Tous les forums
Guide chirurgical à appui, osseux, dentaire, muqueux ? et pour quoi faire ?
15/09/2022 à 20h25
Le cas N°2 en images reelles :)
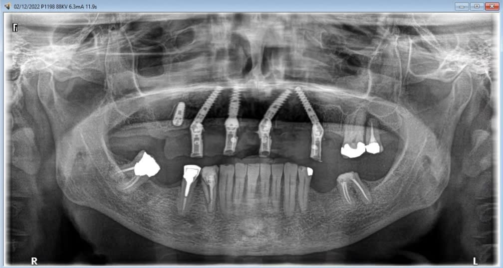
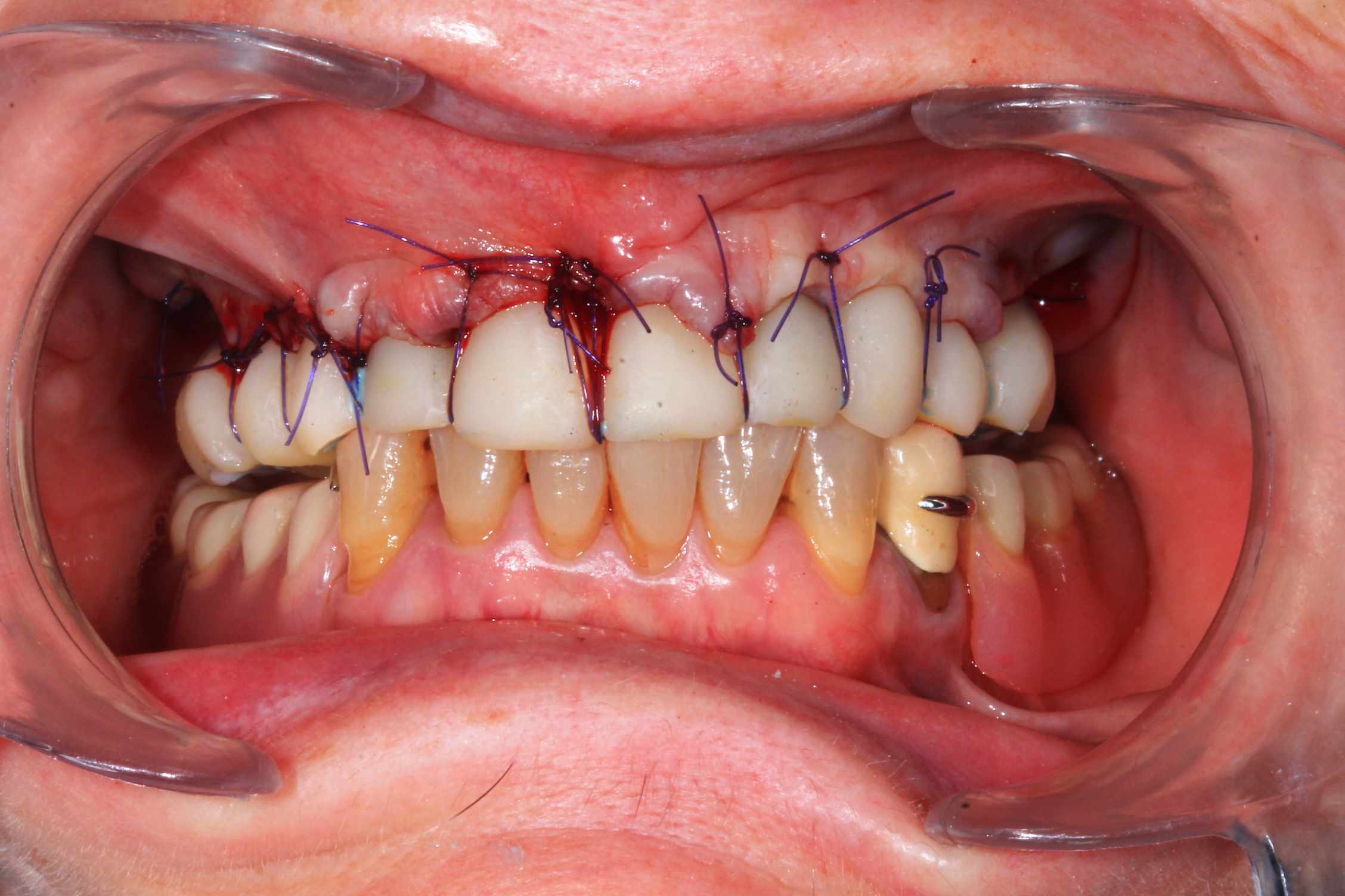
Guide métal avec support clavette, os assez fin : il est prévu un sticky bone complet : donc : lambeau avant extraction, positionnement du guide base et forage des clavettes, positionnement du guide implant, pose des piliers MU, controle des axes prothétique avec le guide pilier, collage des piliers prov sur le bridge a armature métal, occlusion nickel, sticky bone et PRF, sutures suspendues.
