Cookie Consent byPrivacyPolicies.com22 a remplacer, crête fine, conduite a tenir. - Eugenol

22 a remplacer, crête fine, conduite a tenir.

Utilisateur banni

27/03/2023 à 16h31

Hokusai écrivait:
-------
> une autre anomalie dans ce cas, donc vous avez fait le choix de poser les
> implants distaux en supra-osseux pour simplifier le cas afin d utiliser des
> piliers droits... mais a cote de ca fallait metttre en charge le jour de la pose
> ? quelle est l utilite ?
>
> pourquoi ne pas avoir pose des multiunit a 17º en profitant d un guide indexé
> pour les aligner parfaitement ??... ca aurait permis de poser convenablement les
> implants... et dans un second temps la réalisation de la prothese.
>
> ca me semble bien plus intéressant de poser convenablement les implants que de
> mettre en charge immédiatement...

y a n'a qui ont essayés

tu ne comprends rien à ce que je montre


Utilisateur banni

27/03/2023 à 16h33

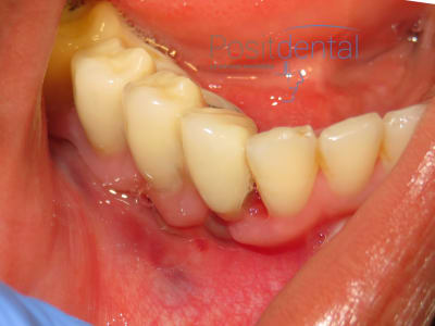
patiente en fin d'intervention

81avk6b1regrw69x4swbzzq7mdz2 - Eugenol

Hok 1b hgd3rj - Eugenol
Hokusai

27/03/2023 à 16h47

posit écrivait:
-----
> tu ne comprends rien à ce que je montre

oui posit... on commence a comprendre qu'il n'y a que toi qui sait ;)

l'intérêt de la mise en charge immédiate dans ce cas par exemple ?? :)))

posit écrivait:
-----
> patiente en fin d'intervention


bien de laisser le lambeau libre en regard de 42... j'espere que c'est une blague.

9ggllzhd4u2ehr1rfj8c62ny5q50 - Eugenol

Utilisateur banni

27/03/2023 à 16h52

Hokusai écrivait:
-------
> posit écrivait:
> -----
> > tu ne comprends rien à ce que je montre
>
> bin si je comprends bien...
>
> l'intérêt de la mise en charge immédiate dans ce cas par exemple ?? :)))

En dehors du simple détail de ce retrouver avec la moitié de la mandibule sans la mise en charge ?


Utilisateur banni

27/03/2023 à 16h55

Hokusai écrivait:
-------
> posit écrivait:
> -----
> > tu ne comprends rien à ce que je montre
>
> bin si je comprends bien...
>
> l'intérêt de la mise en charge immédiate dans ce cas par exemple ?? :)))
>
> posit écrivait:
> -----
> > patiente en fin d'intervention
>
>
> ou bien laisser le lambeau libre en regard de 42... j'espere que c'est une
> blague.

T'as vérifié si y avait un ptit détartrage à caser pendant l'intervention


Hok 1b hgd3rj - Eugenol
Hokusai

27/03/2023 à 16h56

posit écrivait:
-----
> En dehors du simple détail de ce retrouver avec la moitié de la mandibule sans
> la mise en charge ?

bin oui c'est l'unique interet... manquerait plus qu'il y ait 0 interet.
sinon bien le lambeau libre qui flotte en fin d'intervention... un florilege :)

4t882nfo1glphwdszy0iek8l48i5 - Eugenol

Hok 1b hgd3rj - Eugenol
Hokusai

27/03/2023 à 17h00

posit écrivait:
-----
> T'as vérifié si y avait un ptit détartrage à caser pendant l'intervention

bin au moins suturer les lambeaux... un minimum quoi...
c'est de pire en pire tes justifications...


Utilisateur banni

27/03/2023 à 17h03

.

Fv9xkcrkabk8lrjmug2cjp4pdtla - Eugenol

Hok 1b hgd3rj - Eugenol
Hokusai

27/03/2023 à 17h07

posit écrivait:
-----
> .

mais serieusement, la c'était vraiment fini ? elle est allée en salle de réveil comme ca ?? :

Kzodqo8alc1evw3z80f25hzhk34m - Eugenol

Utilisateur banni

27/03/2023 à 17h11

non, comme ça!

Tqulmm5lmv7z7ev5letj5rd5us8x - Eugenol

Hok 1b hgd3rj - Eugenol
Hokusai

27/03/2023 à 17h19

posit écrivait:
-----
> non, comme ça!

donc elle est bien allee en salle de reveil non suturee... vache...

la sincèrement c est quand meme pas terrible... je veux bien rigoler un peu mais ca c est pas acceptable.

a moins que pas suturer ce soit aussi pour simplifier...


