Cookie Consent byPrivacyPolicies.comLésions apicales sur dents "vivantes" - Eugenol

Lésions apicales sur dents "vivantes"

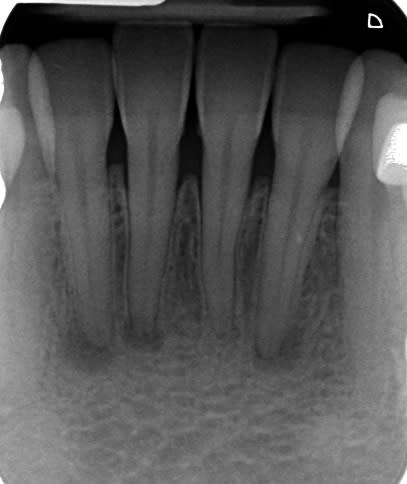
Nouveau image bitmap fz77zh - Eugenol
Sethef

06/01/2023 à 16h17

Bonjour à tous.
Je reçois la patiente dont la radio figure ci-dessous, 37 ans, pour un motif qui n'a rien à voir avec ce qui nous occupe.

Les tests de vitalité sont aussi normaux qu'ils peuvent l'être, les dents sont asymptomatiques, elle a un antécédent de trauma facial/dentaire dans sa jeunesse (il y a plus de 20 ans), et a eu de l'odf à l'adolescence. RAS depuis.

On est d'accord que tout le monde fait les endos sans se poser plus de questions, je ne passe pas à côté de quelque chose?

Je pensais quoi qu'il en soit faire les ouvertures de chambre sans AL pour confirmer le diag, mais 3 lésions sur dents saines, c'est pas tous les jours.

Un autre avis?

Psc7gx49ohe9mjao33u0yiguermh - Eugenol

Gabzou

06/01/2023 à 17h49

Pas de symptômes du tout? Jamais? J'attends une radio à 1mois, 3 mois, 6 mois, 1 an. Si ça n'évolue pas c'est surveillance annuelle. Le jour où l'endo aura un taux de succès de 100%, j'interviendrai sur les lésions asymptomatiques non évolutives.

Si tu tiens à intervenir, je valide ton traitement sans AL pour confirmer la nécrose, il se peut que tu ais un faux positif au test au froid, à la fraise c'est peu probable.
Mais si une douleur arrive tu fais quoi? C'est sûrement moitié nécrosé moitié vivant. Ya pas de symptômes.


Morgan ztbb1b - Eugenol
BONNET jc

06/01/2023 à 17h54

Ouverture des chambres sans AL. J'aimerai pas être à la place du patient.


fifi55

06/01/2023 à 18h09

A cet endroit L'os est tellement fin que tu peux attendre de le sentir avec le doigt en passant à l'apex des racines, et la tu feras les 3. Mais si pas de trou avec le doigt ou à l'inverse une légère voussure et pas de symptômes alors je ne ferai rien qu'une radio chaque année.
Cordialement


Gabzou

06/01/2023 à 18h11

BONNET jc écrivait:
---------
> Ouverture des chambres sans AL. J'aimerai pas être à la place du patient.

Si c'est nécrosé il n'y a aucune sensibilité. Si une sensibilité arrive, tu peux anesthésier, et tu as confirmé la persistance d'une vitalité. Bien sur qu'on ne fraise pas une dent vivante à vif sans AL.
Beaucoup trop de monde anesthésie systématiquement alors que pas mal d'actes sont sans douleurs.


Nouveau image bitmap fz77zh - Eugenol
Sethef

06/01/2023 à 18h29

Effectivement, ce détail là ne posait pas question à mon sens.
Sur dent nécrosée, je fais systématiquement l'ouverture sans AL. Voire l'endo entière, la plupart du temps la seule sensibilité intervient au quart de seconde où tu pousses un peu au mc spadden.
Ma question portait plus sur une possible pathologie autre mimant des lésions apicales, sinon je traiterai sans me poser plus de questions.

J'ai demandé à la patiente de récupérer ses anciennes panos, pour voir si les images étaient déjà présentes il y a quelques années.


Et7jtaj0pdi18gzjlxjiamlx15gs - Eugenol
Prunelles

06/01/2023 à 18h47

A contre sens, j’anesthésie toujours lors d’une endo.

