Cookie Consent byPrivacyPolicies.comme regale - Eugenol
Vw campersurfvan bmnk1q - Eugenol
enlaye

23/10/2023 à 12h35

en attendant , je pose là une petite photo . :-)

Ss24yl06xv84rdyklox206b80jku - Eugenol
Okmevccllcweapnw83fkux8k8d44 - Eugenol

Capture d écran 2018 05 16 à 21.30 - Eugenol
Daryl

23/10/2023 à 14h25

wakrap écrivait:
------
> Sans polluer le fil, pour Daryl, depuis fouyaya près de 40 ans, aucun
> descellement à ma connaissance dans ces cas et sur des préparations pourries.
> Si tu as du mal à avoir un cerclage cervical de 1 ou 2 mm, va le chercher au
> milieu. Et cela fonctionnne bien sur molaire vivante entre les cornes pulpaires.
> Dentisterie de brousse démarrée dans un cab du de la Réunion sur les conseils
> d'un vieux briscard.

Ingénieux le trou au centre , merci bien le tomien ;-))

Bon effectivement, j'ai cherché où se situait l'île de fouyaya ... haha ;-)


Vw campersurfvan bmnk1q - Eugenol
enlaye

23/10/2023 à 18h45

lorsque l on prend la décision de faire un bridge de contention , c est que toutes les dents bougent .
toutes , pcq qu il n est pas question d'en condamner une bonne dent pour essayer de soutenir les autres , sa vie étant déjà assez compliquée comme ça .
si toutes les dents bougent , c est qu il n y a plus beaucoup d os . il y a donc associé : un pb paro , et forcement un pb occlusal .
le pb occlusal étant un pb de calage postérieur , voir plus radical une perte totale de calage si le cas est plus avancé .
à l instant t , on est limite du one for milledollars implantaire , mais on verra que finalement avec un bon bridge de contention on peut reculer ce moment à un paquet d années .
alors bridge de contention , ne se résume pas à attacher les dents , il y a d autres moyen pour ça .
non , le but est d en meme temps résoudre le pb paro et de recréer un nouveau plan occlusal cohérant .
- le coté paro c est facile pcq des lors que les dents sont mises de dépouilles , tu peux bien détartrer les dents au niveau des faces proximales ( souvent concaves)
- le plan d occlusion ou au moins le guidage anterieur doit etre recréé , et retrouver une centrée correcte , tout au moins une oim bien axiale . je dis ça pour ne pas que l on commence a discutailler sur la centrée que ci que là etc etc .
très souvent le bas a morflé pcq le guidage ( donc haut et bas ) est pourri , iatrogène ou pas , et même si c en était pas la cause initiale il l est devenu .
très souvent aussi si , tu dois t occuper rapidos du bas , il te faudra faire le haut à coup sur .

vu qu il va falloir tailler profond et paralléliser c est endo obligatoire .
c est soit endo soit extractions et implants , donc aucun scrupule .


Vw campersurfvan bmnk1q - Eugenol
enlaye

23/10/2023 à 19h12

le simple fait de mettre de dépouille chaque dent et de tout paralléliser
puis le simple fait d aligner la hauteur de tous les moignons ,
fait que les moignons vont bien bien raccourcir et on a largement la place de reconstruire quelque soit la dv .


Vw campersurfvan bmnk1q - Eugenol
enlaye

23/10/2023 à 19h21

il est evident que si les dents etaient parties en choux - fleurs , par la parallélisation ça va etre conique .
, pcq le but c est d avoir les 6°, 10° sur les faces vest gauche et droite de l arcade , on ne peux pas moins .
alors c est sur que chaque dent regardée individuellement peut paraitre conique , mais il faut savoir regarder globalement , puisque toutes ne feront qu un .
si d aventure il y en avait une qui était vraiment décalée , on l enlève avant . on ne va pas se caler sur elle


Vw campersurfvan bmnk1q - Eugenol
enlaye

23/10/2023 à 19h33

on démarre la fraise a 6° est en place .
il serait plus facile de tout faire en meme temps .
pourquoi ? pcq au moins au niveau proximal chaque dent ne recevra qu une demi épaisseur de fraise .
comme on est pas des sauvages on peut sectoriser mais la dent qui borde le secteur restera à demi preparée .
on est d accord qu a ce niveau on ne reste que dans la dépouille avec limites de finitions simple . on fait pas le charmant .


paul53

23/10/2023 à 20h31

Bonjour, merci pour les cas et le sujet. Et la suite? :))


