Cookie Consent byPrivacyPolicies.comdouleurs compliquées - Eugenol

douleurs compliquées

Utilisateur banni

15/02/2023 à 12h03

Cas :
J’ai une patiente qui a de l’arthrose ATM droite. Elle est venue au cabinet avec tous ces examens, dont pano cône beam réalisés il y a 15 mois. On lui a retiré sa 46 , elle avait de grosses douleurs dans ce secteur. Bon moi j’ai rien dit mais elle n’avait rien sur sa dent ni sur les radios ni au cône beam
Elle a toujours des douleurs dans cette zone.
=> est-ce que ça ne pourrait pas être une projection de douleur de son arthrose sur la 46 extraite
=> étant donné qu’elle a toujours mal je ne compte pas mettre un implant, ni la remplacer .

Pour l’arthrose ils conseillent quoi du côté de Marseille à part les gouttières ?


Olieve

15/02/2023 à 13h03

enlaye écrivait:
------
> mieux , elle ouvrait a presque 2 doigts , aucune sensation dans les dents , et
> elle me montre l endroit qui faisait mal à 16h.45 :-)

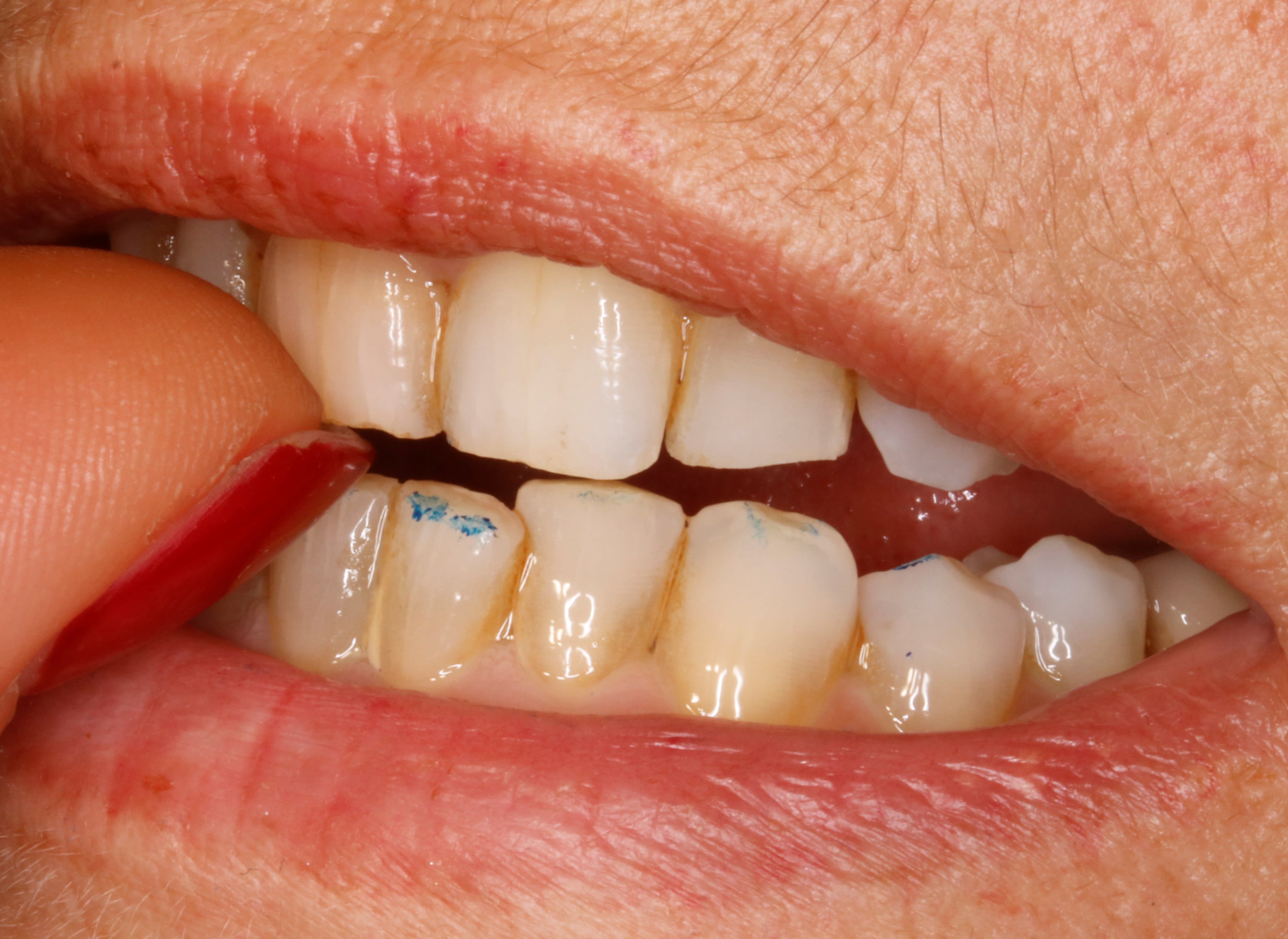
Quand je vois cette photo, une fêlure de 47 ne m'étonnerait pas, tu as vu l'usure de la crête marginale distale?


