Cookie Consent byPrivacyPolicies.comun truc un peu compliqué... - Eugenol
Vw campersurfvan bmnk1q - Eugenol
enlaye

17/12/2024 à 20h47

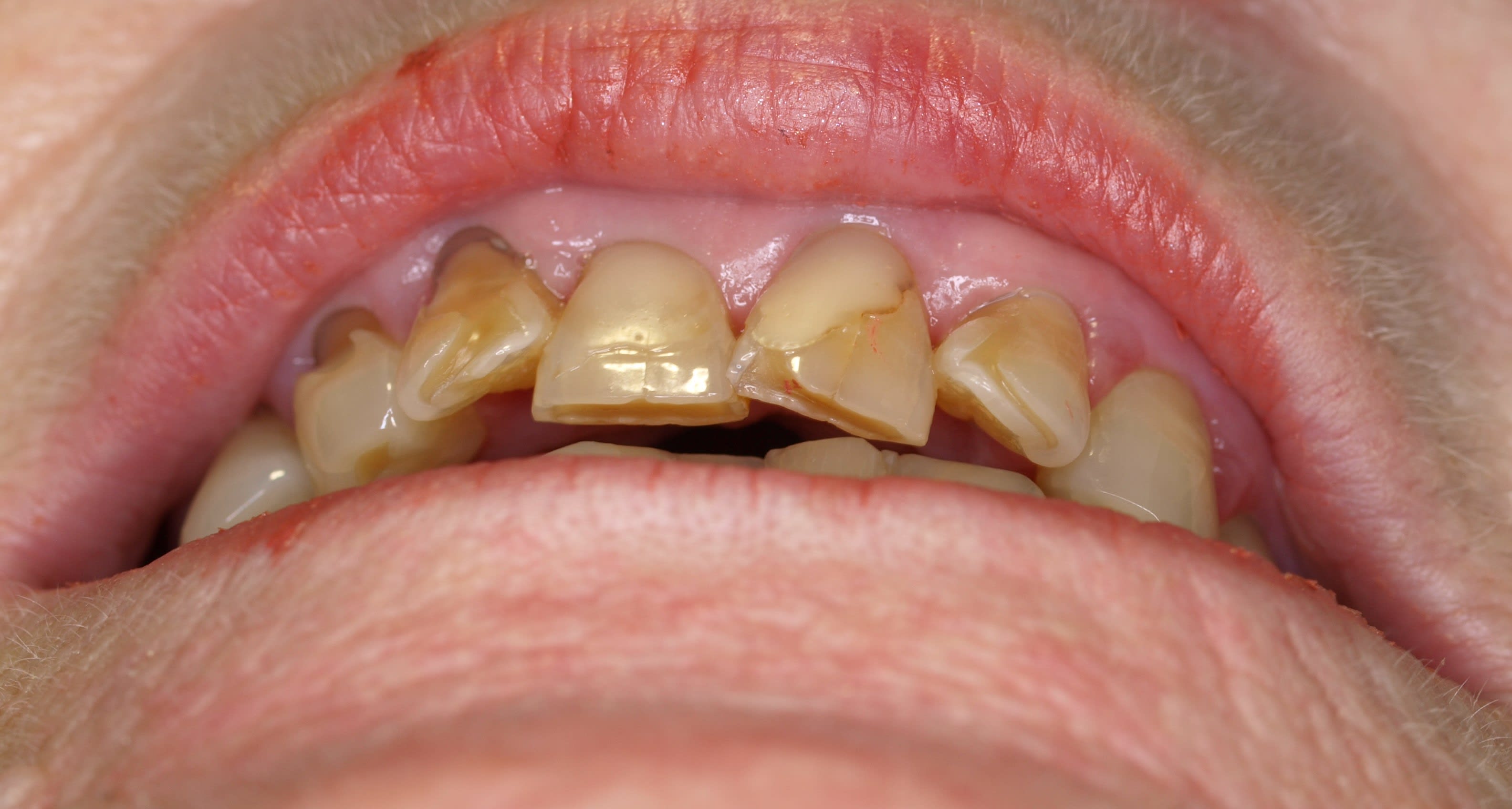
Oui ça ne va pas mettre en péril le bridge .
C est juste que c est moins étanche au niveau du contour gingival et pas joli pour un oeil de dentiste .
J avais eu un cas comme ça , ça me l a fait rappelé , vais essayer de retrouver les photos où j avais essayé d épaissir la gencive en surtaillant la racine .


