Cookie Consent byPrivacyPolicies.comcanine incluse et implant - Eugenol

canine incluse et implant

boogy

03/09/2024 à 10h07

bonjour, je veux bien votre avis sur ce cas :
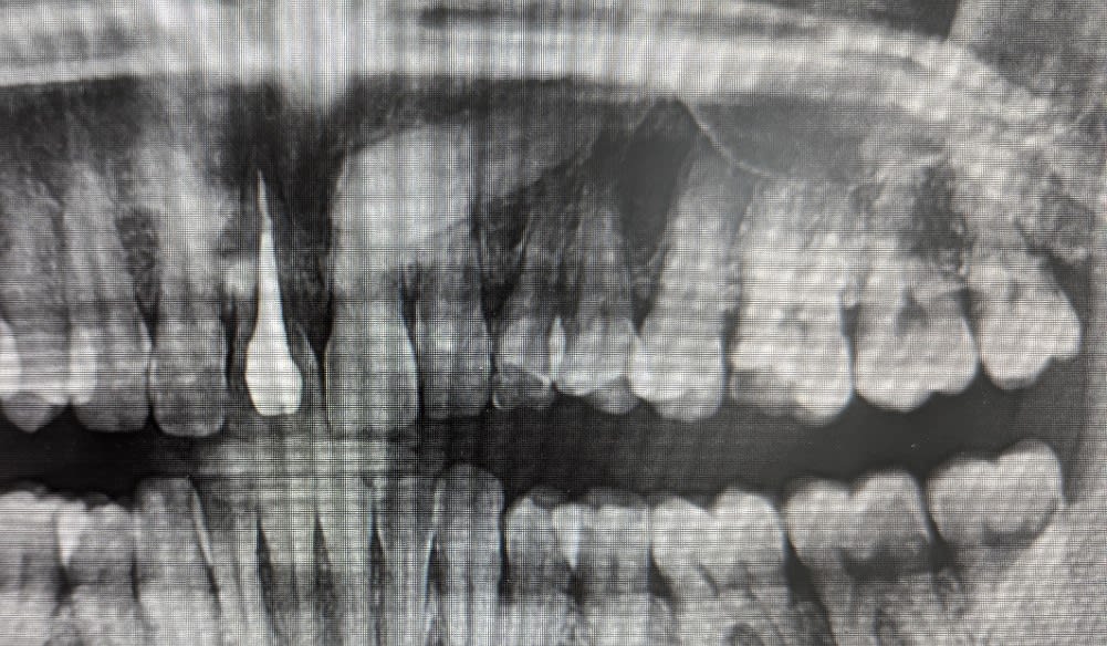
patiente dont la canine de lait 63 est devenue mobile ( je me demande s il n y a pas une fracture au niveau de la racine) et la canine incluse couchée à 90 degré occupe tout le volume osseux de la corticale externe à la corticale interne sous la 63. l option bridge collé pour remplacer la dent ne me parait pas trop viable dans le temps.
quelqun a déja posé un implant dans une canine incluse? il y a un protocole particulier? je vais forcement toucher le nerf de la canine et je ne vois pas trop comment ça peut aller correctement.
sinon je crains que l extraction de la canine incluse soit extrêmement délabrante et traumatisante même si c est l option qui semble la plus sage.
bref, je veux bien vos avis
merci d avance et bonne journée à tous

Wn6kmxyh99h9vdyn4vs4tvsm6kvh - Eugenol
Okn0urswshdxofwcncvfdfafgbvt - Eugenol
94bh5pe063xukl86og7l0n0trfyu - Eugenol
Svky04cvgyb5i9df81v7qp09s0ll - Eugenol

Jf35

03/09/2024 à 12h19

Âge patiente ?


Photo pluton1b h9n4ea - Eugenol
pluton

03/09/2024 à 12h21

Il y en a qui font….moi non
Contrairement à ce que tu crois amha cette canine est facile a extraire, tu combles en même temps que tu poses l’implant…


bouboule

03/09/2024 à 12h23

Pareil que Pluton, ça dégage! Pose d’implant et bio oss dans l’alvéole.


