Cookie Consent byPrivacyPolicies.comcanine incluse et implant - Eugenol

canine incluse et implant

1 eugenol dmj5np - Eugenol
Dancha

27/09/2024 à 14h33

Qu'est-ce qu'on risquerait à tenter la traction de la canine ?
Aujourd'hui, on sait parfaitement mettre en place des canines incluses comme ça chez l'adulte avec des moyens relativement simples et extrêmement discrets, qu'est-ce qui l'empêcherait ici ?
Voir l'article de l'Orthodontie Française "Repousser les limites des possibilités de mise en place des canines incluses maxillaires ou mandibulaires avec le système simplifié CT8", paru en mai 2023 (Orthod F 2023;94:247-310).


Ylfwcw979cz1jnx9gfqeaxndiuzk - Eugenol
Algi

27/09/2024 à 16h14

Dancha le retour.... Content de te revoir ici, tu nous manquais.


--

On a toujours le choix mais entre quoi et quoi?
Vas-y boulégue et l'avenir te le dira!


sexmo

28/09/2024 à 20h45

Bonjour,

je ne suis pas dentiste omni ni implantologue, mais il serait bien de proposer 2 alternatives au patient non ?

1- soit extraction/implantation/prothèse (avec devis, coût, durée, maintenance)
2-soit diriger vers un ODF (que je suis) qui pourrait éventuellement voir si la traction est possible (avec devis, coût, durée, maintenance). Pour ma part, chez les adultes qui veulent un dispositif assez discret, simple et biomécaniquement génial, j'utiliserai la technique de Daniel CHILLES.

Bien à vous.


al13

01/10/2024 à 21h40

Bonjour
j'ai posé des implants dans 3 cas similaires en transfixiant la canine , pas eu de problèmes avec un recul de 10 ans avant mon depart retraite .
voir les cas traités par Mithridate Davarpanah .


1 eugenol dmj5np - Eugenol
Dancha

18/10/2024 à 14h54

Exemple de traction discrète de canines chez une adulte. Système CT8.

3l9df69x2bipz0ddv2elnjhgglej - Eugenol

RookMoot

18/10/2024 à 15h41

quelle est la durée nécessaire pour la mise en place de la canine dans un cas comme celui ci ?


1 eugenol dmj5np - Eugenol
Dancha

18/10/2024 à 17h29

C'est très variable chez un adulte, il ne faut pas être pressé.
Dans le cas présenté ici, la mise en place totale de la canine depuis son collage a bien duré 4 ans.
Cependant, la traction elle-même ne gêne quasiment pas le patient, et dans tous les cas un éventuel traitement orthodontique complémentaire est beaucoup plus court car on ne le démarre que lorsque la canine a bien progressé.


bouboule

19/10/2024 à 09h06

Dancha écrivait:
------
> Exemple de traction discrète de canines chez une adulte. Système CT8.

Mouai… ok dans le cas que tu montres, parce qu’il y a un cantilever qui maintient l’espace…. Et encore! 4 ans d’une vie d’humain à se faire suer, c’est beaucoup. Surtout quand l’alternative prend 4 fois moins longtemps.
Sur la même pano, de l’autre côté, l’incluse a été extraite et le site finira peut être avec un implant si la 12 se fait la malle… pourquoi ne pas l’avoir laissée en place tant que la situation était stable?


boogy

21/10/2024 à 11h13

Bon finalement l implanto à opter pour implant à travers la canine en et mise en esthétique immédiate.
j avoue que vu l axe à presque 90 degré de la canine je n ai même pas pensé à la solution ortho .


1 eugenol dmj5np - Eugenol
Dancha

21/10/2024 à 12h21

bouboule écrivait:
--------
.. Mouai… ok dans le cas que tu montres, parce qu’il y a un cantilever qui
> maintient l’espace…. Et encore! 4 ans d’une vie d’humain à se faire suer, c’est
> beaucoup. Surtout quand l’alternative prend 4 fois moins longtemps.
> Sur la même pano, de l’autre côté, l’incluse a été extraite et le site finira
> peut être avec un implant si la 12 se fait la malle… pourquoi ne pas l’avoir
> laissée en place tant que la situation était stable?

