Cookie Consent byPrivacyPolicies.comJ'ai fait une connerie - Eugenol

J'ai fait une connerie

Bonjour les quelques nonoliens qui restent, je propose un sujet sur nos échecs dont on parle rarement voire jamais.

Bon, vous n'en faites jamais, mais moi j'en ai fait une :

Patient sympa 75 ans sur j'ai fait en avril 23 un bridge 13-17, piliers 13, 14, 17 (dents vivantes parce que ... dents vivantes et ta gueule) inters 15, 16.
1 semaine après il revient pour me dire qu'il ressent tjs une sensibilité au froid sur 17, alors qu’avant le bridge, jamais problème, bon moi serein comme un canari lui dis normal, toussa, toussa, dent vivante, gencive pas gentille qui se rétracte, normal, sensigel, sensodyne rapide, ça va passer, fais pas chier, toussa, toussa, vacances, croise les doigts.
Tout va bien sauf que ... 9 mois après, janvier 24 pour un autre problème, dent cassée sur 45 (taille, empreinte, cc et zou, tutto va bene) le patient me dit que depuis le début (je t'ai dit qu'il était sympa, tu suis ou bien) il ressent depuis toujours une sensibilité froid sur 17.
Du coup no problème, j'l'avais préviendu, je perce la 17 fais la bio malgré ouverture buccale limitée, canaux compliqués à trouver, microscope en panne (en plus j’en ai pas) et zou, damned , la put... de sa race maudite, perfo … bon je bouche comme je peux, MTA sur la perfo, pansement pro, merci, au revoir, à la semaine prochaine, caresse au chien, bise à madame (ou l'inverse)

et du coup que fais je ?
le mort ?
Déménagement au Burundi ?
Prière à Ste Apolline ? St Glinglin ? St Silicone ?
rcp ? (sais pas comment ça marche car irréprochable ou cul bordé de nouille depuis 35 piges)

Et qu’ encours-je ?
Zonzon ?
Bûcher direct ?
Le pal ?

Merci au vaccinés ou pas, bronzés ou pas, de me donner leur retour ?





4v7h8qeys1uzoloymvuql6tfly30 - Eugenol
Jmj25i366uavx1505d102h8y35iz - Eugenol

Et7jtaj0pdi18gzjlxjiamlx15gs - Eugenol
Prunelles

07/03/2024 à 19h54

Comment tu vas te faire pourrir par Dentarue !!!

Mes propositions de solutions :
1 : Spé endo
2 : Découpe du bridge après la 14 et dépose de ce qu’il y a sur la 17 pour reprendre correctement l’endo. Nouveau bridge après réévaluation.
3 : Découpe bridge et davier, puis 2 clous en 16 et 17
4 : Ni vu ni connu, 2 cierges et 3 « Je vous salue Marie » si t’es croyant. P’tet bien que le vioc mourra avant l’abcès ou à cause de ça…

Au passage c’est pas une 18 ?


Jack 2 wm3tqs - Eugenol
Treponem

07/03/2024 à 20h00

Merci pp pour le sujet.
J'attendrais avant de tout deglinguer personnellement.
Si problème, dépose et tente rte de 17, avec la dent ras de gencive pour essayer de passer le palatin , mais avec le MTA et la perf, ça risque d'être sport.
Après si ton patient est multi vacciné, il risque peut-être de ne pas finir l'année ;)
Bref, bon courage !


S2y2o1v7q53ws4r5wy6ou8czrpom - Eugenol
pxav

07/03/2024 à 20h20

pas cool, la première réflexion qui me vient à l'esprit c'est que ton humour est meilleur que ton endo... par contre pas simple de donner une marche à suivre, peut être qu'un pano permettrait d'avoir une vue plus globale ...