Utilisateur banni

27/03/2023 à 17h30

Hokusai écrivait:
-------
> posit écrivait:
> -----
> > non, comme ça!
>
> donc elle est bien allee en salle de reveil non suturee...
>
> la sincèrement c est quand meme pas terrible... je veux bien rigoler un peu mais
> c est pas acceptable.
>
> dire que c est ce que tu oses montrer en plus comme ton plus beau cas...

si tu le penses !

9nwhrnyli8zwnabuokncvi2mxf8v - Eugenol

Hok 1b hgd3rj - Eugenol
Hokusai

27/03/2023 à 17h32

posit écrivait:
-----
> si tu le penses !

bin:

0zji01mglb8k05w4j1hbey0xdat9 - Eugenol

Utilisateur banni

27/03/2023 à 17h36

Hokusai écrivait:
-------
> posit écrivait:
> -----
> > si tu le penses !
>
> bin:

allez fais une effort, réfléchis !

Zeg8tqxq193q8ryy5km5gozhmj1e - Eugenol

Hok 1b hgd3rj - Eugenol
Hokusai

27/03/2023 à 17h42

posit écrivait:
-----
> allez fais une effort, réfléchis !

... tu pourrais faire un effort en conjugaison quand meme posit.
tes reponses sont nulles et en plus bourrées de fautes.
tu te fais encore une bien belle pub ici.


Utilisateur banni

27/03/2023 à 18h04

Hokusai écrivait:
-------
> il a la tremblote le chirurgien qui suture au passage...

Pour faire de la micro chirurgie ?

Hwqsnupv36xlfo9pdj2wnem6qmz3 - Eugenol

Utilisateur banni

27/03/2023 à 18h17

En résumé tu donnes des leçons et tu te fais piégé dans l'analyse d'une pano

Extrait d'un article sur le sujet :
"
Pièges inhérents à la technique :
La technique de réalisation des radiographies panoramiques dépend de l'appareil utilisé. En effet, le plan de coupe est prédéterminé par le fabricant, il est de 12 à l4mm au niveau postérieur et de 6 à 7mm au niveau antérieur (fig 2). Les structures situées en arrière du plan de coupe sont floues et agrandies et celles situées en avant du plan de coupe sont floues et rétrécies. Les dents ectopiques peuvent disparaître du cliché ou être difficilement lisibles si elles sont en dehors du plan de coupe (fig 3).

Les artefacts sont aussi source de pièges (fig 4), la règle d'or est de demander d'autres examens en cas de doute. Il est à rappeler que le flou cinétique peut-être cause d’erreur d’interprétation (fig 5).
"

Kf1jnzknnzv9s6fq4vmywz3yyixp - Eugenol

Vw campersurfvan bmnk1q - Eugenol
enlaye

27/03/2023 à 18h24

Hoku , tu n as pas fini de t acharner , ...?


Hok 1b hgd3rj - Eugenol
Hokusai

27/03/2023 à 18h30

posit écrivait:
-----
> En résumé tu donnes des leçons et tu te fais piégé dans l'analyse d'une pano

oui un cas bien iconographié... les photos bien prises pour qu on ne voit pas les parties intéressantes... les radios qui illustrent mais pareil faut pas trop les regarder... et surtout faire confiance a posit parce que entre ce que tu dis et l iconographie y a rien qui correspond ;)


Hok 1b hgd3rj - Eugenol
Hokusai

27/03/2023 à 18h31

enlaye écrivait:
------
> Hoku , tu n as pas fini de t acharner

je me questionne c est tout .


Blue eye thumb medium dx1i0w - Eugenol
bill

27/03/2023 à 18h38

.


U67nu6xwcmrx4vqeo2hjj5z3m69h - Eugenol

Sont inséparables nos 2 gars, c'est beau l'amour quand même.

Qqm56ibmrx9o87zkjtf6qe7fd3qx - Eugenol

bouboule

27/03/2023 à 18h49

Petite pensée émue pour le chir qui s’est tapé la chirurgie et qui se retrouve affiché ici… et qui en plus est bien piètrement défendu. J’espère qu’il ne lit pas eugenol le pauvre.


Dentarue

27/03/2023 à 20h06

Y’a quand même une chose à conclure de ce cas, c’est que le système utilisé fonctionne très bien sur le papier mais manque de précision dans la pratique.
Est-il très, trop, opérateur dépendant ?


Utilisateur banni

28/03/2023 à 00h02

Hokusai écrivait:
-------
> posit écrivait:
> -----
> > En résumé tu donnes des leçons et tu te fais piégé dans l'analyse d'une pano
>
> oui un cas bien iconographié... les photos bien prises pour qu on ne voit pas
> les parties intéressantes... les radios qui illustrent mais pareil faut pas trop
> les regarder... et surtout faire confiance a posit parce que entre ce que tu dis
> et l iconographie y a rien qui correspond ;)

alors que toi tu tiens tes promesses avec le R0

Kunpzoour9x4z574pz06piyxtswl - Eugenol

1...678...