Cookie Consent byPrivacyPolicies.comme regale - Eugenol
Capture d écran 2018 05 16 à 21.30 - Eugenol
Daryl

20/10/2023 à 17h43

En effet, la sableuse j'ai déjà essayé sur moi par un confrère, pour coller un overlay , ça en fout vraiment partout.


Vw campersurfvan bmnk1q - Eugenol
enlaye

20/10/2023 à 19h59

Daryl , si tes couronnes se descellent d une façon récurrente , ce n est pas forcement à cause de tes tailles .
mais tout simplement à cause des paramétrages de spaceur du labo .
le labo paramètre son spaceur une fois pour toute pour ne pas emmerdé par ses clients .
pas emmerdé veut dire " faut que ça rentre " , et quand tu vois les merdes qu il reçoit tous les jours , tu comprends vite qu' il a tout intérêt à le paramétrer bien gros :-)

et puis surtout il y a 2 paramétrages de spaceur : il y en a 1 au niveau de la limite , en épaisseur + en hauteur et 1 autre sur le moignon .
s il ne veut pas être emmerdé , aller hop , on met le meme en haut et en bas , pour elle ça ira , comme pour les autres .
et puis , ccm ccc , même combat si les armatures sont fraisées .

donc déjà vas faire un tour au labo , et négocier ton paramétrage perso en fonction de ton style de taille , ça ne ferait pas de mal


blaise2583

20/10/2023 à 21h33

Je me rappelle qu enlaye m avait dit à l epoque pour un cas un peu similaire que mes tailles n étaient pas assez coniques , je jumellais 33 a 31 et 41 a 43 je n avais pas compris pourquoi car je me disais que j aurais plus de rétention avec mes tailles
Et il m avait expliqué que c est les 2 premiers mm qui font la rétention avec une belle taille bien retentive sur cette zone puis tu peux anguler plus pour avoir plus de marge pour gerer ta dent forme esthétique.. sans perdre de tenue donc et avait dit " un chapeau il tient sur ta tete si t as un bon cerclage de ta tête sans avoir à l enfoncer comme un malade"
Eh ben j y pense à chaque fois et j essaye au mieux et jamais eu de souci quand je fais ca


Dentarue

20/10/2023 à 22h04

Et 3 mm c’est la moitié plus et 4 mm c’est le double.


Bebe 038 nf8eum - Eugenol
danteyeah

20/10/2023 à 22h21

Dentarue écrivait:
--------
> Et 3 mm c’est la moitié plus et 4 mm c’est le double.

Mais toi sinon ....tu kiffes la taille...ou t'es juste un limeur ? ;-))


Bebe 038 nf8eum - Eugenol
danteyeah

20/10/2023 à 22h24

Daryl écrivait:
-----
> J'ai acheté ça un jour , ça pourrait poncer le moignon aussi, non ?

Nope ! ça fait même l'inverse.....ça lisse, nettoie....faut l'inverse !


Vw campersurfvan bmnk1q - Eugenol
enlaye

20/10/2023 à 23h07

danteyeah écrivait:
---------
"" et au final quelles critiques pourrait-on formuler sur un post dont seul une photo intermédiaire de traitement est présentée et pour lequel la question posée est: "Est-ce que vous aussi vous kiffez les tailles.....sans être sectaire d'ailleurs ;-) " ? ""

:-) oui c était ça en fait la question du départ : est ce que vous aimez tailler ? histoire de ne pas être seul .
pcq moi j aime ça à un point que c' en est peut être pas normal .
à part les pipes je taille tout . tu me donnes un bloc de mousse je taille un surf , les cailloux je les taille j en fais un mur , et d' un bout bois je t en fais un Pinocchio .

de là Blaise me dit que la gencive est belle , qui d ailleurs lui , il m écoute il comprend et il en est même reconnaissant , que ce serait une gonzesse parfaite si c en était une , je lui répond et de la ça part dans tous les sens , avec attentat à la pulpe et tout le con de Manon .

mais c est bonnard pcq enfin il y a un fil dentaire qui part à fond avec plein de rebondissements , ça faisait trop longtemps qu il n y en avait plus .
voilà ça c est dit .



blaise2583

20/10/2023 à 23h08

Dentarue écrivait:
--------
> Et 3 mm c’est la moitié plus et 4 mm c’est le double.

