Cookie Consent byPrivacyPolicies.comRemontée de marge/elongation coronaire - Eugenol

Remontée de marge/elongation coronaire

6szjws718sv1jksw54v4mpj3a6cu - Eugenol
vulpi

24/04/2025 à 16h28

"En vue d'une couronne" ça ne peut être qu'une élongation ou assimilé ( technique permettant de prendre paisiblement l'empreinte de la limite). Un assemblage par scellement sera préférable.


Vw campersurfvan bmnk1q - Eugenol
enlaye

24/04/2025 à 16h54

vulpi écrivait:
-----

"... technique permettant de prendre paisiblement l'empreinte de la limite ..."

Paisiblement suis pas sur :
Ouvrir des tiroirs , mettre les produits dans des pistolets , sécher, ça re pisse , re sécher , bon ça ira , eh merde faut aspirer maintenant , putain où je l ai mise la boulette elle était là , juste là .....
enfin tout ce bordel pcq vous voulez gagner une séance , c est uniquement ça le pb .
Alors que la séance d après tu n as besoin de rien , tout est calme , là c est paisible .


Blue eye thumb medium dx1i0w - Eugenol
bill

24/04/2025 à 17h07

Assez d'accord avec enlaye, le problème c'est qu'on bosse trop la tête dans le guidon.
Quand tu as plus de bouteille (traduction = que tu es plus vieux...) si tu es normal, tu ralentis le rythme... :-))
Ya que pour la provisoire...


--
https://docudent.fr
La plus importante base
documentaire dentaire francophone
_______________________________



croc1765

24/04/2025 à 17h26

enlaye écrivait:
------
> mais admettons que ce ne soit pas le cas , faire une remontée de marge , je
> veux bien , mais à quelle hauteur ?
> une hauteur déterminée par du tissus prolifératif ? et la notion du sulcus on
> s en fout ?
> mon protocole :
> on fait la taille périphérique + surfaçage de la racine emboucanée à la grain
> fin jusqu'au fond de la poche en limite de finition + un coup de Touati avec la
> bille au bout pour enlever le merdier inflammatoire .
> la séance d après on re- précise les limites en fonction de la hauteur de la
> nouvelle attache .
ok merci
mais j'imagine que le ou la patiente qui présente cet etat inflamatoire n'a pas du passer le cap des qualif du brossage ,
en une seule seance cela rentre dans l'ordre pour la dent concernée?


6szjws718sv1jksw54v4mpj3a6cu - Eugenol
vulpi

24/04/2025 à 17h41

enlaye écrivait:
------
> vulpi écrivait:
> -----
>
> "... technique permettant de prendre paisiblement l'empreinte de la limite ..."
>
> Paisiblement suis pas sur :
> Ouvrir des tiroirs , mettre les produits dans des pistolets , sécher, ça re
> pisse , re sécher , bon ça ira , eh merde faut aspirer maintenant , putain où je
> l ai mise la boulette elle était là , juste là .....
> enfin tout ce bordel pcq vous voulez gagner une séance , c est uniquement ça le
> pb .
> Alors que la séance d après tu n as besoin de rien , tout est calme , là c est
> paisible .
Question d'organisation 😜😁
Peut être que le temps je l'ai pris avant, lors de l'endo et de la reconstitution 😉
Sinon je plussoie l'AL au niveau des papilles, le curetage à la fraise et la pâte (arp pour moi) suivie d'un séchage en douceur.
D'autre part un temps de saignement c'est facilement 7 minutes, donc en tenir compte lors de manœuvres hémostatiques, ça va pas se faire en trente secondes.


