Cookie Consent byPrivacyPolicies.comLésions apicales sur dents "vivantes" - Eugenol

Lésions apicales sur dents "vivantes"

Utilisateur banni

07/01/2023 à 10h44

vulpi écrivait:
----
> Au pire, et probablement, on a trois nécroses aseptiques chez un jeune de 37 ans
> en bonne santé, c'est "moins pire" ….

Non mais dès fois je me demande si vous réfléchissez. :))
Si il y a des lésions, cela veut dire que la nécrose n’est justement pas aseptique.

C’est vraiment un sketch. Et le pire c’est que vous ne le faites pas exprès. Entre Gabzou qui nous raconte qu’une dent avec un canal et une lésion à l’apex est à moitié nécrosée et à moitié vivante, et Vulpi qui nous parle de nécrose aseptique alors qu’il y a des lésions ! Non mais Allô quoi ! T’es une fille et t’as pas de shampoing ! C’est comme si j’te dis t’es une fille et t’as de cheveux !


6szjws718sv1jksw54v4mpj3a6cu - Eugenol
vulpi

07/01/2023 à 10h50

T'as fait un prélèvement ? Non ? Tu la ferme !


Utilisateur banni

07/01/2023 à 11h10

:))))) non mais Allô ! oui faisons un prélèvement tiens , que je rigole un peu plus.


Utilisateur banni

07/01/2023 à 11h20

Sethef écrivait:
------
> si les lésions dataient de 20 ans, elles seraient plus volumineuses.

il existe des lésions qui restent très petites et qui n'évoluent que très peu sur énormément de dents. Ca se trouve cela fait 15/20 ans qu'il a ses lésions sans problème.


6szjws718sv1jksw54v4mpj3a6cu - Eugenol
vulpi

07/01/2023 à 11h33

Tu traites, on le fait tous de manière statistique. Trauma nécrose endo.
Sethef demande si ça peut être autre chose, tu lui donnes la réponse standard, ça n'a aucun intérêt.😞 Même si statistiquement c'est la plus probable et que statistiquement il finira avec trois endos et je sais pas quoi par dessus et statiquement des complications sous endo à long terme.
Surveiller 6 mois un an pour voir si il y a des périodes chaudes me pose aucun souci, c'est de la curiosité, j'aime voir ce qui se passe.
Le cbct, oui diagnostic d'exclusion si on avait une bizarrerie anatomique, mais ça te dira pas en quoi est fait la lésion.
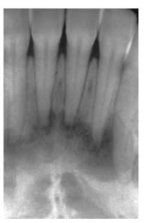
Ce qui est intriguant, sensibilité de capteur ? C'est qu'on a pas une limite bien définie, on a l'impression que les trabeculations osseuses entrent dans l'image radio-claire, Sethef connait mieux son capteur que nous. Le ligament parodontal semble peu, pas affecté, c'est "propre comme image".
Sensibilité au froid, c'est pas exceptionnel d'avoir aux niveaux des incisives mandibulaires un canal en "8" et parfois un canal accessoire plus petit. Vu que c'est sur le même patient cette variation est possible sur l'ensemble des inc mand.
Trauma, nécrose du canal accessoire, moins bien vascularisé et persistance d'une vitalité+/- standard au niveau du canal principale, ça me va comme hypothèse, cbct ? Visualisation du canal accessoire ? Ça serait satisfaisant. Dans ce cas attention au tt endo, si tu ne sais pas avant tu risques pas d'améliorer la situation.
J'attends ton raisonnement étayé par un peu de réflexion. 😁


dentn13

07/01/2023 à 14h50

Bonjour, il s'agit probablement d'une dysplasie osseuse floride (https://en.wikipedia.org/wiki/Cemento-osseous_dysplasia ). Il ne faut surtout pas faire d'endo, les pulpes sont vivantes et en bonne santé. Conduite à tenir : rien du tout.

De manière générale il ne faut pas faire d'endo lorsque les tests de vitalité sont positifs, même en cas d'images apicales radiologiques. Il sera toujours temps de faire l'endo plus tard, par contre une fois l'endo faite, c'est assez difficile de revenir en arrière.


Gabzou

07/01/2023 à 15h01

Bon, j'ai fouillé un peu, l'hyperparathyroidisme, chez l'insuffisant rénal notamment, peut causer des lésions périapicales sur dents saines, qu'il n'est pas recommandé de traiter.
A partir de la page 62 du document (42 en bas de page).
https://dumas.ccsd.cnrs.fr/dumas-01784100/document
Malheureusement je n'ai pas tout le texte et donc pas les réf scientifiques. Les lésions radiologiques sont bluffantes, cf image.
Il y a quand même statistiquement largement plus de chances d'avoir affaire à une LIPOE, mais franchement, patienter, récupérer des radios, faire un bilan médical, çà ne coute rien.

Des commentaires Fripouille avec tes certitudes ?
Il faut arrêter de penser que l'on sait tout.
Cela dit, j'avoue que la nécrose partielle à long terme sur une monoradiculée c'est pas commun, peut-être même pas possible, mais mon principe de base c'est de douter.

Qh96x1dpijce9f9802qa06fuzmu4 - Eugenol

Nouveau image bitmap fz77zh - Eugenol
Sethef

07/01/2023 à 15h17

vulpi écrivait:
-----

> Ce qui est intriguant, sensibilité de capteur ? C'est qu'on a pas une limite
> bien définie, on a l'impression que les trabeculations osseuses entrent dans
> l'image radio-claire, Sethef connait mieux son capteur que nous. Le ligament
> parodontal semble peu, pas affecté, c'est "propre comme image".

