Cookie Consent byPrivacyPolicies.com22 a remplacer, crête fine, conduite a tenir. - Eugenol

22 a remplacer, crête fine, conduite a tenir.

Dentarue

28/03/2023 à 07h20

Faut être un sacré menteur pour oser affirmer que tout s’est passé comme prévu avec cet implant.
T’as pas honte fernandel ?

Jh3ejycs21etjda0dgso6zq27uuq - Eugenol

Utilisateur banni

28/03/2023 à 08h52

Dentarue écrivait:
--------
> Faut être un sacré menteur pour oser affirmer que tout s’est passé comme prévu
> avec cet implant.
> T’as pas honte fernandel ?

La dernière fois que l'on ma fait la blague de transformer mon nom de Fernandez à Fernandel remonte au CM1.

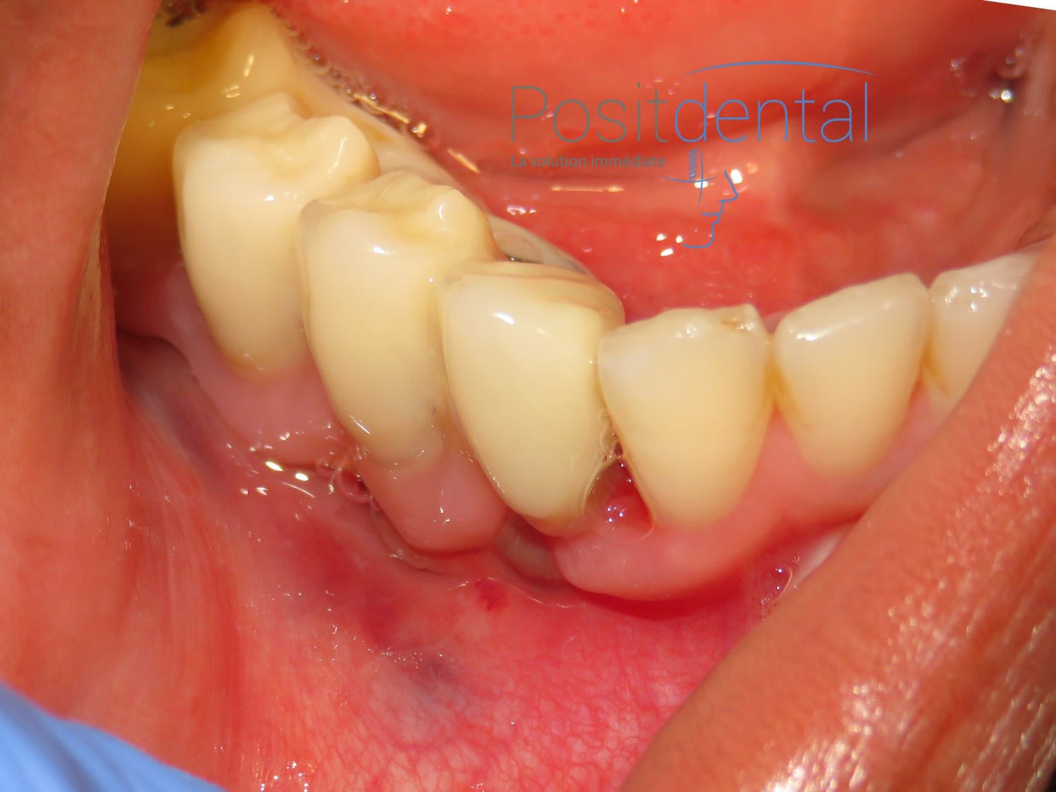
Faut être sacrément incompétent pour ne pas savoir que selon le centrage du patient lors d'une pano des éléments peuvent ne pas apparaitre. C'est le cas sur la vision de contrôle de cet implant. je joins la photo où tu peux voir la partie non visible sur la pano.

Pour tous ceux qui vont insister et passer pour des inexpérimentés je les invite à se poser la question :
Comment la longueur des racines du bloc antérieur apparait plus courtent sur la pano post-op celle dont hokusai, toi dentarue et d'autre compère tirent des conclusions hâtives.

Je comprend qu'il est désagréable pour certain chirurgiens dentiste qu'un prothésiste dentaire puisse leurs expliquer ce qui fait partie de leurs formations. Heureusement d'autres n'ont pas un égo qui les aveugles.

Nwn03vwb1mvu2fa9d3m964p92r4i - Eugenol
Nddhv6s6xoomzneclaacmjcokvzn - Eugenol

Glenn

28/03/2023 à 10h37

Bonjour posit,
Étant donné que tu as un scan qui date d'un an après la chirurgie, tu pourrais montrer des coupes au niveau des implants postérieurs, ce qui permettrait de mettre les choses au clair.
Voir même, rêvons un peu, de clore ce sujet.


Dentarue

28/03/2023 à 10h49

🤥


Dentarue

28/03/2023 à 10h52

Il n’y a rien à attendre de ce gros menteur.
À sa décharge on n’apprend pas à lire les radios en CAP prothésiste dentaire.