Vw campersurfvan bmnk1q - Eugenol
enlaye

24/10/2023 à 00h52

eh bien Paul , apres il faut y aller . mais on ne part pas à l aventure comme ça il va falloir être équipé de fraises adaptées à ce genre de tailles , il faut de tres grandes fraises pas tres grosses genre congés rcb .
ceci pour 2 raison :
- de toute évidence ces dents sont hautes et il ne faut pas être gêné par celles d a coté .
- mais la raison principale , même si tu n es pas gêné , c est on y voit rien pour paralléliser .
tant que tu vas t amuser sur les faces vest , ca va aller tu y verras bien , et puis quand tu vas commencer à passer en lingual ça ne va plus etre pareil . la tête du contre angle te cachera les limites . et meme si tu y vois quelque chose tu n auras aucune idée de l axe lingual par rapport à l axe vest .
si tu as une grande fraise le tete du contre angle sera plus haute et tu verras bien mieux , non pas la limite , mais l axe de ta fraise . les limites liguales tu ne les regarderas plus .
dans l exemple d avant que j ai montré j ai bien dit que je commençais par déterminer l axe global par la face linguale de la canine ( l axe commun des 2 canines plus précisément ) et qu après je n y touchais plus .
et bien c est cet axe qui te servira de reference pour toute la suite .
eh bien si tu as une grande fraise tu pourras à tout moment faire reposer ta fraise meme à l arret , hein , sur cette face linguale taillée pour comparer . et même si tu ne vois pas la fraise tu regarderas ta turbine ou ton contre angle .


Vw campersurfvan bmnk1q - Eugenol
enlaye

24/10/2023 à 01h11

c est pour cela que j ai dit ou que j aurais du le dire qu il faut impérativement passer d abord les points de contacts . pcq il faut que tu puisses passer du coté vest au coté lingual entre n importe quelle dent pour aller et venir dans la bouche . il ne faut surtout pas relever la fraise pour enjamber le moignon en allant d un face à une autre face . sinon t es mort en 2 coups tu ne sais plus où tu es .
imagines : je suis en vest de 43 je passe par le point de contact distal et hop j arrive en lingual 35 , je repose ma fraise sur ma référence cad la taille linguale de canine pour vérifier , et hop je pars en lingual de 45 et hop en lingual de 44 puis tu passes par un autre point de contact pour aller en vest d une autre .et ainsi de suite , tu tournes .
en passant par ces raccourcis que sont les faces proxi , tu ne relèves pas ton avant bras , lui il est tjs horizontal ., ton poignet ne bouge pas , c est l épaule qui bouge . et tu te promènes de dent en dent .


Vw campersurfvan bmnk1q - Eugenol
enlaye

24/10/2023 à 01h31

alors maintenant si tu regardes la vidéo du shapeur , lorqu il taille les rails au rabot electrique , il ne regarde pas ce qu il a taillé , et pour cause la coupe est dessous , lui il regarde où il va tailler il regarde devant où il veut aller et son rabot .
et si tu regardes mieux , il tient sont rabot à 2 mains :-) et si tu regardes encore mieux c est la main avant qui guide et non pas l arriere . l avant guide , et l arrière suit .
et voilà quand tu as compris ca tu as tout compris , ce sera la prochaine astuce , demain , ou plutôt à 2 mains :-))


Vw campersurfvan bmnk1q - Eugenol
enlaye

24/10/2023 à 01h33

.


Vw campersurfvan bmnk1q - Eugenol
enlaye

24/10/2023 à 09h36

pour en finir avec le matos , on a vu que le fait de prendre une grande fraise , te permettais de déporter plus haut ce que tu ne vois pas au bout de la fraise .
si je veux savoir si un mur est droit , je ne regarde pas au pied du mur je me recule . et si le mur est tres court , je peux lui poser contre , un bâton . et plus le bâton sera long moins je serais obliger de reculer , l ecart en haut etant plus important il sera donc plus visible .
et bien le baton ce sera la turbine .
sauf que ce que tu ne vois pas en vertical , tu le verras en horizontal . ce n est qu une question d habitude .
l avantage de la turbine c est qu elle longue et fine . avec le reflet du scialytique dessus ça te fait un bon bâton . et en plus c est très léger ce qui ne gâche rien .