--
xbk
La connaissance s'acquiert par l'expérience, tout le reste n'est que de l'information." ALBERT EINSTEIN


P2eqdh3csim6s7nb09ktdq3e7ev8 - Eugenol
barbabapat

07/03/2024 à 20h33

Etre bien avec la femme et la fille du patient. Souvent les emmerdes viennent des tiers.


6szjws718sv1jksw54v4mpj3a6cu - Eugenol
vulpi

07/03/2024 à 21h31

Pourquoi tu n'as pas fait,
MTA le jour de la perfo et l'endo paisiblement une quinzaine de jours après ?
Le MTA ça fonctionne très bien.
Perso je ferai surveillance à un mois, trois mois et voir.


bouboule

07/03/2024 à 22h00

Perso je ferai strictement rien. La bouse est faite, ça arrive. À partir de là faut gérer et assumer. Gérer c’est juste contrôler sans ficher la trouille au patient. T’es pas à l’abris d’avoir du bol, le MTA ça fonctionne bien.
Et puis assumer c’est le jour où ça foire. 2 coups de titane et ce sera réglé.
Ha et perso, la RCP je connais pas. Quand je merde, je répare. À mes frais et toujours avec le sourire. C’est devenu tellement rare comme comportement que les patients reviennent et t’envoient leurs potes malgré le loupé.


croc1765

07/03/2024 à 23h04

A mon avis faire le mort n’est pas la meilleure solution
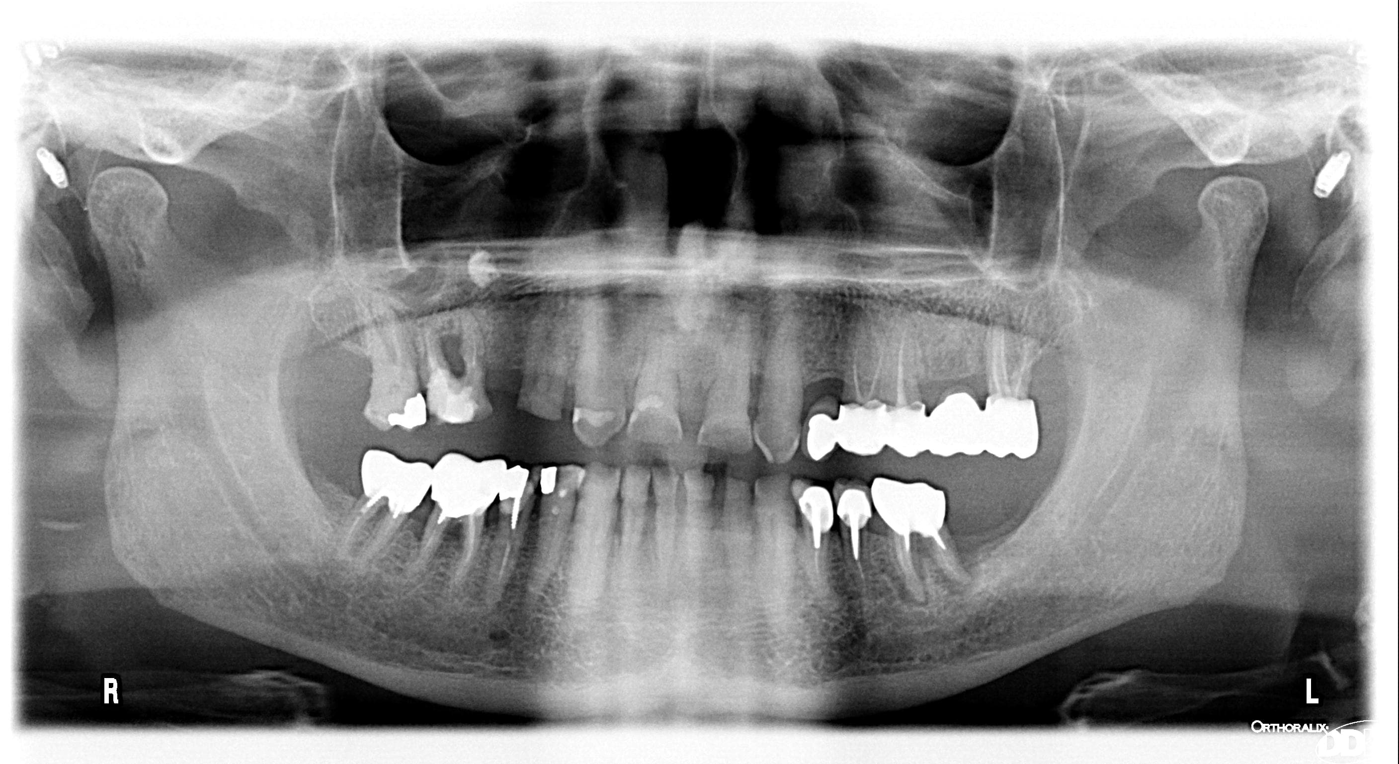
Comme pxav a minima une pano pour un éventuel plan de traitement
Après chacun pourra faire son plan de traitement en fonction de ses compétences car bien évidemment prenant à ton compte les frais la démarche et discours ne seront pas les mêmes si tu réalises tout ou si tu dois adresser.

