Cookie Consent byPrivacyPolicies.comCas cliniques : Pose d'implant et de bridge instantanée - Eugenol

Cas cliniques : Pose d'implant et de bridge instantanée

Photo pluton1b h9n4ea - Eugenol
pluton

24/11/2023 à 22h20

Exagérer….je pense que c’est un peu abusé….que j’ai un peu forcé le trait, je veux bien…..
Mais tu admets quand même que ça demande énormément de temps à la fois au travail et hors travail….bon tu sais, je connais tout cela, quand je faisais mes conférences, il y a aussi beaucoup de temps personnel…et c’est tout aussi grisant…
Admet aussi que rapporté au temps passé, une solution clé en main comme le fait Posit n’est finalement pas si éloigné en termes de tarifs…
En tout cas moi ça me libère du temps passé avec mes proches, et pour moi ça n’a pas de prix….tu vois, j’ai la cinquantaine, et commence dans l’entourage à apparaître des merdes plus ou moins graves…..tiens la dernière en date, une super amie à ma femme et moi…..tumeur du tronc cérébral…..et une autre, Parkinson….sans compter le pote qui a fait il y a 6 mois un infarctus et qui a eu un triple pontage….
Sinon, clairement guide résine vs métal, c’était plié d’avance que tu allais avoir beaucoup moins de précision….


Icon poker h4nm2d - Eugenol
jeff

25/11/2023 à 23h48

La gestion du temps... vaste sujet. C'est comme les conf , comme tu dis, beaucoup de temps de préparation ( en tout, je parle pour moi à l'ADF :) ), du stress, aucun retour financier, mais une belle experience et au final, pas mal de plaisir.
Il y a du plaisir a faire soit meme .C'est comme si tu disait a un type qui fait des maquettes : "achete ton bateau tout fait, c'est un peu plus cher mais tu passera plus de temps en famille ".
En fait, je bosse environ 42 h semaine, sans compter mes 1/2h de route matin et soir. Donc, je preferais finir vers 17 h a faire piscine, yoga , eduquer mon chien, des truc avec ma femme et de temps en temps une soirée devant l'ordi ne me dérangerais pas.
C'est en fait facile , il suffit de barrer son agendas ! ( J'ai 58 ans, et je sais aussi que la vie est précieuse )
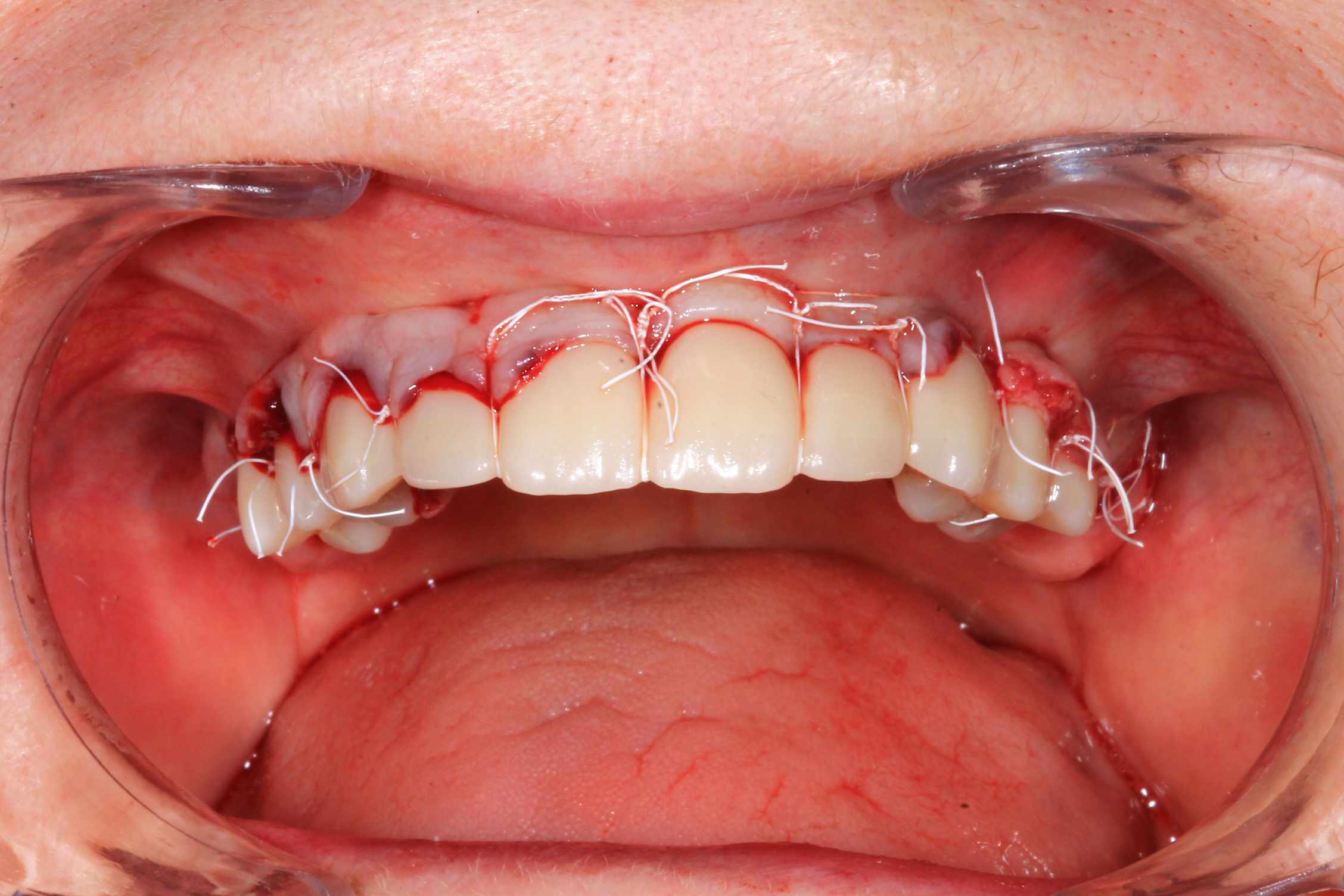
Donc, pour te faire plaisir, un cas 100 % délégué.

