Cookie Consent byPrivacyPolicies.com2 couronnes + 1 inter - Eugenol

2 couronnes + 1 inter

Vw campersurfvan bmnk1q - Eugenol
enlaye

02/12/2022 à 07h46

Pour gagner du pognon avec le raco , il ne faut pas que ça saigne . Si ça saigne pdt la taille c est mort , t as perdu une séance et tu subis la cicatrisation.
Alors il est très important de travailler avec des fraises longues pour 2 raisons :
- pour bien y voir ça je l ai déjà dit
- et surtout pour avoir la place de placer le doigt de la 2 ème main sur la tête du contre angle ou de la turbine.
Ça c est fondamental, une taille se fait avec 2 mains . C est mille fois plus rapide et précis .


Et7jtaj0pdi18gzjlxjiamlx15gs - Eugenol
Prunelles

02/12/2022 à 08h00

Si je comprends bien.
Ta couronnes s’appuie mécaniquement sur ce qu’il reste du congé préparer lors de y’a première séance. Et la « céramique » repose (sans appui mécanique) sur la partie biseautée de ton congé préparer lors de la deuxième séance.

Si la gencive est pas trop mal à la base, j’ai qu’une seule séance de préparation. Congée noire 022 (quart-de-rond), flamme rouge pour supprimer l’émail non soutenue, Arkansas pour finition.

Quand la gencive est pas top, j’assainis avec une belle provisoire, et je retouche très légèrement la position de mon congé le jour de l’empreinte.


Vw campersurfvan bmnk1q - Eugenol
enlaye

02/12/2022 à 08h06

Prunelles écrivait:
---------
" Si je comprends bien.
Ta couronnes s’appuie mécaniquement sur ce qu’il reste du congé préparer lors de
y’a première séance. Et la « céramique » repose (sans appui mécanique) sur la partie biseautée de ton congé préparer lors de la deuxième séance."

Voilà c est bien résumé.



Vw campersurfvan bmnk1q - Eugenol
enlaye

02/12/2022 à 08h16

Prunelles écrivait:
---------
" Quand la gencive est pas top, j’assainis avec une belle provisoire "

Ahlalaaaa c est là l erreur !
C est étrange cette manie de vouloir faire cicatriser avec du plastic .
Au contraire , si je fais un prov , je le fais à la 1 ère séance , donc en supra et même j exagére en grattant le prov au-dessus de la limite. . La séance d après après le biseau , je ne retouche surtout pas le prov .même pas je remets de la colle si il tient encore .




Vw campersurfvan bmnk1q - Eugenol
enlaye

02/12/2022 à 08h31

Le prov flatte ton ego , c est tout .
Hormis le calage occlusal bien sûr.
Seulement en flattant ton ego tu fais un pacte avec le diable :
Il peu se casser , se desceller , il te retarde la cicatrisation, tu ne sais plus où tu en es avec l espace biologique , enfin que des trucs qui peuvent t emboucaner en urgence .
Sur ce cas de la canine , elle voulait un prov , ben elle l a payé 360 et avec des limites de contour bien visibles .


Et7jtaj0pdi18gzjlxjiamlx15gs - Eugenol
Prunelles

02/12/2022 à 08h38

Autant en postérieur je suis tes conseils et y’a pas de provisoires.
Mais en antérieur (jusqu’à la 4, voir la 5 pour certains patients) tu dois être le seul chez qui les patients acceptent de repartir en mode vampire.


Vw campersurfvan bmnk1q - Eugenol
enlaye

02/12/2022 à 08h48

:-)) un fois y avait Rap qui etait passé au cab au moment où je faisais une 22 , la femme est repartie à poil , il ne l a pas cru :-))


enlaye écrivait:
------
> :-)) un fois y avait Rap qui etait passé au cab au moment où je faisais une 22 ,
> la femme est repartie à poil , il ne l a pas cru :-))

Et.... c'est quand qu'elle revient la madame, on sait jamais si par le plus grand des hasards j'étais dans le coin. 😜


moritooth

02/12/2022 à 11h31

Pour la full zircone on nous disait dans les formations qu'il faut une préparation droite ( sans congé, ni chanfrein, et aucun angle), ils appellent ça une "Vertiprep". J'en suis resté là, mais en même temps comme j'en fait pas j'ai peut-être pas suivi les dernières mises à jour.


6szjws718sv1jksw54v4mpj3a6cu - Eugenol
vulpi

02/12/2022 à 11h51

Intuitivement je dirai pour une pluriradiculée que si tu es bien assis en haut la forme de la limite compte peu. Je me suis jamais trop pris la tête avec ces histoires. Pour exister dans des conf tu te sens obliger de rajouter une ligne au protocole... un tort!