Tu dis des bêtises, bouboule, regarde un peu mieux et essaie de comprendre ce qui a été réalisé :
Tu verras qu'il n'y pas eu de "cantilever pour maintenir l'espace" , que la canine incluse de l'autre côté n'a pas été extraite et qu'au final les 2 canines sont en place et sont fonctionnelles.
Tu peux m'expliquer aussi pourquoi tu penses que la patiente puisse perdre sa 12 ? Là, c'est moi qui ne vois pas bien...





bouboule

21/10/2024 à 14h06

Dancha écrivait:
------
> bouboule écrivait:
> --------
> .. Mouai… ok dans le cas que tu montres, parce qu’il y a un cantilever qui
> > maintient l’espace…. Et encore! 4 ans d’une vie d’humain à se faire suer,
> c’est
> > beaucoup. Surtout quand l’alternative prend 4 fois moins longtemps.
> > Sur la même pano, de l’autre côté, l’incluse a été extraite et le site finira
> > peut être avec un implant si la 12 se fait la malle… pourquoi ne pas l’avoir
> > laissée en place tant que la situation était stable?
>
> Tu dis des bêtises, bouboule, regarde un peu mieux et essaie de comprendre ce
> qui a été réalisé :
> Tu verras qu'il n'y pas eu de "cantilever pour maintenir l'espace" , que la
> canine incluse de l'autre côté n'a pas été extraite et qu'au final les 2 canines
> sont en place et sont fonctionnelles.
> Tu peux m'expliquer aussi pourquoi tu penses que la patiente puisse perdre sa
> 12 ? Là, c'est moi qui ne vois pas bien...
>
>
>
>

Toutes mes confuses, elle a effectivement été tractée aussi, j’ai regardé trop vite. Ça ne change par contre pas mon opinion. 4 ans dans une vie, c’est long, trop long.


1 eugenol dmj5np - Eugenol
Dancha

21/10/2024 à 14h36

J'ai dit que la durée était variable, suivant les cas. Celle que j'ai indiquée était pour ce cas-là, ce peut être aussi plus court.
Le système de traction est autonome, il n'est que très peu visible et ne gêne quasiment pas. Il est en réalité très bien supporté par les patients.
L'activation elle-même est peu chronophage, elle se limite à raccourcir le fil qui émerge de la gencive au fur et à mesure de l'évolution de la dent.

Tu a écrit qu'une solution implantaire durait un an. Avec tous les aléas que cela comporte, sachant en plus que c'est une canine, ce n'est pas rien non plus.
Quand on a un patient qui a une dent incluse, il me paraît quand même plus élégant de lui proposer de la mettre en place plutôt que de la virer et la remplacer par un implant et une prothèse. Il doit en tous cas en avoir le choix, sinon cela peut-être considéré comme une perte de chance.


bouboule

22/10/2024 à 10h28

Dancha écrivait:
------

> Tu a écrit qu'une solution implantaire durait un an. Avec tous les aléas que
> cela comporte, sachant en plus que c'est une canine, ce n'est pas rien non plus.
> Quand on a un patient qui a une dent incluse, il me paraît quand même plus
> élégant de lui proposer de la mettre en place plutôt que de la virer et la
> remplacer par un implant et une prothèse. Il doit en tous cas en avoir le choix,
> sinon cela peut-être considéré comme une perte de chance.

