Cookie Consent byPrivacyPolicies.comCas cliniques : Pose d'implant et de bridge instantanée - Eugenol

Cas cliniques : Pose d'implant et de bridge instantanée

Icon poker h4nm2d - Eugenol
jeff

12/10/2023 à 17h39

Puisqu'il semble que cela manque de cas clinique sur le forum, en voici quelques un sur la mise en charge instantanée d'un bridge réalisé en amont.
Cas 1 : patient ayant une 23 fracturée, avec 11 21 22 en mobilité terminale.
Planification des extractions, pose de 3 implants et mise en esthetique instantanée.
Le bridge est reglé en large sous occlusion.
L'étape pré-chirurgicale :
Planification des implants, réalisation du guide, impression du modele, simulation de la chirurgie, scan et machting medit, retour meshmixer , modelisation, impression et maquillage du bridge résine flexera - rosenscrew.

Fuvwcc826d7k8pfoqjh2mnl8tidz - Eugenol
Guz4gxyqiqbbutfwlso1vjkexhbp - Eugenol
Mlqee1yz5pmstvyy3opg36ofyz48 - Eugenol
8asulxsydwhcp15bfmmscwqdq09p - Eugenol
Jkmf75aem0geuwdsz8ktgkx6tjvq - Eugenol

Icon poker h4nm2d - Eugenol
jeff

12/10/2023 à 17h41

Chrirugie : extraction , mise en place du guide, implants flapless , pose des piliers et du bridge qui tombe pile poil :)

Winr0r6vbnxu9jo7r1vzhpwjpmc6 - Eugenol
Asg0m5rprngrqd5bdkkg4abndpzj - Eugenol
9ww0tzdcfjnbz5x14vle5nfg95aj - Eugenol
56ivg28hjb1qkerfxb1610uyupuy - Eugenol
Iz148hevlmwhe6zcra2007qsxec4 - Eugenol
Vrqwdonjq3708ads40k37lpzbuf6 - Eugenol
Kslslfdjqgtzh7nrd8choyap04fe - Eugenol

Icon poker h4nm2d - Eugenol
jeff

12/10/2023 à 19h12

et la pano post op.

4fgb4dqbwhudit6alhc3c683ego8 - Eugenol

Et7jtaj0pdi18gzjlxjiamlx15gs - Eugenol
Prunelles

12/10/2023 à 19h40

Si je comprends bien tu gères tout ça en interne ? Respect.

Pourquoi choisir de faire du Flapless avec un guide dento-porté ?


bouboule

13/10/2023 à 12h09

C’est beau de maîtriser toute la chaîne comme ça? Petite question quand même. Pourquoi as tu choisi de passer par tout ça plutôt qu’une bête MCI sur piliers provisoires?


Icon poker h4nm2d - Eugenol
jeff

13/10/2023 à 14h15

Prunelles écrivait:
> Pourquoi choisir de faire du Flapless avec un guide dento-porté ?

Merci de ton retour. Je fais tres rarerment du flapless, mais la , cas etait favorable. Et je ne vois pas trop comment faire un guide qui ne soit pas dento-porté :)

bouboule écrivait:
--------
> C’est beau de maîtriser toute la chaîne comme ça .
Merci :)
> Pourquoi as tu choisi de passer par tout ça plutôt qu’une bête MCI sur piliers
> provisoires?
Effectivement, on aurait pu avec avec un guide classique, ou sans guide, avec juste le bridge provisoire imprimé, perforé, avec appuis dentaire. Ce qui permet un forage a peu pres bien placé, un bon positionnement du bridge lors du collage des pilier prov.
Mais c'est un tel bonheur de ne rien coller en bouche, de ne pas avoir de finition du bridge en per op, que je prefere prendre du temps en pre-op.


bouboule

13/10/2023 à 14h44

Ok! C’est sûr que si tu maitrises le truc et que ce n’est pas trop chronophage, c’est top. Pas con non plus le provisoire qui sert de guide .


Et7jtaj0pdi18gzjlxjiamlx15gs - Eugenol
Prunelles

13/10/2023 à 18h26

jeff écrivait:
----
> Et je ne vois pas trop comment faire un guide qui ne soit pas dento-porté :)

T’aurais pas eu la place de faire un guide en appui osseux vu l’édentement ?


