Cookie Consent byPrivacyPolicies.comLe "dentiste traitant" - Eugenol

Le "dentiste traitant"

P2eqdh3csim6s7nb09ktdq3e7ev8 - Eugenol
barbabapat

18/03/2024 à 16h29

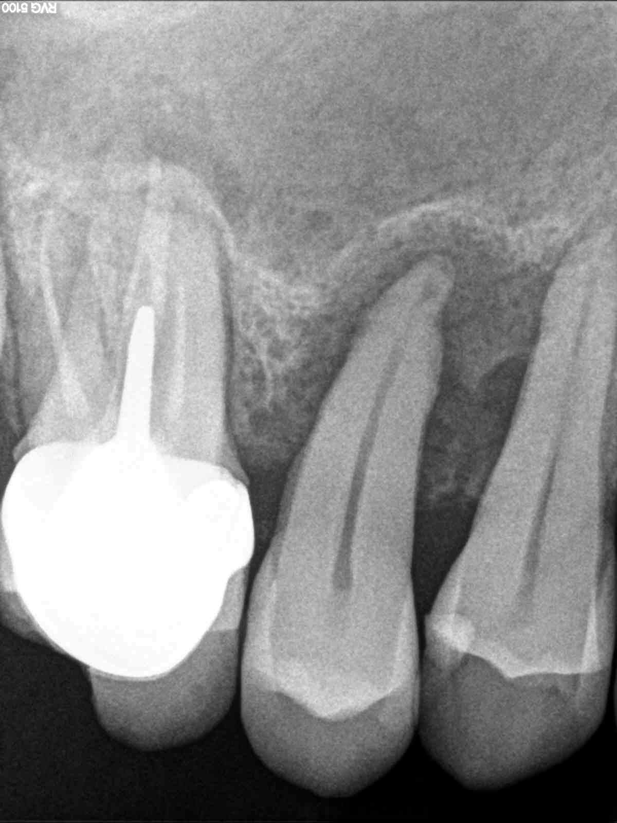
Un jolis cas pour le paro ou l'implanto avec une 15 qui gigote bien comme il faut.
Pas d'os, pas de racines.

Ybakaxtwi5fw3oh5cd4e9fwf3bg8 - Eugenol

vernal

18/03/2024 à 16h36

enlaye écrivait:
------

> bien sur qu il y a un hic , ne m en parles pas suis dégoûté .
> l autre jour alors que je me lève joyeux , je vais pisser hop là je me vois
> pas un poil de couille blanc ?
> alors là j ai dit stop , c est un signe , je finis mes patients et zou je
> ferme ! bien obligé de dire "on ne prend plus de nouveaux patients " sinon ,
> on arrête jamais .

Je me permets d'intervenir pour expliquer à notre public acnéique, que passé un certain âge, on a des poils partout : oreilles, nez, nombril, tétons et aussi sous les bras..
C'est aussi un moyen de monter que la reproduction sexuée est possible, ce qui ne laisse aucun protagoniste normalement constitué insensible. (Et oui, l'homme est un être plein de sensibilité, sensibilité à fleur de peau...)
Et dans la quête d'une reproduction efficace, intelligente et pérenne, le poil blanc sera un signe de sagesse, de longévité et de solidité.
Du coup, c'est pas mal le poil blanc. Faut juste pas avoir peur de le montrer !



enlaye écrivait:
------
> Ulysse90 écrivait:
> --------
> " d'ailleurs le petit cinéma va avec la phrase magique que les assistantes
> répètent toute la journée : "on ne prend plus de nouveaux patients ", les
> patients qui ont quelque chose au-dessus des yeux comprennent bien qu'il y a un
> hic lorsqu'ils entendent ça..."
>
> bien sur qu il y a un hic , ne m en parles pas suis dégoûté .
> l autre jour alors que je me lève joyeux , je vais pisser hop là je me vois
> pas un poil de couille blanc ?
> alors là j ai dit stop , c est un signe , je finis mes patients et zou je
> ferme ! bien obligé de dire "on ne prend plus de nouveaux patients " sinon ,
> on arrête jamais .

