Cookie Consent byPrivacyPolicies.comme regale - Eugenol
Vw campersurfvan bmnk1q - Eugenol
enlaye

19/10/2023 à 13h15

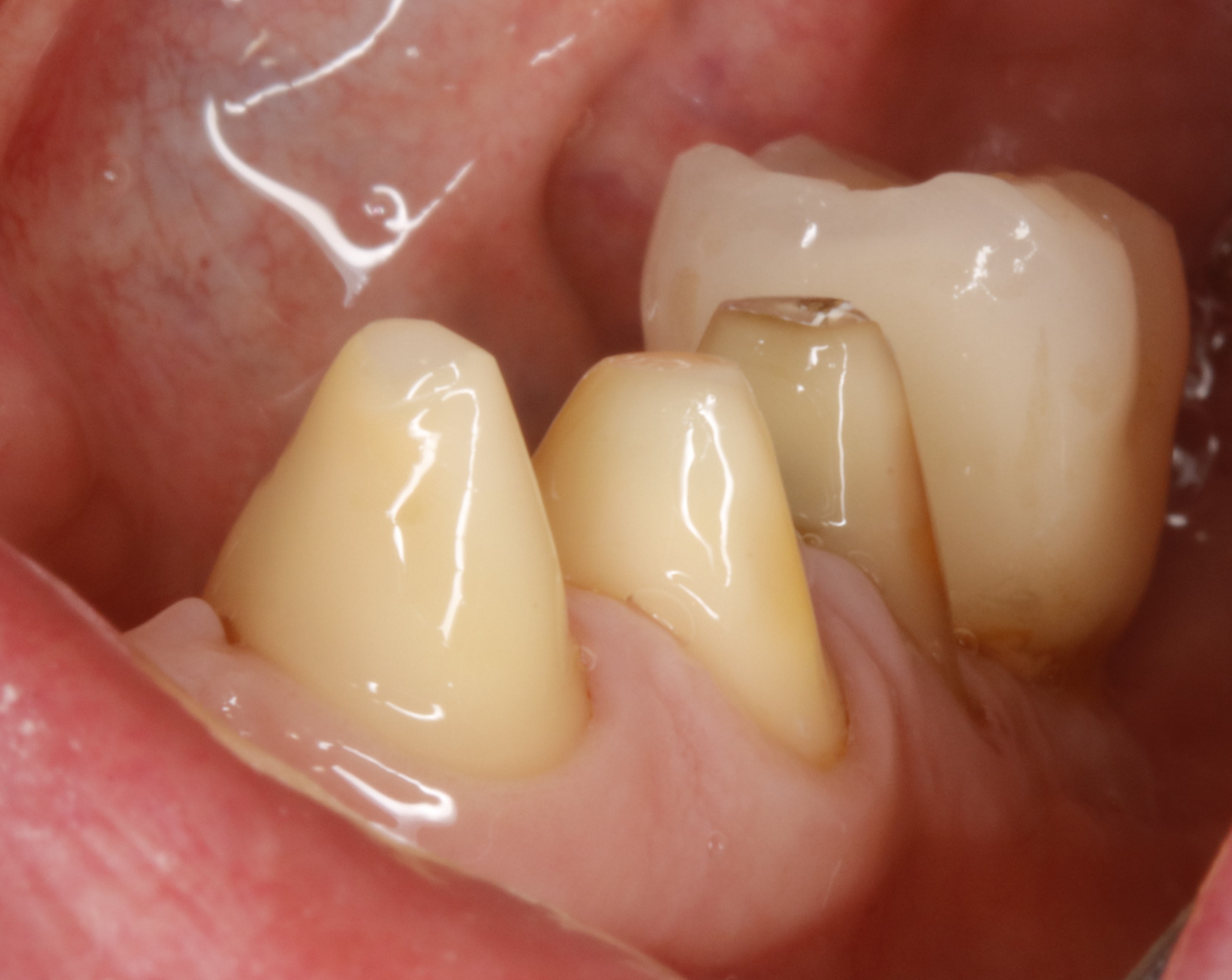
tourne et vire y a que ça qui me plait , le bridge de contention du bas .
toutes les dents qui bougent à mort , les incisives qui se font la malle , les gencives explosées et gros pb occlusal bien sur .
apres extractions et endos zing zing les tailles .
ici les tailles ont duré 3 mois pour en arriver là .