Un cas de canine incluse avec de l’os résiduel au dessus, en 4 mois c’est réglé. 8 grand max s’il faut combler et attendre avant de poser. Je me suis trompé là aussi, en fait c’est pas 4 fois plus long l’ortho, plutôt entre 6 et 8 fois :-).
Pour ce qui est de l’élégance supposée d’un traitement versus l’autre, elle est très subjective. Perso les fils métalliques de partout pendant des années, avec ce que ça implique niveau confort et maintien de l’hygiène je suis pas fan. Les morceaux de bavettes coincées dans la ferraille en sortant de la brasserie je trouve ça tout sauf élégant…

Pour ce qui est de donner le choix là nous sommes d’accord. Dans ce type de traitement, j’en ai peut être 1 sur 5 qui vont prendre rdv chez l’ortho et ensuite la stat est simple, je n’en ai eu qu’une en presque 20 ans qui a pris la solution ortho…. À raison puisque dans son cas il y avait bien plus qu’une canine incluse à gérer…
Je parle d’adulte bien entendu. La réalité est bien différente chez les jeunes…

Édit: l’extraction d’une canine incluse est on ne peut plus simple. Bien plus qu’une dds incluse avec le NAI qui se balade au milieu. Bien souvent en 10/15 minutes c’est plié. 30 pour les plus pénibles….


1 eugenol dmj5np - Eugenol
Dancha

22/10/2024 à 11h09

bouboule écrivait:
--------
> ... Perso les fils métalliques de partout pendant des années, avec
> ce que ça implique niveau confort et maintien de l’hygiène je suis pas fan. Les
> morceaux de bavettes coincées dans la ferraille en sortant de la brasserie je
> trouve ça tout sauf élégant…
....
>
> Édit: l’extraction d’une canine incluse est on ne peut plus simple. Bien plus
> qu’une dds incluse avec le NAI qui se balade au milieu. Bien souvent en 10/15
> minutes c’est plié. 30 pour les plus pénibles….

Encore une fois, tu n'as pas bien regardé !
Où as-tu vu des fils métalliques de partout pendant de années dans le cas que j'ai montré ?
Les techniques de traction et mise en place des canines incluses ont bien évolué ces derniers temps, ton orthodontiste n'en est peut-être pas bien informé s'il n'en pratique que rarement.

Et dans ce cas-ci, que proposerais-tu ? Implant ou traction de la canine ? Je précise que cette brave dame a une cinquantaine d'années.

O9npf8vsnl1tnb431oocmpu9yujy - Eugenol

bouboule

22/10/2024 à 11h37

Ben j’ai regardé tes photos?! Perso je ne voudrais pas avoir tout ça en bouche… autant à 15 piges quand tout le monde y passe ok , mais à 40 ou 50…
Pour le cas que tu montres, ça dépend du scan mais à priori il y a de l’os, peut être même sans avoir à toucher à la canine…


1 eugenol dmj5np - Eugenol
Dancha

26/10/2024 à 18h11

bouboule écrivait:
--------
> Ben j’ai regardé tes photos?! Perso je ne voudrais pas avoir tout ça en bouche…
> autant à 15 piges quand tout le monde y passe ok , mais à 40 ou 50…

La partie orthodontie (en lingual), limitée à la phase de finition, a duré moins de 20% du temps global de traitement.

> Pour le cas que tu montres, … à priori il y a de l’os, peut
> être même sans avoir à toucher à la canine…

… ce qui signifie qu’il était parfaitement inutile que je la tracte et la mette en place !
Critique et dénigre tout ce que tu veux, bouboule, j’ai réalisé, moi, ce que le praticien m’avait demandé de faire. Je transmettrai donc à mon correspondant ton expertise afin qu’il se rende compte de son ignorance car il serait temps qu’il sache qu’un implant, c’est beaucoup mieux qu’une dent naturelle.
Mais dis-toi bien que tout ça devient un peu pénible et ne me donne pas vraiment envie de continuer, d’autant plus que je n’ai moi-même ici plus rien à prouver !

Pour en revenir au cas, la traction a été faite tout naturellement avec un CT8.
Ce système simplifié CT8, limité à une « canne à pêche » fixée sur 2 microvis placées en fin de vestibule dans le processus zygomatique représente un véritable changement de paradigme du traitement des canines.
C’est toujours le même protocole de pose :



Tous les détails dans l’article de l’Orthodontie Française de 2023 déjà cité le 27 septembre "Repousser les limites des possibilités de mise en place des canines incluses maxillaires ou mandibulaires avec le système simplifié CT8" (article le plus lu par les abonnés pour l’année 2023).

