Cookie Consent byPrivacyPolicies.comdouleurs compliquées - Eugenol

douleurs compliquées

Dentarue

16/02/2023 à 10h50

Des coupes 3 d orthogonales c’est bon pour poser des implants, pour le reste ça apporte peu d’information et moins que peu quand elles ne sont pas choisies…


Vw campersurfvan bmnk1q - Eugenol
enlaye

16/02/2023 à 12h25

alors oui je suis bien d accord , je m attendais à voir les racines en tranches de saucissons comme celles qu on voit d habitude ici , eh bien non .
ceci dit ce n est pas perdu , pcq Danteyeha m a parlé d ostéoporose , je lui en ai parlé , et comme hier elle voyait son gyneco , celle ci a vite fait un lien avec ses fractures de cotes qui ne cicatrisaient pas correctement et lui a prescrit un examen de densitométrie osseuse .
peut être une chance d avoir eu ce cone beam , vas savoir .
en principe j ai beaucoup de chance , par pour moi , pour les patients hein , ceci étant probablement du à mon ascendant crevette .


Dentarue

16/02/2023 à 18h33

Tu as l’air de passer bien du temps à discuter avec les patients, à les écouter, ça suffit bien souvent et encore plus dans un domaine, l’occluso, où on croise beaucoup d’allumés.


Bebe 038 nf8eum - Eugenol
danteyeah

16/02/2023 à 19h35

enlaye écrivait:
------
> Oui .
> L implant a 15 ans .
> Il a du être fait en sous occ a tous les coups , et les dents du bas ont égressé

C'est pas ce que montre la panoramique

Usure importante des compos, nécrose, tu dis, et en sous occl à la consultation.....la patiente dévie pour éviter le contact et tétanise sa musculature.
Je reste sur la proposition de Daryl: fous moi ça sous décontracturant musculaire, dégome la marche d'escalier entre les crêtes marginales de 16 et 17 (c'est surement déjà fait ;-)) et ré analyse l'occluso avec une patiente détendu et là on saura si il y a d'autres contactes à la con !
> .
> Je ne suis pas sur qu elles ait égressé bien allignées , je n ai pas pu regarder
> les contacts , et je n ai même pas cherché à regarder pcq face à une douleur a l
> arrière, la fermeture n est pas fiable .


Vw campersurfvan bmnk1q - Eugenol
enlaye

16/02/2023 à 20h10

Sethef écrivait:
------
" Le fond de sillon.
Ce qui ne signifie pas par ailleurs qu'il s'agit de la cause de toute cette histoire. "

oui je suis d accord avec toi , et si on regarde la couronne l adaptation gingivale et osseuse a bien passé le temps .
la photo avec les points de contacts correspond à l occlusion du jour en position de fermeture .
pas très fiable au niveau des marques bleues vu le contexte .
ce que je n aime pas , par contre ce sont ces contacts vestibulaires marqués .
lorsque je pose une couronne molaire , je soulage tjs les contacts vest , ceci afin de laisser une liberté en latéral pour une fermeture moins guidée .

tjs est il que lorsque j ai très légèrement appuyé sur la mand coté droit , la mand ouvrait plus et c était elle qui touchait en premier lors de la fermeture .
si la mand ouvrait plus , cela veut dire qu en poussant je replaçais l atm droite sous le disque .
donc qu il serait parti en position interne , puisque je poussais de droite vers gauche .
l atm se retrouvait plus libre , moins bloqué par le disque , mais il ne faut pas croire pour autant que c est gagné , pcq le disque lui n était pas pour autant revenu à sa place , ce n était que la tète condylienne qui était passée dessous . donc certainement à une position plus basse .
ce qui veut dire que les contacts sur la 36 qu' elle a ressenti sont quand même exagérés .
mais si l on recherche une réduction de la luxation il faut quand même aller vers la gauche , tout au moins pouvoir y aller .
alors tant qu a faire autant limer un petit peu cette couronne pour ne pas empêcher ce mouvement droite gauche .
c est une chance que ce soit elle qui gène en 1ere intention , une couronne on peut la limer , ce n est pas le même risque que pour une dent naturelle .
donc zou un petit coup en vest et zou un petit coup sur les pans internes linguaux .


