Cookie Consent byPrivacyPolicies.comdouleurs compliquées - Eugenol

douleurs compliquées

Ylfwcw979cz1jnx9gfqeaxndiuzk - Eugenol
Algi

09/02/2023 à 20h32

Petit mp que je pouvais pas poster publiquement....


--

On a toujours le choix mais entre quoi et quoi?
Vas-y boulégue et l'avenir te le dira!


Gabzou

10/02/2023 à 13h08

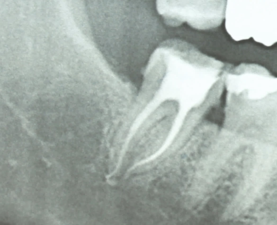
Vérifie l'absence de carie en distal de 46 effectivement (on en soupçonne une à la pano mais pas à la rétro).
Vérifie la vitalité de 46.

Les options (ça me tue le nombre de personnes qui t'envoient directement un diagnostic précis), par ordre de probabilité selon moi:

-Flare up 47 ou douleurs liées à l'anesthésie intralig: tu pars là dessus si la 46 est saine; antalgiques, éventuellement ATB si lors de ta pulpo et ton endo tu n'as pas eu de saignement et donc la pulpe semblait nécrosée ou si tu as des signes infectieux (douleur palapation, adénopathie, tuméfaction ou ton trismus tout simplement). autrement antalgiques, éventuellement anti-inflammatoires.

-Surocclusion 47: à vérifier.

-Septite entre 46 et 47: à vérifier si saignement papille interdentaire

-Nécrose ou pulpite 46: à vérifier, probable uniquement si tu retrouves une carie en distal de 46.


Ma théorie mais difficile à dire sans avoir vu la 47 avant et lors de l'accès à l'endodonte, c'est que tu avais une 47 en voie de nécrose (d'où la pulpite pas claire); tu as fait la pulpo mais la nécrose était déjà canalaire, d'où les douleurs qui ont persisté; tu as fait l'endo et probablement irrité le péri-apex, flare-up. Egalement possible que la dent ait déjà été en paro apical aigue.

Pour moi aucune image osseuse radio nulle part; juste ton anatomie osseuse plus ou moins dense/épaisse.


burnax

10/02/2023 à 13h20

En cas de fusée , peut-on mettre un AIS, si échec ou insuffisance de l'ATB, en 2ème intention ou risque-t-on une flambée aggravée ?


Jf35

10/02/2023 à 13h21

Tout comme Gabzou et je rajoute des signes de ménopause et là on est nickel.
Reprends dans l’ordre, 47? Anesthésie ?traitement, la pulpo a exacerbé le bazar et probablement départ d’infection.
Puis l’inflammation s’est installée sur le ligament, faut mettre en sous occlusion pour isoler la 47.
Sinon penser à 46. Et tu termines par les bouffées de chaleur… pour détendre.


Orezza gazeuse verre litre ocoxey - Eugenol
casa

10/02/2023 à 13h56

What is "flare up" ? mais +1 pour Gabzou , bon j'ai utilisé Google et elle m'a répondu la dame ou le mr mais c'est quoi ces termes anglo saxon ....? Je vais le placer la prochaine fois qu'un patient m'emm..... il va pas comprendre . Et j'ai déjà eu le cas , c'est la fameuse 47 qui flambe à 50 à ou 60 balais chez les dames , parfois fêlées d'ailleurs .


Vw campersurfvan bmnk1q - Eugenol
enlaye

10/02/2023 à 14h02


aller , ok , on reprend point par points , d' autant plus que j ai eu des nouvelles au tel qui peut rajouter des éléments .

- syndrome du septum ? , non , rien , aucun saignement , pas de douleur particulière .

- sur occ sur 7 ? elle m avait dit que non , mais on en tient pas compte , c est fort possible qu il y ai eu un surcontact ancien sur compo bien raboté par le haut allant jusqu a la fêlure . en tout cas la dent est sensible ++ à la percussion

- douleurs du à l intralig ? , non je ne fais que ça depuis tjs , et quand pb il y a avec l intralig ça ne fait pas comme ça . par contre que ça potentialise un pb d en dessous oui c est possible .
tu as un pb avec l intralig , soit :
* quand tu crois que tu es dans le ligament alors que tu n y es pas et que tu t amuses avec le périoste en le décollant . et dans ce cas elle ne prend pas , forcement tu n as pas fait d intralig .et un perioste decollé c est l enfer vert .
* quand tu as un ligament enflammé et là ça fait tres mal , et ça ne marche pas non plus . mais ça ne va pas plus loin .
* et même s il y a nécrose , lorsque tu ouvres et machines les canaux la surpression de jus remonte par le ou les canaux et y a pas de pb . voir mieux ca te permet de faire remonter les merdes venant du peri apex .

- à l exam , pas de douleur au froid , ni au chaud . difficulté à déglutir 7 très sensible si on tape dessus , la 6 non .la 6 rien .
nouveauté : elle me dit qu il y a une semaine , ce coté là lui a fait mal en redescendant du ski , pression dépression ?

