Cookie Consent byPrivacyPolicies.comUn cas d’agénésie unilatérale - Eugenol

Un cas d’agénésie unilatérale

1 eugenol dmj5np - Eugenol
Dancha

15/01/2025 à 17h40

Transplantation, pourquoi pas ?
Comme ici ?
Mais la forme n'est quand même pas idéale, vous ne trouvez pas ?

1wbxe2srvzxgem98vjygkmbu5ick - Eugenol
Rbpo7u8e70j106qt4cb4z2xyoab6 - Eugenol
Lgetfo8wms78p8rum71j5ucsxtxx - Eugenol
W5ntgvv0qydeni43w82dagiamz3j - Eugenol
Bag153479v3wc4kdplity56w9ee1 - Eugenol

1 eugenol dmj5np - Eugenol
Dancha

15/01/2025 à 17h46

saidkholoki écrivait:
-----------
> Salut Dancha,
> Bonne année a toi ainsi a tous les membres du forum.
> Pour rester dans la même idée citée plus haut, je ferme l'espace, je couronne la
> latérale et je mets la canine a la place de la latérale et ainsi de suite.
> Ou une autre solution, il s'agit de l'auto transplantation. Il parait que cela
> marche bien. Mais il faut "sacrifier" une prémolaire.
>

Bien content de te retrouver Saïd, ça fait un bail ! Bonne année à toi aussi.
Si tu fais comme ça, tu ne penses pas qu'une canine d'un côté et une latérale de l'autre ça fait pas très joli au niveau esthétique ?


1 eugenol dmj5np - Eugenol
Dancha

15/01/2025 à 18h05

Prunelles écrivait:
---------
> Allez je me lance...
> Instinctivement je serais plus dans le maintien de l'espace et le remplacement
> de la 21 par un implant après maturité osseuse.
> ..

Bravo pour t'être lancée, Prunelles !

Y aura-t-il aura assez d'os pour placer un implant ? L'absence de dent n'est pas un facteur favorable...
Une approche pourrait être celle-ci, décrite en 2022 dans cet article sur la gestion du volume osseux dans les cas d'agénésie de secondes prémolaires : - https://orthodontie-chirurgie-orale-belfort.fr/wp-content/uploads/2024/11/Infraclusions-molaires-temporaires.pdf -
Et à quel âge le placer ?
On en a déjà parlé également plus haut, un implant antérieur unitaire isolé est aussi un problème car avec le vieillissement du visage apparait progressivement un décalage avec les autres dents.


Et7jtaj0pdi18gzjlxjiamlx15gs - Eugenol
Prunelles

15/01/2025 à 20h03

On pourrait en écrire des pages sur le sujet…
On parle généralement de maturité osseuse vers 22ans. J’ai déjà lu qu’il fallait attendre jusqu’à 30ans… quid de la temporisation durant autant de temps ?
Sinon un volume osseux ça se guide/reconstruit. Les tissus mous ça peut se remodeler, et avec le vieillissement il est possible a minima de reprendre la couronne. En dernier recours un implant ça se dépose.
Mais je suis très loin d’être le plus qualifié pour parler de ça et peut importe l’option thérapeutique choisie, on jonglera toujours avec les compromis.

Dans ton cas de macrodontie, je trouve le résultat esthétique loin d’être désastreux. La ligne des collets est belle et la morphologie de la 21 de substitution pourrait être revue facilement avec une facette.


1 eugenol dmj5np - Eugenol
Dancha

16/01/2025 à 09h30

Prunelles écrivait:
---------
>...
> Dans ton cas de macrodontie, je trouve le résultat esthétique loin d’être
> désastreux. La ligne des collets est belle et la morphologie de la 21 de
> substitution pourrait être revue facilement avec une facette.

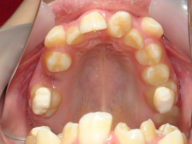
Tu as raison, c'est esthétiquement améliorable de face, cependant son épaisseur la rend trop vestibulaire.
Cela se voit bien ça sur la vue occlusale.