Utilisateur banni

28/03/2023 à 11h32

Allez vu qu’ Hokusai est en forme… :)
Vous allez voir le sujet n’a pas été abordé.
Est-ce toi tu penses qu’il est plus judicieux d’avoir des implants qui font quasi toute la hauteur de l’os ? En gros est-ce que ça ne fragiliserait pas l’os d’avoir des implants comme ça ?
Ou alors est-ce que ça ne te paraîtrait pas plus judicieux d’avoir des implants légèrement moins longs pour éviter un risque de fracture ?


Utilisateur banni

28/03/2023 à 11h56

Bonjour Glenn, je n'ai pas le cone beam post-op, simplement la photo de l'image 3D.

Aucune personnes qui suivaient cette intervention n'a de doute sur le bon niveau d'enfouissement de ces 2 implants distaux. Sur la photo clinique ont peux observer le rebord osseux qui n'apparait pas sur la pano. Le pilier MU fait 4.5 mm de hauteur, enfouir plus cet implant aurait positionné cet MU en dessous de cette ligne de crête. En clinique les implants mésiaux son moins enfouis que les distaux. La réalité est contraire aux affirmations d'hokusai. La bêtise qui a conduit cette discussion a été de retirer un élément du contexte pour affirmer un diagnostique erroné. Une cours à suivi cette ânerie. " le sage montre la lune, l'idiot regarde le doigt"
La gestion de l'articulé, des tissus moue sans perte du vestibule n'a été observé...


Dentarue

28/03/2023 à 12h06

On te croit. 🤣🤣🤣


Utilisateur banni

28/03/2023 à 13h47

Glenn écrivait:
-----
> Voir même, rêvons un peu, de clore ce sujet.

Moi je dis il faut que Glenn CLOSE le débat. :)


Utilisateur banni

31/03/2023 à 08h58

Fripouille écrivait:
------------
> Allez vu qu’ Hokusai est en forme… :)
> Vous allez voir le sujet n’a pas été abordé.
> Est-ce toi tu penses qu’il est plus judicieux d’avoir des implants qui font
> quasi toute la hauteur de l’os ? En gros est-ce que ça ne fragiliserait pas l’os
> d’avoir des implants comme ça ?
> Ou alors est-ce que ça ne te paraîtrait pas plus judicieux d’avoir des implants
> légèrement moins longs pour éviter un risque de fracture ?

.
Comment sont maintenus les fragments d'os suite à la réduction d'une fracture lorsque l'immobilisassions n'est pas une coque ?


Utilisateur banni

01/04/2023 à 09h07

Fripouille, apparemment tu as perdu ton imagination et ton camarade hokusai n'a pas envi de te suivre dans la démarche que tu soumets.

Je me demande pourquoi ?


Utilisateur banni

03/04/2023 à 09h25

bouboule écrivait:
--------
> Petite pensée émue pour le chir qui s’est tapé la chirurgie et qui se retrouve
> affiché ici… et qui en plus est bien piètrement défendu. J’espère qu’il ne lit
> pas eugenol le pauvre.

Ils étaient 6 chirurgiens maxillo-facial 4 infirmières 1 anesthésiste, ils sont habitué à des commentaires inadapté par certain dentistes dont la prétention perturbe leur analyse.
Regarde la vidéo dans son ensemble plutôt que suivre aveuglement hokusai.

Xzgswa2lnord9pbl4emvu4j6n3lj - Eugenol

Hok 1b hgd3rj - Eugenol
Hokusai

03/04/2023 à 10h10

posit écrivait:
-----
> bouboule écrivait:
> --------
> > Petite pensée émue pour le chir qui s’est tapé la chirurgie et qui se retrouve
> > affiché ici… et qui en plus est bien piètrement défendu. J’espère qu’il ne lit
> > pas eugenol le pauvre.
>
> Ils étaient 6 chirurgiens maxillo-facial 4 infirmières 1 anesthésiste, ils sont
> habitué à des commentaires inadapté par certain

Attention, je ne critique que et uniquement ce que presente Posit alias Postiti... les chir je sais meme pas qui ils sont.

y'a encore tellement a dire sur ce cas... comme l'etat de surface de l'intrado de la prothèse le jour de la pose... que personne ne verra non plus ;)
mais on te croira sur parole !! poli miroir ;)


Utilisateur banni

03/04/2023 à 10h14

Hokusai écrivait:
-------
> bien de laisser le lambeau libre en regard de 42... j'espere que c'est une
> blague.


Utilisateur banni

03/04/2023 à 10h16

Hokusai écrivait:
-------

> bin au moins suturer les lambeaux... un minimum quoi...
> c'est de pire en pire tes justifications...


Dentarue

03/04/2023 à 10h16

Tout ce monde et y’en a pas un qui a osé dire qu’il y avait un souci avec les deux derniers implants ? C’est bien triste tout ça !


Utilisateur banni

03/04/2023 à 10h18

Hokusai écrivait:
-------
> ce qui aurait ete opportun c est d enfuir convenablement ces implants;)
>
> l implant qui a 5 spires du col a l air a la pose c est ok pour toi ???
>
> dire que tu presentes ca comme le summum :)))
>
> c est honteux.
>
> vous avez pris des radio per op et vous avez laisse comme ca ?