- lors de l ouverture , pas de saignement en distal , mais en mesial oui .
début de nécrose , suis bien de cet avis . pulperyl ou truc du genre en intersécance .
- la deuxième séance , mal au froid avec la seringue à air , du sang et des sérosités merdiques qui remontent du canal distal .


Vw campersurfvan bmnk1q - Eugenol
enlaye

10/02/2023 à 14h12

elle me dit , la douleur monte en puissance à la montée de la nuit et après c est terrible , le matin ça repart .
elle me dit aussi pouvoir maintenant tres bien localiser d où vient la douleur :
" en passant le doit en arriere de la dent en allant vers là ou le haut et le bas se rejoint . le fait de toucher ca déclenche la douleur . "
vers l épine de spix ? inflammation du nerf dentaire inf ?associé à une tendinite d insertion des muscles genre pterygoidiens ? elles sont tellement dingottes tout est possible :-) .


Vw campersurfvan bmnk1q - Eugenol
enlaye

10/02/2023 à 14h14

donnez moi un bon argument pour lui niquer la 6 en toute sérénité .


enlaye écrivait:
------
> donnez moi un bon argument pour lui niquer la 6 en toute sérénité .

Blonditude avec fortitude .
C'est pas un putain qué bon argument ça ?


Jf35

10/02/2023 à 18h52

Euh ta patiente n’est pas prof par hasard ?


Utilisateur banni

10/02/2023 à 19h22

Et sinon si on veut parler sérieusement : dépassement de pâte et du cône racine D .
=> ça sent l’extraction :)


Vw campersurfvan bmnk1q - Eugenol
enlaye

10/02/2023 à 19h24

De pâte oui mais pas de cône .


Vw campersurfvan bmnk1q - Eugenol
enlaye

10/02/2023 à 19h25

Jf35 écrivait:
----
"Euh ta patiente n’est pas prof par hasard ? "
Non non c est pas du tout une delirante mystique.


Vw campersurfvan bmnk1q - Eugenol
enlaye

10/02/2023 à 19h26

Ce soir il paraît qu elle a encore plus de mal à ouvrir la bouche , mais elle a moins mal .


Utilisateur banni

10/02/2023 à 19h27

Je n’en suis pas sûr :) .
Pour faire passer la pilule tu lui parles de fêlure , que t’as essayé de lui conserver tout de même , mais que visiblement c’est pas possible . Réévalue à 2/3 semaines pour voir si la douleur disparaît. Sinon extraction ensuite

H59s2eq8eh7rl1yah5ztkh4p1v8a - Eugenol

Vw campersurfvan bmnk1q - Eugenol
enlaye

10/02/2023 à 19h29

J ai essayé le cône a sec elle n a pas bronché, mais avec la pâte elle a fait ouille .


Vw campersurfvan bmnk1q - Eugenol
enlaye

10/02/2023 à 19h32

Je lui ai fait une ordo de cône beam , on peut commencer à prendre les paris , en attendant .


Vw campersurfvan bmnk1q - Eugenol
enlaye

10/02/2023 à 19h37

Fripouille écrivait:
------------
"Pour faire passer la pilule tu lui parles de fêlure , que t’as essayé de lui conserver tout de même "

Je lui ai tenu un discours tout a fait différent avant de faire l endo . Je lui ai dit :
Je sais que t as mal a la dent , mais je le sens pas ce coup , ça va finir qu on va l arracher . Et si faut on va l arracher pour rien.
J ai été très clair avant même de commencer.


Vw campersurfvan bmnk1q - Eugenol
enlaye

10/02/2023 à 20h22

Fripouille écrivait:
------------
" Je n’en suis pas sûr :) ."

Heuuu , moi non plus tout compte fait . :-(
Mais juste un poil alors , p'tre un poil de trop.



Vw campersurfvan bmnk1q - Eugenol
enlaye

11/02/2023 à 10h41

Bon alors , des nouvelles fraîches par SMS .
Plus de douleurs .
Sauf quand elle ouvre la bouche .
Ouverture bloquée .
Donc apparemment, on revient sur une étiologie occlusale . Une méga capsulite par serrement de dents .
La 47 a morflé , et l endo était presque inutile . Une endo de confort .
On se moque encore de l occluso , Palpatine ?? :-)))


Dentarue

11/02/2023 à 10h53

C’est beau ces certitudes.


Vw campersurfvan bmnk1q - Eugenol
enlaye

11/02/2023 à 10h55

Si tu en as d autres racontes .
Je t attends .


Dentarue

11/02/2023 à 10h56

Aucune.


Vw campersurfvan bmnk1q - Eugenol
enlaye

11/02/2023 à 10h57

Alors tais toi.


Dentarue

11/02/2023 à 10h59

Je pense que si tu étais proctologue tu incriminerais l’anus.


123...