La finition a été ici réalisée uniquement avec un fil NiTi léger passé dans des attaches en résine composite photopolymérisées extemporanément.
La fabrication et l’utilisation de ce système d’attaches sont présentées dans ces 2 articles de l’Orthodontie Française :
L’Orthodontie autrement. Des attaches extemporanées réalisées en résine composite. Orthod Fr. 2009;80:305-12.
L’Orthodontie autrement. Du torque sans torque. Orthod Fr 2013;84:271-6. (Prix du meilleur article clinique européen 2013-2014 décerné par la Fédération Européenne d'Orthodontie.)


bouboule

26/10/2024 à 18h22

Dancha écrivait:
------
> bouboule écrivait:
> --------
> > Ben j’ai regardé tes photos?! Perso je ne voudrais pas avoir tout ça en
> bouche…
> > autant à 15 piges quand tout le monde y passe ok , mais à 40 ou 50…
>
> La partie orthodontie (en lingual), limitée à la phase de finition, a duré moins
> de 20% du temps global de traitement.
>
> > Pour le cas que tu montres, … à priori il y a de l’os, peut
> > être même sans avoir à toucher à la canine…
>
>
> Critique et dénigre tout ce que tu veux, bouboule, j’ai réalisé, moi, ce que le
> praticien m’avait demandé de faire.


😳😳 redescends de ton p’tit cheval, je suis critique oui, je trouve ça trop long et trop contraignant. Par contre dénigrer tu t’enflammes! C’est pas parce que je suis pas fan de ton traitement que je te dénigre!!

Je transmettrai donc à mon correspondant ton
> expertise afin qu’il se rende compte de son ignorance car il serait temps qu’il
> sache qu’un implant, c’est beaucoup mieux qu’une dent naturelle.

Tu déformes! Je n’ai jamais ni écrit ni même pensé ça…

> Mais dis-toi bien que tout ça devient un peu pénible et ne me donne pas vraiment
> envie de continuer, d’autant plus que je n’ai moi-même ici plus rien à prouver !
>

Ben j’y suis pas pour grand chose… je vais pas me rouler par terre.
T’arrives sur ce fil et tu montres un truc en disant: « tu ferai quoi? »!
Ma réponse ne correspond pas à ce que tu fais toi, qu’est-ce que j’y peux? J’ai quand même le droit de penser que plusieurs années de traitement avec tout ce que ça implique versus un implant, ben je préfère la version simple et courte. Et que ça ne te plaise pas je m’en tamponne un peu! C’est quand même fou de ne pas supporter la contradiction…


Photo pluton1b h9n4ea - Eugenol
pluton

27/10/2024 à 08h37

Du calme les gars….
Bon je vais essayer de faire un peu l’arbitre vu que non seulement j’ai la casquette implanto, mais aussi celle d’ortho 😁
En fait vous avez tous les deux raison….mais tout ça fluctue en fonction du cas clinique global, du projet de réhabilitation, du temps à consacrer ainsi qu’au budget (et ça c’est le patient qui prend la décision….)
Dancha, dans le dernier cas, avec la pano où la 23 est horizontale, avec 8/10 mm d’os en dessous, désolé mais même avec une ROG le budget sera en faveur de l’implant…
4 ans a 600 balles ( je suis gentil) le semestre, ça fait près de 5000€ avec zéro remboursement SS, un peu la mutuelle mais ça casse pas 3 pattes à un canard…
Dans le même temps chez moi, l’implant, ROG, provisoire etc…sera dans les 2000€, sans compter les prestations SS pour la couronne sur implant ni celle de la mutuelle
C’est fluctuant, mais bien souvent ça prend en charge environ 50%, donc tu vois le choix des patients se fait vite, d’autant que tu as 2 traitements dont les temps nécessaires n’ont rien à voir….4 ans, vs quelques mois…
Par contre clairement, dans d’autres situations où la canine est quasiment juste sous muqueuse…..là c’est toi qui a entièrement raison de proposer en priorité la traction

