Cookie Consent byPrivacyPolicies.comSuite chute. - Eugenol

Suite chute.

P2eqdh3csim6s7nb09ktdq3e7ev8 - Eugenol
barbabapat

03/12/2024 à 19h01

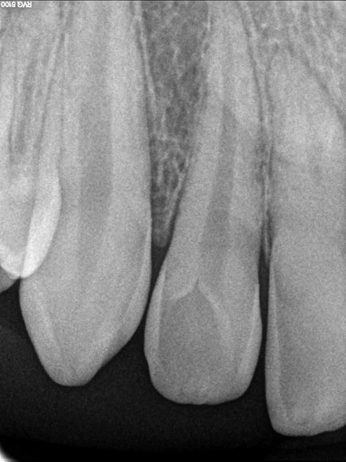
Patient de 13 ans qui consulte après un épisode douloureux qui a disparus.
Potentiellement chute à 7-8 ans.

21 arrêt de la production dentinaire.
11 au contraire hyperproduction et fermeture de la lumière canalaire.

Long terme, le pronostic est mauvais.

O34unow6gb088d911hspz7xbym64 - Eugenol
6o0qjjld6dfw486dctrot2sh4rv2 - Eugenol
Ivuywocwfcglc3oya2pyl3i15cxk - Eugenol

Et7jtaj0pdi18gzjlxjiamlx15gs - Eugenol
Prunelles

03/12/2024 à 19h27

barbabapat écrivait:
----------
> Long terme, le pronostic est mauvais.

Pourquoi ?


P2eqdh3csim6s7nb09ktdq3e7ev8 - Eugenol
barbabapat

03/12/2024 à 19h45

Prunelles écrivait:
---------
> barbabapat écrivait:
> ----------
> > Long terme, le pronostic est mauvais.
>
> Pourquoi ?

21 arrêt de l’édification radiculaire. Ca va se finir avec une nécrose et un cône moulé.
11, il va falloir forer bien pour trouver le nerf.


Jf35

03/12/2024 à 19h51

Douleur, c’est à dire?


croc1765

03/12/2024 à 20h02

barbabapat écrivait:
----------
> Prunelles écrivait:
> ---------
> > barbabapat écrivait:
> > ----------
> > > Long terme, le pronostic est mauvais.
> >
> > Pourquoi ?
>
> 21 arrêt de l’édification radiculaire. Ca va se finir avec une nécrose et un
> cône moulé.
> 11, il va falloir forer bien pour trouver le nerf.
Pourquoi devoir obligatoirement dévitaliser la 11?.


P2eqdh3csim6s7nb09ktdq3e7ev8 - Eugenol
barbabapat

03/12/2024 à 21h05

croc1765 écrivait:
--------
> barbabapat écrivait:
> ----------
> > Prunelles écrivait:
> > ---------
> > > barbabapat écrivait:
> > > ----------
> > > > Long terme, le pronostic est mauvais.
> > >
> > > Pourquoi ?
> >
> > 21 arrêt de l’édification radiculaire. Ca va se finir avec une nécrose et un
> > cône moulé.
> > 11, il va falloir forer bien pour trouver le nerf.
> Pourquoi devoir obligatoirement dévitaliser la 11?.

Elle sera à dévitaliser un jour. Aujourd'hui peu être pas, mais tu as sur les deux racines les conséquences d'un choc.
Ces dents méritent déjà un suivis qui n' a pas été fait en premier lieu. Mais la nécrose arrivera.


P2eqdh3csim6s7nb09ktdq3e7ev8 - Eugenol
barbabapat

03/12/2024 à 21h13

Jf35 écrivait:
----
> Douleur, c’est à dire?

Rien, c'est le motif de la consultation qui permet la découverte fortuite de l’état des racines sinon il n'y aurait pas eut de radios dans le cadre d'une absence de suivis suite à une chute décrite comme possible par le patient avec l’évocation d'un processus de nécrose à bas bruit.
Enfant placé et douleur suffisante pour que l'encadrement prenne un rendez-vous. Reste que la situation semble moins douloureuse.


croc1765

03/12/2024 à 21h31

En test de vitalité cela a donné quoi?