Ce qui ne vas pas : les dents un peu trop courte sur le provisoires, et le plan d'occlusion. L'erreur est de ne pas avoir utilisé Cadsmile3d pour le smile design du provisoire.
Ce n'est pas grand chose a prendre en compte pour le definitif.
Et surtout : j'ai creer une bonne courbe d'occlusion ideal, mais je n'ai pas imprimé de piste a coller sur son vieux stellite. Je vais rajouter de la résine samedi.
15/09/2022 à 21h08
T’as quand même une sacrée déviation des implants / à la planification…..
Ça se voit déjà avec les implants posés à travers le guide de forage métallique qui est amha trop permissif
Et c’est confirmé par ton guide pour les piliers multiunits qui n’est même pas à fond (clavette antérieur pas mise….enfin certainement impossible à mettre)
17/09/2022 à 14h43
pluton écrivait:
------
> T’as quand même une sacrée déviation des implants / à la planification…..
> Ça se voit déjà avec les implants posés à travers le guide de forage métallique
> qui est amha trop permissif
> Et c’est confirmé par ton guide pour les piliers multiunits qui n’est même pas à
> fond (clavette antérieur pas mise….enfin certainement impossible à mettre)
J’aime bien quand on regarde les détails :)
Il faut se méfier de la pano qui déforme les secteurs canins, par rapport à la planif qui est issu de la 3D ..
Il n’y a pas trop de déviation , surtout quand on regarde l’apex de l’implant 25 qui affleure voir pénétre tout juste le sinus , comme sur la planif, alors que c’est à l’apex que l’on aura le plus de déviation.
Mais tu as raison, il y avait un peu trop de jeu au niveau du guide .
C’est le premier entièrement métallique que je fais imprimer ( Fridentech ). Il faut que je fasse un modèle avec plusieurs diamètres pour avoir le meilleur ajustage . Je pense que le mieux serait d’insérer une douille ETK. C’est ce que fait Dimitri avec ses guides métalliques codiagnostic.
Pour le guide pilier , c’était pile, mais je n’avais pas fais la photo. Je l’ai remis vite fais ( et mal ) pour la photo.
Le guide pilier est la réplique du bridge prov , en plus light pour une meilleure visibilité, donc, si je n’avais pas pu bien mettre le guide pilier, cela aurait été pire avec le bridge prov.
Mais tu peux me faire confiance.Le bridge prov était nickel, avec la clavette en place, sans que je ne doive meuler les puits préparés.
J’était vraiment content de n’avoir quasi aucune retouche d’occlusion.
17/09/2022 à 21h07
jeff écrivait:
----
> J’était vraiment content de n’avoir quasi aucune retouche d’occlusion.
?
17/09/2022 à 21h57
jeff sur 4 implants, encore heureux que tu arrives à poser ton bridge ….
Et en même temps, je ne vois pas ce que tu aurais eu comme retouche d’occlusion vu qu’en postérieur….t’en as pas….
Franchement, je dis bravo pour ton implication, ton ingéniosité et ce que tu arrives à faire
Mais vu le temps passé….sincèrement, tu passes ce temps en temps fauteuil, t’as explosé le budget / à une solution comme celle de posit qui va te faire ça aux petits oignons sur 6/8 implants, donc ceinture et bretelles
Pour un all on 4 ou 6 classique sinon …je me fais ça à la Maximini….2 h de chir, et le lendemain soir je pose….et ça me coûte, de mémoire même pas 1500€ de labo pour un bridge transvissé avec armature métal et la prothèse guide chir évidée pour la procédure….
18/09/2022 à 21h11
Chapeau pour la partie planification et fabrication du guide! Petite question, t’as pas peur de faire une mise en charge complète immédiate en sachant que l’occlusion ne va exister que de premo à premo le tout sur seulement 4 implants? Tu demandes à ton patient de ne manger que de la soupe pendant la cicat?