02zrm70x2smuyuvlo1lhcfzsx2c3 - Eugenol
Cda7tzopmhfmq4j7oph2dwybvube - Eugenol
Sv68dlwzm1rur8l7g2vtnxr2uwcf - Eugenol

blaise2583

19/10/2023 à 13h19

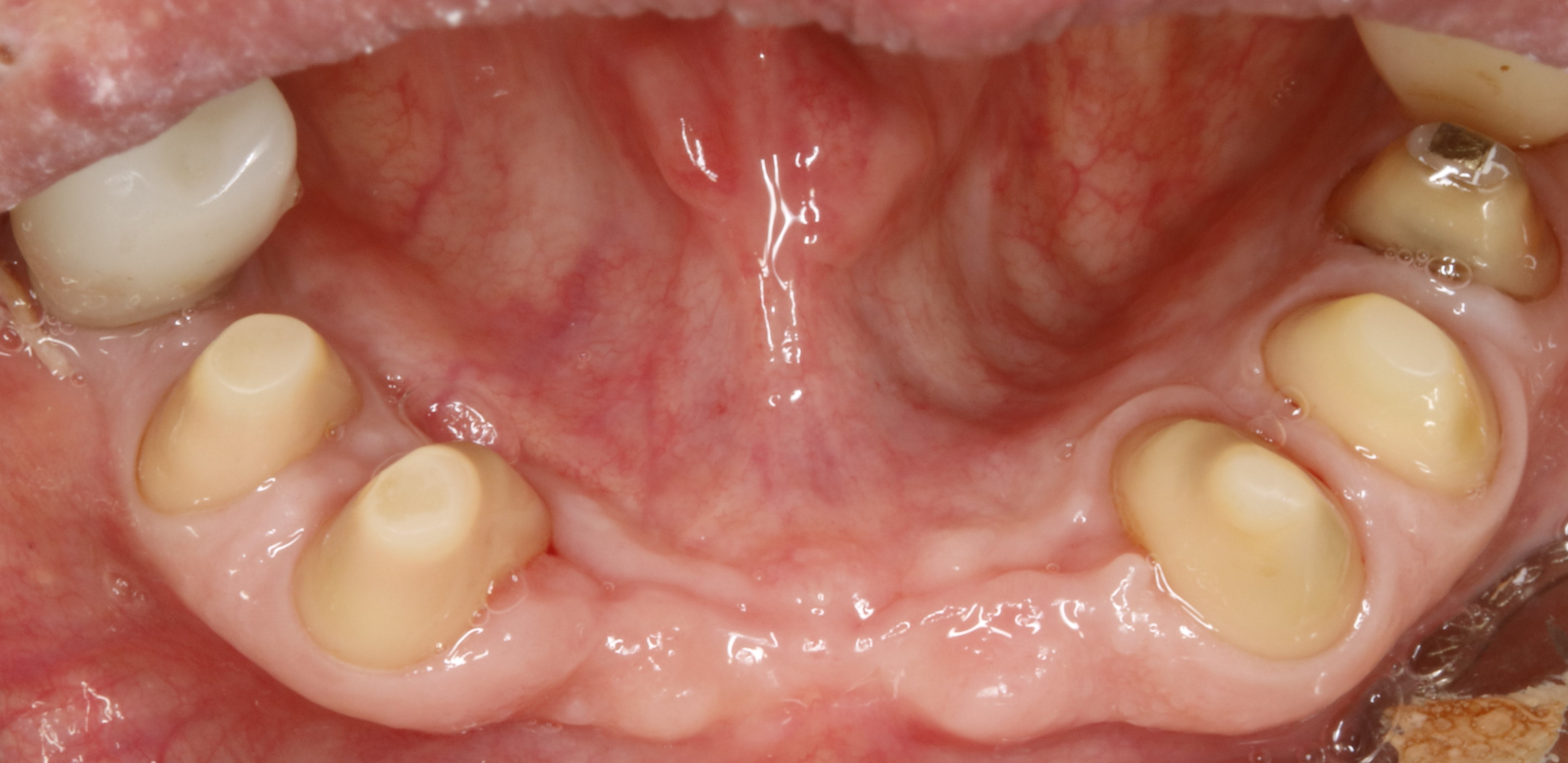
Chouette et propre ta gencive


Vw campersurfvan bmnk1q - Eugenol
enlaye

19/10/2023 à 13h21

3 mois :-) c était un choux-fleurs violet au départ .


moritooth

19/10/2023 à 13h23

enlaye écrivait:
------
> ici les tailles ont duré 3 mois pour en arriver là .