Ben fais comme tout le monde, prends ça :

https://inter-service-esthetique.fr/products/teinture-combinal
(T'ain j'ai tapé au hasard et j'apprends qu'y a des qui se teintent les oilps des yeuks)

Enlaye, t'essaies et tu nous dis.

Rdlcrdsmyzu9paqsmlir01khpz9i - Eugenol

vernal

18/03/2024 à 18h17

En clair, deux écoles : assumer (la classe !) ou truquer sa situation (pas la classe ! : très déçu par PP, en plus c'est un produit vegan).
Le poil blanc a un relent d'acte iatrogène. Il se voit tout de suite, il est pour certain le début inexorable de la fin. Pour d'autre(s), il ne peut pas arriver.


P2eqdh3csim6s7nb09ktdq3e7ev8 - Eugenol
barbabapat

18/03/2024 à 18h19

vernal écrivait:
------
> enlaye écrivait:
> ------
>
> > bien sur qu il y a un hic , ne m en parles pas suis dégoûté .
> > l autre jour alors que je me lève joyeux , je vais pisser hop là je me vois
> > pas un poil de couille blanc ?
> > alors là j ai dit stop , c est un signe , je finis mes patients et zou je
> > ferme ! bien obligé de dire "on ne prend plus de nouveaux patients " sinon
> ,
> > on arrête jamais .
>
> Je me permets d'intervenir pour expliquer à notre public acnéique, que passé un
> certain âge, on a des poils partout : oreilles, nez, nombril, tétons et aussi
> sous les bras..
> C'est aussi un moyen de monter que la reproduction sexuée est possible, ce qui
> ne laisse aucun protagoniste normalement constitué insensible. (Et oui, l'homme
> est un être plein de sensibilité, sensibilité à fleur de peau...)
> Et dans la quête d'une reproduction efficace, intelligente et pérenne, le poil
> blanc sera un signe de sagesse, de longévité et de solidité.
> Du coup, c'est pas mal le poil blanc. Faut juste pas avoir peur de le montrer !
>
>


N’empêche que cette histoire de poils arrive comme un cheveu sur la soupe et risque d'en défriser certains qui de ce fait vont être de mauvais poil.
Du coup il s'agirait de reprendre du poil de la bête et de revenir à nos moutons (frisés, bien sur)


Ylfwcw979cz1jnx9gfqeaxndiuzk - Eugenol
Algi

18/03/2024 à 19h57

barbabapat écrivait:
----------
> Un jolis cas pour le paro ou l'implanto avec une 15 qui gigote bien comme il
> faut.
> Pas d'os, pas de racines.

Elle est vivante ?
Et sinon de l'os je dirais qu'il en reste mais déminéralisé sauf si tu as trouvé une perte au sondage localisée.
Au niveau oclusion elle dit quoi?
La 6 paraît douteuse....
--

On a toujours le choix mais entre quoi et quoi?
Vas-y boulégue et l'avenir te le dira!


Ylfwcw979cz1jnx9gfqeaxndiuzk - Eugenol
Algi

18/03/2024 à 19h59

ℙ𝕖𝕣𝕧𝕖𝕣𝕤 ℙé𝕡è𝕣𝕖 écrivait:
--------------
> enlaye écrivait:
> ------
> > Ulysse90 écrivait:
> > --------
> > " d'ailleurs le petit cinéma va avec la phrase magique que les assistantes
> > répètent toute la journée : "on ne prend plus de nouveaux patients ", les
> > patients qui ont quelque chose au-dessus des yeux comprennent bien qu'il y a
> un
> > hic lorsqu'ils entendent ça..."
> >
> > bien sur qu il y a un hic , ne m en parles pas suis dégoûté .
> > l autre jour alors que je me lève joyeux , je vais pisser hop là je me vois
> > pas un poil de couille blanc ?
> > alors là j ai dit stop , c est un signe , je finis mes patients et zou je
> > ferme ! bien obligé de dire "on ne prend plus de nouveaux patients " sinon
> ,
> > on arrête jamais .
>
> Ben fais comme tout le monde, prends ça :
>
> https://inter-service-esthetique.fr/products/teinture-combinal
> (T'ain j'ai tapé au hasard et j'apprends qu'y a des qui se teintent les oilps
> des yeuks)
>
> Enlaye, t'essaies et tu nous dis.