S2y2o1v7q53ws4r5wy6ou8czrpom - Eugenol
pxav

13/10/2023 à 22h00

c'est toujours un vrai plaisir de contempler tes cas Jeff.
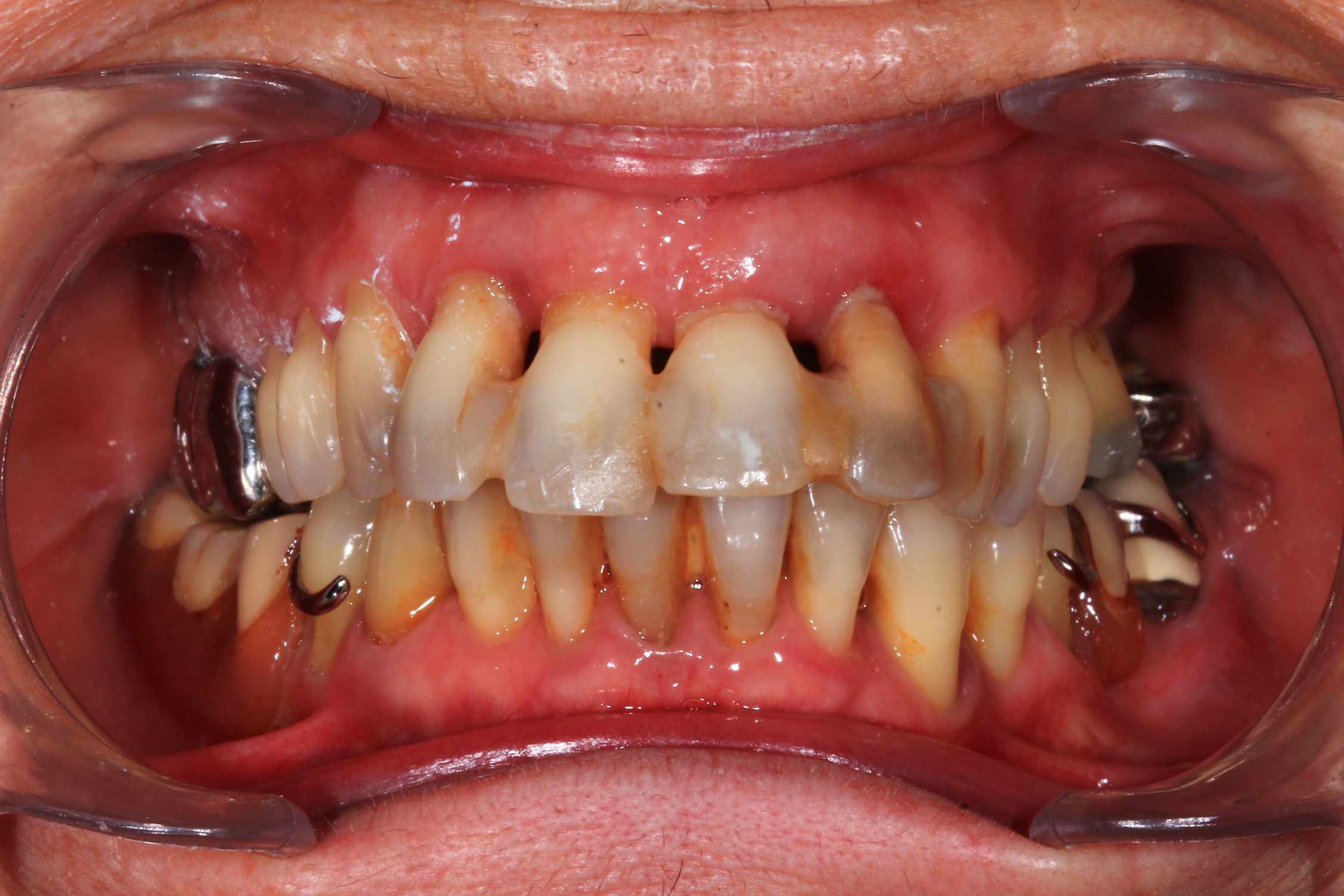
la seule chose qui m'interpelle, c'est de voir une bouche avec autant de travail (9 implants dont 6 anciens) et aussi peut de soins d'hygiène,...


