Cookie Consent byPrivacyPolicies.comUn cas d’agénésie unilatérale - Eugenol

Un cas d’agénésie unilatérale

Cé23

19/12/2024 à 09h47

Bonjour à tous !
J’aimerais avoir votre avis sur la façon dont vous traiteriez ce cas ?
J’ai également posté sur un autre groupe, je prends toutes les propositions de traitement qui puissent exister car ce cas me fait beaucoup hésiter.

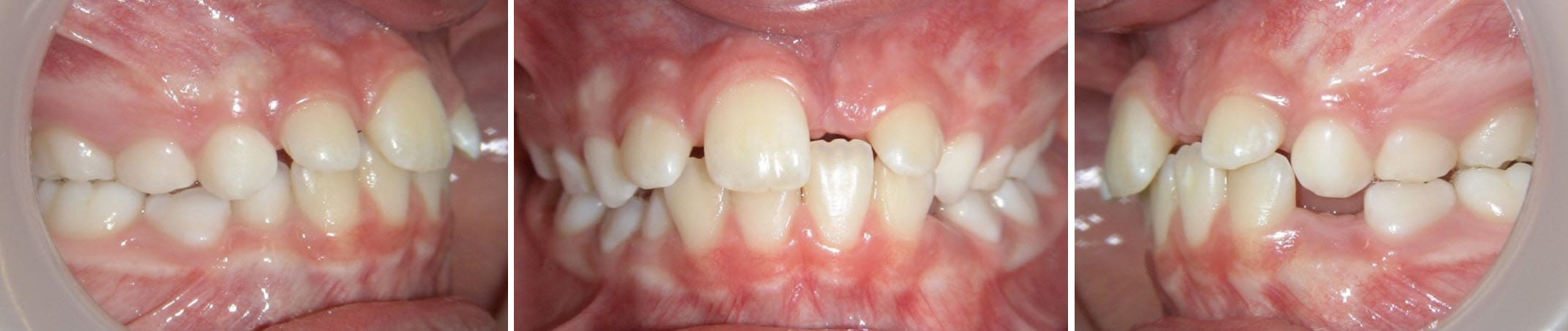
Jeune fille de 11 ans et demi, hypodivergente tendance classe III squelettique (mais classe II dentaire) et biretroalveolie. Agénésie de 12 avec évolution de 13 à sa place et 22 rhyziforme.
Personnellement, bien qu’il y ait un fort encombrement mandibulaire j’aurais aimé éviter si possible les extractions au vu du profil.

Pour ouverture espace et remplacement 12 je pensais à :
- un motion carrière classe II pour commencer à corriger la classe II et ouvrir l’espace de 12. Puis poursuivre avec le multi attache Genius.
- extraction des 4PM1 et alignement. Mais délétère pour le profil … ⚠️

Si les parents refusent l’option d’ouverture d’espace :
- 13/23 en place de 12/22 et extraction 22 + PM1 mandibulaire… ⚠️ profil …
- alignement sans extractions avec système Genius et laisser 13 en place de 12 et 22/23 à leur place. + éventuelle coronoplastie par composite en fin de traitement ?

Merci de vos retours !

4lq7j7nt5zek0i96pyx646viyucy - Eugenol
Iu81nyiw0wbnix3zt7uv1jpikhxt - Eugenol
Pwlzztuih70qdeqyhyzv01kxi44y - Eugenol
1f6fu6uw0x8ag8mglt3lz0m7fi5u - Eugenol
E7la4q8ejy48mlr41s9ppt3siqgp - Eugenol

120 81 mdkvjo - Eugenol
Monaco

19/12/2024 à 11h15

Je n'extrairais sous aucun pretexe 14.24 dans cette situation. La classe dentaire sur un profil comme ça est le cadet des soucis je pense. Face first !
On peut avoir une photo mandibulaire vue du dessus ?
Ouvrir l'espace en secteur 1 tu vas galerer .. meme avec un carriere
Le repositionnement incisif bas est marqué non ? Je me tate à te dire d'envisager une incisive mandibulaire . Le milieu est comment ?


