Cookie Consent byPrivacyPolicies.comRésorption 12 - Eugenol

Résorption 12

Images oecc9d ijdijh - Eugenol
Akrobat

01/10/2024 à 17h55

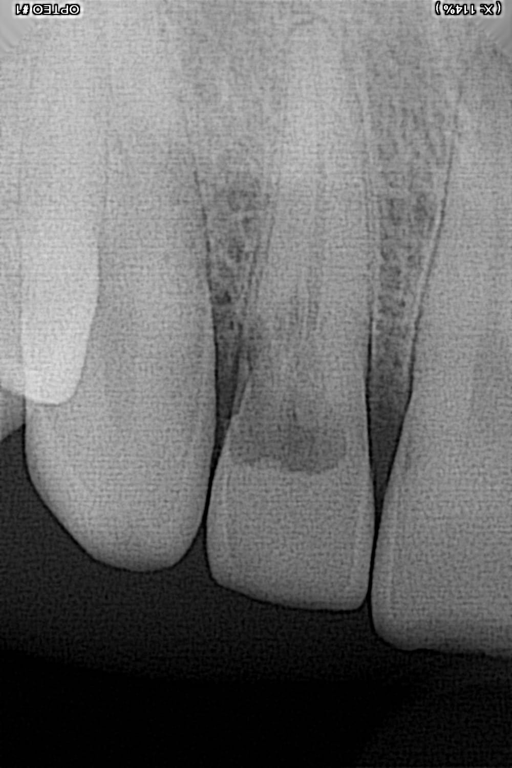
Découverte fortuite, petit puis infra gingival au collet. Dent asymptomatique. Y a t'il autre chose à faire qu'une extraction et un implant?


--
Tacheron

Ydx81fcau14gxvkipyvvraosc0zx - Eugenol

Et7jtaj0pdi18gzjlxjiamlx15gs - Eugenol
Prunelles

01/10/2024 à 19h45

Tu poses la question pour gagner du temps ou pour trouver une alternative thérapeutique viable ?

Pour moi c’est foutu et je ne conseillerais pas de “bricoler” quoique ce soit au risque d’accentuer la perte osseuse en vestibulaire et donc le résultat esthétique si implant par la suite.


Hok 1b hgd3rj - Eugenol
Hokusai

01/10/2024 à 19h48

Akrobat écrivait:
-------
> a t'il autre chose à faire qu'une extraction et un implant?

a mon avis non... tout ce qui pourrait etre tenté meme a moyen terme sera préjudiciable a la réhabilitation implantaire


Images oecc9d ijdijh - Eugenol
Akrobat

01/10/2024 à 19h53

C'était bien mon avis aussi mais je me disais que peut être que d'autres auraient des idées plus novatrices que les miennes (ceci dit bien souvent les idées novatrices ne sont pas les meilleurs et don vite abandonnée).
Merci pour vos avis et si d'autres on des idées novatrices, je les veux bien.


--
Tacheron


Ylfwcw979cz1jnx9gfqeaxndiuzk - Eugenol
Algi

01/10/2024 à 20h17

Obturation a la biodentine et tu surveilles sur quelques mois mais effectivement si ça foire esthétiquement ça va pas être top moumoute.


--

On a toujours le choix mais entre quoi et quoi?
Vas-y boulégue et l'avenir te le dira!


Ylfwcw979cz1jnx9gfqeaxndiuzk - Eugenol
Algi

01/10/2024 à 20h18

Sinon la tracter et faire descendre la dent pour récupérer de la dent saine mais pareil risqué...


--

On a toujours le choix mais entre quoi et quoi?
Vas-y boulégue et l'avenir te le dira!


Jf35

01/10/2024 à 22h25

Découverte fortuite?
Pourquoi la radio ?
Le patient se plaignait au niveau de la gencive ? Spot rose?
La résorption est sous l’os.
Tu ne peux pas stabiliser et la dent sera cassante.
Bridge collé ou implant.


Nouveau image bitmap fz77zh - Eugenol
Sethef

02/10/2024 à 06h50

Sur un cas un peu similaire, mais moins avancé, j'ai fait une fois endo+compo "de l'intérieur", à ce stade la lésion est stabilisée depuis 1 an à peu près.