Cas 5 : extraction et all on 4. en bas , pas du tout d'os : décision de bridge complet avec une extension de chaque coté.
Modélisation : labo lio. Design et impression du guide : Teeth projet. Bridge full zircone katana myio rosenscrew en mise en charge instantanée , labo LIO.
Guide a etage avec fixtion de l'etage clavette par rapport aux dents avant extraction. Extraction.

0mcvdaqw0zlodao4eu230svib3nl - Eugenol
Zdfw4i96udt0nw34plkon41gba03 - Eugenol
82i1hqjr2jz4dh4uddbwi0aglbru - Eugenol
N26jvf2yyhk2yjfbokzspuo3chgb - Eugenol
Dnxk0s6a0v8hqk17og94t8obba2j - Eugenol

Icon poker h4nm2d - Eugenol
jeff

25/11/2023 à 23h51

Fixation du guide de forage sur le guide clavette. pose des implants, des piliers ( tres classique ), et du bridge zircone rosenscrew. Stickybone The Graft, sutures suspendues et résultat post op et un mois.

9gvqcm1qv9zfovmlspe4gc61kjv3 - Eugenol
1hsp7mie7dhbx17hn9hhicfo4pnb - Eugenol
Rj1m4astnxi32h1r5dmfc6washgn - Eugenol
G6x6cc6xc1goduo9curwvo3bjtaf - Eugenol
6ieh0xwo24oz7hzw1vg8750vcqfh - Eugenol

Utilisateur banni

26/11/2023 à 01h23

Ouf, je pensais que c'était simple parceque le programme TV de madame ne te plaisait pas


Icon poker h4nm2d - Eugenol
jeff

26/11/2023 à 19h22

Alain , je constate que toi aussi , tu passes trop de temps devant ton ordi :)
C’est sans doute à cause de l’heure tardive que ta seule intervention sur ce fil concerne un sujet aussi important que le programme tv…

Je me posais la question suivante , pour pluton , un fidèle client,pourquoi n’essayes tu pas une fois de faire un bridge en finition immédiate.
Ta technique fait que tu as déjà le modèle imprimé et le guide qui s’adapte dessus. Il te suffit de mettre des analogues avec le guide , des multiunit et des piliers prov pour faire un bridge prêt à poser .
Tu lui livre aussi un perforé comme dab , au cas où.
Effectivement, c’est du taff en plus . Mais je pense que cela vaudrait le coup de savoir si cela peut fonctionner, ce qui pourrais alors être pour toi une vrai plus value.


Utilisateur banni

27/11/2023 à 16h37

Bertrand tu es d'accord pour payer 2 bridges ?


Icon poker h4nm2d - Eugenol
jeff

27/11/2023 à 21h59

Non , bien sûr .
Mais en temps que fabriquant , est ce que je pourrais passez du temps non rémunéré pour faire un test et voir si mon produit peut évoluer ? Sans doute .
Mais j’ai bien conscience qu’une armature coulée+ un bridge montée en composite ( ou résine , je ne sais pas ), c’est beaucoup de boulot.