Hok 1b hgd3rj - Eugenol
Hokusai

03/04/2023 à 10h20

en reparlant du col de l implant extra osseux, on peut voir sur les documents de postiti que sont etat de surface est mordance comme le reste de l implant... totalement propice a la contamination par un biofilm bactérien...


Utilisateur banni

03/04/2023 à 10h31

.

Tz3qy7sjgzr5ltlufsrree22739f - Eugenol
Vg9axgk1so3icw5ffg7tbjlpag23 - Eugenol

bouboule

03/04/2023 à 10h56

posit écrivait:
-----
> bouboule écrivait:
> --------
> > Petite pensée émue pour le chir qui s’est tapé la chirurgie et qui se retrouve
> > affiché ici… et qui en plus est bien piètrement défendu. J’espère qu’il ne lit
> > pas eugenol le pauvre.
>
> Ils étaient 6 chirurgiens maxillo-facial 4 infirmières 1 anesthésiste, ils sont
> habitué à des commentaires inadapté par certain dentistes dont la prétention
> perturbe leur analyse.
> Regarde la vidéo dans son ensemble plutôt que suivre aveuglement hokusai.
>
>



Posit, je sais lire une coupe pano… et à moins que le plan de coupe fasse des zigzags entre les implants, il y a un endroit où les implants ne sont pas enfouis.
Même remarque pour l’apex qui n’est pas dans la corticale basse. La déformation radio existe, celle de la pano aussi. Mais en aucun cas cette déformation ne peut expliquer que l’implant ne soit pas dans la corticale ET qu’il y ait pourtant une trace de forage. Ou alors t’as une pano farceuse qui fabrique des artefacts en forme de forêts…
Merci de ne pas me prendre pour une truffe!!
Sur les scans c’est moi qui fait les coupes pano, je sais comment ça fonctionne.
Ton article c’est une mise en garde qu’on apprend en 2 em année. Ce qu’il dit est vrai, mais n’a absolument rien à voir avec ce qu’on voit sur tes photos.
En gros tu dis :les pano sont sources d’erreurs, donc ce qui est moche sur mes radios n’existe pas. Si tu le penses vraiment je te conseille de revoir tes fondamentaux de radiologie…

M’enfin bref quand je dis qu’il sont piètrement défendu je ne parle pas de ça! Qu’un implant ne soit pas en appui bi cortical ou qu’un autre ait été un peu ressorti pour permettre de correspondre à la position de la prothèse au dessus, on s’en tape. Le cas est magnifique!
Mais toi t’es tellement aveuglé par ta haine pour ton copain que plutôt que de ne pas répondre ou de dire que c’est un détail ( et c’est le cas!) tu lui sautes à la gorge avec des explications grotesques. Sur un fil que tu as relancé pour le plaisir de ta petite vendetta perso en te foutant de la gueule de son taf!

Je te l’ai déjà dit plusieurs fois, mais tu te plombes tout seul!! Quelle image tu donnes de ton état d’esprit… c’est catastrophique.


Utilisateur banni

03/04/2023 à 10h58

Hokusai écrivait:
-------

> y'a encore tellement a dire sur ce cas... comme l'etat de surface de l'intrado
> de la prothèse le jour de la pose... que personne ne verra non plus ;)
> mais on te croira sur parole !! poli miroir ;)

Aig77n4yo3ap8hy90jf4ew0o0m7r - Eugenol

Hok 1b hgd3rj - Eugenol
Hokusai

03/04/2023 à 11h20

c est exactement l idee que je m en faisais merci... une autoroute pour les bacteries direction le col de l implant rugueux extra osseux...

une bonne idee ;)

merci aussi de reparler du lambeau non suturé... ca c est juste incompréhensible.


Utilisateur banni

03/04/2023 à 11h35

Hokusai écrivait:
-------
> c est exactement l idee que je m en faisais merci... une autoroute pour les
> bacteries direction le col de l implant rugueux extra osseux...
>
> une bonne idee ;)
>
> merci aussi de reparler du lambeau non suturé... ca c est juste
> incompréhensible.

Merci de nous faire part de ta grande expérience en implantologie

N28o2zapkd7u99iecbp71b1gu1dc - Eugenol
Lys2tpescoodx5c62vp50koffvg9 - Eugenol

Hok 1b hgd3rj - Eugenol
Hokusai

03/04/2023 à 11h39

posit écrivait:
-----
> Merci de nous

mais y'a que toi postiti... "nous" n'existe pas...


Utilisateur banni

03/04/2023 à 11h45

Hokusai écrivait:
-------

> la sans taquinerie posit... ce que je comprends vraiment pas (et on le voit bien
> ici) c est que les implants sont insuffisamment enfouis en mesial parce que ca a
> ete planifié avec des piliers droits.
> si les implants avaient ete verses de 15º en mesial, les implants pouvaient être
> enfouis en juxta crestal et tu rattrapais les axes avec 4 piliers 15º... et
> parallèle 2 a 2 puisque t utilises un guide pour forer...
>
> c est une question sincère ;)


1...789...