S2y2o1v7q53ws4r5wy6ou8czrpom - Eugenol
pxav

17/12/2024 à 21h11


Le côté pas joli pour un œil de dentiste est évident, mais ne pas oublier le départ et le but recherché...stabilité

--
xbk
La connaissance s'acquiert par l'expérience, tout le reste n'est que de l'information." ALBERT EINSTEIN


Vw campersurfvan bmnk1q - Eugenol
enlaye

18/12/2024 à 12h02

on a tous remarqué (et je ne t apprendrais rien)que :
moins il y a d os sur la face vest de la racine , + la gencive remonte . et ce n est pas forcement inflammatoire
moins il y a d os en proximal + la gencive bourgeonne et là c est bien inflammatoire
mais que lorsqu' il y a les 2 , la gencive bourgeonne pareil elle remonte aussi , sauf que là elle est inflammatoire .
bon dans ce cas , tu peux faire de la chimie et du ménage si tu dois faire de prothèse forcement c est pas beau ne serait ce que par l alignement des collets .
je parle d une façon générale , pas pour ton cas précisément .


Vw campersurfvan bmnk1q - Eugenol
enlaye

18/12/2024 à 12h10

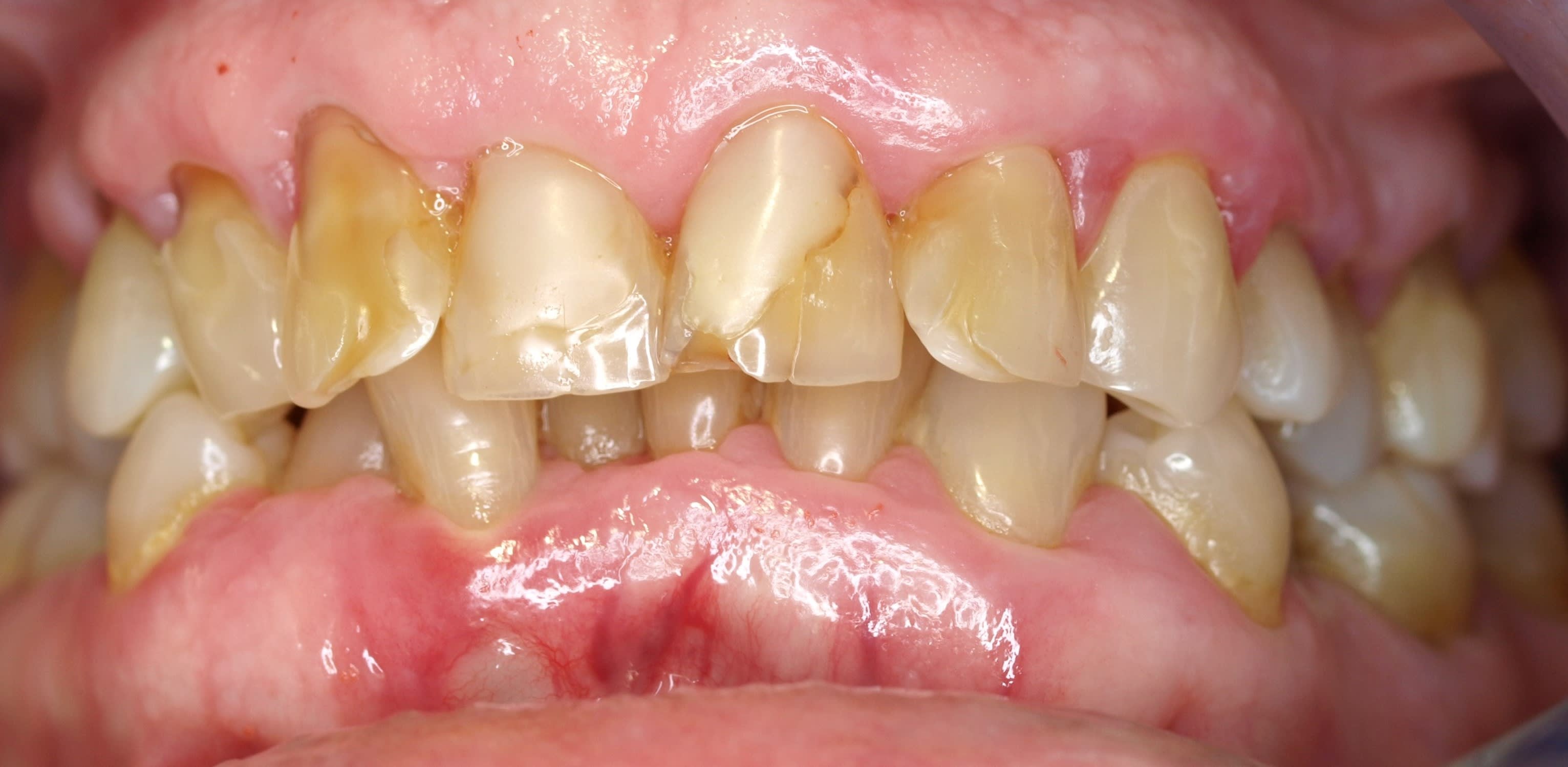
ici il y a manifestement un désordre occlusal , du bourgeon printanier , et une ligne des collets qui suit le cac 40 .
là on est après la préparation initiale cad un détartrage , quoi .
plus la dent est en avant - il y a d os et + le collet migre en apical . en haut comme en bas

