pas mal.
> > Cas bi-max réalisé selon le protocole de Dimitri, entierement délégué, pour
> une
> > fois, a vivien, laboratoire LIO. Planif et guide réalisé avec Co-diagnostic,
> > bridge prov PMMA rosenscrew réalisé en amont de la chirugie.
>
> Il y a longtemps que je n'étais pas venu sur ce post, et je suis admiratif de ce
> que tu arrives à faire Jeff, chapeau bas, si un jour, mes dents décident de me
> quitter je sais à qui je demanderait de l'aide...
>
>
> --
> xbk
> La connaissance s'acquiert par l'expérience, tout le reste n'est que de
> l'information." ALBERT EINSTEIN
>

tu opterais pour un plan de traitement tout sur 4 implants ?


Icon poker h4nm2d - Eugenol
jeff

20/12/2022 à 07h34

posit écrivait:
-----

> tu opterais pour un plan de traitement tout sur 4 implants ?

Toujours l’éternelle débat 4, 6, 8 , plus ?
Je ne sais pas si tu avais suivit le grand débat All On X l'année dernière, un des intervenant citait une étude qui montrait plus de perte d'implant avec 5 ou 6 que 4.
Ne me demande pas la ref, je cite de mémoire.
Enfin, pas de dogme : quand il y a de l'os ...
Mon dernier cas de cette année : guide perso a appuis osseux, bridge imprimé maison.

1cy0nnch4qa6lvwx0ar0yqtdzhoh - Eugenol
3rreoh96xw0fxtcdk3i3zbob8uab - Eugenol
Htzxitum6tp4431ar46fx1qv8pu1 - Eugenol

Icon poker h4nm2d - Eugenol
jeff

20/12/2022 à 07h52

Enfin, le cas de la semaine précedente. Guide osseux maison, bridge imprimé. On conserve 26 27. Mais les sinus sont assez antérieurs : on sort au niveau des 4 avec les implants angulés. Malgré le fait de faire un mini comblement sinus droit : l'implant passe la crete, rentre dans le sinus, et retrouve l'os en direction nasal, mais on sort quand meme en 14.
Alors pose d'un implant dans l'alvéole de la 15, aucune stabilité, comblement. A utiliser pour le bridge définitf.

1ks806x67kfdex2io7vv6bquzppu - Eugenol
6ktho9n8zhtrpc79lxw7bwriaxkp - Eugenol
8p6ozk6jmdhqfyxe4ocv41cizwgl - Eugenol
L7t64cvmxdcfwez3dpbqeb24q98z - Eugenol
Qhtf78uecwu3mq89ha11d4r0ard4 - Eugenol
Ir8ctssxjxoqbn7p2i07u2tc8h78 - Eugenol
Dv7pibci8s1rr5eb9zbgi50z92pt - Eugenol
9fggep80e0cdw3rtjsq8083su4x8 - Eugenol
1zmffxnmsgj2p84v40z2lwvufwuv - Eugenol

Utilisateur banni

20/12/2022 à 09h42

il y a 14 ans

J36wg6wcm8vc75k4unqwbrgdoprm - Eugenol
0rtnr83s8srs2uz12pazewlpxjgt - Eugenol
Z0vgzyxf5jpcdipanwbj8rizp5ay - Eugenol
Oiw8nimujjwx4jgcs5ay628vzhgr - Eugenol

Utilisateur banni

20/12/2022 à 09h42

.

5pb03l3btm887l5toxkbglco8uc8 - Eugenol
Byzcxsrcccr43nyxyz1z61qoj29j - Eugenol
Npdflkunyffupdhql8kb4oi6eqwa - Eugenol

Utilisateur banni

20/12/2022 à 09h46

Guide métal, armature rigide du bridge immédiat, mise en charge immédiate en 1 seul temps chirurgical, la recette était surement la bonne!

H9m1j7nb73yjgbq43d6p8f35q2os - Eugenol

1...678