Cookie Consent byPrivacyPolicies.comComposite ou facette ? - Eugenol

Composite ou facette ?

sese

18/05/2023 à 10h18

Bonjour/Bonsoir

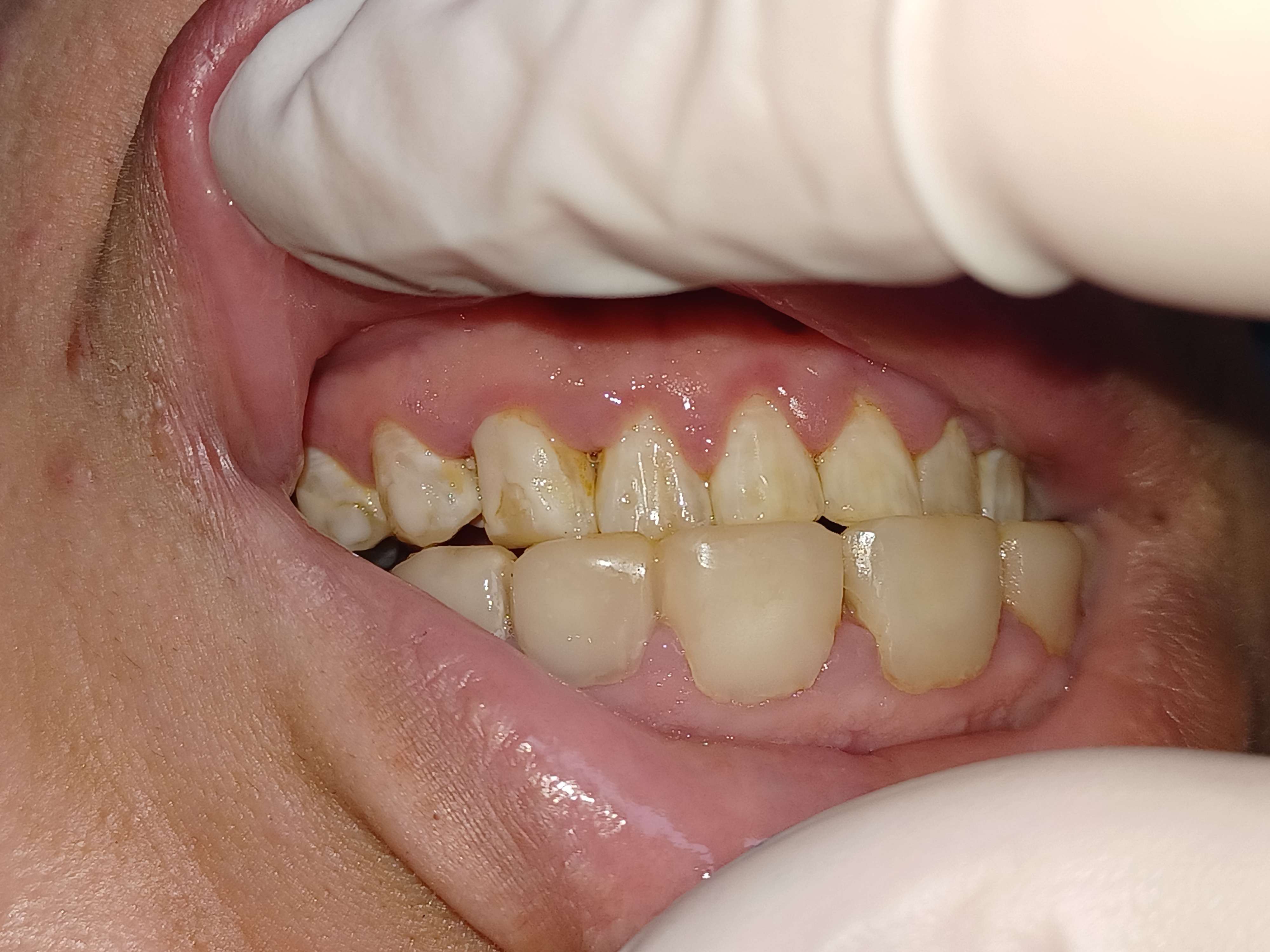
Dentiste fraichement diplômé, j'ai reçu une patiente mécontente des soins sur ses dents antérieur maxillaires de son précédent dentiste qu'elle ne veut plus revoir.

Mon collégue et moi ne parvenons pas à déterminer si ce sont des composites débordants ou des facettes.

Connaissez-vous une technique fiable pour déterminer si c'est l'un ou l'autre ?
J'ai pensé à la lampe photopolymérisante, mais je n'y ai pas pensé au moment où j'ai vu la patiente.

Merci d'avance pour votre aide.