On est d accord mais tu sais bien que la tenue d une prothese ne depend pas que d un paramètre et la tu n en gères qu un
Je m explique, si t es dans un cas comme le mien que j avais mis sur le site ou celui d enlaye précédemment tu dois gérer aussi le guidage ant , les mouvements de la langue.... ca demande une forme assez travaillée et quand tu te laisses pas de place en te focalisant sur ta forme retentive de taille t as plus de marge pour valider le reste, c est multifactoriel donc pas évident car c est un compromis permanent mais la qualité du cerclage cervical de ta coiffe est indispensable
T as deja démonté de vieilles couronnes a bagues ajustées.? C est cercle en bas puis t as 15 kg de ciment sous coiffe et ca fait 30 ans que c est là...
Donc le coup du chapeau me semblait intelligent et je pense permet de comprendre et appréhender les autres paramètres importants avec plus de facilité
Par exemple je faisais l erreur de vouloir garder le max de hauteur de moignon pour me rassurer en laissant assez de place pour le labo pour la couronne mais je ne prenais pas assez de temps à observer les cretes marginales de dents adjacentes et le labo avait de fait du mal parfois à aligner correctement celles ci avec celles de ma couronne donc pourri car risque de gêner le patient qui va me la degager
Donc la taille est un compromis mais le plus important est le cerclage cervical, le ciment je m en fous (c est comme bouboule je crois) tout le temps fuji plus et ca se passe bien
Tout ca pour dire que 2 ou 3 mm de plus ne garantissent pas forcément une meilleure tenue même si c est un paramètre à prendre encomptebien évidemment


Capture d écran 2018 05 16 à 21.30 - Eugenol
Daryl

20/10/2023 à 23h24

danteyeah écrivait:
---------
> Daryl écrivait:
> -----
> > J'ai acheté ça un jour , ça pourrait poncer le moignon aussi, non ?
>
> Nope ! ça fait même l'inverse.....ça lisse, nettoie....faut l'inverse !
>

OK en gros , faut que ça gratte le moignon , donc pierre ponce point barre !!
Et pour le coup de l'espaceur dont me parlait Bouboule depuis le début ( mais j'y croyais pas assez ), je vais voir ça également avec mon prothésiste.

Quant au coup du chapeau, je pense avoir également saisi l'idée. Les 2 mm à la base de la dent ne doivent pas être aussi coniques que le reste de la prépa, assurant ainsi un cerclage rétentif. Merci pour le tuyau. C'est bête mais j'en avais pas vraiment conscience. En tout cas, merci !!


Vw campersurfvan bmnk1q - Eugenol
enlaye

20/10/2023 à 23h24

Daryl on va parler de la conicité , et tu vas voir qu ici par exemple eh bien ce n est pas si conique que ça , c est d'ailleurs pour ça que le prov tient tout seul.
la conicité vient toute seule , ce n est pas toi qui la détermine , c est la fraise et le cas prothétique .
la conicité tu la subis et faut jouer avec .


blaise2583

20/10/2023 à 23h31

enlaye écrivait:
------
> danteyeah écrivait:
> ---------
> "" et au final quelles critiques pourrait-on formuler sur un post dont seul une
> photo intermédiaire de traitement est présentée et pour lequel la question posée
> est: "Est-ce que vous aussi vous kiffez les tailles.....sans être sectaire
> d'ailleurs ;-) " ? ""
>
> :-) oui c
>
> de là Blaise me dit que la gencive est belle , qui d ailleurs lui , il m écoute
> il comprend et il en est même reconnaissant , que ce serait une gonzesse
> parfaite si c en était une , je lui répond et de la ça part dans tous les sens ,
> avec attentat à la pulpe et tout le con de Manon .
>
> mais c est bonnard pcq enfin il y a un fil dentaire qui part à fond avec plein
> de rebondissement , ça faisait trop longtemps qu il n y en avait plus .
> voilà ça c est dit .
>
>
En effet je ne suis pas une nénette ou cagole mais j apprécie quand les discussions permettent d affronter nos expériences et nombreux sont ceux ici qui peuvent apporter leur pierre a l edifice dans differents domaines même si c est plus rare depuis qq temps.