Vw campersurfvan bmnk1q - Eugenol
enlaye

02/12/2022 à 11h53

là on est à 1 semaine de la taille de 1 ère intention .pas de prov . la gencive est remontée à fleur de la limite .
alors si j étais un encoleur esthetico du dimanche je m arrêterais là .
mais après si tu t arrêtes là , il ne faut pas venir pleurer que les zircon se descellent .
c est le biseau qui fera toute la différence
PS : il n y a pas de prov et la dent est vivante :-))

9yx8q7wcp87cykjspvukykqotzbv - Eugenol

Vw campersurfvan bmnk1q - Eugenol
enlaye

02/12/2022 à 12h42

vulpi écrivait:
-----
" Intuitivement je dirai pour une pluriradiculée que si tu es bien assis en haut la forme de la limite compte peu. "

suis pas de ton avis , une couronne ne tient que part le sertissage de la limite , comme un chapeau . un chapeau ne tient que par le serrage sur la tête que ce soit le chapeau de zoé ou un berret .
il faut paramétrer l ordi pour le spacer . tu as le droit sur exocad à 2 epaisseurs virtuelles différentes de spacer , une pour la limite et une pour le moignon .
2 millimètres de spacer le plus fin possible pour les limites me paraissent suffisant le reste tu t en fous si c est lâche .


Vw campersurfvan bmnk1q - Eugenol
enlaye

02/12/2022 à 12h51

moritooth écrivait:
---------
" Pour la full zircone on nous disait dans les formations qu'il faut une préparation droite ( sans congé, ni chanfrein, et aucun angle), ils appellent ça une "Vertiprep". J'en suis resté là, mais en même temps comme j'en fait pas j'ai
peut-être pas suivi les dernières mises à jour. "

ah ouais ? sais pas je ne fais pas de formations :-) étonnant , et comment le labo sait où arrêter la couronne ?
bon ok , si j ai bien compris va falloir que je reprenne tout depuis le début pour évoluer :-)

Yb8qlb2sd9p67xqypxazc1mqv7ce - Eugenol

6szjws718sv1jksw54v4mpj3a6cu - Eugenol
vulpi

02/12/2022 à 12h57

enlaye écrivait:
------
> vulpi écrivait:
> -----
> " Intuitivement je dirai pour une pluriradiculée que si tu es bien assis en haut
> la forme de la limite compte peu. "
>
> suis pas de ton avis , une couronne ne tient que part le sertissage de la limite
> , comme un chapeau . un chapeau ne tient que par le serrage sur la tête que ce
> soit le chapeau de zoé ou un berret .
> il faut paramétrer l ordi pour le spacer . tu as le droit sur exocad à 2
> epaisseurs virtuelles différentes de spacer , une pour la limite et une pour
> le moignon .
> 2 millimètres de spacer le plus fin possible pour les limites me paraissent
> suffisant le reste tu t en fous si c est lâche .

Ça empêche pas d'avoir du grip sur le bas, ma réflexion était juste sur l'épaisseur de la prépa. Si tu es assis en haut, tu diminues les contraintes en bas, mais ça interdit pas un léger sertissage.


moritooth

02/12/2022 à 13h00

enlaye écrivait:
------
> moritooth écrivait:
> ---------
> " Pour la full zircone on nous disait dans les formations qu'il faut une
> préparation droite ( sans congé, ni chanfrein, et aucun angle), ils appellent ça
> une "Vertiprep". J'en suis resté là, mais en même temps comme j'en fait pas j'ai
> peut-être pas suivi les dernières mises à jour. "
>
> ah ouais ? sais pas je ne fais pas de formations :-) étonnant , et comment le
> labo sait où arrêter la couronne ?

En fait c'est juste une mise de dépouille, le tronc de cone simple, donc le labo voit bien l'angle où démarre la préparation . Par contre je ne me rappelle plus de la raison pour laquelle les pontes de la zircone préconisaient ça. Peut-être la compression verticale sur un congé mal supportée par la zircone ?