Tu veux dire temporisation 3 mois, ou t'as mis 3 mois pour tailler ?


Et7jtaj0pdi18gzjlxjiamlx15gs - Eugenol
Prunelles

19/10/2023 à 13h33

enlaye écrivait:
------
> ici les tailles ont duré 3 mois pour en arriver là .

T'as des actions chez Blédina ?


Vw campersurfvan bmnk1q - Eugenol
enlaye

19/10/2023 à 13h36

3 mois pour tailler .
non , on va le dire différemment, 3 mois pour arriver au niveau des limites définitives .
Chaques fois un petit coup pour arriver au niveau gingival cicatriciel du jour .


enlaye écrivait:
------
> 3 mois pour tailler .

T'ain, t'as bien fait de ne pas bosser au bois de Boulogne.


Vw campersurfvan bmnk1q - Eugenol
enlaye

19/10/2023 à 13h40

Prunelles écrivait:
---------
" T'as des actions chez Blédina ? "
Voui , bridge prov sans colle pendant 1 mois .
Juste un peu de colle pour le mois d août pcq j étais en vacances . Des fois qu il me le casse en le croquant

Et bien sûr pas de rebasage après la pose .


Vw campersurfvan bmnk1q - Eugenol
enlaye

19/10/2023 à 13h44

L avantage c est qu il ne peux pas t appeller en urgence pcq son bridge est décollé :-)))


Vw campersurfvan bmnk1q - Eugenol
enlaye

19/10/2023 à 13h45

.doublon


Bebe 038 nf8eum - Eugenol
danteyeah

19/10/2023 à 14h14

enlaye écrivait:
------
> L avantage c est qu il ne peux pas t appeller en urgence pcq son bridge est
> décollé :-)))

Moi pour qu'ils ne me cassent pas les c.... en vacances, je pars loin ;-)))


Et7jtaj0pdi18gzjlxjiamlx15gs - Eugenol
Prunelles

19/10/2023 à 15h29

enlaye écrivait:
------
> 3 mois pour tailler .
> non , on va le dire différemment, 3 mois pour arriver au niveau des limites définitives .
> Chaques fois un petit coup pour arriver au niveau gingival cicatriciel du jour .

Et donc en 3 mois tu as repris tes préparations combien de fois ?


Dentarue

19/10/2023 à 17h43

Pas de radios, de photos avant ?


Vw campersurfvan bmnk1q - Eugenol
enlaye

19/10/2023 à 20h29

Prunelles écrivait:
---------
" Et donc en 3 mois tu as repris tes préparations combien de fois ? "
4 fois y compris les prétailles en unitaire avant les extractions de 41,42, 31,32 et 46
dans les 4 fois , en plus des tailles des moignons en totalité je compte aussi les tailles des racines et de gencive qui me permettent de faire de l assainissement parodontal .


Vw campersurfvan bmnk1q - Eugenol
enlaye

19/10/2023 à 20h31

Dentarue écrivait:
--------
" Pas de radios, de photos avant ? "
je dois avoir une panoramique de départ , si ça t intéresse je pourrais te la prendre en photo .
j ai cherché une photo d avant je ne la trouve pas . pourtant je suis sur de l avoir prise .


Vw campersurfvan bmnk1q - Eugenol
enlaye

20/10/2023 à 08h42

Mais sinon , je ne comptais pas parler de prothèse mais de taille .

Il n y a personne ici qui se régale de tailler ?
Pas forcément que des dents d ailleurs.


Capture d écran 2018 05 16 à 21.30 - Eugenol
Daryl

20/10/2023 à 10h27

enlaye écrivait:
------
> Mais sinon , je ne comptais pas parler de prothèse mais de taille .
>

Moi j'ai une question mais j'en ai un peu honte.

Je pense que j'ai un problème avec mes tailles de moignon sur molaires du bas lorsqu'il n'y a pas assez de hauteur car j'ai 3/4 cas de descellement récurrent. Et ça uniquement, si je ne mets pas d'inlay core. Bien sûr, l'occlusion est vérifiée et me semble ok.