B35uoywvoml4wclf5u6xfbo4znbt - Eugenol
Pq6gmeczhr6dyff8zap944eq365i - Eugenol
Wknimdixl9up84qy2vcina7ztkhy - Eugenol

S2y2o1v7q53ws4r5wy6ou8czrpom - Eugenol
pxav

18/12/2024 à 12h39


beurk... :-))

--
xbk
La connaissance s'acquiert par l'expérience, tout le reste n'est que de l'information." ALBERT EINSTEIN


Vw campersurfvan bmnk1q - Eugenol
enlaye

18/12/2024 à 12h53

et encore , beurk c est que le prénom , pcq je lui ai dit bougez pas mamie je vais vous faire passer dans la 4 eme dimension .
et c est qu elle y est arrivé dans la 4 eme mais en enfer alors , avec mes beaux provisoires .
ça crée un petit moment de solitude :-))

1e92izmaas8pvyp0xn93r9xbpfns - Eugenol

S2y2o1v7q53ws4r5wy6ou8czrpom - Eugenol
pxav

18/12/2024 à 13h03


l'occlusion....pfff

--
xbk
La connaissance s'acquiert par l'expérience, tout le reste n'est que de l'information." ALBERT EINSTEIN


Vw campersurfvan bmnk1q - Eugenol
enlaye

18/12/2024 à 14h00

Rhoooo l enfifré que je suis , haaaa alors comme ça tu fais le mac sur eugenooool , avec ton occluso a la con les moignons sucés le tac tac badaboum ...si c est pour en arriver là qué bouche :-( trouves l idée, trouves l idée .
mais oui mais c est bien sûr , pourquoi n y ai je pas pensé avant !?


S2y2o1v7q53ws4r5wy6ou8czrpom - Eugenol
pxav

18/12/2024 à 14h22

MDR


--
xbk
La connaissance s'acquiert par l'expérience, tout le reste n'est que de l'information." ALBERT EINSTEIN


Vw campersurfvan bmnk1q - Eugenol
enlaye

18/12/2024 à 19h26

pour aligner la ligne des collets le plus simple c est de tout remonter a la limite la plus haute en faisant une ou des élongations .
tu grattes de l os , c est sur que ça remonte .
ce qui ne résout pas le pb des limites hautes qui sont inflammatoires
et ce qui ne résout pas non plus , de combien il faudrait gratter pour être bien au final .
elle a un sourire gingival , et elle est deja passée dans la 4em , faut en tenir compte aussi :-)


Vw campersurfvan bmnk1q - Eugenol
enlaye

18/12/2024 à 19h54

alors on dit que s il n y a pas beaucoup d os en vest la gencive remonte .
certes , mais si on diminuait le bombé racinaire ? , la distance projetée entre l os mesial et distal serait plus courte , et donc la gencive pourrait être plus épaisse puisque plus de place et moins tendue . pourquoi pas ?


Vw campersurfvan bmnk1q - Eugenol
enlaye

18/12/2024 à 20h04

et l idée c etait que j allais faire tout ce mezo mezo mi gratage radiculaire mi gratage osseux , non pas au hasard mais en fonction de l objectif esthétique final .
et pour ça on allait se le faire provisoires en place en intrasulculaire (pour l os et les racines) .
et même temps combler à la résine pour modifier les prov .
c était ça l idée :-)


Vw campersurfvan bmnk1q - Eugenol
enlaye

18/12/2024 à 20h08

ce qui m a donné ça .
qu' on soit bien d accord , ce sont les memes prov que la photo d avant , hein .
de souvenir je ne les avais même pas enlevés .