Vw campersurfvan bmnk1q - Eugenol
enlaye

02/12/2022 à 13h05

@ Vulpi .ah oui là je comprends mieux en effet , surtout sur une molaire


Vw campersurfvan bmnk1q - Eugenol
enlaye

02/12/2022 à 13h27

moritooth écrivait:
---------
" En fait c'est juste une mise de dépouille, le tronc de cone simple, donc le labo voit bien l'angle où démarre la préparation . Par contre je ne me rappelle plus
de la raison pour laquelle les pontes de la zircone préconisaient ça. Peut-être la compression verticale sur un congé mal supportée par la zircone ? "

ah oui , c est sur que la zircon ne supporte pas la contre dépouille je pense que c est plutôt ça qu' ils voulaient dire .
or effectivement si tu fais des angles , ou une erreur d axe la fraise de la machine qui a une certaine épaisseur ne pourra pas aller de partout .
mais a mon avis , ce qu ils veulent dire . c est plutot à cause de la forme des points de contacts proximaux .
l ordi choisis un axe EN FONCTION de l axe d insertion qui lui dépend des dents d à coté . et donc tu peux avoir une contre dépouille A CAUSE de l insertion alors que ta prep , elle n en a pas . au moins en taillant bien conique il y a plus de chance d eviter ce pb lors de l insertion de la couronne .
à mon avis c est pour ca qu ils disent ça .
tu n as pas remarqué , que lorsque tu fais 2 dents une derriere l autre , il y a un ordre pour les enfiler ? c est le même pb . l une est en contre dépouille par rapport à l autre , à cause des dents d a coté .





Et7jtaj0pdi18gzjlxjiamlx15gs - Eugenol
Prunelles

02/12/2022 à 16h03

enlaye écrivait:
------
> alors si j étais un encoleur esthetico du dimanche je m arrêterais là .

Hnell2emw4gjg4eqvuslrtw36sht - Eugenol

Vw campersurfvan bmnk1q - Eugenol
enlaye

09/12/2022 à 18h30

Prunelles , seulement pour savoir où s arrêter il faut placer un fil quand même . un petit bout que devant , pas la peine de faire tout le tour hein .
alors que les limites étaient juxta , là tu vois apparaitre avec le fil , le positionnement de la limite en fonction de l espace biologique suite à la taille de 1ere intention .
bien sur cela ne doit pas saigner , sinon cela voudrait dire qu il y a un pb et que donc je ne pourrais pas prendre l empreinte aujourd'hui .

Fodi071vbwqcjj9k3vr5ewdxdhf9 - Eugenol

Vw campersurfvan bmnk1q - Eugenol
enlaye

09/12/2022 à 18h37

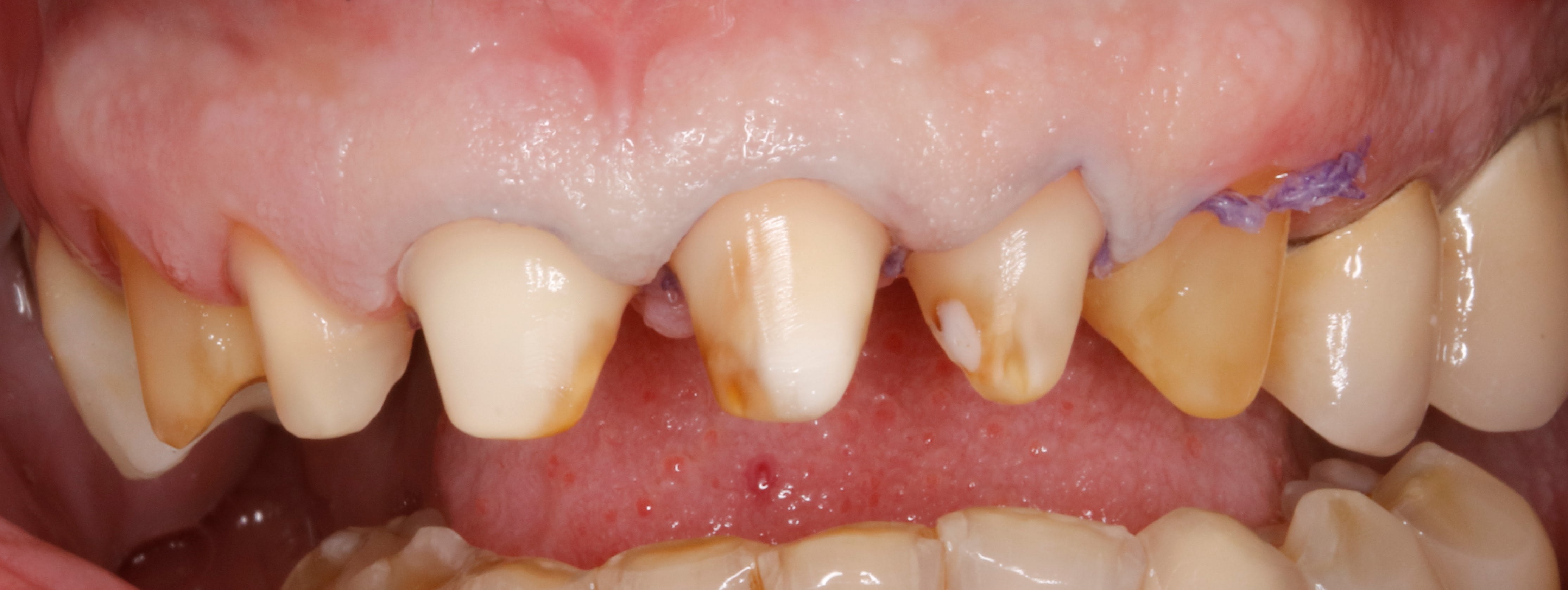
ce qui te permet de mieux préciser les limites jusqu'au fil . pas peur avec une fraise pointue grain fin si tu touches le fil , ça ne fait pas PUiiiiiiiiouuuu , au pire tu l escagasses comme là sur la canine . tu en profites pour retoucher les longueurs , et au final ça te donne ça . ça ne saigne tjs pas , tu enlèves les fils ( ou pas suivant le cas ) et tu prends ton empreinte sans stress .
facile le raco full :-)