Je te confirme que je vois une continuité du ligament autour de l'apex, alors qu'il devrait avoir disparu. Ca fait partie de mes doutes.




> Trauma, nécrose du canal accessoire, moins bien vascularisé et persistance d'une
> vitalité+/- standard au niveau du canal principale, ça me va comme hypothèse,
> cbct ? Visualisation du canal accessoire ?

Sur du long terme je n'y crois pas, les nécroses partielles au delà de quelques jours/semaines après le début du processus, je ne l'ai jamais observé en vrai. Surtout sur des canaux d'incisives qui présentent des anastomoses sur une bonne part de leur longueur. (*j'ai un contre exemple, mais ça me semble oiseux, c'est pas le sujet)
Soit c'est vivant, soit ça ne l'est pas.

>Question idiote Sethef, est ce que tu as pris des RX avec d'autres incidences ?
J'ai une pano au cab, qui ne m'a rien montré de plus. Pas de 3D. Pas d'indice d'une anatomie atypique, mais ce n'est que rarement visible à la 2D. Je la mettrai lundi si tu veux, mais franchement elle n'apporte pas grand chose de plus.


Nouveau image bitmap fz77zh - Eugenol
Sethef

07/01/2023 à 15h22

BONNET jc écrivait:
---------
> Gabzou écrivait:
> ------
> > BONNET jc écrivait:
> > ---------
> > > Ouverture des chambres sans AL. J'aimerai pas être à la place du patient.
> >
> > Si c'est nécrosé il n'y a aucune sensibilité. Si une sensibilité arrive, tu
> peux
> > anesthésier, et tu as confirmé la persistance d'une vitalité. Bien sur qu'on
> ne
> > fraise pas une dent vivante à vif sans AL.
> > Beaucoup trop de monde anesthésie systématiquement alors que pas mal d'actes
> > sont sans douleurs.
>
> On te le ferait à toi?

A moi j'ai testé, et je préfère ça qu'une locale dans le contexte.


Jf35

07/01/2023 à 15h39

https://www.jomos.org/articles/mbcb/pdf/2015/02/mbcb150003.pdf

C’est vrai que c’est pas idiot une dysplasie mais dans les cas documentés, les lésions sont qd même + grosse.
Ici c’est + fin et la patiente se rappelle d’un trauma tout de même.


Gabzou

07/01/2023 à 16h00

Je suis bien d'accord, mais:
-absence de symptomes et lésions modérées =pas pressé
-sensibilité normale =probable faux positif mais doute quand même, surtout si 3 dents concernées.

Si c'était moi le patient, je préférerais attendre et voir comment ça évolue. Et vous? Vous voudriez vous faire dévitaliser 2 dents asymptomatiques ?


Utilisateur banni

07/01/2023 à 16h55

Touche préférentiellement les femmes.
Les femmes africaines
Bilatérales et symétriques…

Je n’ai pas l’impression que le cas de Sethef soit tout à fait ça :)


Gabzou

07/01/2023 à 17h16

Ouaip, et c'est pas non plus tout à fait une LIPOE classique. Mais moi je ne crache pas sur les autres en affirmant connaitre la vérité quand il y a sûrement des choses que j'ignore. Tu vois où je veux en venir?


Utilisateur banni

07/01/2023 à 17h42

Gabzou écrivait:
------
> Ouaip, et c'est pas non plus tout à fait une LIPOE classique. Mais moi je ne
> crache pas sur les autres en affirmant connaitre la vérité quand il y a sûrement
> des choses que j'ignore. Tu vois où je veux en venir?

Excuse moi oui ça me fait doucement rire . Comme je l’ai déjà dit : des allumés qui sentent le froid sur des dents nécrosées, il y en a plein dans la nature.

Il y a quand même une chose qui est écrit noir sur blanc : le patient a subi un traumatisme facial et dentaire il y a 20 ans. C’est là dessus qu’il faut se baser pour l’instant.

Vous sortez des cas qu’on voit uniquement dans les livres. Alors que Sethef vous dit qu’il a eu un gros traumatisme.


 40042465 bill gordon203 lfznbq - Eugenol
torino

10/01/2023 à 21h30

Gabzou écrivait:
------
> Bon, j'ai fouillé un peu, l'hyperparathyroidisme,

Tumeur brune d'hyperparathyroidie, perso j'ai pensé à ca tout de suite en voyant ce type d'image sur dent à priori vitale.
Sinon tu dis faire un bilan médical, tu vas prescrire quoi?

Fripouille à quoi bon se jeter sur ces dents surtout au prix de l'endo. ca coute rien d'attendre.
Faut surveiller, ca serait mes dents j'aurais pas envie qu'on me les bousilles en perçant un gros trou derrière.


D771nu9wlsodivbzuvi1onniqgu4 - Eugenol
Duke The Root

10/01/2023 à 22h23

@ sethef : as tu fait un cbct de ces dents ?
Sur les laterales on voit 2 contours ligamentaires, cela ne veut pas forcément dire que ces dents présentent 2 canaux mais des incisives mandibulaire à deux canaux c'est loin d'être rare et ces dents sont celles qui présentent le plus haut taux d'échecs de traitement endodontique.
Des lésions d'origine odf auraient probablement causées également des résorptions qui ont un aspect plat assez caractéristique.

@ fripouille : oui Ricucci a démontré à de nombreuses reprises que le système canalaire ( même nettoyé) présentait un ensemble de :
Bactéries
Tissu nécrotiques
Tissu vivants
Smear layer

Curieux de voir les données du cbct.


12