Cookie Consent byPrivacyPolicies.comLa petite cerise sur le gateau - Eugenol

La petite cerise sur le gateau

king_zoulou

22/03/2024 à 12h54

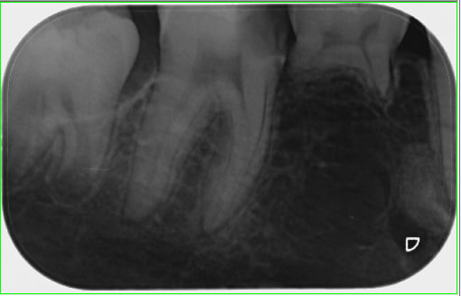
Patiente ado se présentant en consultation pour douleurs légères en bas à droite.
A l'examen, jolie carie 46 (probablement à cause d'une MIH sévère), je fais une radio.
Ooooh surprise la 45.

Pas eu le temps de faire une pano en plus aujourd'hui, mais je sens que je vais avoir d'autres surprises...

4numd1bbduatu9g4x60eho8j1n5z - Eugenol

Et7jtaj0pdi18gzjlxjiamlx15gs - Eugenol
Prunelles

22/03/2024 à 13h42

J'ai une patiente hôtesse de l'air de 36 ans avec une 75 et une 85 dans le même état.
Pourquoi toucher tant que ca tient ?


6szjws718sv1jksw54v4mpj3a6cu - Eugenol
vulpi

22/03/2024 à 14h12

Classiquement elles "tombent" à la cinquantaine. Laisser en place si pas de pb occlusal, pas de reinclusion et non péjoratif d'un point de vue osseux pour un futur implant.


Hok 1b hgd3rj - Eugenol
Hokusai

22/03/2024 à 14h13

Prunelles écrivait:
---------
> J'ai une patiente hôtesse de l'air de 36 ans

pas la peine de se vanter...


P2eqdh3csim6s7nb09ktdq3e7ev8 - Eugenol
barbabapat

22/03/2024 à 14h20

Prunelles écrivait:
---------
> J'ai une patiente hôtesse de l'air de 36 ans avec une 75 et une 85 dans le même
> état.
> Pourquoi toucher tant que ca tient ?

Proposer quand même l'ortho tant qu'elle est prise en charge.
Après le patient et les parents font ce qu'ils veulent mais l'ortho adulte n'a pas vocation à être prise en charge.


Prunelles écrivait:
---------
> J'ai une patiente hôtesse de l'air de 36 ans

T'ain moi aussi !

Par contre elle ne veut pas s'envoyer en l'air ... enfin pas avec moi .
Chienne de vie 😢



Rape p0as4f - Eugenol
rapelapente

22/03/2024 à 16h22

Vous n'avez pas vu ce qu'il y a près de l'apex de la 44?


--
Schooner For Ever


Et7jtaj0pdi18gzjlxjiamlx15gs - Eugenol
Prunelles

22/03/2024 à 16h48

barbabapat écrivait:
----------
> Proposer quand même l'ortho tant qu'elle est prise en charge.
> Après le patient et les parents font ce qu'ils veulent mais l'ortho adulte n'a pas vocation à être prise en charge.

Pas faux !
Mais si ortho pas nécessaire, autant les laisser en place.


Don quichotte xrbqem - Eugenol
Don Chicot

22/03/2024 à 18h19

rapelapente écrivait:
-----------
> Vous n'avez pas vu ce qu'il y a près de l'apex de la 44?

On attend la pano avec impatience ...


Hok 1b hgd3rj - Eugenol
Hokusai

22/03/2024 à 18h53

rapelapente écrivait:
-----------
> Vous n'avez pas vu ce qu'il y a près de l'apex de la 44?


on dirait un odontome


Jack 2 wm3tqs - Eugenol
Treponem

22/03/2024 à 21h43

Cementome, mais la pano nous en dirait plus.


Rape p0as4f - Eugenol
rapelapente

22/03/2024 à 22h01

Ou germe ectopique avorté de la 45.
Juste contre le trou mentonnier ...
Bon il n'empèchera pas de poser un clou au moment venu.
Il doit pouvoir rester là où il est.
--
Schooner For Ever