Sethef - Quand tu dis « Les tests de vitalité sont aussi normaux qu'ils peuvent l'être », tu veux dire qu’il y a une réponse positive au test au froid ?


Nouveau image bitmap fz77zh - Eugenol
Sethef

06/01/2023 à 18h54


Oui, et tout à fait comparable aux dents adjacentes saines, sans temps de retard, sans atténuation ou douleur prolongée, bref, normaux.
C'est la seule raison pour laquelle le cas m'ennuie. Probables faux positifs mais quand même, c'est pas classique.


Utilisateur banni

06/01/2023 à 18h58

Je ne sais pas ce qui est raconté ici :)) mais une dent avec généralement un canal et une lésion à l’apex est une dent nécrosée. Elle n’est pas à moitié vivante et à moitié nécrosée.
Deuxièmement on ne laisse pas des dents avec des lésions . On les traite.
Troisièmement normalement sur une dent nécrosée asymptomatique on n’anesthésie pas.
Quatrièmement si la dent nécrosée est symptomatique et vraiment douloureuse, on anesthésie. Ça c’est pareil il y en a certains qui enseignent qu’on n’anesthésie pas une dent nécrosée symptomatique. C’est une erreur dans la mesure où la moindre petite pression provoque une douleur.
Enfin cinquièmement sur une dent avec des canaux larges comme on le voit à la radio , il est clair que le traumatisme est l’origine de ces lésions. Aucune autre cause ne peut expliquer cette nécrose.


Et7jtaj0pdi18gzjlxjiamlx15gs - Eugenol
Prunelles

06/01/2023 à 18h58

Dans le doute je m’abstiendrais. On soigne pas des images.


Jf35

06/01/2023 à 19h00

les dents sont en train de virer en nécrose.
La lumière canalaire est présente donc la dent ne se protège pas.
Tu as un test de vitalité à la soufflette , à l'aspiration et à l'endo frost - 50 ° C ? Et rien à la percussion?
Mouais.
Tu peux toujours attendre mais ce sera + important.
Tu peux tester de manière ultime, sans AL, mais je pense que la patiente ne sentira pas grand chose et que ton anesthésie sera très légère.


Gabzou

06/01/2023 à 19h43

Quand je me pose des questions, je m'abstiens. Il y a bien sur 99% de chance que ce soient bien des lésions apicales liées à nécrose. Mais attendre quelques mois pour un contrôle radio ne coûte pas grand chose. Autre option, récupérer d'anciennes radios pour comparaison. Si c'est là depuis 15 ans sans symptômes ni évolution...
On voit passer des trucs bizarre parfois. Surtout après des trauma.

Mais sinon la fraise sans AL c'est bien aussi, pas de douleurs et tu fais tes endos. Douleurs et abstention surveillance.


zoulman

06/01/2023 à 20h13

Déjà eu un cas similaire sur des incisives du bas aussi après trauma. La lésion apicale est apparue rapidement en même pas 3 mois mais était complètement asymptomatique. Le test au froid était légèrement positif. A l’ouverture je suis tombé sur un tissu nécrotique mais pas comme une nécrose ancienne. effectivement il fallait faire la pulpectomie.
Pour moi il faut faire l’endo avec surveillance car on peut espérer une cicatrisation / régression de la lésion. Si il y’a une lésion type granulome c’est qu’il y’a à priori un foyer infectieux inflammatoire latent. Si malgré le traitement la lésion n’évolue pas et reste asymptomatique pas on peut se contenter de surveiller même si elle persiste.


Nouveau image bitmap fz77zh - Eugenol
Sethef

06/01/2023 à 22h33

Pour complément.
https://dumas.ccsd.cnrs.fr/dumas-01784100/document


Nouveau image bitmap fz77zh - Eugenol
Sethef

06/01/2023 à 22h36

Je ne l'ai pas précisé, mais la patiente présente le même type d'image sur la 36, porteuse d'un ancien composite parfaitement étanche à première vue, quoiqu'un peu profond.
Réactive au froid également.

J'aime pas plus.


Vw campersurfvan bmnk1q - Eugenol
enlaye

06/01/2023 à 22h53

Merci pour le partage de cette thèse .