19/09/2022 à 22h46
bouboule écrivait:
--------
> Chapeau pour la partie planification et fabrication du guide! Petite question,
> t’as pas peur de faire une mise en charge complète immédiate en sachant que
> l’occlusion ne va exister que de premo à premo le tout sur seulement 4 implants?
> Tu demandes à ton patient de ne manger que de la soupe pendant la cicat?
Merci.
Pas que de la soupe, mais couteau interdit pendant deux mois. Que cela soit sur 4 6 ou 8 implants.
19/09/2022 à 22h52
posit écrivait:
-----
> jeff écrivait:
> > J’était vraiment content de n’avoir quasi aucune retouche d’occlusion.
> ?
Tu n'as pas bien lu le message au dessus. La courbe d'occlusion en haut est bonne. Normalement, on va modéliser et imprimer des cales que l'on colle sur le stellite.
Je n'allais pas faire des dents plus longues en haut pour avoir le contact avec un stellite affaissé.
Mais j'ai oublié de faire les cales. J'ai donc ajouté de la résine sur le stellite au controle des 3 jours. ( pas de photo ).
20/09/2022 à 00h02
Je ne comprend pas pourquoi tu ne l'as pas fait le jour de la chir tout simplement, maintenant tu l'expliques par l'oubli.
20/09/2022 à 07h19
posit écrivait:
-----
> Je ne comprend pas pourquoi tu ne l'as pas fait le jour de la chir tout
> simplement, maintenant tu l'expliques par l'oubli.
On commet tous des erreurs. En fin d'intervention, j'ai contrôlé l'occlusion. Puis mis son stellite et fait la photo. Et c'est la que je me suis rendu compte du manque, et que je me suis dis ' je ferais cela samedi ". Donc, oublie pendant la planif, flemme en fin de chir :)
20/09/2022 à 07h27
pluton écrivait:
------
> Franchement, je dis bravo pour ton implication, ton ingéniosité et ce que tu arrives à faire
Merci :)
> Mais vu le temps passé…
C'est clair, on a déja évoqué cet aspect des choses avec posit. Moi, ça me passionne de réaliser tout ça. Je comprends tres bien que ce n'est pas le cas pour tous, et c'est tres bien qu'il y ai des prestataires de talent pour réaliser en partenariat et délégation.
20/09/2022 à 10h15
Manquait les cales😅. Ça répond à ma question… sans caler derrière c’était tendu ton affaire!
Bravo pour la gestion, et t’as bien raison, si c’est ton plaisir, la rentabilité horaire à beaucoup moins d’importance! ( ceci dit vu le coût quand tu délégues, pas sur que ce soit si peu rentable que ça…)
20/09/2022 à 11h05
C'est simple bouboule, dans un cabinet dentaire le travail au fauteuil paye quasiment la totalité des charges. Prend ton CA divise le par tes heures de travail est tu obtiens ce taux horaire général. Tu peux affiné ce calcul par les différentes activités que tu pratiques cela te permet de voir la rentabilité de chacune.
Dans une pose d'implant tu as le diagnostique, la préparation de la salle, la pose, le nettoyage, les consignes post op, l'administratif... . Tu peux exécuter toutes ces tâches ou en déléguer une partie. Si tu pose 30 ou 200 implants par an cette répartition a de grande chance de varier ainsi que ton taux horaire général.
27/10/2022 à 21h44
jeff écrivait:
----
> cas 3 : patient 50 ans. avoir des 7 est plus important . implants plus court :
> 4 de 12, un 14 et un 10. émergence des implant en 14 24 : obligation de
> chercher un appuis postérieur : deux ptérygoidiens.
> Pas de guide à étage : guide appuis osseux, bridge a armature métal avec pilier
> collé en bouche avec indexation du bridge grâce aux clavettes du guide.
bonsoir jeff, tu as les photo de ce cas ?
03/12/2022 à 22h20
Voilà les photos du cas , avec un peu de retard.