1 eugenol dmj5np - Eugenol
Dancha

16/01/2025 à 18h15

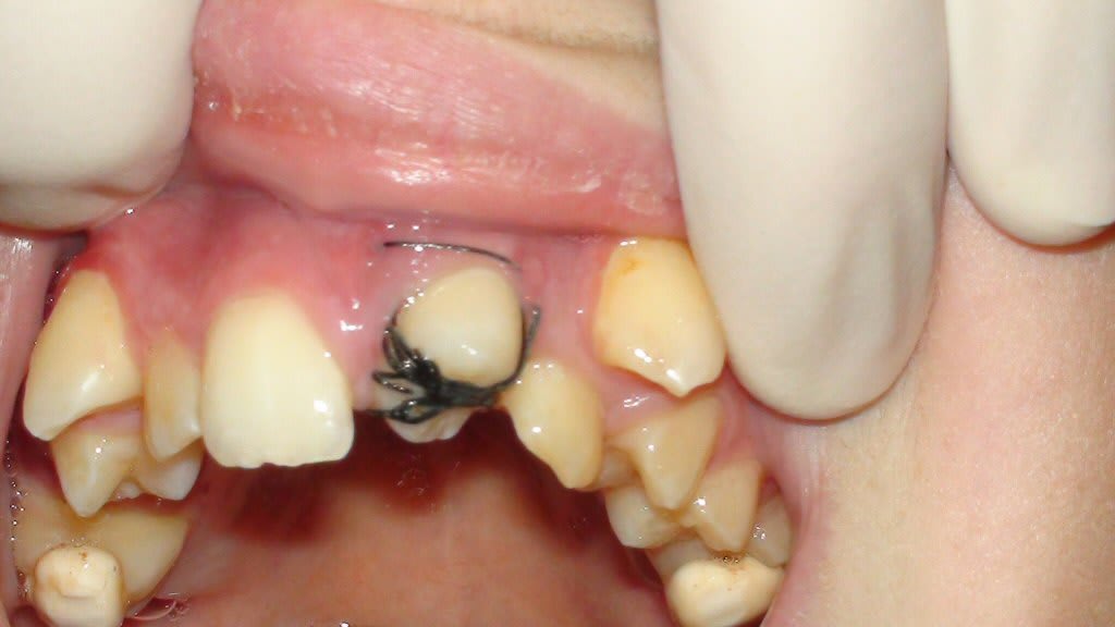
Rajoutons qu'ici l'alvéole de l'incisive était confortable pour y placer une prémolaire, ce qui n'est jamais le cas pour une jeune dont les parois osseuses vestibulaires et palatines de la dent éjectée sont résorbées, comme dans le cas que je présente.
Il faudrait donc pouvoir transplanter immédiatement après le traumatisme.
Mais aussi avec un niveau optimal de développement radiculaire du greffon…
Finalement peu de cas de traumatisme sont favorables pour une transplantation.


adhoc écrivait:
-----
> ...
> Dans ton cas, dancha, pas de présomption de ddm, entre classe 1 et classe 3
> dentaire, linguo version des incisives mandibulaires , presque sur d'une classe
> 3 squelettique , articulé serré: une couronne ceramique sur une 2 translatée
> pour moi va rendre la future prothese pas facile a faire et a maintenir. Je
> prefererais garder l'espace pour le futur implant .
> ...

Il n'y a pas urgence, on va attendre un peu pour décider...
La voici deux ans plus tard. Est-ce que la décision thérapeutique pour toi se précise mon cher Adhoc ?

X7228b1ko82iwirrpmlg2oyvztio - Eugenol

Y3rgx68nbpv7tqitq86azx8sf72v - Eugenol
ELGY

16/01/2025 à 19h07

Salut Dancha,
Curieux de voir la suite.
En 2 ans la 11 s’est mesialée et centrée sur la ligne médiane il me semble.
Je ne vois pas le cas sans distaler les secteurs latéraux maxillaires pour se retrouver en Cl I et réouvrir l’espace pour une future 21. Par contre il n’y aura pas d’os.
Je suis certain que tu as fait tout autre chose 🙂


1 eugenol dmj5np - Eugenol
Dancha

17/01/2025 à 15h38

adhoc écrivait:
-----
> ...
> Dans ton cas, dancha, pas de présomption de ddm, entre classe 1 et classe 3
> dentaire, linguo version des incisives mandibulaires , presque sur d'une classe
> 3 squelettique ,…


ELGY écrivait:
----
> …
> Je ne vois pas le cas sans distaler les secteurs latéraux maxillaires pour se
> retrouver en Cl I et réouvrir l’espace pour une future 21. …

C'est bien vu, Adhoc !
C'est bien vu, ELGY

Qu'en conclure ?
Que la nature a déjà fait spontanément un bout de chemin dans la direction de la fermeture !

Donc on ferme (images)!

Et après, on fait quoi ?

4rwcnisgeyt4wuroy82p09110jfq - Eugenol
Rujz3hlmx4bmk1oe16ry7lbol1zv - Eugenol

Et7jtaj0pdi18gzjlxjiamlx15gs - Eugenol
Prunelles

17/01/2025 à 16h51

Dancha écrivait:
------
> Et après, on fait quoi ?

Alignement des milieux, coronoplastie et gingivoplastie pour aligner les collets ?


1 eugenol dmj5np - Eugenol
Dancha

17/01/2025 à 17h38

Prunelles écrivait:
---------
>
> Alignement des milieux, coronoplastie et gingivoplastie pour aligner les collets
> ?

Le milieux, au maxillaire, c'est l'incisive centrale !
Comment pourrais-tu "aligner" avec l'arcade inférieure ?


Et7jtaj0pdi18gzjlxjiamlx15gs - Eugenol
Prunelles

17/01/2025 à 18h05

Tu l'as laissé en position centrale ?
J'imaginais choisir un milieu de substitution entre 11 et 22 pour l'aligner avec 41/31.


1 eugenol dmj5np - Eugenol
Dancha

17/01/2025 à 19h05

Prunelles écrivait:
---------
> Tu l'as laissé en position centrale ?

Elle l'est pour le moment, mais ce n'est pas très joli...