Jack 2 wm3tqs - Eugenol
Treponem

19/12/2024 à 11h34

pareil, pas d'exo.
Voir le bas, le niveau d'encombrement.
Parfois la situation la plus simple est la meilleure ...


Cé23

19/12/2024 à 11h50

Je n’ai pas de photo mandibulaire de dessus…
Les incisives sont bien lingualées oui je pense qu’on peut jouer un peu dessus pour procéder à l’alignement et éventuellement en effet réévaluer en cours du traitement et si besoin extraire une incisive inférieure ?
Vous partiriez plutôt à faire un alignement sans extraire 22 et conserver 13 en place de 12?


Cé23

19/12/2024 à 11h51

Je suis d’accord, le profil est très retrusif…
Procéder à l’alignement et conserver 22 et 13 en place de 12 peut être la meilleure solution selon vous ?


120 81 mdkvjo - Eugenol
Monaco

19/12/2024 à 11h53

Oui .


Cé23

19/12/2024 à 12h12

Ok merci de votre retour rapide !


O1axgfa3wz9a4zf6qedj9s4gj223 - Eugenol
ELGY

19/12/2024 à 21h20

Mini vis !

Recul secteur 1 & 2 : correction Cl II et ouverture espace 12 pour futur implant. C’est trop moche une canine d’un coté et une latérale de l’autre coté. Presque aussi moche que des canines à la place des latérales 🧛‍♂️
Le profil très rétrusif, la typologie verticale, et la supraclusion sont des éléments en faveur de l’ouverture d’espace afin de contrôler au mieux la position de l’incisive maxillaire.
Correction supraclusion inc.
Pas de vue occlusal mand ? Ouvre medit link et sors nous une vue occlusale. Ne surtout pas extraire une incisive mandibulaire. Tu vas augmenter la supraclusion et créer un overjet.

En fin de trt et si demande esthétique ( elle a quand même un profil bof bof) : chirurgie bimax d’avancée et genioplastie.

Si tu sais faire c’est bon, sinon tu adresses avant de faire n’importe nawak.


O1axgfa3wz9a4zf6qedj9s4gj223 - Eugenol
ELGY

19/12/2024 à 21h31

.


Cé23

19/12/2024 à 22h01

Au temps pour moi, les voici ce n'étaient pas passé lors du téléchargement du post et je n'avais pas vu...

Hsqog37wy3atmivfddjhfx6v58wz - Eugenol
Ioy74plnwzp0vtypcejllgaux0mi - Eugenol

Cé23

19/12/2024 à 22h01

Au temps pour moi, les voici ce n'étaient pas passé lors du téléchargement du post et je n'avais pas vu...

4cf0ptlyqze6eeux4ruz7yi08tfq - Eugenol

Cé23

19/12/2024 à 22h18

ELGY écrivait:
----
> Mini vis !
>
> Recul secteur 1 & 2 : correction Cl II et ouverture espace 12 pour futur
> implant. C’est trop moche une canine d’un coté et une latérale de l’autre coté.
> Presque aussi moche que des canines à la place des latérales 🧛‍♂️
> Le profil très rétrusif, la typologie verticale, et la supraclusion sont des
> éléments en faveur de l’ouverture d’espace afin de contrôler au mieux la
> position de l’incisive maxillaire.
> Correction supraclusion inc.
> Pas de vue occlusal mand ? Ouvre medit link et sors nous une vue occlusale. Ne
> surtout pas extraire une incisive mandibulaire. Tu vas augmenter la supraclusion
> et créer un overjet.
>
> En fin de trt et si demande esthétique ( elle a quand même un profil bof bof) :
> chirurgie bimax d’avancée et genioplastie.
>
> Si tu sais faire c’est bon, sinon tu adresses avant de faire n’importe nawak.