Ps ça date de qd cette perfo ?



@Prunelles> Comment tu vas te faire pourrir par Dentarue !!!
M'en fous suis pas arabe
> Au passage c’est pas une 18 ?
Non 17 mais ça change rien

@Treponem>Merci pp pour le sujet.
De rien
>J'attendrais avant de tout deglinguer personnellement.
Pareil mais je me renseigne okazou

@vulpi>Pourquoi tu n'as pas fait,MTA le jour de la perfo et l'endo paisiblement une quinzaine de jours après ?
Sais pas
>Perso je ferai surveillance à un mois, trois mois et voir.
Pareil

@bouboule>Ha et perso, la RCP je connais pas. Quand je merde, je répare.
Pareil connais pas non plus et j'assume mes merdes mais suis pas poseur de clous d'où la question sur la rcp okazou

@ croc1765> ça date de qd cette perfo ?
Avant hier


Grifix-Gezucri

07/03/2024 à 23h44

ℙ𝕖𝕣𝕧𝕖𝕣𝕤 ℙé𝕡è𝕣𝕖 écrivait:
--------------
> @bouboule>Ha et perso, la RCP je connais pas. Quand je merde, je répare.
> Pareil connais pas non plus et j'assume mes merdes mais suis pas poseur de clous
> d'où la question sur la rcp okazou
On avait compris ça. Voir réponse en mp.
En conclusion si le patient ne te fait plus confiance on passe la main à la rcp qui s’occupe de tout surtout s’il s’agit d’un aléa thérapeutique. Et toi tu peux dormir tranquille.
Il faut dès le départ avertir la rcp du pb même si tu ne t’en sers pas. Tu es libre ensuite de reprendre les soins mais pas avant le compte rendu de l’expert de l’assurance. Mais je crois qu’à ce moment là précisément tu laisseras le bébé à ton assurance c’est plus prudent et cela résoudra le pb financier concernant l’utilisation de spécialités que tu ne maîtrises pas.


croc1765

08/03/2024 à 00h19

Grifix-Gezucri écrivait:
--------------
> ℙ𝕖𝕣𝕧𝕖𝕣𝕤 ℙé𝕡è𝕣𝕖 écrivait:
> --------------
> > @bouboule>Ha et perso, la RCP je connais pas. Quand je merde, je répare.
> > Pareil connais pas non plus et j'assume mes merdes mais suis pas poseur de
> clous
> > d'où la question sur la rcp okazou
> On avait compris ça. Voir réponse en mp.
> En conclusion si le patient fait plus confiance on passe la main à la rcp qui
> s’occupe de tout surtout s’il s’agit d’un aléa thérapeutique. Et toi tu peux
> dormir tranquille.
> Il faut dès le départ avertir la rcp du pb même si tu ne t’en sers pas. Tu es
> libre ensuite de reprendre les soins mais pas avant le compte rendu de l’expert
> de l’assurance. Mais je crois qu’à ce moment là précisément tu laisseras le bébé
> à ton assurance c’est plus prudent.