7vfqzx3bx0w6769dg91mf3i50jgb - Eugenol

Vw campersurfvan bmnk1q - Eugenol
enlaye

15/02/2023 à 13h36

Oui j' ai vu cette usure . De plus le compo était lui aussi très creusé en son centre comme le cavit que tu vois là .
Je n ai pas souvenir d avoir vu la fente , souvent sombre que l on voit se diriger de la crête vers la racine , en faisant l endo .
Sinon je vous en aurait parlé, bien sûr .
Ce que je peux te dire c est qu en oim il n y avait pas de sur contact ni sur 46 ni sur 47 . Bon forcément, tu me diras qu il y a des compos . Mais quand même ça sentait presque la sous occ sur ce secteur.
Et tu sais comme je les aime les sous occ , ça me donne tjs envie de regarder l ensemble :-))
Bon mais là ce n était pas le propos le jour de l endo .
Ce qui est sur c est que necrose il y a eu , et lorsque j' ai creusé le compo je ne suis pas tombé que sur de la dentine attaquée .
Donc fêlure, oui c est possible même si je ne l ai pas vu .


Olieve

15/02/2023 à 13h39

Et en face la cuspide palatine de 17, c'est le marteau de Thor !


Vw campersurfvan bmnk1q - Eugenol
enlaye

15/02/2023 à 13h48

Oui .
L implant a 15 ans .
Il a du être fait en sous occ a tous les coups , et les dents du bas ont égressé .
Je ne suis pas sur qu elles ait égressé bien allignées , je n ai pas pu regarder les contacts , et je n ai même pas cherché à regarder pcq face à une douleur a l arrière, la fermeture n est pas fiable .


Vw campersurfvan bmnk1q - Eugenol
enlaye

15/02/2023 à 13h50

Seulement , même si je n ai pas pu regarder , j ai quand même pu poser quelques questions :-)


Vw campersurfvan bmnk1q - Eugenol
enlaye

15/02/2023 à 23h05

Fripouille , ai eu 2 cas de douleurs fantôme comme le tien . Mais c était sur une 7 du haut , avec persistance de memes signes très localisés avant et sans la dent .
Femmes un peu dingues , où tu finis un truc et ça démarre ailleurs. Sans fin .
Est ce a dire que ça irradie de l atm ? Possible , pcq ça commence par l arrière et qu il y a des signes articulaires .
Quand a ta question des gouttières sur Marseille, ce n est plus très tendance au CNO , ils seraient à l heure actuelle plus gymnastique, kiné et ça se dirige vers la prise en charge médicamenteuse .
Cela fait des années, qu il y a des congrès d occluso , et chaque année, il y a de nouvelles tendances , et quand il y a autant de solutions à la mode c est que l on a tjs pas trouvé la solution.
Pourtant ils savent déjà qu en 2030 , le ttt sera le médicament c est fort , non ?


Vw campersurfvan bmnk1q - Eugenol
enlaye

16/02/2023 à 06h25

croc1765 écrivait:
--------
"par sûr que cela communique mais effectivement lpa sur la racine distale donc ton endo n'etait pas du tout sans objet "

Bon bien tu me rassures , LPA je ne sais pas ce que c est mais je suppose que ça ne date pas d hier.
Et les signes associés ne viennent peut etre pas forcément que de cette dent .

D ailleurs elle n est pas venu d elle même pour les dents , c est un copain qui me l a amené au cas où pcq lui ne dormait plus :-)
Elle elle tournait virait toute la nuit en se tenant la face et mangeant des cachets comme des Haribos . Mais elle n avait pas spécialement mal aux dents au départ.
Pour ça que j ai fait l endo vite fait entre 2 , pour que le collègue ait la paix :-) c est lui qu est casse couille quand il s y met , elle , elle est plus souple .
Et c est après l endo que ça a bien augmenté.