Bref comme bien souvent, ce sont les rapports bénéfices / risques et budget / temps que le patient est prêt à consentir qui vont déterminer la procédure à suivre…
Bon WE les copains


moritooth

27/10/2024 à 09h41

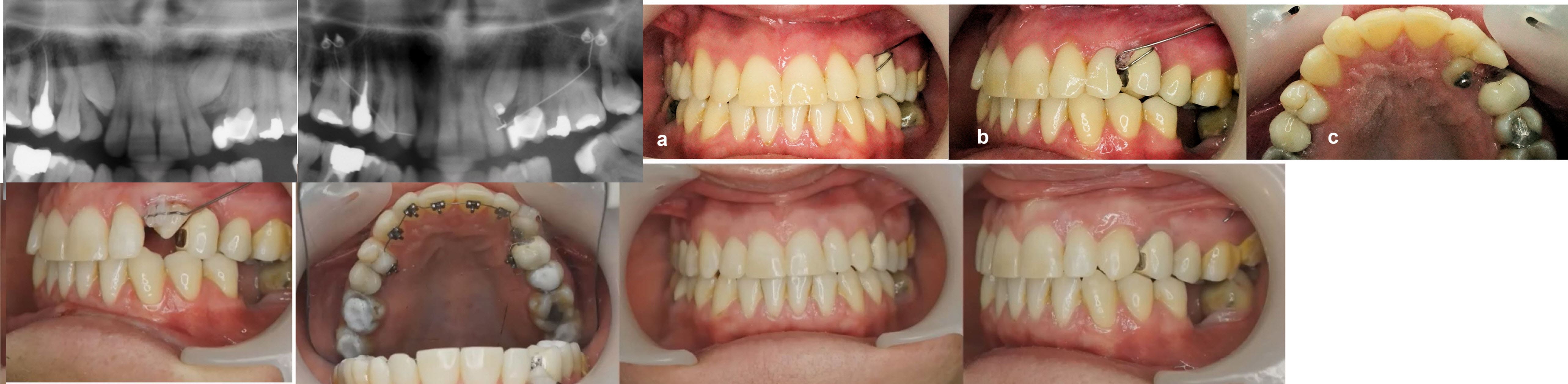
Sur le deuxième cas présenté (celui des radios) le parodonte n'a pas suivi la 23, créant des poches infraosseuses qui vont être compliquées à gérer, et risque de compromettre l'avenir de cette canine. On a même l'impression que la 24 en a pris un coup, "parodontalement" parlant, et le contexte d'édentation partielle préexistant ne va pas aider sur le plan occlusal...
Je suppose qu'il y a eu une traitement paro-occluso-prothèse derrière pour pérenniser et stabiliser le tout. Sinon était-ce la bonne indication ?


1 eugenol dmj5np - Eugenol
Dancha

27/10/2024 à 13h54

moritooth écrivait:
> ...
> Je suppose qu'il y a eu une traitement paro-occluso-prothèse derrière pour
> pérenniser et stabiliser le tout. Sinon était-ce la bonne indication ?

Tu as raison, ce n'était pas un traitement à présenter sur ce forum. J'ai supprimé les images des radios. Toutes les fois où j'ai présenté ce cas en conférence ou en cours, je l'ai fait sous forme d'animation PP et disais en substence que s'il n'y avait pas beaucoup d'os à l'arrivée, il y en avait encore moins au départ. À partir du moment où on considére (bouboule) qu'il y a quand même assez d'os au départ (!) pour placer un implant, le problème se pose différemment et l'indication de la traction ne se pose évidemment plus.


bouboule

27/10/2024 à 14h34

Dancha écrivait:
------ À partir du moment où on considére (bouboule) qu'il y a quand
> même assez d'os au départ (!) pour placer un implant, le problème se pose
> différemment et l'indication de la traction ne se pose évidemment plus.
>

Tu déformes encore…. J’ai écrit : « Pour le cas que tu montres, ÇA DÉPEND du scan mais À PRIORI il y a de l’os, PEUT ÊTRE MÊME sans avoir à toucher à la canine… »

supprimer tous les visuels de ton post parce que certains pointent des détails qui questionnent… (!)


12