La perte de confiance du patient démarrera au moment où il l’apprendra le souci par une personne autre que PP .Une explication honnête et factuelle au patient évitera probablement un risque de conflit .
Perso pour PP
Explication au patient
Surveillance régulière
Et après rcp si nécessaire

PP l’endo tu ne la sent pas?


bouboule

08/03/2024 à 07h09

On s’est pas bien compris. Bien entendu qu’on prévient le patient. Mais sans le terroriser, après tout ce n’est qu’une dent et ça ne foirera pas forcément.
Et si ça foire on explique qu’on a des solutions.
PP Si t’es pas poseur, t’as un correspondant? Si oui un p’tit coup de fil et si le collègue est pas vache c’est vite réglé!
La dernière fois que j’en ai un qui m’a appelé au secours, je lui ai demandé de me fournir les implants et j’ai fermé les yeux sur mes honoraires.
C’est aussi ça parfois d’entretenir ses relations avec les collègues qui envoient du taf. Et c’est bien plus sympa que la bouteille de champ en fin d’année…


OK merci à tous
Bien sur que le patient est prévenu, qu’on va surveiller ça régulièrement et que si problème par la suite, ce sera géré.
J’ai compris pour la RCP et comme je veux suivre le patient, je m’arrangerai avec le clouteur … si Papy 75 est prêt pour ça.

Je rends l’antenne, à vous les studios et vous laisse cet espace pour avouer et exposer vos échecs.


Jf35

08/03/2024 à 07h55

Le problème ici est la tenue de ton pilier postérieur terminal 17 car entre la perforation plancher, la cavité d’accès,
Eh ben y a plus trop de matériau dentaire pour bien tenir l’ensemble.

Je vois bien l’ensemble se désolidariser par l’arrière ou bien casser car fragile.
Et donc tu surveilles régulièrement cette zone en prévenant le patient.
Et agir qd ça bougera par l’arrière( implant?)
Et oui il faut reconnaître que tu as une belle plume.


Avatar transparent iqadnc - Eugenol
adhoc

08/03/2024 à 09h24

>Prière à Ste Apolline ? St Glinglin ? St Silicone ?<

Apolline va mal le prendre, c'est un mecton. Mais j'ai, bien peur qu'il ne te donne pas sa bénédiction, c'est un hyper flemmard qui te dira de suivre les (bons) conseils plus haut.


Et7jtaj0pdi18gzjlxjiamlx15gs - Eugenol
Prunelles

08/03/2024 à 09h25

J'ai aussi la même appréhension que JF35. Pourquoi attendre et espérer que rien ne se passe ?
La cavité d'accès à travers ton bridge ne sera jamais refermée de manière étanche.
Tu as fragilisé ton pilier à l'aveugle, et celui-ci nécessiterait une RMIPP ou un Inlay-Core pour assurer son rôle à présent.
Puis clairement l'endo est insuffisante et il faut mieux la reprendre maintenant avant qu'un LIPOE ne s'installe.


adhoc écrivait:
> Apolline va mal le prendre, c'est un mecton.

Ben non :
https://fr.wikipedia.org/wiki/Apolline_d%27Alexandrie

Prunelles écrivait:
> La cavité d'accès à travers ton bridge ne sera jamais refermée de manière
> étanche.
> Tu as fragilisé ton pilier à l'aveugle, et celui-ci nécessiterait une RMIPP ou
> un Inlay-Core pour assurer son rôle à présent.
> Puis clairement l'endo est insuffisante et il faut mieux la reprendre maintenant
> avant qu'un LIPOE ne s'installe.