Utilisateur banni

27/11/2023 à 22h12

il faudrait encore qu'un guide plastique soit une évolution alors que le guide métal que je fabrique depuis 2007 a fait ces preuves et qu'un bridge immédiat avec les connectives fonctionne.


Icon poker h4nm2d - Eugenol
jeff

29/11/2023 à 20h22

Il y a deux éléments dans ta réponse .
La solidité des bridges imprimés . Il est évident que la solidité et rigidité du bridge prov est très importante pour l’osteo-integration des implants et que tes prov à armature métal avait une longueur d’avance sur tout que ce qui se faisait .et que cela reste encore difficile à égaler.
Mes bridge prov à armature métal en full numérique sont assez difficile à réaliser , et je n’en est pas vu beaucoup ailleurs ( j’en est vu un , en fait ).
Les résines actuelles sont beaucoup plus performantes qu’avant , et pour l’instant , je n’ai pas eu de perte d’implant avec. C’est n’est pas vraiment le sujet.
Je te parle donc de faire en double un bridge avec armature métal , mais j’ai bien conscience que c’est beaucoup de boulot .
( lundi dernier , j’ai fais un cas avec un bridge rosenscrew imprimé , mais comme j’avais déjà deux implants ostéointegré en bouche , c’était très difficile de réaliser le guide qui s’adapte précisément aux implants existants.
J’ai donc aussi fait un bridge perforé pour coller les piliers . Mais , en numérique , c’était beaucoup plus simple à doubler )
Enfin , tu penses qu’un bridge immédiat n’est pas vraiment possible .
Le cas précédent te montre un cas en full zircone , alors si, c’est possible .
Je me rappelle d’un de tes post ou tu montrais la précision de ton guide avec une comparaison de la planif et du scan post op . Donc , peut être que cela fonctionnerait.


Icon poker h4nm2d - Eugenol
jeff

29/11/2023 à 20h58

Autre possibilité pour ne faire qu’un seul bridge . Le jour ou tu fais une intervention avec Pluton , tu prépares le bridge pour mise en charge instantanée, et si un ou plusieurs implants ne vont pas , un coup de fraise et tu te retrouve avec une perforation pour coller un pilier comme d’habitude.


Photo pluton1b h9n4ea - Eugenol
pluton

29/11/2023 à 22h18

jeff écrivait:
----
> Autre possibilité pour ne faire qu’un seul bridge . Le jour ou tu fais une
> intervention avec Pluton , tu prépares le bridge pour mise en charge
> instantanée, et si un ou plusieurs implants ne vont pas , un coup de fraise et
> tu te retrouve avec une perforation pour coller un pilier comme d’habitude.

il n'aura pas le temps....maintenant quand il vient, on fait 2 oui 3 chir de suite....et les 3 prochaines interventions, c'est la semaine prochaine...
maintenant, faut que je jette un oeil sur ces fameux rosenscrew (je monte à l'ADF)....mais j'ai de très gros doutes sur comment tu gères les cas....j'explique....
pour ma part, il y a la planification et le site à opérer, et parfois, pour ne pas dire souvent, je modifie un peu le projet en cours de route (implant un peu plus enfouis par ex....une corticale qui pète, etc....)
ton approche est intéressante mais tu dois absolument rester dans le projet, sans modifications possibles....et c'est pas trop ma philosophie: moi, c'est de tout optimiser au maximum, quelque soit la situation, même au prix de petits ajustements....
donc amha, ta manière de faire ne me conviendra pas....je ne dis pas que c'est pas bien....juste que çà ne me satisferait pas....
mais peut être que mon niveau d'exigence est très (trop?) élevé....


Icon poker h4nm2d - Eugenol
jeff

30/11/2023 à 21h40

pluton écrivait:
------
> mais peut être que mon niveau d'exigence est très (trop?) élevé....

Je ne vais pas faire de commentaire sur cette dernière phrase...

Pour les rosenscrew, tu peux les utiliser pour ton bridge définitif en full zircone, sans tibase, mais je ne pense pas que tu en verra a l'ADF.
Perso, tous mes bridges sur implants, meme 2 éléments sont sur multi-unit et rosenscrew.

Tous mes cas complets sont imprimé au cab pour essayage. je peux faire 3 ou 4 maquettes si le patient n'est pas complement satisfait, jusqu'il valide et fait valider pas son entourage. Cela ne coute presque rien, c'est juste un certain niveau d'exigence...:)
Tu peux evidement faire la meme chose en pmma par ton labo, mais comme cela a un cout...

Je vais faire mon premier bridge complet rosenscrew en grafene G-Cam la semaine prochaine, pour les patients qui ont peu de moyen.


12