P2eqdh3csim6s7nb09ktdq3e7ev8 - Eugenol
barbabapat

03/12/2024 à 22h06

croc1765 écrivait:
--------
> En test de vitalité cela a donné quoi?

C'est pas le problème.
Le problème est la découverte fortuite et la question du suivis manquant au départ et compliqué par le placement.
C'est pas pour discuter du traitement mais pour illustrer les deux phénomènes de réponse radiculaire à un choc que j'ai fait le sujet.
Pour l'instant suivis et surveillance et réévaluation avant de vouloir se lancer dans les endos. Retour à la normale en terme de douleur et absence d'autres signes de souffrance pulpaire.


croc1765

03/12/2024 à 23h35

Perso sur une chute potentielle il y a 5 - 6 ans je teste la vitalité et même en découverte fortuite
Mais c’est perso


Blue eye thumb medium dx1i0w - Eugenol
bill

03/12/2024 à 23h46

La nécrose septique n'est pas obligatoire.
J'ai le cas d'une patiente avec une 11 totalement calcifiée, lumière canalaire invisible, aucune réponse au test de vitalité, dent légèrement opaque que l'on a "blanchie" avec un traitement externe -> aucune douleur, aucune gêne, aucune image apicale...
Endo juste impossible de toute manière.
Ça fait 15 ans que ça dure.


--
https://docudent.fr
La plus importante base
documentaire dentaire francophone
_______________________________



croc1765

04/12/2024 à 00h02

bill écrivait:
----
> La nécrose septique n'est pas obligatoire.
> J'ai le cas d'une patiente avec une 11 totalement calcifiée, lumière canalaire
> invisible, aucune réponse au test de vitalité, dent légèrement opaque que l'on a
> "blanchie" avec un traitement externe -> aucune douleur, aucune gêne, aucune
> image apicale...
> Endo juste impossible de toute manière.
> Ça fait 15 ans que ça dure.
>
>
> --
> https://docudent.fr
> La plus importante base
> documentaire dentaire francophone
> _______________________________
>
Entièrement D’accord avec toi
mais dans le cas précis ici les lumières canalaires sont visibles .
C’était juste un élément clinique à noter


P2eqdh3csim6s7nb09ktdq3e7ev8 - Eugenol
barbabapat

04/12/2024 à 07h30

bill écrivait:
----
> La nécrose septique n'est pas obligatoire.
> J'ai le cas d'une patiente avec une 11 totalement calcifiée, lumière canalaire
> invisible, aucune réponse au test de vitalité, dent légèrement opaque que l'on a
> "blanchie" avec un traitement externe -> aucune douleur, aucune gêne, aucune
> image apicale...
> Endo juste impossible de toute manière.
> Ça fait 15 ans que ça dure.
>
>
>
C'est bien pour cela que je parle en premier lieu de suivis dans le cadre d'un enfant placé. Maintenant si elle n'est pas obligatoire, elle peut arriver à un moment ou un autre.



Jf35

04/12/2024 à 07h39

Il a du se remanger un coup dans le dire.
As-tu un changement de teinte, + grise ou + jaune, fistule, rougeur dans le vestibule, mobilité, douleur à la percussion, test au froid?
Sinon surveillance.


Hok 1b hgd3rj - Eugenol
Hokusai

04/12/2024 à 07h47

pour réaliser les cavités d' accès pour ce type de traitement endodontique il faut faire un guide de forage exactement comme les guides chir de forage en implanto mais qui vise la chambre camérale (ou ce qu il en reste...) axe et profondeur.

https://dumas.ccsd.cnrs.fr/dumas-02632520/file/Odonto_2020_Helou.pdf


Et7jtaj0pdi18gzjlxjiamlx15gs - Eugenol
Prunelles

04/12/2024 à 07h57

Intéressant.
Je me demande néanmoins si une obturation à rétro ne serait pas mieux ici.