Utilisateur banni

06/01/2023 à 23h15

Le patient a eu un traumatisme facial donc ça paraît quand même plus que logique de penser que le traumatisme en est l’origine.
Il y a des patients qui sentent le froid, puis quand tu fais ta cavité sans anesthésie, bizarrement ils ne sentent rien :)) Les petits rigolos qui sentent le froid alors que la dent est jaune foncée bien nécrosée, il y en a à la pelle.
Là tu nous sors une thèse qui nous rapporte des cas exceptionnels avec des radios pourries pour la plupart.


Nouveau image bitmap fz77zh - Eugenol
Sethef

07/01/2023 à 08h51

En temps normal, je serais assez d'accord avec toi; mais là il n'y a aucune dyschromie, la réponse au froid n'est même pas un peu modifiée, et si les lésions dataient de 20 ans, elles seraient plus volumineuses.
D'ailleurs, si les dents étaient nécrosées depuis 20 ans, on aurait une différence de lumière canalaire avec la 31 restée vivante.

Pour la thèse également, je suis assez d'accord, mais je n'ai rien trouvé de mieux. Probable que l'auteur n'a pas trouvé mieux non plus d'ailleurs au vu de la rareté des cas.

Bref, ça se terminera le jour de l'ouverture de chambre, si ça ne réagit pas, ça règlera la question.


6szjws718sv1jksw54v4mpj3a6cu - Eugenol
vulpi

07/01/2023 à 09h07

Tu n'as donc qu'un signe d'appel et quelque chose d'asymptomatique, ça peut être l'indication d'une surveillance si le patient est régulier dans ses contrôles et pas de pathologie générale associée.
Perso je ferai ou pas selon mon humeur.😁


6szjws718sv1jksw54v4mpj3a6cu - Eugenol
vulpi

07/01/2023 à 09h20

Prunelles écrivait:
---------
> A contre sens, j’anesthésie toujours lors d’une endo.
>
Hors des RTE idem, ça ne change rien au traitement, c'est souvent plus confortable pour tout le monde et bien pratique si je dois gnacquer la gencive avec mon crampon.


Morgan ztbb1b - Eugenol
BONNET jc

07/01/2023 à 09h20

Gabzou écrivait:
------
> BONNET jc écrivait:
> ---------
> > Ouverture des chambres sans AL. J'aimerai pas être à la place du patient.
>
> Si c'est nécrosé il n'y a aucune sensibilité. Si une sensibilité arrive, tu peux
> anesthésier, et tu as confirmé la persistance d'une vitalité. Bien sur qu'on ne
> fraise pas une dent vivante à vif sans AL.
> Beaucoup trop de monde anesthésie systématiquement alors que pas mal d'actes
> sont sans douleurs.

On te le ferait à toi?


moritooth

07/01/2023 à 09h20

Réveil !
On a 3 lésions apicales, donc 3 foyers infectieux bactériens, qui grignotent gentiment le patient de l'intérieur. Vous le savez et vous attendez ? l'origine peut-être une traumatisme dont le patient ne se souvient même plus, ou de l'ortho adulte un peu brutale, ou... peu importe.
Pour ceux qui ont un doute, plutôt que d'attendre bêtement que les bébêtes continuent de ronger le patient, faites un CBCT !!!


6szjws718sv1jksw54v4mpj3a6cu - Eugenol
vulpi

07/01/2023 à 09h28

Réponse inflammatoire osseuse à un ancien trauma ? Stigmates de cicatrisation ? Si tu veux une vraie réponse c'est pas en faisant mumuse avec un cbct, ni avec un touché rectale 😉 , les deux sont cotables? Ton idée est intéressante pour exclure la possibilité d'un canal incisif volumineux avec image de projection sur les incisives, ça ferait un bel article. Ou si il y avait rien.
La réponse médicale, qu'on ne fera pas c'est prélèvement de la lésion et anapath. Nous ne sommes pas des médicaux on opère des radios ou des images.
Au pire, et probablement, on a trois nécroses aseptiques chez un jeune de 37 ans en bonne santé, c'est "moins pire" que trois pêches sous endo avec une porte d'entrée via la cavité d'accès.
Si bien cadré une surveillance me gène pas.


Dentarue

07/01/2023 à 09h40


6szjws718sv1jksw54v4mpj3a6cu - Eugenol
vulpi

07/01/2023 à 09h42

Question idiote Sethef, est ce que tu as pris des RX avec d'autres incidences ?


12