J en profite donc quand c est possible et compatible d en mettre à profit au quotidien

Merci donc enlaye et les autres pour vos partages de connaissances et expériences


Vw campersurfvan bmnk1q - Eugenol
enlaye

20/10/2023 à 23h50

ici , on doit faire un bridge canine canine .les autres dents sont juste des piliers accessoires .
dejà , le bridge canine +accessoires par sa forme de fer à cheval est auto stable puisque les forces principales viennent d en haut et de devant .
les canines etant les plus costaudes , on va donc essayer de ne pas trop les fracasser et les choisir comme axe d insertion . ce sera donc notre axe de taille directeur . cet axe etant bien sur l axe moyen (ou commun) entre les deux .

donc on commence par tailler les canines en mettant de dépouille .
devant ( en vestibulaire ) on a vu que c etait auto stable , à condition bien sur de laisser la place au montage des dents . donc la courbure de devant dépend de la forme cingulaire des dents du haut .eh oui :-)
là on a pas encore parlé de congés ou quoi que ce soit .

alors maintenant derrière c est diffèrent , avec la langue , ce n est pas du tout auto stable , et vu que devant c est assez incliné , il va falloir trouver de la rétention . et y en a pas beaucoup et elle se trouve juste au depart de la dent . elle est si précieuse qu une fois taillée , on y reviendra plus jamais .
ce sera notre axe de rétention de référence pour tout le bridge .
et on ne peut pas dire qu il y ait de la conicité entre les deux .
voir les traits bleus sur la photo , sauf si comme dans mission impossible , elle disparait .:-)



Qqjhcwx5lv73gcytr7o09o83cb7w - Eugenol

C'est la fameuse ferrule ?
(comment veux tu, comment veux tu que je t '...?)


Vw campersurfvan bmnk1q - Eugenol
enlaye

21/10/2023 à 00h11

arrive maintenant le congé .
on a vu qu en vest , du fait que ce soit penché à cause des dents du haut , ce serait bien de rajouter une opposition avec la face linguale .
donc au pied si on pouvait rentrer un peu tout en redressant ce serait pas mal .
ben voilà , il sert à ca le congé , le voilà . à faire la férule de PP :-)
en plus ca fait plaisir au labo qui va pouvoir s amuser dessus à faire l artiste .
le congé doit donc servir à réduire la conicité .
c est pour ca qu il doit être fait APRES la face linguale .
puisque que peuchère , la face linguale étant limitée , on s adapte à elle et on parallélise à mort , enfin on essaye .
traits rouges sur photos .

R9841nqz4fhzkj68hl0bqus9a55z - Eugenol
2ec6zg27cpz99tbjiwrygr0zjtbg - Eugenol

Vw campersurfvan bmnk1q - Eugenol
enlaye

21/10/2023 à 00h20

là , on commence à comprendre que celui qui te parle d un congé qui fait tout le tour d une façon systématique c est qu il ne comprend pas grand chose :-)


Vw campersurfvan bmnk1q - Eugenol
enlaye

21/10/2023 à 00h41

bon maintenant on va s occuper des autres .

les autres , accessoires , faut qu elles suivent le mouv s agirait pas quelles n en face qu à leurs tête . .
elles sont là pour s intégrer au bridge et si possible en augmentant la stabilisation .
ce qui veut dire qu il ne faudrait pas quelles soit plus ou moins rétentives que les canines .
il ne s agirait pas :
qu elles créent un point de rotation en étant plus rétentives
ou bien qu elles soient moins rétentives auxquelles cas elles ne serviraient à rien .
oui pcq c est le plus fort qui prime à ce jeu là donc le mieux c est tous pour un , le bridge unificateur .
et pour cause c est un bridge de contention .
deja qu elles tiennent par miracle , autant qu elles ne nous emmerdent pas , surtout si si on risque de les perdre un jour .
donc on les parallélise aux canines sur les faces vest .
traits verts sur photo

