Cookie Consent byPrivacyPolicies.comCondensation latérale seule technique valable ??? - Eugenol

Condensation latérale seule technique valable ???

Rape p0as4f - Eugenol
rapelapente

06/01/2023 à 14h27

Le titre dit tout.
La sécu conteste la technique du maître cône scellé.
Des sources crédibles pour argumenter ?


--
Schooner For Ever


Et7jtaj0pdi18gzjlxjiamlx15gs - Eugenol
Prunelles

06/01/2023 à 14h56

rapelapente écrivait:
-----------
> La sécu conteste

Oui c'est des grands spécialistes là-bas...

Pour moi le minimum c'est le thermo-compactage au Revo Condensor.
Le Gold c'est l'injection de gutta chaude.


Blue eye thumb medium dx1i0w - Eugenol
bill

06/01/2023 à 15h09

La sécu c'est ce truc qui veut que tu fasses des soins premium à des tarifs low cost ?


--
https://docudent.fr
Tous les documents du cabinet dentaire
& l'aide au choix prothétique.
____________________________________


6szjws718sv1jksw54v4mpj3a6cu - Eugenol
vulpi

06/01/2023 à 15h36

Prunelles écrivait:
---------
> rapelapente écrivait:
> -----------
> > La sécu conteste
>
> Oui c'est des grands spécialistes là-bas...
>
> Pour moi le minimum c'est le thermo-compactage au Revo Condensor.
> Le Gold c'est l'injection de gutta chaude.

Il y a une différence avec le gutta condensor ?


Et7jtaj0pdi18gzjlxjiamlx15gs - Eugenol
Prunelles

06/01/2023 à 15h42

Lectures pour le weekend :
https://dumas.ccsd.cnrs.fr/dumas-01097240/document
https://dumas.ccsd.cnrs.fr/dumas-01260695/document

Les avantages du Revo Condensor pour moi c'est qu'il est en Niti et que sa courbure est plus appropriée que le Gutta Condensor.


vernal

06/01/2023 à 15h49

Maitre cône ?
https://www.septodont.fr/CLIENT/openfile.php?file=.%2F..%2Ffichiers_upload%2F14023890_bioroot_brochure_di.pdf&nom=BioRoot+Brochure+Digitale+2022.pdf&key=d2e3db4464766d40ab1436aa80d1aa82

Ou trouve-t-on que la sécu conteste la technique du maitre cône scellée ?


Prunelles écrivait:
---------

> Les avantages du Revo Condensor pour moi c'est qu'il est en Niti et que sa
> courbure est plus appropriée que le Gutta Condensor.

Et au niveau fracture d'instrument ?


Gabzou

06/01/2023 à 17h07

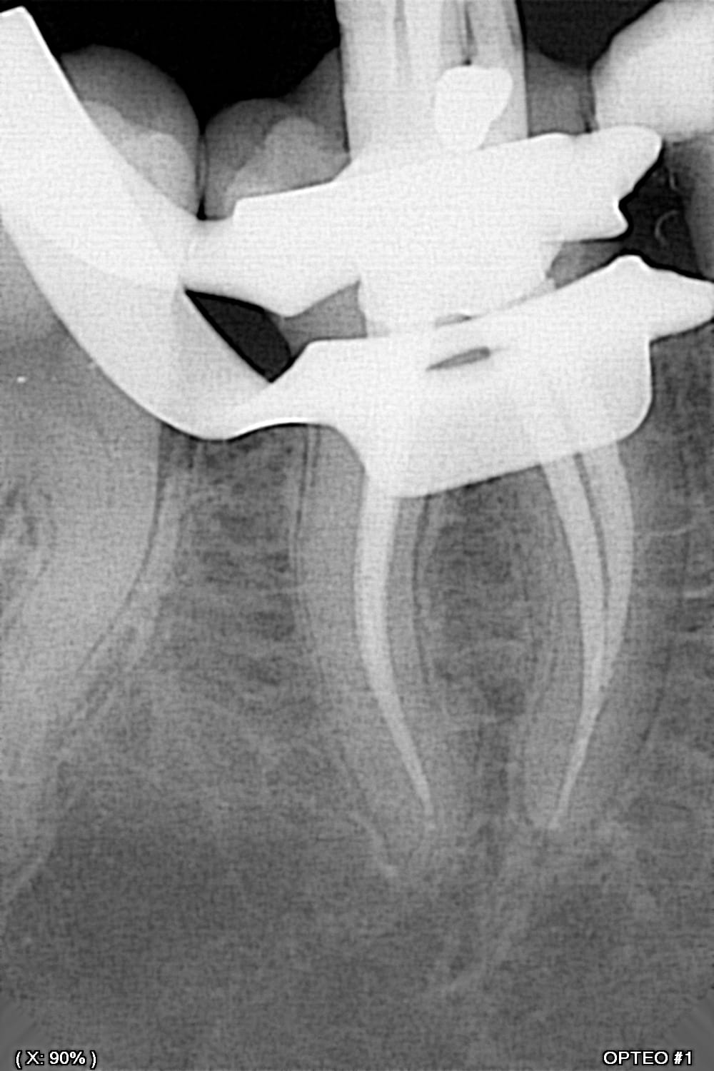
Qu'est ce que tu appelles condensation latérale seule? Tu rajoutes des cônes accessoires, hein? Pas du monocône dans une mer de ciment? J'ai un doute quand tu parles de maître cône scellé.


Images oecc9d ijdijh - Eugenol
Akrobat

06/01/2023 à 17h24


Donc ça c'est caca, la sécu rembourse pas?