Le pilier n'est pas autantbfragilisé que ne pourrait laisser penser la rx
Un tenon ou un IC compliqué à mettre en oeuvre à travers la couronne


Avatar transparent iqadnc - Eugenol
adhoc

08/03/2024 à 09h37

A ta décharge, si j'ose, la dent etait deja limite ou meme deja en furcation., C'etait sportif de conserver cette 17....


adhoc écrivait:
-----
> A ta décharge, si j'ose, la dent etait deja limite ou meme deja en furcation.,
> C'etait sportif de conserver cette 17....

Et encore, je parle même pas de la 14 😱

Cod6w8m1psugmdoxq1b9sl6umdk1 - Eugenol

croc1765

08/03/2024 à 10h22

adhoc écrivait:
-----
> A ta décharge, si j'ose, la dent etait deja limite ou meme deja en furcation.,
> C'etait sportif de conserver cette 17....

difficile d'evaluer avec les 2 radios donnees et ces 2 incidences totalement differentes


S2y2o1v7q53ws4r5wy6ou8czrpom - Eugenol
pxav

08/03/2024 à 20h05

ton pano, montre clairement que le problème de ton patient ne s’arrête pas à la 17...


--
xbk
La connaissance s'acquiert par l'expérience, tout le reste n'est que de l'information." ALBERT EINSTEIN


Ulysse90

09/03/2024 à 08h24

pxav écrivait:
----
> ton pano, montre clairement que le problème de ton patient ne s’arrête pas à la
> 17...
>
>
> --
> xbk
> La connaissance s'acquiert par l'expérience, tout le reste n'est que de
> l'information." ALBERT EINSTEIN

Ça ressemble plutôt à ce qu on voit régulièrement chez les nouveaux patients "suivis depuis 30 ans" par leur gentil dentiste malheureusement parti en retraite.


RépondreCiter
Avatar transparent iqadnc - Eugenol
adhoc

09/03/2024 à 08h41

>Ça ressemble plutôt à ce qu on voit régulièrement chez les nouveaux patients "suivis depuis 30 ans" par leur gentil dentiste malheureusement parti en retraite.<
... et moi le jeunot .... qui n'a encore fait un long voyage, lui aurais rendu ses dents de 20 ans . Je suis un as mais personne ne le sait.


6szjws718sv1jksw54v4mpj3a6cu - Eugenol
vulpi

09/03/2024 à 10h09

adhoc écrivait:
-----
> >Ça ressemble plutôt à ce qu on voit régulièrement chez les nouveaux patients
> "suivis depuis 30 ans" par leur gentil dentiste malheureusement parti en
> retraite.<
> ... et moi le jeunot .... qui n'a encore fait un long voyage, lui aurais rendu
> ses dents de 20 ans . Je suis un as mais personne ne le sait.

Pas mieux, 75 ans... ce patient a reçu des soins au standard année 70, une fois que c'est fait, refaire n'est pas si simple et le bâton n'est jamais loin.
Dans trente ans les jeunots, s'ils n'ont pas été remplacés par des machines (le grand remplacement!!!), tiendront les même propos de comptoirs.


Ulysse90

09/03/2024 à 11h37

Ses dents ont 75 ans, il ne s'agit pas de lui rendre ses dents de 20 ans. C'est quoi cette histoire de "long voyage" ?
Factuellement, on voit sur cette panoramique des pathologies multiples à traiter, qui ne sont vraisemblablement pas traitées car asymptomatiques, qu'il ait 75 ou 35 ans, et que le praticien ait 2 ans ou 40 ans d'expérience, ne change rien à cette réalité.

Le patient a bien sûr été informé de sa situation bucco-dentaire globale par un compte-rendu, des bénéfices attendus des traitements et de leurs risques, et aussi des risques d'abstention thérapeutique, hein...
Comme s'il allait voir un professionnel de santé.