> J'imaginais choisir un milieu de substitution entre 11 et 22 pour l'aligner avec
> 41/31.

Imagine, propose, je suis preneur de toute bonne idée !



Et7jtaj0pdi18gzjlxjiamlx15gs - Eugenol
Prunelles

17/01/2025 à 20h00

Bonne idée je sais pas… donc n’hésite pas à me corriger dans ma réflexion si elle devient trop bancale.

Je pars du principe que l’alignement des milieux ou du moins s’en rapprocher est une priorité pour garantir l’esthétique du sourire.
Après tout, même Tom Cruise avec sa 11 au milieu du visage, a ses milieux alignés.
À partir de la j’oserais même proposer de retirer une incisive mandibulaire pour faciliter le travail mais apparemment ça n’a pas été ton choix ici.

Le choix du « nouveau milieu », entre 12/11 ou 11/22, dépendrait je pense de la morphologie/asymétrie du visage. Un logiciel de smile design serait un bonne outil ici.
Après il faudrait compenser la différence de morphologie entre la centrale et la latérale qui sert de centrale de substitution.
Soit l’on « gonfle » la latérale, avec du compo ou une facette. Mais la pérennité de cette solution me gêne un peu.
Aligner les collets aiderait ici pour grandir la latérale.
En parallèle on pourrait « réduire » la centrale avec un petit stripping par exemple.

Ça tient la route comme raisonnement ?


1 eugenol dmj5np - Eugenol
Dancha

17/01/2025 à 20h36

Prunelles écrivait:
---------
>
> Je pars du principe que l’alignement des milieux ou du moins s’en rapprocher est
> une priorité pour garantir l’esthétique du sourire.
> …

> Ça tient la route comme raisonnement ?

Oui, sauf qu'il faut aussi ne pas oublier de gérer l'occlusion latérale.
Comment vois-tu cela pratiquement (mésialisations/distalisation des secteurs latéraux) ?


Et7jtaj0pdi18gzjlxjiamlx15gs - Eugenol
Prunelles

18/01/2025 à 09h22

Supprimer une incisive mandibulaire ne serait pas suffisant pour garder un des secteurs latéraux en classe I et le second juste avec une tendance à la classe II ?

J’ai le droit de proposer d’ouvrir un diastème post-canin pour corriger la classe II ?


Y3rgx68nbpv7tqitq86azx8sf72v - Eugenol
ELGY

18/01/2025 à 10h13

Il faut tout recentrer au maxillaire.
Un indice dans les 5 non baguées ?


1 eugenol dmj5np - Eugenol
Dancha

18/01/2025 à 10h31

Prunelles écrivait:
---------
> J’ai le droit de proposer d’ouvrir un diastème post-canin pour corriger la
> classe II ?

Bien sûr que tu as le droit !
Tu peux faire tout ce que tu veux à ce stade, c'est le résultat qui sera le seul juge.

Personnellement, j'aimerais bien que cela paraisse symétrique en fin de traitement et également que les milieux soient au milieu.


1 eugenol dmj5np - Eugenol
Dancha

18/01/2025 à 10h37

ELGY écrivait:
----
> Il faut tout recentrer au maxillaire.
> Un indice dans les 5 non baguées ?

Recentrer, d'accord, mais comment ?
Et dans ce cas, on déplace à gauche ou à droite ?
Non, les 5 non baguées ne sont pas un indice, c'est uniquement une fantaisie de ma part par rapport à la technique employée


1 eugenol dmj5np - Eugenol
Dancha

18/01/2025 à 10h44

Message en doublon, annulé.


Y3rgx68nbpv7tqitq86azx8sf72v - Eugenol
ELGY

18/01/2025 à 11h12

Elle est toute moche cette 11 en plein milieu. Et le frein labial median en travers aussi.
Recentrer sur la droite mais pour que le frein suive je ne vois pas autre chose que de la chirurgie. Je pense que tu vas nous sortir une mécanique du feu de dieu 🔥


1 eugenol dmj5np - Eugenol
Dancha

18/01/2025 à 12h13

ELGY écrivait:
----
> ..
> Recentrer sur la droite mais pour que le frein suive je ne vois pas autre chose
> que de la chirurgie.
> ..

Pour recentrer à droite, avec quels moyens distales-tu le côté droit ?
Des vis ?
Si oui, tu les places où ?


1 eugenol dmj5np - Eugenol
Dancha

18/01/2025 à 16h19

Je plaisantais en parlant de vis, Elgy, il y beaucoup plus simple !
Inutile de chercher midi à 14 heures !


Y3rgx68nbpv7tqitq86azx8sf72v - Eugenol
ELGY

18/01/2025 à 17h10

Pas trouvé.
Mais je suis un peu en mode WE 😉


1 eugenol dmj5np - Eugenol
Dancha

18/01/2025 à 17h29

Prunelles, pas trouvé non plus ?
C'est pourtant archi-simple !
Après ce cas-ci, je vous en présenterai encore 2 autres du même type, mais un peu plus compliqués au niveau traitement.


Et7jtaj0pdi18gzjlxjiamlx15gs - Eugenol
Prunelles

18/01/2025 à 17h58

Pas mieux.


123...