Vw campersurfvan bmnk1q - Eugenol
enlaye

16/02/2023 à 20h26

après avoir limé un peu la 36 , sans appuyer sur la mand , l ouverture était plus grande qu avant limer mais moins que lorsque tu appuyais avec le doigt , bien sur . l ouverture était plus grande mais la fermeture se faisait en baïonnette . genre le condyle contourne le disque .
ce qui est déjà mieux que le blocage .
à partir de là je l ai fait fermer , ouvrir aller de coté tout ça gentiment et parfois je cherchais a appuyer avec les pouces sur les dents du fond pour aider à la décompression .
au bout de quelque fois ,l ouverture encore un peu plus grande , le trajet en baïonnette en fermeture était moins marqué , enfin trajet qui n était pas répétitif pour autant .
voilà , donc elle est partie avec une sensation de liberté avec presque plus de douleur à l ouverture ,et une ouverture supérieure .
je lui ai conseillé de continuer à faire ces mouvements , seule à la maison .


Vw campersurfvan bmnk1q - Eugenol
enlaye

16/02/2023 à 20h37

Dentarue écrivait:
--------
" Tu as l’air de passer bien du temps à discuter avec les patients, à les écouter, ça suffit bien souvent et encore plus dans un domaine, l’occluso, où on croise beaucoup d’allumés. "

ah oui , bien souvent , déjà rien que le fait de les écouter , ils vont mieux . mais c est un jeu à ne pas faire , quand t es jeune ça flatte ton ego , tu crois que tu sers a quelque chose , alors qu en fait pas du tout tu ne sers que d appât pour te faire manger . ils ont besoin d un souffre douleur .
sans parler que tu deviens la poubelle des dentistes .

l occluso tel que j en parle , ce n est pas ça , ç est plus mécanique et ça ne me sert qu' a préserver mes reconstitutions , c est tout .
l intérêt de les écouter un minimum , c est de pouvoir décoder ce qu ils te disent , histoire de parler le même langage , ce qui me sera juste plus pratique pour effectuer les réglages de finitions .


Vw campersurfvan bmnk1q - Eugenol
enlaye

16/02/2023 à 20h48

Danteyeah ,
j ai dit que l implant avait du être fait en sous occ il y a 15 ans pcq on voit la crête mésiale de la 46 plus haute que la 45 , et c est encore plus net en vrai .
par contre j ai dit que je n avais pas vu la fente dans la chambre mais sur cette photo , on voit bien une fente en distal de de 47 . je ne l avais pas vu autant en bouche

Qe3zvmpia4tcmcif1e67w9u1kljx - Eugenol

Vw campersurfvan bmnk1q - Eugenol
enlaye

16/02/2023 à 20h50

danteyeah écrivait:
---------
'Usure importante des compos, nécrose, tu dis, et en sous occl à la consultation.....la patiente dévie pour éviter le contact et tétanise sa musculature. "

oui , et d ou l intérêt de l ongle qui permet de recaler dans une autre position


Vw campersurfvan bmnk1q - Eugenol
enlaye

16/02/2023 à 21h00

Sur ce cas , ce n est pas un ttt occlusal , je n ai pas cherché à être étiologique , mais juste du symptomatique au plus pressé .
ce que l on appelle de la toilette occlusale , comme ce qu un détartrage est à la paro , pas plus .


Vw campersurfvan bmnk1q - Eugenol
enlaye

19/05/2023 à 12h38

voilà finalement elle a fini comme ça .

C4a2uttu10m73tomr2o4tmfohvqs - Eugenol

Olieve

19/05/2023 à 12h48

Onlays 46 et 47 ?