J'ai tout tenté et refait mes CCC : taille plus conique, congé plus large, cuspides plus inclinées, ou carrément plates, fraisage rétentif sur les faces V ou L ..
Bref, je fais tout pour que ma préparation ressemble à des inlay core mais rien n'y fait... ça se descelle une fois par an !!
Evidemment je n'ai pas de photos car j'essaie d'y penser le moins possible pour bien dormir le soir..

De plus, tes moignons sont superbes c'est sûr , mais moi quand ils sont super lisses comme les tiens, le light se barre et il n'y a que le putty qui reste sur la préparation lors de l'empreinte, même en polissant mon moignon au Zircate avant l'empreinte.

Voilà...



Bebe 038 nf8eum - Eugenol
danteyeah

20/10/2023 à 10h42

Daryl écrivait:
-----
> Moi j'ai une question mais j'en ai un peu honte.
>
> Je pense que j'ai un problème avec mes tailles de moignon sur molaires du bas
> lorsqu'il n'y a pas assez de hauteur car j'ai 3/4 cas de descellement récurrent.
> Et ça uniquement, si je ne mets pas d'inlay core. Bien sûr, l'occlusion est
> vérifiée et me semble ok.
>
> J'ai tout tenté et refait mes CCC : taille plus conique, congé plus large,
> cuspides plus inclinées, ou carrément plates, fraisage rétentif sur les faces V
> ou L ..
> Bref, je fais tout pour que ma préparation ressemble à des inlay core mais rien
> n'y fait... ça se descelle une fois par an !!

Même en sablant tes supports ??


> De plus, tes moignons sont superbes c'est sûr , mais moi quand ils sont super
> lisses comme les tiens, le light se barre et il n'y a que le putty qui reste sur
> la préparation lors de l'empreinte, même en polissant mon moignon au Zircate
> avant l'empreinte.

Pareil sable avant ! Sinon aucun soucis en 3D !


bouboule

20/10/2023 à 10h46

Pourquoi tu fais traîner aussi longtemps? C’est super long 3 mois. Surtout si ton patient a une temporisation pseudo amovible. T’avais d’autres trucs à gérer pendant ce temps?
Pour les descellements molaire, y a tout un tas de possibilité… ça va de l’occlusion moisie à la taille non conforme en passant par le prothésiste qui espace trop ses prothèses ou l’utilisation d’un ciment moyennasse etc… mais ça doit pas être bien compliquer à corriger… la technique de l’autruche c’est pas top. Surtout que ça doit te revenir régulièrement pour re sceller.


Dentarue

20/10/2023 à 11h10

Ici les préparations sont trop coniques, et 4 tailles c’est 4 agressions pulpaires…
Et tout ça sans radio, c’est pour se voiler la face ?


Dentarue

20/10/2023 à 11h12

« J'ai tout tenté et refait mes CCC : taille plus conique, congé plus large, cuspides plus inclinées, ou carrément plates, fraisage rétentif sur les faces V ou L . »

Daryl, si tu veux augmenter la rétention c’est pas des tailles plus coniques qu’il faut faire, mais juste le contraire.


Capture d écran 2018 05 16 à 21.30 - Eugenol
Daryl

20/10/2023 à 11h14

danteyeah écrivait:
---------
> Daryl écrivait:
> -----
> > Moi j'ai une question mais j'en ai un peu honte.
> >
> > Je pense que j'ai un problème avec mes tailles de moignon sur molaires du bas
> > lorsqu'il n'y a pas assez de hauteur car j'ai 3/4 cas de descellement
> récurrent.
> > Et ça uniquement, si je ne mets pas d'inlay core. Bien sûr, l'occlusion est
> > vérifiée et me semble ok.
> >
> > J'ai tout tenté et refait mes CCC : taille plus conique, congé plus large,
> > cuspides plus inclinées, ou carrément plates, fraisage rétentif sur les faces
> V
> > ou L ..
> > Bref, je fais tout pour que ma préparation ressemble à des inlay core mais
> rien
> > n'y fait... ça se descelle une fois par an !!
>
> Même en sablant tes supports ??

J'ai même refait l'empreinte, la taille et fait une CCM à la place d'une CCC ( gratos, avec accord de la patient)mais rien, pas d'évolution sur la fréquence du descellement !!