7s440mnmjn3oly29jrhvzo52ramq - Eugenol

Vw campersurfvan bmnk1q - Eugenol
enlaye

09/12/2022 à 19h01

et j essaye de mettre au point un truc sur ce cas .
c est d enregistrer l axe pupillaire et le milieu de la tronche , qui sera positionné sur des modèles imprimés ou en plâtre suivant ton empreinte et qui seront scannés en modèles de situation .
en le rendant transparent il sera possible de le visualiser en permanence en arrière plan pdt que l on fait les dents sur le logiciel .
je vous tiendrais au courant .

8x2llaqq9vjuf89z8j295cj16064 - Eugenol

Vw campersurfvan bmnk1q - Eugenol
enlaye

15/12/2022 à 10h18

bien , donc je suis allé m amuser une fois de plus au labo , et voilà l intérêt du silicone scanné comme scan de situation .
le scan de situation sert a superposer 2 images , qui sert par exemple lorsque tu fais faire une une couronne en fonction d un stellite déjà existant .
alors ici j avais marqué avec un fil dentaire :
-un trait horizontal qui est parallèle à la la ligne bi pupillaire et
- un trait vertical qui correspond au milieu de la tronche
j aurais du marquer la ligne du sourire , mais je n y ai pas pensé .
en fait tu peux faire les marques que l on se fait pour le montage d un complet .
et à l ordi , ça donne ça .

99p9tj42hwdfdkztsvaaenlb7u8t - Eugenol

Vw campersurfvan bmnk1q - Eugenol
enlaye

15/12/2022 à 11h15

bien c est pas mal , pcq sans montage sur articu , on peut apprécier le décalage du point inter incisif , la bascule du plan qui s effondre sur la gauche , l egression classique des incisives de classe 2 .
bref on voit qu il faut refaire le bas , autrement dit on va refaire le haut sans tenir compte de l occlusion .

à ce propos , quand je vous dis que si vous ne m écoutez pas , vous faites forcement de la merde , ce n est pas pour faire le mac , si un peu quand meme :-) , mais c est que toutes les merdes je les ai dejà faites :-) .
ici c est moi qui ai fait la 33 implantaire il y a 30 ans , époque où je surfais beaucoup mieux que ce que je réfléchissais occluso , on en voit le résultat .
de la merde créative d engatses et évolutive !


Vw campersurfvan bmnk1q - Eugenol
enlaye

15/12/2022 à 11h31

donc après préparation des zones de spacer :
- en vert le spacer minimum des limites
- en jaune le spacer de la coquille
on comprend mieux qu' il est important de garder les même fraises pour toutes les tailles et donc le même style de taille , pcq le spacer , lui , ne peut pas être individualisé par dent . même si tu te le modifies , ce sera le même pour toutes les dents .

W0qf5j59jva24nn5uelppggwvq0p - Eugenol
4iplb5sw6p7mtvgfahtaieycnr7y - Eugenol

Vw campersurfvan bmnk1q - Eugenol
enlaye

15/12/2022 à 12h05

le trait vertical me donne l axe inter incisif , le trait horizontal me dit que 25+26 sont pipées .
25 et 26 c est moi qui les ai faites , en 2003 , ce n est pas si vieux que ça , mais forcement je m etais adapté au cas moisi , moisi que j avais créé par la 33 .
donc ne pas suivre la courbe induite par 25+26 , et donc remonter la 23 le plus possible .
la remonter et la vestibuler pour éviter le sur guidage canin .
il est évident que tout cela se voit en bouche , on avait pas besoin de l ordi pour ça , mais le labo , lui , n a que l ordi . donc il vaut mieux lui donner des indications .

Ozy8tu24cytgyx88loihj113477p - Eugenol
03tloa169oztz0z2m6i2u6qb7hjr - Eugenol