Pour la blague : Clémence Botino a bien été élue Miss France avec une 13 en place de 12 et une 22 à sa place et ça ne choque personne ;)


O1axgfa3wz9a4zf6qedj9s4gj223 - Eugenol
ELGY

19/12/2024 à 22h25

Moui

Kg0dipq5jzc7zol0omgsz1jerjuo - Eugenol

120 81 mdkvjo - Eugenol
Monaco

20/12/2024 à 12h44

ELGY écrivait:
----
> Mini vis !
>
> Recul secteur 1 & 2 : correction Cl II et ouverture espace 12 pour futur
> implant. C’est trop moche une canine d’un coté et une latérale de l’autre coté.
> Presque aussi moche que des canines à la place des latérales 🧛‍♂️
> Le profil très rétrusif, la typologie verticale, et la supraclusion sont des
> éléments en faveur de l’ouverture d’espace afin de contrôler au mieux la
> position de l’incisive maxillaire.
> Correction supraclusion inc.
> Pas de vue occlusal mand ? Ouvre medit link et sors nous une vue occlusale. Ne
> surtout pas extraire une incisive mandibulaire. Tu vas augmenter la supraclusion
> et créer un overjet.
>
> En fin de trt et si demande esthétique ( elle a quand même un profil bof bof) :
> chirurgie bimax d’avancée et genioplastie.
>
> Si tu sais faire c’est bon, sinon tu adresses avant de faire n’importe nawak.


OK d'accord avec ça. Si c'est possible c'est mieux.
Et oui n'extrait pas en bas à la vue de ta photo mandibulaire stp et la supra actuelle.


sexmo

20/12/2024 à 18h01

Excellent Elgy ! +1 !
J'aurai fait de même.
(penser à faire extraire les DDS pour le recul aussi !)
Par contre, l'evidence based et mes récents cours et formations sur le sujet préconisent de faire en 1ère intention un bridge cantilever collé (apparemment avec les colles actuelles, cela tient très bien avec peu de décollement si l'ODF est bien fait (bon calage et bonne correction de la Supra), à leurs dires...mais opérateur dépendant. Ceci pour éviter "linfraclusie implantaire" inhérent après fin de traitement. Ils disent que l'implantation idéale se fait à 30 ans. Qu'en penses-tu Elgy ?)
Bravo à toi et merci pour le partage de tes connaissances et plan de traitement.

Tenez nous au courant du déroulé du traitement Cé2, c'est très intéressant et formateur.

Bonne journée à tous.


sexmo écrivait:
-----
> Excellent Elgy ! +1 !
> J'aurai fait de même.

Poster la photo de la jolie dame ?
Mais vas-y, fais nous plèz'


O1axgfa3wz9a4zf6qedj9s4gj223 - Eugenol
ELGY

20/12/2024 à 21h37

Il n’y aura pas assez d’os en vestibulaire et en hauteur pour implanter après la réouverture d’espace. Greffe obligatoire.

Il y aura une récidive plus ou moins importante de la supra:
Oui Sexmo, si l’implantation est faite trop tôt, l’implant ne suivra pas la récidive et la 12 prothétique se retrouvera en infraclusion.


1 eugenol dmj5np - Eugenol
Dancha

06/01/2025 à 18h25

Dans ces cas relativement fréquents d’agénésie d’incisives latérales, on a plutôt tendance aujourd’hui à traiter par fermeture d’espace pour éviter au maximum les prothèses et les implants antérieurs, sources potentielles de problèmes futurs. Vous êtes capable, vous, de garantir un bridge cantilever ou un implant 80 ans (voir l’espérance de vie…) ?