R93b9n1ygiwvano0ntpfzj4rsy8l - Eugenol
Isop4mt1i0w122ezez664bwi82hy - Eugenol

Vw campersurfvan bmnk1q - Eugenol
enlaye

21/10/2023 à 00h45

tu as vu , on a pas encore ni parlé ni cherché de conicité .
eh bien c est maintenant que ça va venir :-)
la conicité va être imposée par l occlusion , et rien d autre !
à demain :-))


Vw campersurfvan bmnk1q - Eugenol
enlaye

21/10/2023 à 00h58

autre chose de très important avant demain .
on te dit par exemple qu il te faut 12° entre la face vest et la face linguale , ok .
mais ici , comme c est un bridge c est plus pareil , ça devient :
12° entre la face vest de la 34 et de la face vest de 44 ,
mais aussi 12° entre la face linguale de 34 et de la face linguale de 44
et ainsi pour toutes les faces de toutes les dents .
c est pas pareil :-)


Dentarue

21/10/2023 à 06h03

Ça me rappelle le coup de la fatigue cyclique visible d’un coup d’oeil…
Le poisson bouge toujours.


Vw campersurfvan bmnk1q - Eugenol
enlaye

21/10/2023 à 06h41

Mais arrête avec ta fatigue cyclique , tu ne te rends pas compte qu on te pollue avec des conneries ?
. Qu 1 jour y a un gonz qui a dû vouloir faire le chaud brûlant en sortant un article pipé d un truc qu il a entendu d 1 autre qui l a lui même entendu d 1 autre sans rien y comprendre .
Pour la fatigue cyclique on parle de millions de mouvements aléatoires , des millions tu entends ? c est pas un coup du sort de la malchance.
T es mystique ou quoi ?
Et puis qu est ce tu me fais parler là, suis con , moi aussi .


Vw campersurfvan bmnk1q - Eugenol
enlaye

21/10/2023 à 07h27

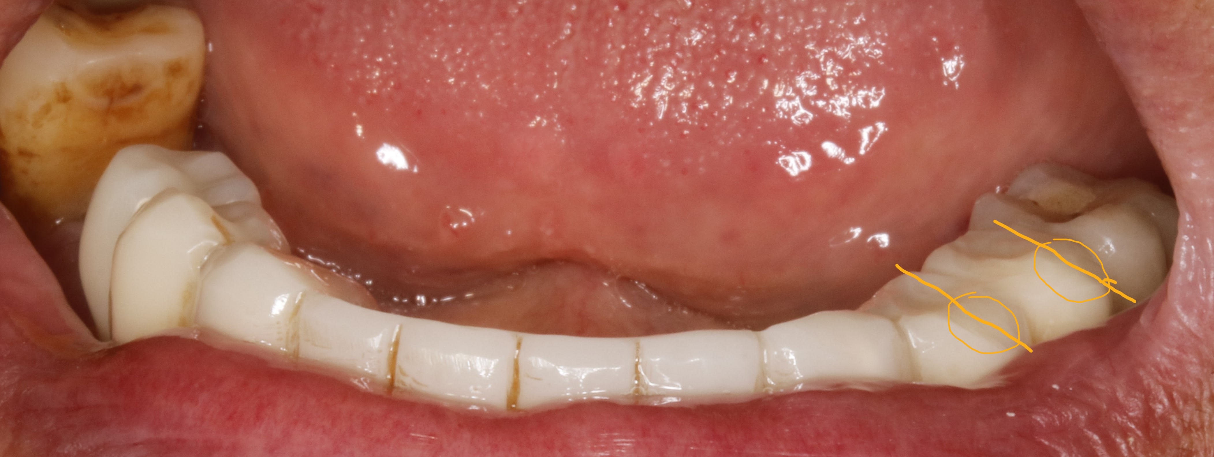
bon , revenons à notre affaire , quel rapport entre la conicité et l occlusion ? .
le rapport le voilà , je remets ici la photo du prov au bout de 3 mois , avec les traits orange .
de toute évidence il y a des faces d usure à gauche qu il n y a pas à droite .
donc même sans parler pb occlusal , si je veux faire la prothèse , il faudra au minimum que je sois homothétique à ces pistes .
ce qui va m obliger à rentrer les moignons en lingual . pcq de toute évidence , lui il n a qu une envie c est d aller à gauche . et s il y est allé avec les prov , il y retournera avec les vrais
ou alors on peu aussi anticiper en vestibulant le haut , mais on ne va pas s amuser à casser le haut , meme s il le faudrait effectivement .
dejà ca répond à Prunelles et Bouboule , pourquoi 3 mois ? bin rien que pour ça ça vaut le coup .