06C757A0-0679-4A5E-A2AD-9E867A3CB080.jpeg
65672A94-F454-46C1-A2A7-47927485B543.jpeg
143DCC8C-EA6F-4EE5-9915-F12A33C377B9.jpeg
F8362BF2-81BC-455C-BFD0-A9FE9451F3F4.jpeg
91CE34AF-EDB6-436D-8B12-726F81FC0CB1.jpeg
4060EC60-1F78-4778-B0E3-5FE470671FDF.jpeg
F4ECCBAA-30DE-407C-AAD1-02D226210CC9.jpeg
C4C89A41-3628-4190-A864-AFFC591089BF.jpeg
14/12/2022 à 18h35
Bridge immédiat posé dans la continuité de la pose des implants
19/12/2022 à 07h25
Tu me demande les photos du cas et ton seul commentaire est de poster une photo de ton provisoire :)
Pour montrer qu'il est plus joli que le mien ? Et bien c'est vrai, je le trouve pas mal.
Cas bi-max réalisé selon le protocole de Dimitri, entierement délégué, pour une fois, a vivien, laboratoire LIO. Planif et guide réalisé avec Co-diagnostic, bridge prov PMMA rosenscrew réalisé en amont de la chirugie.
19/12/2022 à 08h31
jeff écrivait:
----
> Pour montrer qu'il est plus joli que le mien ? Et bien c'est vrai, je le trouve
> pas mal.
> Cas bi-max réalisé selon le protocole de Dimitri, entierement délégué, pour une
> fois, a vivien, laboratoire LIO. Planif et guide réalisé avec Co-diagnostic,
> bridge prov PMMA rosenscrew réalisé en amont de la chirugie.
Il y a longtemps que je n'étais pas venu sur ce post, et je suis admiratif de ce que tu arrives à faire Jeff, chapeau bas, si un jour, mes dents décident de me quitter je sais à qui je demanderait de l'aide...
--
xbk
La connaissance s'acquiert par l'expérience, tout le reste n'est que de l'information." ALBERT EINSTEIN
19/12/2022 à 10h33
pxav écrivait:
----
> jeff écrivait:
> ----
>
> > Pour montrer qu'il est plus joli que le mien ? Et bien c'est vrai, je le
> trouve
> > pas mal.
> > Cas bi-max réalisé selon le protocole de Dimitri, entierement délégué, pour
> une
> > fois, a vivien, laboratoire LIO. Planif et guide réalisé avec Co-diagnostic,
> > bridge prov PMMA rosenscrew réalisé en amont de la chirugie.
>
> Il y a longtemps que je n'étais pas venu sur ce post, et je suis admiratif de ce
> que tu arrives à faire Jeff, chapeau bas, si un jour, mes dents décident de me
> quitter je sais à qui je demanderait de l'aide...
>
>
> --
> xbk
> La connaissance s'acquiert par l'expérience, tout le reste n'est que de
> l'information." ALBERT EINSTEIN
>
tu opterais pour un plan de traitement tout sur 4 implants ?
20/12/2022 à 07h34
posit écrivait:
-----
> tu opterais pour un plan de traitement tout sur 4 implants ?
Toujours l’éternelle débat 4, 6, 8 , plus ?
Je ne sais pas si tu avais suivit le grand débat All On X l'année dernière, un des intervenant citait une étude qui montrait plus de perte d'implant avec 5 ou 6 que 4.
Ne me demande pas la ref, je cite de mémoire.
Enfin, pas de dogme : quand il y a de l'os ...
Mon dernier cas de cette année : guide perso a appuis osseux, bridge imprimé maison.
20/12/2022 à 07h52
Enfin, le cas de la semaine précedente. Guide osseux maison, bridge imprimé. On conserve 26 27. Mais les sinus sont assez antérieurs : on sort au niveau des 4 avec les implants angulés. Malgré le fait de faire un mini comblement sinus droit : l'implant passe la crete, rentre dans le sinus, et retrouve l'os en direction nasal, mais on sort quand meme en 14.
Alors pose d'un implant dans l'alvéole de la 15, aucune stabilité, comblement. A utiliser pour le bridge définitf.
20/12/2022 à 09h42
il y a 14 ans
Cas clinique du Docteur Marc REGRAIN - mise en charge immédiate MCI 001.jpg
Cas clinique du Docteur Marc REGRAIN - mise en charge immédiate MCI 002.jpg
Cas clinique du Docteur Marc REGRAIN - mise en charge immédiate MCI 003.jpg
Cas clinique du Docteur Marc REGRAIN - mise en charge immédiate MCI 004.jpg
20/12/2022 à 09h42
.