Ici, le plan de traitement de fermeture d’espace me paraît d’autant plus évident qu’on est déjà en classe II molaires :
Avulsion 22 et mésalisations supérieures (on parfait la classe II molaires des 2 côtés).
Moyens : TIM (on peut allègrement prendre appui sur l’arcade inférieure puisqu’on doit même faire de la place pour les incisives). Si c’est insuffisant, VIS au niveau antérieur, de chaque côté de l'orifice piriforme.
On finit en classe II canines thérapeutiques avec des coronoplasties de 13 et de 23.
Avantage : Meilleure stabilité et pas d’implant qui peut poser problème à la fois à sa mise en place (tu as bien vu, Elgy) et au niveau de sa pérennité esthétique (tu as bien vu, sexmo). Je rajouterai que même à 30 ans c’est encore trop tôt (Jean-Marc Dersot).
Si les coronoplasties sont bien faites, ça passe très bien.


sexmo

09/01/2025 à 17h23

Merci beaucoup Dancha pour ton intervention, au vue de ton expérience, de ton niveau d'expérience et de la qualité pédagogique de chacune de tes interventions qui honorent ce forum.
Et merci à tous aussi, cela est très constructif, ensemble.

Bien à vous.

Sexmo.


1 eugenol dmj5np - Eugenol
Dancha

13/01/2025 à 21h08

Merci pour ton message, sexmo, ça fait plaisir.

Si ça vous intéresse, dans le même registre on peut continuer la discussion avec les cas de perte traumatique d'incisive, comme celui de cette jeune fille de 9 ans que j'ai reçue au cabinet il y a presque 20 ans.

Sa 21 a été perdue suite à un traumatisme... Que faire ?

Hitwzax5t0afmh2vrlxba6fth5w0 - Eugenol

1 eugenol dmj5np - Eugenol
Dancha

15/01/2025 à 11h00

Qu'est-ce qui parait le mieux pour vous, réouvrir l'espace pour remplacer à terme la 21 manquante ou fermer l'espace ?


Et7jtaj0pdi18gzjlxjiamlx15gs - Eugenol
Prunelles

15/01/2025 à 14h33

Allez je me lance...
Instinctivement je serais plus dans le maintien de l'espace et le remplacement de la 21 par un implant après maturité osseuse.
Maintenant et après la lecture de ce qui a été publié ici, j'imaginerais bien la fermeture de l'espace et la transformation d'une latérale en centrale.


Picture1111 zburnd - Eugenol
saidkholoki

15/01/2025 à 14h58

Salut Dancha,
Bonne année a toi ainsi a tous les membres du forum.
Pour rester dans la même idée citée plus haut, je ferme l'espace, je couronne la latérale et je mets la canine a la place de la latérale et ainsi de suite.
Ou une autre solution, il s'agit de l'auto transplantation. Il parait que cela marche bien. Mais il faut "sacrifier" une prémolaire.



--
A suivre...
Said


Avatar transparent iqadnc - Eugenol
adhoc

15/01/2025 à 15h32

Dans n'importe quel cours d'ortho , il ya des indications principalement DDM et classe squelettique et dentaire. Imaginez une translation de la 2 vers espace 1 maxillaire si classe 3. Une DDM par contre, c'est une super indication.
Dans ton cas, dancha, pas de présomption de ddm, entre classe 1 et classe 3 dentaire, linguo version des incisives mandibulaires , presque sur d'une classe 3 squelettique , articulé serré: une couronne ceramique sur une 2 translatée pour moi va rendre la future prothese pas facile a faire et a maintenir. Je prefererais garder l'espace pour le futur implant . C'est un cas particulier, il n'y a pas de loi universelle. Mais tu vas certainement sortir un truc du chapeau magique :-)


Et7jtaj0pdi18gzjlxjiamlx15gs - Eugenol
Prunelles

15/01/2025 à 16h40

saidkholoki écrivait:
-----------
> Ou une autre solution, il s'agit de l'auto transplantation. Il parait que cela marche bien. Mais il faut "sacrifier" une prémolaire.

Intéressant. J'ai déja lu la publication d'un cas similaire.
On a quoi comme recul clinque face au risque d'ankylose ou de résorption ?


12...