Cookie Consent byPrivacyPolicies.comUn cas d’agénésie unilatérale - Eugenol

Un cas d’agénésie unilatérale

O1axgfa3wz9a4zf6qedj9s4gj223 - Eugenol
ELGY

18/01/2025 à 18h50

Avec un arc transpalatin activé en v asymétrique ?

Dancha écrivait:
------
> Après ce cas-ci, je vous en présenterai encore 2 autres du même type, mais un
> peu plus compliqués au niveau traitement.

J’ai hâte parce que celui là est trop fastoche 🤣


Cé23

18/01/2025 à 19h31

Merci pour tous vos retours sur le cas que j'ai posé, on a plusieurs propositions différentes qui sont toutes intéressantes !

Concernant le cas de Dancha sur l'expulsion de la 21 j'ai hâte de voir le résultat final. J'ai actuellement en contention un cas similaire qui avait été traité par la consoeur qui m'a précédé et elle avait décidé de faire une fermeture d'espace. J'avoue que l'esthétique final du sourire avec le milieu dévié et l'incisive centrale au plein milieu de l'arcade m'a assez dérouté. Il a été demandé au dentiste traitant de réaliser en provisoire une résine compo sur la 12 pour l'élargir un peu en attendant la fin de croissance, celui était assez perplexe et le résultat n'est franchement pas fameux. J'aurais donc eu maintenant tendance à choisir l'implantation prothétique dans un cas similaire mais si Dancha peut me faire reconsidérer la question de la fermeture d'espace pourquoi pas !!


Cé23

18/01/2025 à 19h32

Extraction de la 14 ou 15 ?

Dancha écrivait:
----
> Je plaisantais en parlant de vis, Elgy, il y beaucoup plus simple !
Inutile de chercher midi à 14 heures !


1 eugenol dmj5np - Eugenol
Dancha

18/01/2025 à 20h40

Plus simple que l'extraction de 14 ou de 15, celle de la 12 !

Je mets déjà le résultat, les phases intermédiaires plus précises attendront la semaine prochaine.

Pour la petite histoire (authentique), j'ai eu l'occasion de revoir cette jeune femme une dizaine d'année plus tard dans un cadre sportif. Elle était venue à ma rencontre avec un sourire éclatant sans que je la reconnaisse, mais à sa façon de me saluer j'ai bien compris que c'était quelqu'un que j'avais dû traiter orthodontiquement. Je l'ai complimentée sur son magnifique sourire et elle m'a répondu d'une manière surprenante "c'est grâce à vous, et personne ne voit qu'il me manque une dent". Je ne me souvenais plus du tout de ça, je n'avais que son prénom et ne savais absolument pas de quoi elle voulait parler (je ne le lui pas dit !). J'ai compris un peu plus tard quand j'ai retrouvé le dossier en cherchant à partir du prénom. En réalité, il y en manque deux, des dents, pas seulement une.

Bon dimanche !

4e5n8hbucxhx9nevb6accfa04jxq - Eugenol

sexmo

18/01/2025 à 23h54

Pour les milieux, photo EXTRA Buccal de Face Dancha ?


sexmo

19/01/2025 à 00h07

Heu... j'ai lu après...pardon...c'est admirable ! un génie ce Dancha quand même .
Très beau et très esthétique, j'y avais pensé mais je doutais de mon ttt et surtout du résultat, tu m'as convaincu BOSS !
On attend avec impatience les prochains !

Bien à toi Dancha.


1 eugenol dmj5np - Eugenol
Dancha

20/01/2025 à 11h34

La 12 est avulsée, la 11 est déplacée pour prendre sa place.

Oj02zueodyreeaglzf22ykuve6td - Eugenol

1 eugenol dmj5np - Eugenol
Dancha

20/01/2025 à 13h52

La 11 est en place, on va maintenant centrer la 22 entre 11 et 23.

Idnkgev270kgwxwns6ms8cc9qijd - Eugenol

1 eugenol dmj5np - Eugenol
Dancha

20/01/2025 à 13h59

La 22 est centrée mais trop basse (image de gauche) ;
Elle est ingressée (image centrale) ;
Premier maquillage de 22 par adjonction de composite pour la faire ressembler un peu plus à une incisive centrale (image de droite).

Vccfncgk08hw3olt9o672a1ss65d - Eugenol

1 eugenol dmj5np - Eugenol
Dancha

20/01/2025 à 14h01

Seconde séance de maquillages : retouche des canines et du bord cervical de 22

Zr08ixcggk93xyoncafndj5vjut4 - Eugenol

1 eugenol dmj5np - Eugenol
Dancha

20/01/2025 à 14h03

Vu occlusale avant et après fermeture finale des espaces.

6xxdvnll31sw1e7qztnqgesu0ygz - Eugenol

Et7jtaj0pdi18gzjlxjiamlx15gs - Eugenol
Prunelles

20/01/2025 à 15h04

C’est beau !


Prunelles écrivait:
---------
> C’est beau !