Vw campersurfvan bmnk1q - Eugenol
enlaye

24/04/2025 à 18h05

vulpi écrivait:
-----
" Sinon je plussoie l'AL au niveau des papilles, le curetage à la fraise ..."
je ne fais jamais d'anesthesie pour virer la gencive pourrie .
d abord pcq l injection fait très mal à ce niveau alors que lorsque tu fraises le tissus pipé ils ne sentent rien .
mais surtout comme ca tu sais où t arrêter , tu t arrêtes quand ils font huuu , et encore s ils sont mal élevés :-))


Vw campersurfvan bmnk1q - Eugenol
enlaye

24/04/2025 à 18h16

vulpi écrivait:
-----
" D'autre part un temps de saignement c'est facilement 7 minutes, donc en tenir compte lors de manœuvres hémostatiques, ça va pas se faire en trente secondes. "

c est surtout que tous ces trucs et ces techniques ne servent pas à arrêter le saignement lorsque ça saigne pour pouvoir prendre l empreinte :-)
ça sert à eviter que ça saigne , nuance :-)
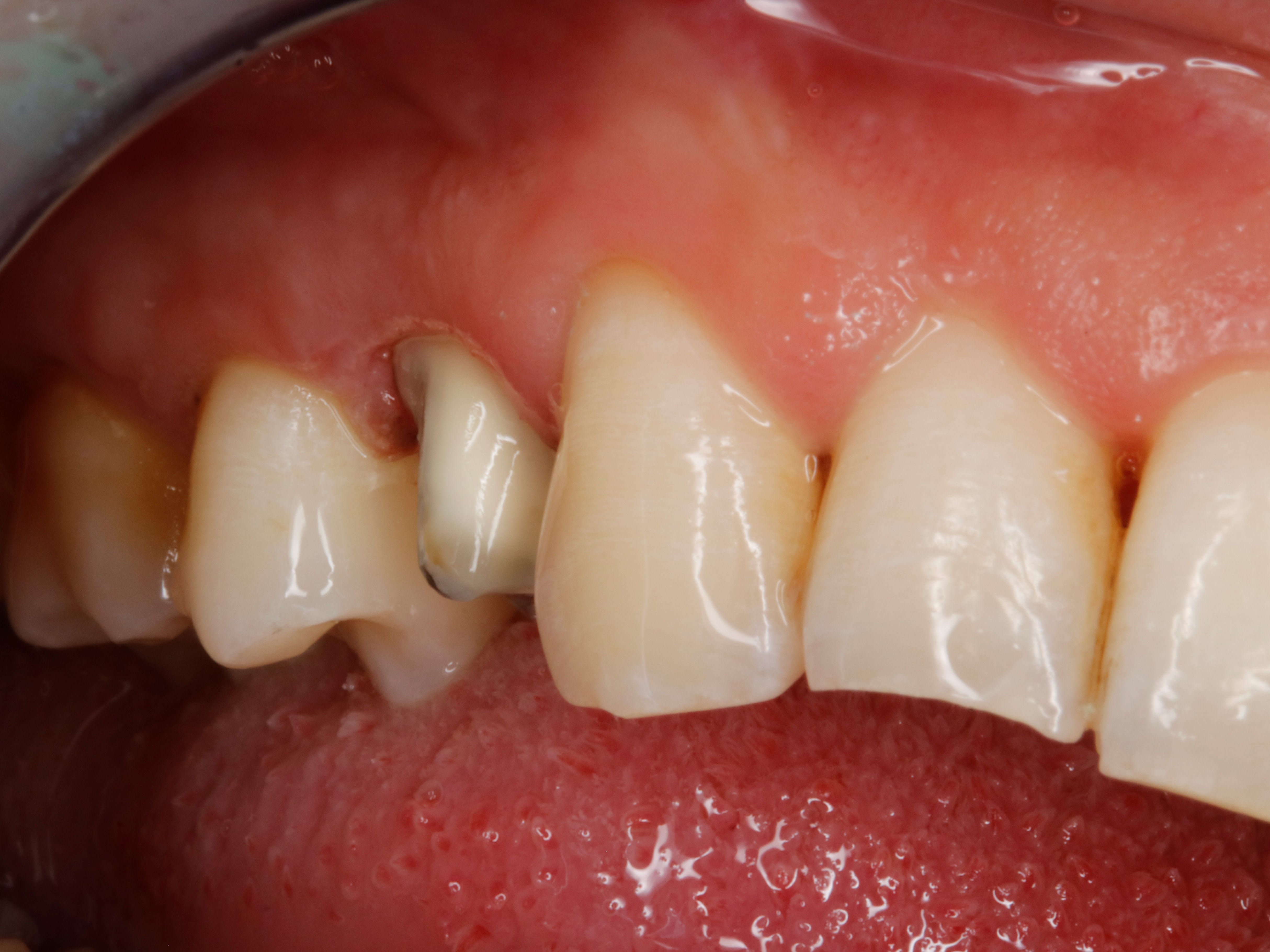
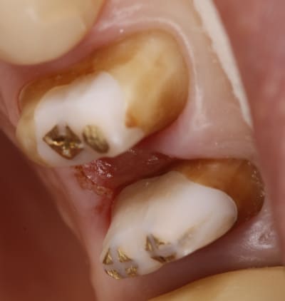
ça sert a faire ta reconstitution ou bien tes finitions de limites sur du tissus normal où presque normal .