--
xbk
La connaissance s'acquiert par l'expérience, tout le reste n'est que de l'information." ALBERT EINSTEIN


Olieve

14/10/2023 à 08h48

Prunelles écrivait:
---------

> T’aurais pas eu la place de faire un guide en appui osseux vu l’édentement ?

Le but c’est de trouver un point fixe pour stabiliser le guide. Ici Jeff a un guide qui prend appui sur 4 dents sur implants et il a pris le soin d’ajouter 2 clavettes. Plus stable que ça, c’est difficile.


Et7jtaj0pdi18gzjlxjiamlx15gs - Eugenol
Prunelles

14/10/2023 à 09h05

Très juste ! Ce détail ne m’avait pas sauté aux yeux.


bouboule

14/10/2023 à 10h21

Tu peux donner une idée du temps pris en amont de la chir pour préparer tout ça?


juninho56

14/10/2023 à 15h46

Un grand merci pour la publication de ton cas
Bonne maitrise et bon resultat
En implanto, je fais seulement la prothese. Sur ton choix de traitement, n as tu pas eu des doutes sur l état paro, que cela puisse créer des soucis sur tes implants


Icon poker h4nm2d - Eugenol
jeff

14/10/2023 à 20h54

juninho56 écrivait:
---------
> Un grand merci pour la publication de ton cas
> Bonne maitrise et bon résultat
> En implanto, je fais seulement la prothèse. Sur ton choix de traitement, n as tu
> pas eu des doutes sur l état paro, que cela puisse créer des soucis sur tes
> implants

:) . effectivement terrain paro chronique, déjà traité il y a quelques année a paris. Plus ou moins stabilisé, pas de saignement, un peu de tartre en bas. des mobilités importantes sur les incisives antérieures qui, avec la facture de la 23 ont emporté ma décision. Solution alternative : stellite ? dans un an, tu extrais les dents support de crohet. Bridge ? cela me semble plutôt casse gueule.
Donc, implant , sur un terrain qui n'est pas idéal, certes, mais c'est souvent le cas.


Icon poker h4nm2d - Eugenol
jeff

14/10/2023 à 21h14

bouboule écrivait:
--------
> Tu peux donner une idée du temps pris en amont de la chir pour préparer tout ça?

Alors pour ce cas, je ne me rappelle plus.
Mais celui la est tout chaud ( de vendredi dernier ) et j'ai regarder le temps que j'ai mis ( beaucoup plus complexe, donc plus long ). on va l'appeller Cas 2.
3 h de planif, modélisation du guide, puis 2 h environ pour la simulation de la chir , le modelisation et l'impression du bridge, qui tombe pile, zero retouche occlusale.
Avec un plan de traitement qui est suceptible de débat :)

K6kpgtkjnab9c7k5g9g0farlwmd6 - Eugenol
5t2rri9fzy9pxvmca7cis5gqte3m - Eugenol
4impvumlupunrh9dh8g6zpsz2sjx - Eugenol
Xvkhqtlsb1gx2pa0dwzncq4rtqsr - Eugenol
Xstwdtmbdmp87rg6dht5m703i0m9 - Eugenol
Ibyln43l47opnzvb28uh8b02v9kd - Eugenol

Icon poker h4nm2d - Eugenol
jeff

14/10/2023 à 21h15

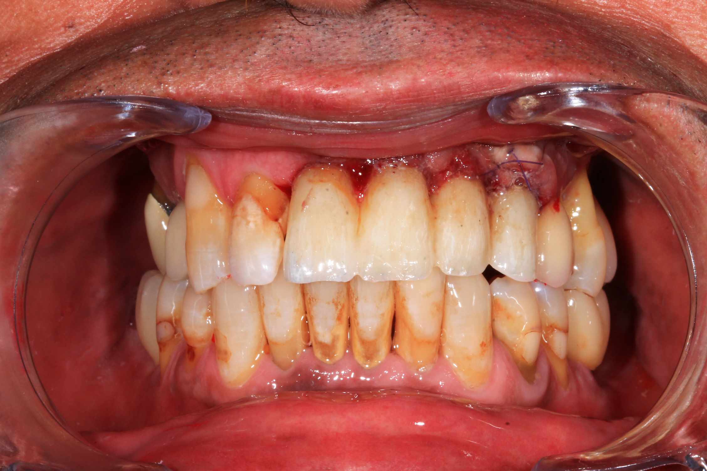
Cas 2 , suite : avec une saussage au passage..
le patient arrive a 9 h, Prise de sang, PRF, injection de corticoïde, anesthésie et installation au bloc. Premier coup de bistouri a 9h30. Dernière suture a 11h30.