Ia4k65nzg9a643jxzmr7txcn3xim - Eugenol

Trottinette

20/01/2025 à 16h15

épatant !
Il fallait oser
bravo


1 eugenol dmj5np - Eugenol
Dancha

20/01/2025 à 19h27

Des questions ?


O1axgfa3wz9a4zf6qedj9s4gj223 - Eugenol
ELGY

20/01/2025 à 21h16

Sacré travail ! Bravo.

Comment a été géré le niveau gingival de la 22 ?


1 eugenol dmj5np - Eugenol
Dancha

21/01/2025 à 11h18

Merci pour tous ces compliments, ça fait toujours plaisir.
Mais ces « bravo » « épatant » « sacré travail » sont-ils vraiment justifiés ?
On peut discuter mécanique, si cela vous intéresse, pour comprendre le pourquoi des attaches utilisées, mais où voyez ici une quelconque difficulté technique qui vous aurait empêché de le traiter orthodontiquement vous-même ?
Regardez bien toutes les phases, ce traitement a été des plus simples car il partait naturellement en Classe II.
Rien alors de plus facile que de fermer les espaces pour ne laisser la place qu’à deux incisives entre les canines.


ELGY écrivait:
----
>..
> Comment a été géré le niveau gingival de la 22 ?

Je n'en souviens hélas plus du tout, c'est son praticien traitant qui a géré ça.



1 eugenol dmj5np - Eugenol
Dancha

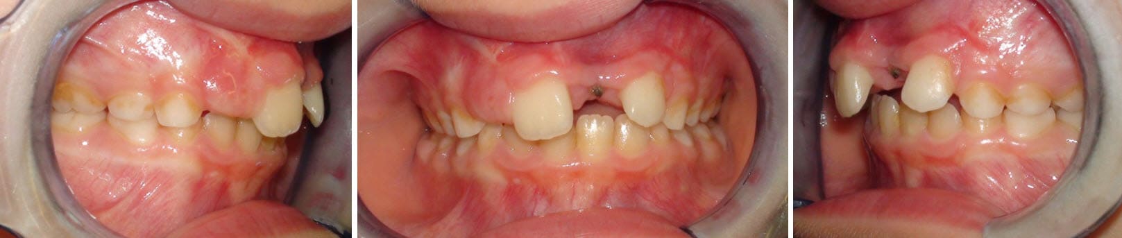
22/01/2025 à 10h37

Deuxième cas :
Cette jeune fille vient de perdre (elle aussi) sa 21.
On image sa détresse...
On prévoit à terme de remplacer l'incisive manquante par un implant ou de fermer l'espace ?
Que lui dit-on et que faisons-nous dans l'immédiat ?

Dk2u86mjosnxqkekxokhm7dz6pry - Eugenol

Et7jtaj0pdi18gzjlxjiamlx15gs - Eugenol
Prunelles

22/01/2025 à 11h46

Elle est beaucoup plus jeune que la patiente précédente et à ce stade je ne pense pas qu'il soit possible de faire autre chose que d'attendre.
J'imagine que la solution n'est pas d'extraire la 12...


1 eugenol dmj5np - Eugenol
Dancha

22/01/2025 à 13h48

Prunelles écrivait:
---------
> Elle est beaucoup plus jeune que la patiente précédente et à ce stade je ne
> pense pas qu'il soit possible de faire autre chose que d'attendre.

Effectivement, on va attendre.

> J'imagine que la solution n'est pas d'extraire la 12...

C'est une remarque intéressante, peux-tu en donner la ou les raison(s) ?


Et7jtaj0pdi18gzjlxjiamlx15gs - Eugenol
Prunelles

22/01/2025 à 14h16

La 12 n'est déja pas présente et il y a surtout une tendance à la classe III ici.


1 eugenol dmj5np - Eugenol
Dancha

22/01/2025 à 15h00

Prunelles écrivait:
---------
> La 12 n'est déja pas présente et il y a surtout une tendance à la classe III
> ici.

Qu'est-ce qui te fait dire qu'il y a une tendance à la classe III ?


Et7jtaj0pdi18gzjlxjiamlx15gs - Eugenol
Prunelles

22/01/2025 à 15h36

La vestibuloversion de 11 et 22 et l'engrènement des secteurs latéraux, plus à droite qu'à gauche d'ailleurs. Je me trompe ?


1 eugenol dmj5np - Eugenol
Dancha

22/01/2025 à 15h39

Prunelles écrivait:
---------
> La vestibuloversion de 11 et 22 et l'engrènement des secteurs latéraux, plus à
> droite qu'à gauche d'ailleurs. Je me trompe ?

Tout le monde est d'accord ?


O1axgfa3wz9a4zf6qedj9s4gj223 - Eugenol
ELGY

22/01/2025 à 16h35

Non pas moi.
Cl II overjet inc.

Utiliser la croissance mandibulaire dans un premier temps ?
Mais pas de suite. Et si incompétence mandibulaire.
Sans Rx difficile de dire.