5a6vkq94ffkekpd3ez4ekqesgg8l - Eugenol

Vw campersurfvan bmnk1q - Eugenol
enlaye

21/10/2023 à 07h46

maintenant regardes bien la photo vue de haut que je remets .tu le vois le trait gris ?
c est l alignement de la ligne de crête . et cà c est fondamental pcq c est ce qui préfigure la courbe de Wilson et Monson .
c est ce qui fait qu il y aura une stabilité ou pas .
( on ne va pas rentrer dans les détails d' occlusos mais là tu peux me croire pcq la seule explication moderne retenue quant à l utilité de Wilson et Monson c est ma théorie . publication dans les EMC , mais aussi les gala et ici Paris des revues d ortho , et + encore.)
bref , le fait d aligner les sommets va t obliger à incliner les moignons si besoin .
elle vient de là la conicité du bordel global . :-)
et non pas d ailleurs , ce n est pas un choix de style de taille , c est une obligation architecturale .

Oyfc107y5bga5qw0rdpmc2ah78l3 - Eugenol

Vw campersurfvan bmnk1q - Eugenol
enlaye

21/10/2023 à 07h54

bien , on a aligné la tête des moignons sur la courbe , mais pour des raisons évidentes de stabilité de la prothèse , on va aussi les aligner dans le plan horizontal , c est quand même mieux pour éviter les bascules , non ?
quand tu vas au restau que le sol n est pas plat et que la table fait clic- cloc ça rend fou , :-)


Vw campersurfvan bmnk1q - Eugenol
enlaye

21/10/2023 à 08h12

alors oui tu risques d avoir des trognons coniques .
et c est là que tu ressors le congé . c est en faisant les congés en vest que tu rentres le pied des dent et donc que tu réduis la conicité .
conicité , je le rappelle , par exemple , entre vest de 44 et de 34 , hein , faut pas l oublier ça . sinon c est la contre dépouille direct .
mais tu comprends aussi tres vite que plus ton congé est large plus tu perds de la rétention , puisque si tu prends une grosse fraise , en quart de rond , toute la partie arrondie va te faire une découpe horizontale qui elle ne te servira à rien quand à la rétention par contre elle te servira à bien niquer la dent .
moralité le gros congé ça ne peut pas aller .
a la limite tu peux faire un double congé en espérant rajouter un peu de partie verticale .
ici sur les canines ça nous arrange pour avoir des dents plus fines .
traits noirs sur la photo .

Njqnpqf7r1crqx7v0twil20zze4g - Eugenol

Vw campersurfvan bmnk1q - Eugenol
enlaye

21/10/2023 à 08h23

bref , tout ça pour dire que le style de taille n est pas du à un concept ésotérique , genre que moi je la veux pointue , que lui la préfère droite , et que ci que là .
non , on a vu sur les photos que chaque trait de couleur ( donc de découpe ) est une réponse à une fonction qui s ajoute .
à tout ça tu rajoutes qu à chaque fois que la gencive descend lors de la cicatrisation parodontale , à chaque fois tu reprends presque la totalité puisque tout est lié .

alors , si on me demande pourquoi 3 mois ? bof sais pas , comme ça , j m ennuie :-)

alors , quand j entends que sur un bridge , tu peux tailler en trèfle à 4 feuilles que c est bon , j ai pas remarqué ou alors c est que j ai pas eu de chance de tomber sur le bon cas .

voilà :-))


1234...