Vw campersurfvan bmnk1q - Eugenol
enlaye

16/02/2023 à 07h36

sinon , j ai dit :
" mieux , elle ouvrait a presque 2 doigts , aucune sensation dans les dents , et elle me montre l endroit qui faisait mal à 16h.45 :-) "
et personne n a remarqué que j avais employé l imparfait ??? :-)
c est qu à 18 h 21 heure de la photo , tout été beaucoup mieux :-)))


Dentarue

16/02/2023 à 07h52


> et personne n a remarqué que j avais employé l imparfait ??? :-)
> c est qu à 18 h 21 heure de la photo , tout été beaucoup mieux :-)))

Avec certains on ne s’attache pas trop aux temps employés, entre autre.
« Tout été beaucoup mieux » est un bel exemple.


Vw campersurfvan bmnk1q - Eugenol
enlaye

16/02/2023 à 07h56

c est à cause du collègue encore .
faut se remettre dans le contexte , il me l avait amené pcq il n en pouvait plus , et moi de sa gonzesse , j en avait fait un boucan .
et là c etait la St Valentin , alors tu sais comme je suis brave , j'me suis dit que si je pouvais faire quelque chose pour lui , à payer le resto autant qu il l amortisse .
dejà que c est pas drole ces sorties obligatoires à la con resto ou tout le monde sort sans n avoir rien à se raconter , si tu n as pas le droit à tes 3mn et demi pour mieux dormir , ça vaut pas le coup .
alors j ai pas pu m empêcher de la branler ( la mandibule ) de la limer un petit coup ( la dent ) pour faire une bonne action pour le collègue .
j ai gagné 7 mm d ouverture ça devrait pouvoir faire quelque chose , sauf si comme il le dit il l a très grosse .
et d ailleurs si c est le cas je me demande si c est pas lui qui me l a déglingué .

et oui , pcq on y pense pas assez à l ouverture ,; on parle tjs de serrement forcé , mais on ne parle jamais d ouverture forcée .
pourtant le disque peut se déplacer en dehors de ses mouvements limites , que ce soit à fermeture , mais de l ouverture aussi ,le disque étant suspendu par les insertions musculaires .


Vw campersurfvan bmnk1q - Eugenol
enlaye

16/02/2023 à 08h09

Dentarue écrivait:
--------
" Avec certains on ne s’attache pas trop aux temps employés, entre autre.
« Tout été beaucoup mieux » est un bel exemple. "

oui tu as raison j aurais du écrire : tout était encore mieux



Vw campersurfvan bmnk1q - Eugenol
enlaye

16/02/2023 à 08h26

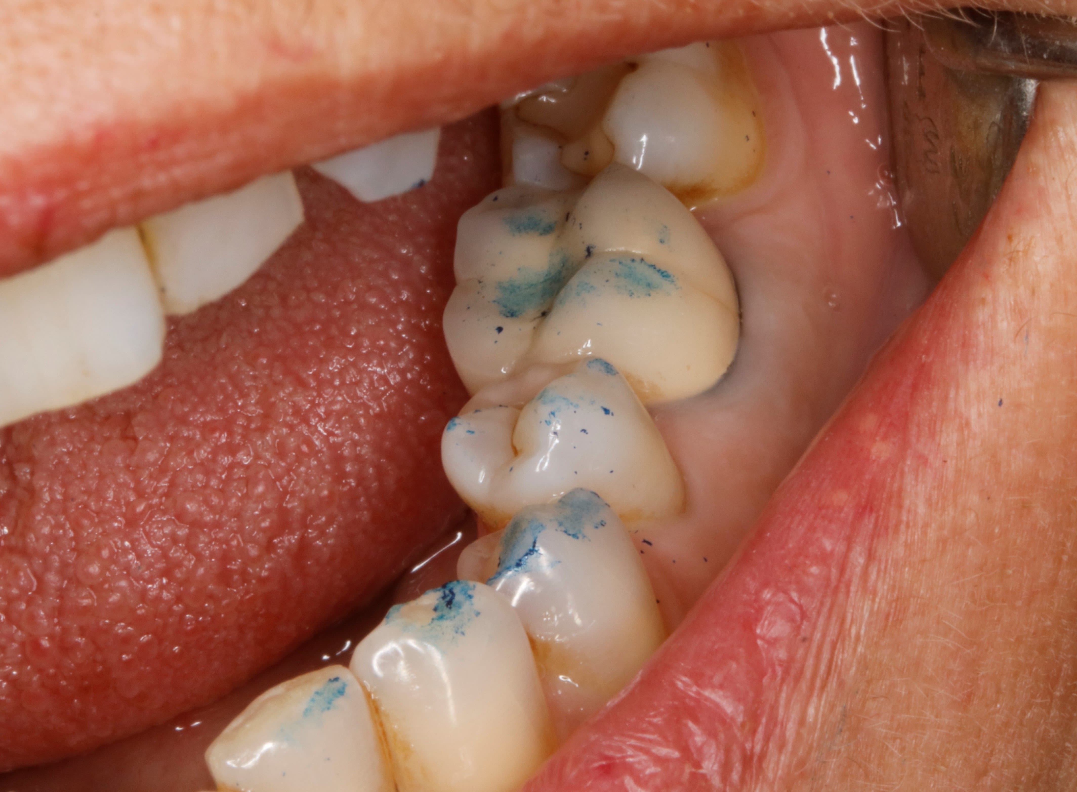
"quand tu fermes les dents , tu es confortable ?"
"" oui oui ""
"mais , il n y a pas un truc que tu mets souvent dans la bouche , un stylo , une allumette , un truc fin ? "
" " non , ah si je me ronge les ongles ""
" pourtant ils n ont pas l air rongés , "
"" en fait je les mordilles ""
" tjs pareil ? "
"" oui , ça dépend du doigt mais le plus c est avec le pouce . tu crois que c est pour ça que mon incisive noirci ? ""
" fais voir comment tu fais ? "