K7lq3viye66rdgg66hkd26fcwcnj - Eugenol
Lwv6j6wyy3ynfk4una12he2dds3r - Eugenol
I7zqadqwo6ac3qraow6n3yxmuffa - Eugenol
Hu2y1wrw2x409z3kg6yu7t2vb36v - Eugenol
Mie6k3wjkz94let1xha2t8o56owm - Eugenol
Fwdzsncmbsahtduv8u1fn0t5tuzn - Eugenol

bouboule

15/10/2023 à 12h57

C’est plus rapide que ce que j’imaginais! Top!


Icon poker h4nm2d - Eugenol
jeff

21/10/2023 à 15h37

Cas 3
les 4 incisives sup sont à bout de souffle . Planification et export du guide résine avec blueskyplan. Export du modèle osseux et simulation de la chirurgie, comme d'hab selon mon protocole.
Quand les implants sont peu nombreux et proches, un guide résine est suffisant. C'est alors beaucoup plus rapide.
Pré-op :

4q8331i9bdq40tg3q9coj7m77z69 - Eugenol
Jjtcwiyejkptbutaue6sfnroot2z - Eugenol
H3k8b3gl9xhe24egc5w1sb9wy00x - Eugenol

Icon poker h4nm2d - Eugenol
jeff

21/10/2023 à 15h39

simulation de la chir. scan, matching des elements avec medit design, finition du bridge dana meshmixer.

Pa33xdk33krl7ww8uvpq86f6ffjt - Eugenol
Zob2gos4ti8lvymsvopbr8jvw1ml - Eugenol
Snq1sjrf1y6ymyc4v3vjp1rdo4m7 - Eugenol
J79w231wa4hdmtqrwbwdjptvglu6 - Eugenol

Icon poker h4nm2d - Eugenol
jeff

21/10/2023 à 15h41

Chir : extraction, implant flapless et pose du bridge imprimé Flexera rosenscrew.

Oo2hlrfz7899rhfapzhptk1dqg77 - Eugenol
57n0uy1188a85maq093dyeqfkqlh - Eugenol
Ujfw7wykxh3fhbwxszqf740ci3rt - Eugenol
S7tplsv5ffydeo8n22bhttsnmndc - Eugenol

Icon poker h4nm2d - Eugenol
jeff

21/10/2023 à 15h42

Resultat a une semaine, 3 mois et bridge Full zircone katana maquillé MyIO rosensrew.

1gqmqmfzyv9x6ed0u0o17dmjvrko - Eugenol
F7ppuo81lpm2gsanai908eck3wxu - Eugenol
7cvixvlelz02p2ungdt4jigs85pe - Eugenol
Ub3qcfzgc5qncoqjlls1nx4n6nqo - Eugenol

Icon poker h4nm2d - Eugenol
jeff

23/11/2023 à 14h51

Cas 4.
Quand le mardi aprem midi, ton assistante te dit : " tout est pret pour vendredi ?" , et que tu avais simplement zappé qu'il y avait un rdv de 4 h prevu avec extraction, implantation et mise en charge immédiate, c'est la merdasse !
Donc, on rentre a la maison, on mange vite fait et on se colle au bureau. 3 heures plus tard , on va se coucher, planif, modélisation du guide et du bridge ok.
Comme pas le temps de faire un guide métal, je charge à mort les renforts pour la solidité du guide.
Le cone beam prévu : all on 4 et 4 implants en bas qui seront posé dans 3 semaines.
Le mercredi , entre mes 50 patients en ortho, j'imprime le guide et le modèle osseux. Puis le jeudi matin retour au cab ( alors que je ne travaille pas le jeudi ! ) , finition de la modélisation du bridge et impression.