Pour Bouboule, c'est que 3/4 cas mais j'aimerais bien comprendre !!
Et mon prothésiste est bon, je ne négocie pas sur la qualité de mes produits de collage/ scellement / pâte à empreinte etc etc..
Car je considère que tte économie sur le matos se paye un jour ou l'autre..
Non franchement, j'ai tout essayé...

Je pense qu'il y a un problème d'axe entre celui de mon congé et la surface occlusale de ma future prothèse mais j'ai pas la solution et j'attends que le varois se lève enfin !!


Vw campersurfvan bmnk1q - Eugenol
enlaye

20/10/2023 à 11h24

Daryl , n ais pas honte , il y a plein de choses intéressantes dans ta question , et je reprendrais point par point avec mon avis , mais qui n engage que moi , comme d ab .

mais déjà je peut te dire que je n ai pas ton genre de pb , pour une bonne raison évidente , c est que je suis plus vieux que toi :-))
pas que je sois plus fort :-) , mais que j ai donc une clientèle plus âgée que la tienne . donc avec des dents de vieux , déchaussées , pbs paro , ... et donc à hauteur prothétique plus élevée que pour tes patients : tous ces minots qui sont passés par l ortho (ou pas ) avec des hauteurs molaire riquiqui ,..


Capture d écran 2018 05 16 à 21.30 - Eugenol
Daryl

20/10/2023 à 11h34

Dentarue écrivait:
--------

> Daryl, si tu veux augmenter la rétention c’est pas des tailles plus coniques
> qu’il faut faire, mais juste le contraire.

Une taille conique.. dans le raisonnable j'entends.. pas aussi pointues qu'un sapin de Noel
J'ai appris qu'Une taille conique c'est meilleur au final, pour l'adaptation de la gencive à la prothèse, et ça donne de meilleurs résultats esthétiques à mon goût..
Après c'est vrai, que quand je dois démonter de vieilles couronnes pour refaire l'endo avec des tailles carrées, plates, sans forme et qui tiennent depuis 25 ans .. je me pose des questions

Edit : @ enlaye, j'attends avec impatience et te remercie par avance ;-)


Ylfwcw979cz1jnx9gfqeaxndiuzk - Eugenol
Algi

20/10/2023 à 11h34

Daryl écrivait:
-----
> danteyeah écrivait:
> ---------
> > Daryl écrivait:
> > -----
> > > Moi j'ai une question mais j'en ai un peu honte.
> > >
> > > Je pense que j'ai un problème avec mes tailles de moignon sur molaires du
> bas
> > > lorsqu'il n'y a pas assez de hauteur car j'ai 3/4 cas de descellement
> > récurrent.
> > > Et ça uniquement, si je ne mets pas d'inlay core. Bien sûr, l'occlusion est
> > > vérifiée et me semble ok.
> > >
> > > J'ai tout tenté et refait mes CCC : taille plus conique, congé plus large,
> > > cuspides plus inclinées, ou carrément plates, fraisage rétentif sur les
> faces
> > V
> > > ou L ..
> > > Bref, je fais tout pour que ma préparation ressemble à des inlay core mais
> > rien
> > > n'y fait... ça se descelle une fois par an !!
> >
> > Même en sablant tes supports ??
>
> J'ai même refait l'empreinte, la taille et fait une CCM à la place d'une CCC (
> gratos, avec accord de la patient)mais rien, pas d'évolution sur la fréquence
> du descellement !!
>
> Pour Bouboule, c'est que 3/4 cas mais j'aimerais bien comprendre !!
> Et mon prothésiste est bon, je ne négocie pas sur la qualité de mes produits de
> collage/ scellement / pâte à empreinte etc etc..
> Car je considère que tte économie sur le matos se paye un jour ou l'autre..
> Non franchement, j'ai tout essayé...
>
> Je pense qu'il y a un problème d'axe entre celui de mon congé et la surface
> occlusale de ma future prothèse mais j'ai pas la solution et j'attends que le
> varois se lève enfin !!
>
Tu colles/scelles avec quoi?
Dents vivantes ou décuplées?

Perso soucis de descellement récurrents sur dents vivantes avec coiffes zircone scellées au verre ionomere dual.
Selon moi ça viendrait de la dissolution du ciment à cause du fluide exsudé par la dentine et de l'absence d'adhésion à la zircone....

--

On a toujours le choix mais entre quoi et quoi?
Vas-y boulégue et l'avenir te le dira!


12...