Wn7y8bvxw2wqbo3yvedqkb97k4py - Eugenol

Vw campersurfvan bmnk1q - Eugenol
enlaye

18/12/2024 à 20h09

puis les définitifs

Z7g6xqamijygeiv50r3wnkhoauvh - Eugenol

S2y2o1v7q53ws4r5wy6ou8czrpom - Eugenol
pxav

18/12/2024 à 20h45

beau travail,mais il me semble que la gencive 23....alors que tu ne l'avais pas touchée .


--
xbk
La connaissance s'acquiert par l'expérience, tout le reste n'est que de l'information." ALBERT EINSTEIN


Vw campersurfvan bmnk1q - Eugenol
enlaye

18/12/2024 à 20h49

Le jour du fraisage , allez voir mamie , alors ???
""Ah le salopard !""
" ?? "
"" Quand je pense qu il me disait que j étais belle pour ne pas me payer les dents ""


Vw campersurfvan bmnk1q - Eugenol
enlaye

18/12/2024 à 22h27

pxav écrivait:
----
" beau travail,mais il me semble que la gencive 23....alors que tu ne l'avais pas
touchée ."

Eh oui . Tu comprends pourquoi je ne crois plus à la chimie ?


S2y2o1v7q53ws4r5wy6ou8czrpom - Eugenol
pxav

18/12/2024 à 22h37

je ne suis pas pro-chimie, mais je ne pense pas non plus que la chimie soit nocive, alors quand le reste ne suffit pas, j'utilise.
je suppose que ça t'arrive aussi


--
xbk
La connaissance s'acquiert par l'expérience, tout le reste n'est que de l'information." ALBERT EINSTEIN


Vw campersurfvan bmnk1q - Eugenol
enlaye

18/12/2024 à 22h42

Non non jamais usé de chimistration , mais pcq je n' ai pas eu de formation paro .
De fait , je n' ai pas cette sensibilité et je ne dis pas que c est un bien .


Vw campersurfvan bmnk1q - Eugenol
enlaye

18/12/2024 à 22h54

Par contre ce cas m a fait changer dans mes principes de tailles .
Désormais je dissocie + la taille d assainissement de la taille de la couronne proprement dite en séances différentes.
L une étant en ligne de finition, l autre étant dans la précision des limites à un niveau plus haut , juxta de la nouvelle position gingivale .


S2y2o1v7q53ws4r5wy6ou8czrpom - Eugenol
pxav

18/12/2024 à 23h00



Très bonne idée
--
xbk
La connaissance s'acquiert par l'expérience, tout le reste n'est que de l'information." ALBERT EINSTEIN


Vw campersurfvan bmnk1q - Eugenol
enlaye

18/12/2024 à 23h17

Tu n es plus un minot , moi non plus , et avec tous les cas que tu as fait , globalement on a du arriver aux mêmes conclusions.


S2y2o1v7q53ws4r5wy6ou8czrpom - Eugenol
pxav

19/12/2024 à 08h09


Effectivement chaque cas reste particulièr... mais la planification découle de la même logique

--
xbk
La connaissance s'acquiert par l'expérience, tout le reste n'est que de l'information." ALBERT EINSTEIN


sebbzh

22/12/2024 à 22h43

@pxav
Merci pour le partage et aussi l'essai érythritol.
Je ne comprends pas la réaction de la patiente à l'érythritol, à moins qu'elle ait avalé, et même là c'est une réaction plutôt rare. Là, je reste sur ma faim, dommage, mais tu as fait avec.
Métronidazole 20 jours, même Bonner c'est 14 jours... Motivation ?

Perso, j'ai le feeling suivant : avec Métronidazole, tu niques 99.99% des mauvaises bactéries sur le coup, mais ça reviendra, question de temps. Et hors de question de gober du Métro tous les ans, résistance aux antibios toussa. C'est pour ça que la méthode Bonner me parait surfaite sur le long terme, voir dangereuse. Reste que eau oxygénée c'est qd même une bonne idée...
Les faux sucres ont une action (un peu) plus lente mais plus sure : pas d'accoutumance (en tout cas pas démontrée à ce jour) et pas de dézingage d'une bonne partie de la flore bactérienne positive.

Voilà, j'aimerais bien avoir vos échos là-dessus.


weas65uy78

24/12/2024 à 12h52

I’m so glad I found Residency Personal Statements https://residencypersonalstatements.net/ Their team worked with me to create a personal statement that really stood out. They provided personalized feedback and were very responsive. If you need help with your residency application, I highly recommend them.


1...8910