j ai dit que le poignet et l avant bras ne bougera pas , il est évident que la turbine ne bougera pas non plus , elle conservera sa meme horizontalité tout le temps .
pour ce qui est de la dépouille ce ne sera que la conicité de la fraise qui fera le boulot .
on ne s occupe en aucun cas de vérifier la conicité . mais que du parallélisme .
ou alors c est que tu ne fais pas confiance à la géométrie des triangles semblables :-)


Vw campersurfvan bmnk1q - Eugenol
enlaye

24/10/2023 à 10h07

c est bien beau de vouloir garder la turbine , le poignet , et l avant bras rigide , et de se servir de cet ensemble comme un pantographe ,
mais ca va 2 mn et après tu n en peux plus , il te faut un point d appuis . et sans point d appuis comment déplacer tout ca tjs à la même hauteur ? et sans point d appuis comment être précis ?
mais comment prendre tjs le meme un point d appuis alors que tu vas dans tous les sens , que tu dois déplacer avec une grande amplitude ?
comment tenir la turbine et en meme temps prendre un point d appuis ?
tu t appelles Poulpy le poulpe , toi ? , moi non .


Vw campersurfvan bmnk1q - Eugenol
enlaye

24/10/2023 à 12h34

bien c est vite vu , si on ne peut pas tout faire d une main , c est pour ça qu on en a deux :-)
le point d appuis sera fait avec l autre main , tout simplement , et alors là tout est plus simple , on a 5 doigts et on a plus rien à tenir on n a plus qu à retenir et a guider .sur les 5 on devrait q en sortir facile , non ? :-)
retenir ? guider ? mais qu est ce y dit lui , il est devenu fou le Varois ? :-))
bin comme le shaper qui tient son rabot :-) ce n est pas pour rien que j ai posté la video :-)

* la main libre prends appuis quelque part ( et pas forcement dans la bouche ) et ne bouge plus . mais l index ou le majeur lui est libre . il a suffisamment d amplitude pour aller sur tout le bloc antérieur .
* en poussant légèrement la tète de la turbine sur ce doigt tu la cales . tu ne bouges pas le doigt rien ne bouge . et si tu remues le doigt la tete de la turbine suit le mouvement . le doigt devient alors le guide du pantographe .
de peu que tu regardes ou tu veux aller et de temps en temps la turbine du moment que le doigt te guide , tu n as besoin de rien d autre . tu as alors l impression que tu tailles avec le doigt . or un doigt a une précision redoutable , surtout si il n a que ca a faire .
tu essayes 1 fois meme pour une unitaire , tu te dis , putain suis con ou quoi , pourquoi je ne l ai pas fait avant ???
:-))


Vw campersurfvan bmnk1q - Eugenol
enlaye

24/10/2023 à 12h54

heuuu , j ai l impression de parler tout seul , y a plus degun ?


moritooth

24/10/2023 à 13h03

Je sais que l'esprit et la réflexion priment sur la marque du matos, mais qu'est-ce que tu utilise exactement comme fraise pour ce type de tailles ?


6szjws718sv1jksw54v4mpj3a6cu - Eugenol
vulpi

24/10/2023 à 13h23

Le type et la forme des fraises peuvent avoir de l'importance, voir même leurs longueurs (perso quand possible j'utilise des fraises longues, je visualise mieux l'axe de la fraise).
La parole est à l'expert 😉


enlaye écrivait:
------
> heuuu , j ai l impression de parler tout seul , y a plus degun ?

Meuuuuuuh non, t'es pas tout seul mon lapin, nous sommes tous ébaudis, épousmerveillés, admirationnés,
mais tu sais, y en a qui travaillent (si, si!) , d'autres qui mangent, d'autres qui digèrent, d'autres qui s'en branlent, d'autres qui se br..., d'autres qui se demandent si t'es vacciné, d'autres qui se demandent pour qui tu vas voter aux prochaines, d'autres qui ne se demandent pas mais qui affirment...