--
Tacheron

Ygysorqi4thkm6msmbt593bqd8th - Eugenol

Et7jtaj0pdi18gzjlxjiamlx15gs - Eugenol
Prunelles

06/01/2023 à 17h57

ℙ𝕖𝕣𝕧𝕖𝕣𝕤 ℙé𝕡è𝕣𝕖 écrivait:
--------------
> Prunelles écrivait:
> ---------
>
> > Les avantages du Revo Condensor pour moi c'est qu'il est en Niti et que sa
> > courbure est plus appropriée que le Gutta Condensor.
>
> Et au niveau fracture d'instrument ?

J'ai une fois acheté une boite de Gutta Condensor par erreur.
Même en respectant les vitesses de rotation, je les ai trouvé beaucoup plus prompt à la fracture que les Revo (Acier VS NiTi)
J'aurais du dire "conicité" plutôt que "courbure".


Prunelles écrivait:
---------
> ℙ𝕖𝕣𝕧𝕖𝕣𝕤 ℙé𝕡è𝕣𝕖 écrivait:
> --------------
> > Prunelles écrivait:
> > ---------
> >
> > > Les avantages du Revo Condensor pour moi c'est qu'il est en Niti et que sa
> > > courbure est plus appropriée que le Gutta Condensor.
> >
> > Et au niveau fracture d'instrument ?
>
> J'ai une fois acheté une boite de Gutta Condensor par erreur.
> Même en respectant les vitesses de rotation, je les ai trouvé beaucoup plus
> prompt à la fracture que les Revo (Acier VS NiTi)
> J'aurais du dire "conicité" plutôt que "courbure".

OK merci, on va essayer , en plus sont moins chers.

Par contre si ça pète je t'envoie Igor le Tchéchenne 🥶


Rape p0as4f - Eugenol
rapelapente

06/01/2023 à 18h39

Alors des sources pour défendre le mono cône ?


--
Schooner For Ever


Jf35

06/01/2023 à 18h40

ce sont les DDAS
dernières données acquises de la science.
C TOUT


Jf35

06/01/2023 à 18h44

ce sont les DDAS
dernières données acquises de la science.
C TOUT


Bebert.

06/01/2023 à 19h55

La fracture des condenseurs est fréquente et franchement, ça ne m'a jamais inquiété: un bout de métal stérilisé noyé dans de la gutta...
Même pas gênant pour faire un logement de tenon puisque toujours cassés après la courbure.
Les NiTi sont intéressants car peu radio opaques et ne se remarquent pas dans la gutta.
Reste qu'il faut une bonne conicité et une bonne constriction apicale. Si on a défoncé l'apex à la prépa, il vaut mieux faire autre chose...


Hok 1b hgd3rj - Eugenol
Hokusai

06/01/2023 à 20h35

si jamais tu casses ton revo condensor, tu en repasses un qui fera remonter le fragment.


Capture d  cran 2015 03 12 12.28 - Eugenol
chicot29

06/01/2023 à 21h53

Monocone scellé dans de la bioceram. La sécu conteste quoi ? avec ses remboursements à 2 balles ?


--
Dentiste qui en a plein le cul.

R9xrz0o5zvjsnaajz4ydfyetfr2v - Eugenol

Capture d  cran 2015 03 12 12.28 - Eugenol
chicot29

06/01/2023 à 21h54

Monocone scellé dans de la bioceram. La sécu conteste quoi ? avec ses remboursements à 2 balles ?


--
Dentiste qui en a plein le cul.

Fdyx9udk1msp3jebwx98nkjfci41 - Eugenol

Rape p0as4f - Eugenol
rapelapente

07/01/2023 à 11h42

Akrobat écrivait:
-------
>
> Donc ça c'est caca, la sécu rembourse pas?>

Voilà !
😉


--
Schooner For Ever


Gabzou

07/01/2023 à 14h50

Effectivement, bioceram c'est pas pareil; le paradigme est différent; le monocone est légitime.
Mais il n'y a pas de condensation, c'est pour ça que je ne comprends pas ce dont parle rapelapente, un monocone sans condensation, ou une condensation latérale avec ajout de cônes accessoires.


Rape p0as4f - Eugenol
rapelapente

07/01/2023 à 15h49

La secu conteste le monocone sans condensation.


--
Schooner For Ever


Gabzou

07/01/2023 à 15h52

Si c'est bioceram, pas de soucis. Si c'est ciment classique, l'épaisseur de ciment non maîtrisée selon l'anatomie canalaire n'est à ma connaissance pas idéale. Faut que je retrouve les recos.


Jf35

07/01/2023 à 16h45

Chicot quelle année le doc?


Capture d  cran 2015 03 12 12.28 - Eugenol
chicot29

08/01/2023 à 10h25

Jf35 écrivait:
----
> Chicot quelle année le doc?

Novembre 2008. Demander de faire une endo molaire pour 100 balles et en plus prétendre respecter les données acquises de la science est une arnaque que seul un monopole peut créer.


--
Dentiste qui en a plein le cul.


Capture d  cran 2015 03 12 12.28 - Eugenol
chicot29

08/01/2023 à 10h28

Akrobat écrivait:
-------
>
> Donc ça c'est caca, la sécu rembourse pas?
>
> --
> Tacheron
Vas prouver que c'est scellé ou compacté une fois les cônes coupés. -) Déjà faudrait qu'ils s'occupent de vérifier si les endos sont à l'apex ou non. -)

--
Dentiste qui en a plein le cul.