La principale difficulté, moyennement gérée dans mon cas, a été le profil d'émergence du fait de la difficulté à positionner la matrice, je pense que je réaliserai une céramique dans le futur, lorsque l'on sera bien certain que tout va bien.


Hok 1b hgd3rj - Eugenol
Hokusai

02/10/2024 à 07h43

le patient a l air tres jeune...


Jack 2 wm3tqs - Eugenol
Treponem

02/10/2024 à 09h19

Sethef écrivait:
------
> Sur un cas un peu similaire, mais moins avancé, j'ai fait une fois endo+compo
> "de l'intérieur", à ce stade la lésion est stabilisée depuis 1 an à peu près.
>
> La principale difficulté, moyennement gérée dans mon cas, a été le profil
> d'émergence du fait de la difficulté à positionner la matrice, je pense que je
> réaliserai une céramique dans le futur, lorsque l'on sera bien certain que tout
> va bien.

Pareil, déjà réalisé sur des pm, et molaires à des stades différents. Ça s'est toujours soldé avec une gencive dégueulasse(même si polissage consciencieux), avec récession, dans premier temps, puis une reprise de la lésion au bout d’une dizaine d’années. Et exo avec perte osseuse en regard de la lésion. Donc pas ultra optimiste pour un tel traitement en antérieur. Bon courage :(


Images oecc9d ijdijh - Eugenol
Akrobat

02/10/2024 à 09h29

Le patient n'est pas jeune, il a 43 ans. Mais a part ça, sa denture est nickel. Découverte fortuite, j'ai fait une radio parce que la dent était un peu rosée effectivement. La gencive est clean. Ce sera sûrement extraction implant alors. Merci


--
Tacheron


Hok 1b hgd3rj - Eugenol
Hokusai

02/10/2024 à 09h37

bin le parodonte est nickel chrome pour son age. go l implanter sans aucune hesitation aucune ;)
toute tentative de conservation se soldera par la lesion du parodonte :

il conservera sa restauration implantaire ad vitam.


Dentarue

02/10/2024 à 09h55

Ça paraît tellement évident…


Et7jtaj0pdi18gzjlxjiamlx15gs - Eugenol
Prunelles

02/10/2024 à 09h57

Treponem écrivait:
--------
> puis une reprise de la lésion au bout d’une dizaine d’années.

Reprise carieuse ou reprise de la résorption ?


Jack 2 wm3tqs - Eugenol
Treponem

02/10/2024 à 10h33

De la résorption, même si curetage plus que consciencieux. Un enfer ces résorptions.


Et7jtaj0pdi18gzjlxjiamlx15gs - Eugenol
Prunelles

02/10/2024 à 10h59

Je pensais qu'un fois le tissu de granulation cureté le problème était stoppé.
Est ce que vous pensez que le type de restauration (compo, CVI ou couronne) peut influencer la reprise de la résorption ?


Jack 2 wm3tqs - Eugenol
Treponem

02/10/2024 à 12h43

Ce que je croyais aussi. Soit je suis mauvais (ce dont je ne doute pas ^^) ou peut-être un peu timide pour ne pas fragiliser la dent, soit c'est du bullshit et ça reprend systématiquement., plus ou moins vite.


Nouveau image bitmap fz77zh - Eugenol
Sethef

02/10/2024 à 14h17

Prunelles écrivait:
---------
> Je pensais qu'un fois le tissu de granulation cureté le problème était stoppé.


J'étais bien du même avis, donc je suis ennuyé.
J'ai quelques cas en postérieur qui n'ont pas (encore?) posé souci, avec des céramiques.
En antérieur, je n'ai pas souvenir d'un autre cas que celui évoqué ci-dessus.


Nouveau image bitmap fz77zh - Eugenol
Sethef

02/10/2024 à 14h26


En recherchant, j'ai retrouvé un cas en place depuis 6 ans, qui s'est fini par endo+ccm sur une 46.
Pas de récidive de la résorption, mais une atteinte paro localisée en mésiale de la racine touchée à l'époque.
Pas de terrain paro par ailleurs.


Dentarue

02/10/2024 à 15h36

Beau témoignage, ça fait froid dans le dos mais chaud dans le coeur ❤️