Vw campersurfvan bmnk1q - Eugenol
enlaye

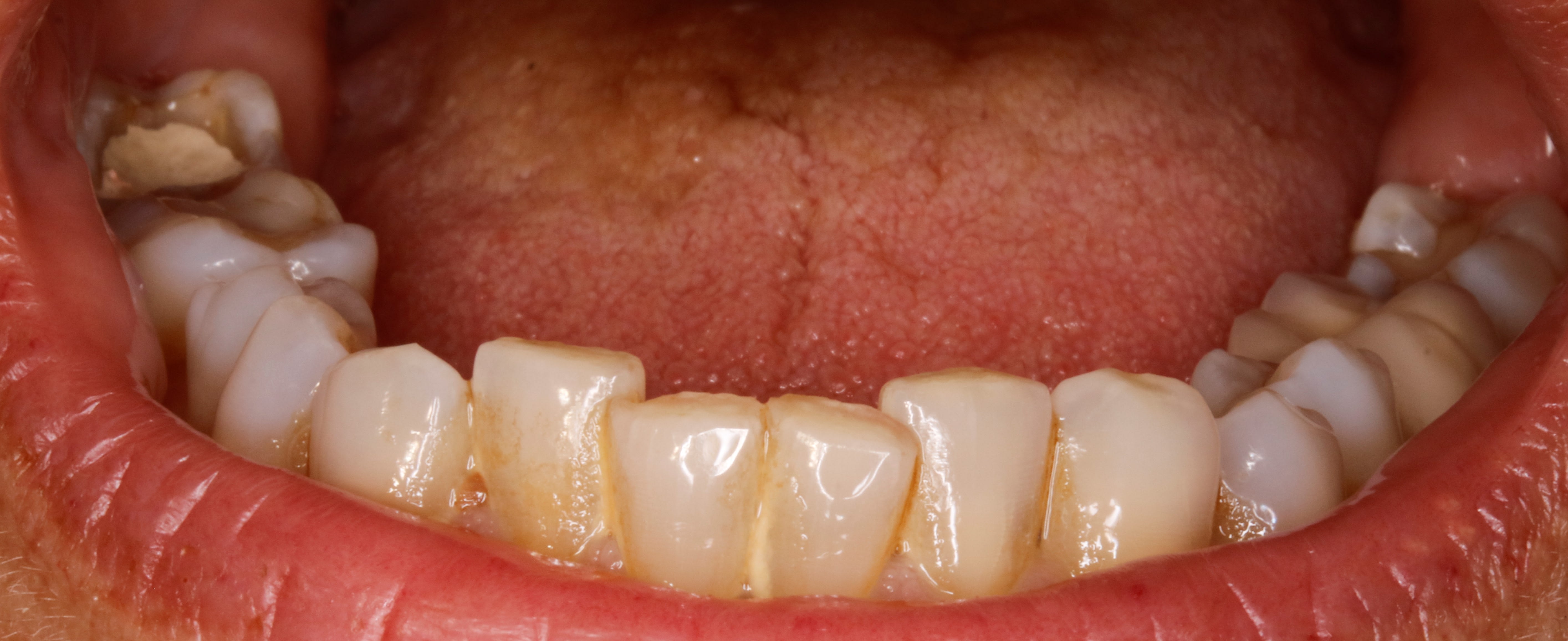
19/05/2023 à 13h09

Oui


Et7jtaj0pdi18gzjlxjiamlx15gs - Eugenol
Prunelles

19/05/2023 à 14h22

Tu as gommé les traces du papier à articuler avant de prendre la photo ou les onlays sont en sous-occlusion ?


Vw campersurfvan bmnk1q - Eugenol
enlaye

19/05/2023 à 14h43

non non je n ai rien gommé :-) même pas mis le papier à droite .
je les ai scellés la semaine dernière et aujourd'hui , j ai encore rectifié la forme occlusale de la 36 et les 42,41 .
tu as vu comme elle a récupéré son ouverture ?


Vw campersurfvan bmnk1q - Eugenol
enlaye

19/05/2023 à 20h10

correctif :
j ai mis la 7 la semaine passée , la 6 c était encore avant .
je ne mets jamais 2 onlays avec les box proxi qui se regardent en même temps .
et puis c est plus facile à régler l occlusion l une puis l autre .
quand je dis régler l occlusion , je ne parle pas de la hauteur ça c est facile , ni de régler des fonctions latérales ou de je ne sais quoi que ce n est que du pipo , non , c est de la laxité à la fermeture .
cad , d' éviter d imposer un trajet de fermeture qui soit prédominant par rapport aux autres dents . c est ça le décalage latéral induit . ce qui s était passé sur sa 36 .
si tu poses 46 et 47 en même temps , comme c est tout neuf , ils te disent , : ouais ca va , bon je touche peut être peu plus là mais comme c est nouveau. ..et toi t en sais trop rien .
alors que si tu n' en mets qu une , là ils savent plus facilement te dire si ça va ou si c est bien , ce qui n est pas pareil . c est plus facile .
quand c est en terminal , bien sur .


Et7jtaj0pdi18gzjlxjiamlx15gs - Eugenol
Prunelles

20/05/2023 à 08h24

Tu as des photos de la 36 avant correction.
Encore ici je la trouve très verrouillante.


Vw campersurfvan bmnk1q - Eugenol
enlaye

20/05/2023 à 11h18

si , la voilà , suffit de demander :-)
on peut en parler , y a beaucoup à dire

Qc392h90jdil3cm749867ieyell0 - Eugenol

1...56