Hok 1b hgd3rj - Eugenol
Hokusai

04/12/2024 à 07h59

Prunelles écrivait:
---------
> Intéressant.
> Je me demande néanmoins si une obturation à rétro ne serait pas mieux ici.

nan... ce qui est recommandé ici c est de pas faire de suivi... extraire quand ça va plus et poser deux implants...

tout le reste faut pas faire ;)


Dentarue

04/12/2024 à 08h58

Même très très calcifié, invisible à la radio ça passe toujours, en tout cas sur les incisives maxillaires, et c’est pas pour faire le malin.
Il « suffit » de descendre très bas sous aide optique avec un certain type de fraises boules à long col.
La trace du canal est généralement plus sombre. Une 3D petit champ low dose peut être utile en per op parfois, mais ça passe toujours.
Les tests au froid quand c’est très très calcifié sont inutiles.
Ici pas de test de vitalité et radios limites exploitables, on ne conclura juste rien.
Un bon cbct et on en saura bien plus. C’est clairement une indication pour moi, avant de faire une mauvaise endo inutile avec une technique d’obturations obsolète.
Je n’y mets pas les formes, je suis au courant 🤷‍♂️


Et7jtaj0pdi18gzjlxjiamlx15gs - Eugenol
Prunelles

04/12/2024 à 09h25

Dentarue écrivait:
--------
> Même très très calcifié, invisible à la radio ça passe toujours, en tout cas sur les incisives maxillaires, et c’est pas pour faire le malin.
> Il « suffit » de descendre très bas sous aide optique avec un certain type de fraises boules à long col.

C'est à dire que tu "suis" ce qui reste du canal avec ta fraise col long jusqu'à la zone non calcifiée ?
Ou tu descends mm par mm jusqu'à pouvoir cathétériser avec une lime K 06 ou 08 ?


Dentarue écrivait:
--------
> ... que des trucs bien 👏

Ben tu vois que tu peux etre sympa quand tu veux.
Un p'tit recadrage des modos ?

Continue comme ça à être utile dans ta discipline et tu verras qu'on va même finir par t'apprécier.




Vw campersurfvan bmnk1q - Eugenol
enlaye

04/12/2024 à 09h49

Je confirme.


P2eqdh3csim6s7nb09ktdq3e7ev8 - Eugenol
barbabapat

04/12/2024 à 09h53

Jf35 écrivait:
----
> Il a du se remanger un coup dans le dire.
> As-tu un changement de teinte, + grise ou + jaune, fistule, rougeur dans le
> vestibule, mobilité, douleur à la percussion, test au froid?
> Sinon surveillance.

Découverte fortuite à la radio. Rien de choquant niveau teinte. rien de choquant niveau mobilité.
Si fistule, c'est pas de la surveillance. Retour à une absence de douleurs.


Dentarue

04/12/2024 à 10h11

Tu descends à la fraise boule centré sur le foncé et à un moment tu finis par voir un fin canal que tu commences au 06. C’est stressant, je n’aime pas faire.
Ne pas hésiter à prendre une 3d per op si on commence à être loin dans le canal, c’est la clé et c’est moins pire qu’une extraction.
Après si une cléf de forage ça se fabrique en un claquement de doigt pourquoi pas.


Jack 2 wm3tqs - Eugenol
Treponem

04/12/2024 à 10h39

Dentarue écrivait:
--------
> Tu descends à la fraise boule centré sur le foncé et à un moment tu finis par
> voir un fin canal que tu commences au 06. C’est stressant, je n’aime pas faire.
> Ne pas hésiter à prendre une 3d per op si on commence à être loin dans le canal,
> c’est la clé et c’est moins pire qu’une extraction.
> Après si une cléf de forage ça se fabrique en un claquement de doigt pourquoi
> pas.

Tout à fait, avec moultes radio pour l'axe MD, et excentrées pour l'axe VP (mais avec déformations +++ ), n'ayant pas de CB sous la main ...
Et résister à l'envie de passer sur une faire plus fine (type flamme) pour éviter de faire un "cul de sac" dans lequel les instruments vont toujours venir butter.
Grosse sueur quand tu commences à déclipser la fraise sur le CA pour gagner de la hauteur de coupe xD


Dentarue

04/12/2024 à 10h56

Bague bleue pour moi.


12