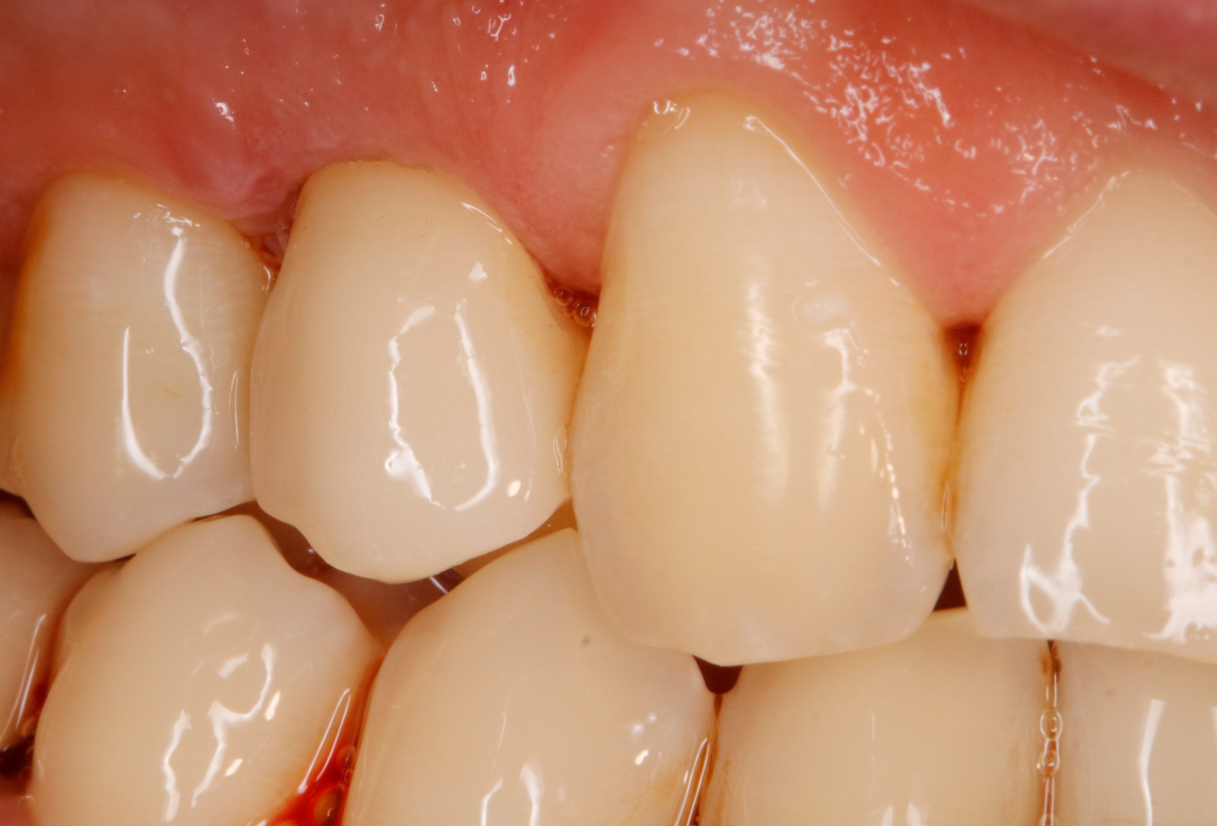
regardes celui là , je l avais dejà fraisé . j y met un peu de pate verte , et cela permet de reprendre la limite de la couronne .
la séance d après c est impec .
et après la couronne , aller hop envoyer 440 balles