W2a3idg8cqoalgwp2tc1g49yhktj - Eugenol
W16lf7ymmtm4fcx9juo4v75nwl81 - Eugenol

Vw campersurfvan bmnk1q - Eugenol
enlaye

16/02/2023 à 08h29

donc là on est bien face à un pb de centrage mandibulaire , avec une manie de compensation .


Dentarue

16/02/2023 à 08h30

C’est occlusal, j’avais raison depuis le début !


Vw campersurfvan bmnk1q - Eugenol
enlaye

16/02/2023 à 08h31

eh oui mais t es un visionnaire , pour ça .
moi si je l avais su au début je ne l aurais pas envoyer passer la radio panoramique puis le cone beam .
t aurais du me le dire avant .


Dentarue

16/02/2023 à 08h37

C’est beau l’occluso, on peut se raconter de belles histoires.
C’est le contact de l’implant, c’est la sous occ, c’est la pipe, c’est les ongles.
On peut rouler, rouler et rouler encore les souffrants dans la farine.


Vw campersurfvan bmnk1q - Eugenol
enlaye

16/02/2023 à 08h43

rouler, rouler et rouler oui si tu veux , enfin rouler ou pas l'important c est le résultat


6szjws718sv1jksw54v4mpj3a6cu - Eugenol
vulpi

16/02/2023 à 08h51

Tu le fais ça augmenter l'ouverture buccale ? J'ai un cas qui m'intéresse à ce sujet. J'essaierai de faire des empreintes dans les mois à venir.


Vw campersurfvan bmnk1q - Eugenol
enlaye

16/02/2023 à 08h55

tjs est il que ne ne l ai pas fait rouler mais ouvrir et fermer toute seule .
puis en lui en appuyant sur le coté gauche de la mand , " ca change quelque chose ? "
"" non "
puis en lui appuyant sur le coté droit " et là ? "
"" ah oui c est plus facile d ouvrir , ça fait moins mal ""
effectivement elle ouvre plus grand
" et quand tu fermes c est pareil ? "
"" non je touche là ! ""
et elle me montre la ceram .

Cmh7sb4880s78m0wtya1rnop4aww - Eugenol

Dentarue

16/02/2023 à 09h22

Et niveau astrologie, quel est son ascendant ?


Vw campersurfvan bmnk1q - Eugenol
enlaye

16/02/2023 à 09h29

Bigorneau ascendant crevette du dernier décon .


Nouveau image bitmap fz77zh - Eugenol
Sethef

16/02/2023 à 09h50


Le fond de sillon.


Ylfwcw979cz1jnx9gfqeaxndiuzk - Eugenol
Algi

16/02/2023 à 09h55

Le cone beam et la pano elle en mourra pas et de toutes façons il te fallait des radios et vu que tu peux pas en faire....

Sinon l'endo était aussi justifiée cf plus haut.

Du coup tu es revenu sur l'étiologie initiale et quoi qu.en dise l'autre zèbre c.est bien oclusal.

Nonobstant si une fois que tu auras réglé les contacts si des fois ça continue tu sais ou me trouver...


--

On a toujours le choix mais entre quoi et quoi?
Vas-y boulégue et l'avenir te le dira!


Nouveau image bitmap fz77zh - Eugenol
Sethef

16/02/2023 à 10h49

Sethef écrivait:
------
>
> Le fond de sillon.

Ce qui ne signifie pas par ailleurs qu'il s'agit de la cause de toute cette histoire.


1...456