Eaks152i7423fq5g1a38pt9zdvc2 - Eugenol
3gq8xtt08fmng4q7j0bmrjy9hnhs - Eugenol
4nw8k07fgi7qybmjv4vfk1d9zv2n - Eugenol

fifi55

18/05/2023 à 10h37

N'y aurait il pas avant tout un pb d'hygiène de la patiente, et en second lieu cela ressemble à des composites.
Cordialement


P2eqdh3csim6s7nb09ktdq3e7ev8 - Eugenol
barbabapat

18/05/2023 à 10h47

Voir les devis et cotations utilisés par le praticien précèdent.


Vw campersurfvan bmnk1q - Eugenol
enlaye

18/05/2023 à 13h24

Pourquoi faire des facettes ? , le gonz s est pris 1000 en 1 séance a la mode rapide :-))


Rape p0as4f - Eugenol
rapelapente

18/05/2023 à 13h56

D'accord avec Fifi.
Elle est mécontente de son praticien précédent, mais est-elle contente de son hygiène de chacal?
Au vu de ses nombreuses dysplasies il l'a peut-être virée pour ce motif.
Ou alors elle n'y va plus car elle n'a pas payé sa note...

Ça a l'air d'être du composite, facettes labo ou en bouche, mais qu'est-ce que ça change ?
Elle veut les refaire ?
Méfie toi, ce genre de patient est une source d'emmaverdements.
Un coup de fil au praticien précédent peut être utile...Et déontologique.
Perso je ne ferais rien sans hygiène correcte sur une durée longue et discussion avec le praticien antérieur.
--
Schooner For Ever


Article 1 : toujours se méfier des patients mécontents de leur précédent praticien
Article 2 : toujours se méfier des patients à hygiène pourrave mécontents de leur précédent praticien
Article 3 : faire un devis béton : dépose restaus précédentes, facettes ou compo selon le cas, éval de l'hygiène après explication et motivation 15j après, et wait & see

De rien

Coach Pervers


Et7jtaj0pdi18gzjlxjiamlx15gs - Eugenol
Prunelles

18/05/2023 à 20h42

Y’a pas de doutes c’est clairement des compos.
Clairement le style de patient qu’il faut driver dès le début.
Assister à mort sur la nécessité de déposer minutieusement le truc, le « veneer », ou le fromage fondu qu’elle a sur les dents et sur la mise en condition gingivale AVANT de proposer quoique ce soit.


Olieve

18/05/2023 à 20h59

Je vais me faire l'avocat du diable mais au vu de l'état général de ses dents et de son parodonte sur la pano, son hygiène buccale ne semble pas si pourrie.
Par contre que les compos aient été réalisés à la 6 4 2 , cela ne fait guère de doute.
Gingivite iatrogène ?


zoulman

18/05/2023 à 22h37

Comment sont les dents postérieures, l’email est sain en l’absence de carie ? On dirait une anomalie de structure sur les dents du bas.


Capture d  cran 2015 03 12 12.28 - Eugenol
chicot29

18/05/2023 à 22h56

Simple endos - taille crayon.


--
Dentiste qui en a plein le cul.


Vw campersurfvan bmnk1q - Eugenol
enlaye

19/05/2023 à 07h27

Et tout ça pcq elle voulait des dents blanches .
Et il n y a pas eu qu un seul passage .
Ça va finir en full .
a cause de la télé.


Vw campersurfvan bmnk1q - Eugenol
enlaye

19/05/2023 à 07h36

Olieve écrivait:
------
"Gingivite iatrogène ?"

Oui .
Peut être même aussi une respiration buccale qui n arrange rien .


Et7jtaj0pdi18gzjlxjiamlx15gs - Eugenol
Prunelles

19/05/2023 à 10h11

zoulman écrivait:
-------
> On dirait une anomalie de structure sur les dents du bas.

Suis du même avis. Les compos ont très probablement été réalisés pour masquer une hypoplasie de l’émail.
D’ailleurs j’aimerais bien savoir si ça a été réalisé en France ?


moritooth

19/05/2023 à 10h22

Olieve écrivait:
------
> Je vais me faire l'avocat du diable mais au vu de l'état général de ses dents et
> de son parodonte sur la pano, son hygiène buccale ne semble pas si pourrie.
> Par contre que les compos aient été réalisés à la 6 4 2 , cela ne fait guère de
> doute.
> Gingivite iatrogène ?

Oui enfin, y'a pas un espace interdentaire sans inflammation, en haut comme en bas, même là ou les compos ne sont pas juxta sulcus. Toutes les papilles sont inflammatoires. Donc c'est sûr que faire des facettes, en plus à l'arrache sur ce genre de cas ça ne peut pas donner un joli résultat.
Avant de toucher à quoi que ce soit, il faut régler le problème paro. Là où je te rejoints c'est que sur la pano elle a un parodonte profond correct, donc avec un minimum d'hygiène ça devrait rentrer dans l'ordre. Première étape : brossettes !


Morgan ztbb1b - Eugenol
BONNET jc

19/05/2023 à 11h21

Tu vas au devant d'emmerdes. Si tu veux passer de bonnes nuits, tu dis que tu ne sais pas faire.