4g05g0zkqb9uamhomemvsdunbwuq - Eugenol
Vykhhmf4es3hera2t6to30davd7b - Eugenol
H0mho0nweh14081abwcqkpuwecah - Eugenol
Tcs2qgbo81hf6lsnsvo4zas78sej - Eugenol

Icon poker h4nm2d - Eugenol
jeff

23/11/2023 à 14h59

Chir le vendredi matin. au vu de la possibilité de reculer pas mal les implants postérieurs, je trouvais qu'il y avait trop de porté entre les implants : je pars donc sur 6 implants.
Mais malgré les gros renforts, le guide résine n'est pas assez rigide : impossible de poser le bridge en immédiat. obligé de fraiser le bridge ( j'aurais du en prévoir un autre évidé, ce que je prévois pour lundi prochain ) et de mettre des piliers provisoires : 40 m de travail de labo en plus..
Mais un chouette résultat.
Etre capable de tout gerer m'a éviter d'annuler la chir prévu, mais la morale de l'histoire est quand meme de mieux anticiper :)

Kkxorvs843h4659al3rap1gbaa57 - Eugenol
22otpeep5kd6h1yw0jneyhdjjz2v - Eugenol
T2nauqfc0uu2412dm4etzes60iyd - Eugenol
Eqn2h9jgkekaf07lon9tpxvhusji - Eugenol
4f3jdfzy7or60qhrmyeyjomvfmu3 - Eugenol
L2584kmcvs7n5m7wbfbnb0y660e4 - Eugenol
O0bbmkt8ha8b2usfi8izn824fgyq - Eugenol
M7zzealkq08mmvsl927jld6v0ovc - Eugenol

Photo pluton1b h9n4ea - Eugenol
pluton

23/11/2023 à 18h11

Pour résumer donc que tout le monde se rende compte du « coût » d’investissement personnel pour réaliser ça…..
3 h de modélisation
Une journée d’impression
Une demi-journée (donc environ 4h) de finition ….et je ne compte pas les heures donc de rattrapage pour ce qui a merdé….
Soit environ 2 jours au total…..plus les fournitures …
2 jours de taf pour moi c’est au bas mot 6000€ de recettes…..et bien désolé mais c’est plus cher que de faire appel à Posit…..surtout pour finir par sortir un truc qui ne t’a pas permis de terminer dans la séance comme ça aurait dû être…..et de passer encore du temps pour terminer comme il faut….

Je salue ton investissement et ton ingéniosité , mais comme je l’ai déjà dit, tu te fais chier pour pas grand chose!!!!
Délégue, tout le pognon que ça coûte, c’est rien comparé aux moments passés en famille….et ça, ça n’a pas de prix…..


Icon poker h4nm2d - Eugenol
jeff

24/11/2023 à 21h22

Pluton, tu as a la fois raison, et tu exagère un peu. mais pas que , car tu oublies les heures passées a apprendre les logiciels et regarder les tuto sur youtube. Je passais beaucoup plus de temps au début. Il faut effectivement prendre cela en compte et cela ne fonctionne que si tu as tu un coté geek et que tu aimes passer une soirée tranquille devant ton écran et écoutant de la zic pendant que madame regarde secret d'histoire :)
Effectivement : 3 heures de modélisation, et 3 heures de finition avant la chir. Soit 6 heures. Je ne compte pas les quelques allez retour entre le fauteuil et le labo le mercredi, ce n'est pas du temps, juste un peu de cortisol ( ce qui n'est pas mieux, tu me diras )..
On ne compte pas le rattrapage du bridge per op, puisque c'est de toute façon la technique standard de coller les piliers prov dans un bridge évidé. Je termine quand même dans la séance, tu peux voir les sutures suspendues. C'est juste que j'ai laissé la patiente sur le fauteuil avec l'assistante pendant une demi heure. Sauf que quand le bridge immédiat fonctionne, je suis plus vite a prendre mon café.
Mais ce qu'il faut surtout retenir, c'est que je n'ai pas été obligé d'annuler la chir, car j'avais oublié de déléguer...( je délègue aussi, je te rassure, mais la satisfaction de poser un truc délégué et 100% maison n'est pas la même. Le patient, lui , s'en fout complétement. :) )
Et que les guides résines, aussi renforcés soit ils, ne sont pas aussi précis qu'un guide métallique.


12