Bref, fais pas ta sucrée et continue, feignasse.


bouboule

24/10/2023 à 15h08

https://vm.tiktok.com/ZGJw75QGn/

T’es trop à la mode enlay ;-)


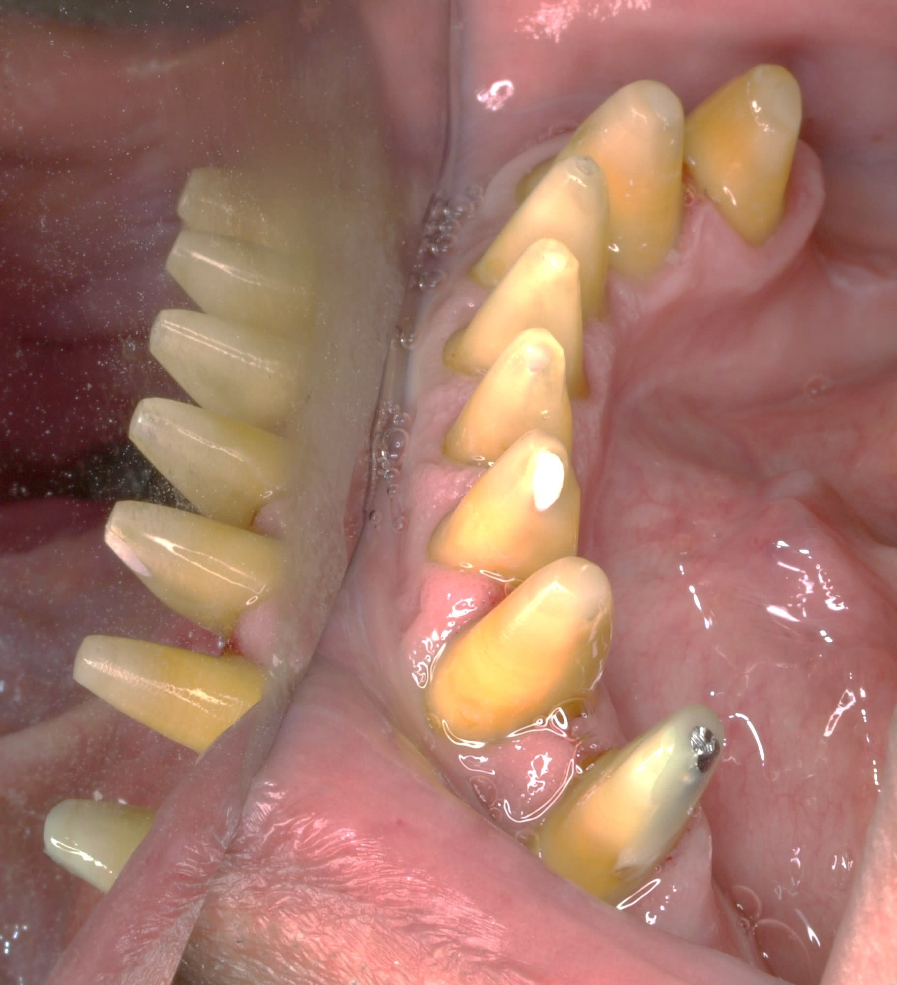
Vw campersurfvan bmnk1q - Eugenol
enlaye

24/10/2023 à 16h02

J ai comme l impression, enfin c est une impression hein , que quand tu y mets le doigt, t as de belles tailles .:-))
Que le parallélisme entre les 2 canines est un peu propre , et que l axe d insertion paraît, c est une impression aussi hein , il paraît pas dégueu:-)

Djhsxezsaa125b55a4zx5i9uov6c - Eugenol
Zkhdgl1ppejktukm4882gyf438sl - Eugenol

Vw campersurfvan bmnk1q - Eugenol
enlaye

24/10/2023 à 16h07

Moritooth , je te prendrais des photos des fraises .


Capture d écran 2018 05 16 à 21.30 - Eugenol
Daryl

24/10/2023 à 16h41

ma main gauche, elle sert à tenir le miroir en vision indirecte ( toi, gaillard que tu es, tu tailles à l'aveugle ) et aussi à repousser langue, lèvre, joue et toutes ces conneries qu'il y a en bouche.. et même le miroir, je m'en sers de réflecteur alors que j'y vois déjà comme en plein jour.
Jme vois pas tailler sans miroir, juste en regardant ma fraise danser


6szjws718sv1jksw54v4mpj3a6cu - Eugenol
vulpi

24/10/2023 à 16h46

Pour le travail solo, miracle suction mirors, coûtent un bras, mais très pratique.
Ils faut changer les miroirs et non les supports quand ils sont rayés.


Vw campersurfvan bmnk1q - Eugenol
enlaye

24/10/2023 à 16h53

Tu peux te servir de tes doigts libres pour faire ça. Par contre ça pose effectivement un pb pour l aspi si tu es seule


Vw campersurfvan bmnk1q - Eugenol
enlaye

24/10/2023 à 16h59

Essayes le coup du doigt sur une 5 ou 6 du haut .


1...678