Rape p0as4f - Eugenol
rapelapente

03/09/2024 à 12h28

Extraction de la canine.
Par voie vestibulaire ou palatine, il faudrait plus de coupes pour décider.
Adresse si tu ne ne sens pas.
Attente une dizaine de mois la cicatrisation.
Puis implant, avec éventuel comblement si os insuffisant.
Traverser la canine est une aberration.
Même si certains s'y risquent.



--
Schooner For Ever


Photo pluton1b h9n4ea - Eugenol
pluton

03/09/2024 à 13h07

rapelapente écrivait:
-----------
> Extraction de la canine.
> Par voie vestibulaire ou palatine, il faudrait plus de coupes pour décider.
> Adresse si tu ne ne sens pas.
> Attente une dizaine de mois la cicatrisation.
> Puis implant, avec éventuel comblement si os insuffisant.
> Traverser la canine est une aberration.
> Même si certains s'y risquent.
>
Image de la canine plus grosse = position palatine à 100%
Elle se situe juste derrière les incisives
La seule difficulté, décoller la muqueuse palatine….
Un coup d’élévateur et c’est réglé…
A tous les coups il reste de l’os pour s’ancrer en apical, donc forage implant pose comblement par voie palatine, un bisou et c’est parti dans 3 mois les étapes prothétiques


Rape p0as4f - Eugenol
rapelapente

03/09/2024 à 13h16

Pour le bisou il faut absolument renseigner l'age ...


--
Schooner For Ever


boogy

03/09/2024 à 13h40

la patiente a 50 ans,
merci pour vos retour je sens pas le retrait de la canine je vais déléguer,
10 mois de cicatrisation avant l implant?


Jf35

03/09/2024 à 14h09

A 50 ans, faut bien motiver sa patiente pour extraire une canine incluse et gérer la dent de lait 63.
Pas sûr que la patiente s’engage dans ce processus.
On en reparle.


Rape p0as4f - Eugenol
rapelapente

03/09/2024 à 19h25

boogy écrivait:
-----
"" 10 mois de cicatrisation avant l implant?""

J'aime bien une cicatrisation complète avant de poser.
Tout le monde n'est pas de cet avis.
Pluton a très certainement raison (comme toujours :-)) pour la position palatine et l'ancrage apical.

Je suis peut-être trop prudent.
Mais il n'y a pas d'urgence, si tu peux conserver la lactéale pendant ce temps. Quitte à la coller au composite sur ses voisines.


--
Schooner For Ever


Olieve

03/09/2024 à 20h00

Après quand on voit cette coupe cbct, je ne suis pas certain que l’extraction soit une partie de plaisir.

3kr72pkkhhq6obxmpwwqtr4gndka - Eugenol

bouboule

03/09/2024 à 20h54

Dans les cas comme ça avec un océan d’os au dessus de la canine, je pose sans crainte et je comble l’alvéole.
J’ai déjà poussé jusqu’à mettre une provisoire sur implant quelques fois. Pour le coup là j’ai déjà eu des échecs, du coup sauf si c’est du béton, maintenant je me contente de poser l’implant sans provisoire dessus.
Pour ce qui est de la canine à extraire, c’est pas bien compliqué. Beaucoup moins qu’une dds couchée par exemple.


120 81 mdkvjo - Eugenol
Monaco

04/09/2024 à 06h41

Question plus théorique, si on fore directement dans la canine et on atteint la pulpe ? Nécrose de la canine et risque infectieux sous jacent qui reste à vie comme pour une dent exposée au milieu buccal ou non ?


Hok 1b hgd3rj - Eugenol
Hokusai

04/09/2024 à 09h17

Monaco écrivait:
------
> Question plus théorique, si on fore directement dans la canine et on atteint la
> pulpe ? Nécrose de la canine et risque infectieux sous jacent qui reste à vie
> comme pour une dent exposée au milieu buccal ou non ?

faut d'emblée faire l'endo de la canine incluse, comme ca pas de pbm.