Sinon... Se raser mais ça fait drôle quand ça repousse.... Ou épilation définitive et tu te retrouves avec un zguègue de minot...
--

On a toujours le choix mais entre quoi et quoi?
Vas-y boulégue et l'avenir te le dira!


P2eqdh3csim6s7nb09ktdq3e7ev8 - Eugenol
barbabapat

18/03/2024 à 20h03

Algi écrivait:
----
> barbabapat écrivait:
> ----------
> > Un jolis cas pour le paro ou l'implanto avec une 15 qui gigote bien comme il
> > faut.
> > Pas d'os, pas de racines.
>
> Elle est vivante ?
> Et sinon de l'os je dirais qu'il en reste mais déminéralisé sauf si tu as trouvé
> une perte au sondage localisée.
> Au niveau oclusion elle dit quoi?
> La 6 paraît douteuse....
> --
>
Infection sous la 6 non symptomatique, douleur sur la 5 qui amène à la consultation en urgence et demande d'un panoramique pour voir la situation en global. Patient venant au départ avec une idée d'extraction.


P2eqdh3csim6s7nb09ktdq3e7ev8 - Eugenol
barbabapat

19/03/2024 à 10h35

Les caprices de la nature.

Qjpk32f1e658yhcmf7rjagqkb864 - Eugenol

Ulysse90

19/03/2024 à 16h20

4760 vues en 4 jours sans parler de vaccins, de cul ou d'immigration, pas mal.
A bientôt pour le prochain sujet, gardez eugenol au chaud, j'ai mieux à faire pour le moment...


Et7jtaj0pdi18gzjlxjiamlx15gs - Eugenol
Prunelles

19/03/2024 à 16h27

Ulysse90 écrivait:
--------
> 4760 vues en 4 jours sans parler (...) de cul

Allez hop ! Tu peux remettre ton compteur à zéro !
Il est ou PP ??? Y'a miss Scarlett qui l'attend !!

Yrc5iixd0y4i0nux16lzvpaip8v6 - Eugenol

6szjws718sv1jksw54v4mpj3a6cu - Eugenol
vulpi

19/03/2024 à 16h45

Je peux jouer ?

27nbbey3f5p3scyg6lq2z5f4ulti - Eugenol

Vw campersurfvan bmnk1q - Eugenol
enlaye

19/03/2024 à 16h53

tu m en as envoyé des plus jolies :-))


6szjws718sv1jksw54v4mpj3a6cu - Eugenol
vulpi

19/03/2024 à 17h23

🤭🤫


Capture d écran 2018 05 16 à 21.30 - Eugenol
Daryl

19/03/2024 à 18h03

enlaye écrivait:
------
> tu m en as envoyé des plus jolies :-))

Un vrai brouteur ce vulpi ;-)

Fio0ocxtp0lkhix0y2kxkr4en7m1 - Eugenol

P2eqdh3csim6s7nb09ktdq3e7ev8 - Eugenol
barbabapat

19/03/2024 à 18h40

C'est l'été qui arrive.

F09xagzap2kbbuh96smurhrvmhue - Eugenol

Vw campersurfvan bmnk1q - Eugenol
enlaye

19/03/2024 à 19h56

Prunelles , elle est boooone ta Scarlett , elle sent le ....
... tu as sorti les poubelles ? et n oublies pas de pisser assis dejà que tu ne sers à rien on ne peut pas compter sur toi y a qu' a toi que ça arrive , l avait raison ma mère on ira la voir apres Ikea .


1...45