Gabzou

19/05/2023 à 12h09

moritooth écrivait:


> Avant de toucher à quoi que ce soit, il faut régler le problème paro.

C'est marrant, moi je pense à l'inverse qu'on ne pourra pas régler le problème paro tant qu'on n'aura pas réglé le problème des "facettes" iatrogènes, au moins au Mx.
Franchement, elle a peut être bien brossé avant le RDV mais il n'y a quasiment pas de plaque, et l'inflammation est limitée. Pour moi c'est 90% iatrogène, améliorer l'hygiène n'y changera pas grand chose.
A minima un petit coup de fraise grain fin pour éliminer les surcontours, avant de reprendre proprement un plan de traitement complet.


Olieve

19/05/2023 à 12h43

moritooth écrivait:
---------
> Toutes les papilles sont inflammatoires. Donc c'est sûr que faire des facettes, en plus à l'arrache sur
> ce genre de cas ça ne peut pas donner un joli résultat.
> Avant de toucher à quoi que ce soit, il faut régler le problème paro. Là où je
> te rejoints c'est que sur la pano elle a un parodonte profond correct, donc avec
> un minimum d'hygiène ça devrait rentrer dans l'ordre. Première étape :
> brossettes !

Les dents sont parfois même solidarisées au compo.
Non première étape : éliminer tout les surplombs et stripper tout les points de contact.


0hnz5he8gzowsskw1w7ib2o8rq4f - Eugenol

moritooth

19/05/2023 à 13h11

Gabzou, Olieve, vous rigolez ou quoi ? à la mandibule où il n'y a pas de facettes compo toutes les papilles sont œdématiées, et encore plus qu'au maxillaire ! une bonne gingivite du bloc inf. Donc OK pour le iatrogène en plus, mais y'a un problème d'hygiène à la base.


Vw campersurfvan bmnk1q - Eugenol
enlaye

19/05/2023 à 14h37


Moritooth , t' exagères on va t appeler Maurice :-)
c est des pompes à merde les compos . et il y en a beaucoup , beaucoup trop .
tu passes un coup de fraise grain fin sur toutes les limites pour mettre les compo à distance , puis un coup de brossette avec detartrine , elle fini en sang puis terminé .
pb elle veut du blanc donc impossible .
elles sont con , c est un pb d hygiène du citron .


Gabzou

21/05/2023 à 01h45

moritooth écrivait:
---------
> Gabzou, Olieve, vous rigolez ou quoi ? à la mandibule où il n'y a pas de
> facettes compo toutes les papilles sont œdématiées, et encore plus qu'au
> maxillaire ! une bonne gingivite du bloc inf. Donc OK pour le iatrogène en plus,
> mais y'a un problème d'hygiène à la base.

C'est pour ça que j'ai dit "au moins au maxillaire".
A la mandibule effectivement il y a un soucis, je n'ai pas la patiente sous les yeux pour passer en coup de sonde en interdentaire et dans le sulcus voir si de la plaque ressort, mais en visuel sur les photos il n'y a rien.
Par contre il y a du tartre sous gingival visible à la radio.
Donc pour moi, c'est probablement plus un problème d'hygiène ancien qui a été réglé depuis mais sans détartrage de fait et avec des compos iatrogènes au Mx.
C'est un boulot pour le praticien, ce qui n'empêche pas de s'assurer que la patiente assure le suivi avec un bon brossage derrière évidemment.
Je peux me tromper, je n'ai pas vu la patiente, seul sese peut nous dire s'il y a vraiment un problème d'hygiène, mais pas de plaque=pas de problème d'hygiène.


moritooth

21/05/2023 à 23h19

Gabzou écrivait:
------
> A la mandibule effectivement il y a un soucis, je n'ai pas la patiente sous les
> yeux pour passer en coup de sonde en interdentaire et dans le sulcus voir si de
> la plaque ressort, mais en visuel sur les photos il n'y a rien.
> Par contre il y a du tartre sous gingival visible à la radio.
> Donc pour moi, c'est probablement plus un problème d'hygiène ancien qui a été
> réglé depuis mais sans détartrage de fait et avec des compos iatrogènes au Mx.
> C'est un boulot pour le praticien, ce qui n'empêche pas de s'assurer que la
> patiente assure le suivi avec un bon brossage derrière évidemment.
> Je peux me tromper, je n'ai pas vu la patiente, seul sese peut nous dire s'il y
> a vraiment un problème d'hygiène, mais pas de plaque=pas de problème d'hygiène.

La plaque ça se voit au révélateur de plaque. L'œil et la photo sous évaluent beaucoup la plaque. Si sese en avait sous la main, et s'il nous refaisait une photo avec du révélateur, tu serais surpris. Mais d'accord avec toi pour le tartre sous gingival qui s'aperçoit sur la pano, et la nécessité d'un petit surfaçage US ( + des brossettes).