120 81 mdkvjo - Eugenol
Monaco

04/09/2024 à 09h21

Sinon tu avulses la dent incluse, tu fais l'endo hors bouche, tu la replaces et tu fores ?


Hok 1b hgd3rj - Eugenol
Hokusai

04/09/2024 à 10h34

Monaco écrivait:
------
> Sinon tu avulses la dent incluse, tu fais l'endo hors bouche, tu la replaces et
> tu fores ?

oui... c est une eri et comme ca tu fais l economie du bio-oss...


Gabzou

04/09/2024 à 11h45

Monaco écrivait:
------
> Question plus théorique, si on fore directement dans la canine et on atteint la
> pulpe ? Nécrose de la canine et risque infectieux sous jacent qui reste à vie
> comme pour une dent exposée au milieu buccal ou non ?

Oui, j'ai eu un cas cette année: infection sur canine incluse, un implant avait été posé, avait foré la dent et touché la pulpe. Léger contact, mais ça a suffit: nécrose, résorption interne, infection.


120 81 mdkvjo - Eugenol
Monaco

04/09/2024 à 11h49

Gabzou écrivait:
------
> Monaco écrivait:
> ------
> > Question plus théorique, si on fore directement dans la canine et on atteint
> la
> > pulpe ? Nécrose de la canine et risque infectieux sous jacent qui reste à vie
> > comme pour une dent exposée au milieu buccal ou non ?
>
> Oui, j'ai eu un cas cette année: infection sur canine incluse, un implant avait
> été posé, avait foré la dent et touché la pulpe. Léger contact, mais ça a
> suffit: nécrose, résorption interne, infection.

Merci pour le retour. bien ce que je pensais


dcs67

04/09/2024 à 14h59

tu passes a travers sans aucun problème !tu passes mm a travers la pulpe !!


Gabzou

04/09/2024 à 16h06

J'ai retrouvé le cas que j'avais déjà posté ailleurs.

0k9ia9d2uqkio5vlgdafbql5m7ld - Eugenol

Hok 1b hgd3rj - Eugenol
Hokusai

04/09/2024 à 16h22

l endodonte est bien attaqué la... c etait voué a l échec.
c est dommage dans le sens ou y avait la place en vestibulaire pour eviter mieux la racine et ameliorer l axe prothétique...


boogy

04/09/2024 à 17h55

merci pour vos retours,
je ne suis pas un expert en implanto, je voudrais eviter de stresser et dormir la nuit alors clairement je vais déléguer le retrait de la canine .
sur les autres coupes la couronne est en palatin et l apex en vestibulaire, la dent occupe vraiment une grosse partie du volume osseux de de la crête .
je penche pour faire extraire combler et ensuite je pose l implant tranquille, j ai quand même des doutes sur la temporisation car le collage risque de ne pas être tres solide elle a une occlusion serrée. et la PA transitoire je suis pas sûr que ça lui dise...


bouboule

04/09/2024 à 18h05

Demande à assister à la chir, comme ça la suivante est pour toi!
Si tu passes par un comblement sans implant, tu n’auras pas de soucis de temporisation. Tu attends d’avoir de l’os de quantité suffisante puis implant et MCI. En attendant tu contentionnes la dent de lait ( fais le avant de faire virer la canine incluse, ça évitera l’accident bête …)


Rape p0as4f - Eugenol
rapelapente

04/09/2024 à 19h29

Si l'apex est vestibulaire c'est encore plus fastoche de la chopper en palatin, elle a déjà de l'angle et la lactéale sera moins exposée.
La patiente a-t-elle le choix ?
Si une mini PA transitoire est nécessaire elle fera avec.


--
Schooner For Ever


Dancha2

11/09/2024 à 20h54

rapelapente écrivait:
-----------
...
> La patiente a-t-elle le choix ?
...
>

Oui, la patiente devrait aussi avoir le choix de faire tracter et mettre en place sa canine...

D


12