8kztdjc852nblnqzcx58ner22x0e - Eugenol
1sqfb0vzmpodjcomc6iw19eoqt97 - Eugenol
2sknaz8hsh3s8c6ogukxzci7vkbs - Eugenol

Vw campersurfvan bmnk1q - Eugenol
enlaye

24/04/2025 à 18h25

croc1765 écrivait:
--------
mais j'imagine que le ou la patiente qui présente cet etat inflamatoire n'a pas du passer le cap des qualif du brossage ,
en une seule seance cela rentre dans l'ordre pour la dent concernée?

souvent ils n y sont pour rien , une restau débordante , une couronne pipé etc ce n est pas forcement de la mauvaise volonté .
ce n est pas le nombre de séances qui importe ( puisque tu as tout coupé 1 fois suffit ) c est le temps entre 2 séances qui compte .
lorsqu il n y a pas de prov , avec la langue , les joues , la salive c est auto nettoyant


croc1765

24/04/2025 à 18h41

enlaye écrivait:
------
> croc1765 écrivait:
> --------
> mais j'imagine que le ou la patiente qui présente cet etat inflamatoire n'a pas
> du passer le cap des qualif du brossage ,
> en une seule seance cela rentre dans l'ordre pour la dent concernée?
>
> souvent ils n y sont pour rien , une restau débordante , une couronne pipé etc
> ce n est pas forcement de la mauvaise volonté .
> ce n est pas le nombre de séances qui importe ( puisque tu as tout coupé 1 fois
> suffit ) c est le temps entre 2 séances qui compte .
> lorsqu il n y a pas de prov , avec la langue , les joues , la salive c est auto
> nettoyant
en moyenne combien de temps entre tes 2 seances alors ?


Vw campersurfvan bmnk1q - Eugenol
enlaye

24/04/2025 à 19h05

une semaine


Hok 1b hgd3rj - Eugenol
Hokusai

24/04/2025 à 19h12

quelle belle gencive... ça doit être un vrai plaisir de travailler dans ces bouches...


Vw campersurfvan bmnk1q - Eugenol
enlaye

24/04/2025 à 19h36

arfff c est que je détartre beaucoup


Vw campersurfvan bmnk1q - Eugenol
enlaye

24/04/2025 à 19h42

lui il ressemble à la question du post , normalement il revient demain matin .
en principe , sans prov , ils n oublient pas :-)
(et quand ils n ont pas de prov , ce ne sont pas des clochards , hein , loin loin de là :-)
on verra demain combien on a gagné .

Ldgdzmniylme8l5n4wnfygydoap1 - Eugenol

Optic’s

24/04/2025 à 19h47

T’as la retro?


Et7jtaj0pdi18gzjlxjiamlx15gs - Eugenol
Prunelles

24/04/2025 à 19h52

@Enlaye - Je vais oser te poser la question, mais sur ton cas publier plus haut, la 14 elle est pas en sous-occlusion ?


Vw campersurfvan bmnk1q - Eugenol
enlaye

24/04/2025 à 20h00

Non non il est en propulsion . Je ne supporte pas la sous occ . Coup de gourdin direct . Meme sur les implants .
Ce qui devient un pb d ailleurs, la sous occ devient normalité pour les fraiseurs


Vw campersurfvan bmnk1q - Eugenol
enlaye

24/04/2025 à 20h25

ou de travers sais plus , ce qui m intéressait c était de retrouver la correspondances des traces d usure .
comme je n avais pas de modèles montés sur un truc qui bouge je le fais gangasser et photos

8j1y2nvznfau1bw3ngxahjv5kvxu - Eugenol

Vw campersurfvan bmnk1q - Eugenol
enlaye

24/04/2025 à 20h34

Optic’s écrivait:
-------
T’as la retro?


Gt3pwckvaflauwcwa8rwrw8xeb1i - Eugenol

Vw campersurfvan bmnk1q - Eugenol
enlaye

25/04/2025 à 11h38

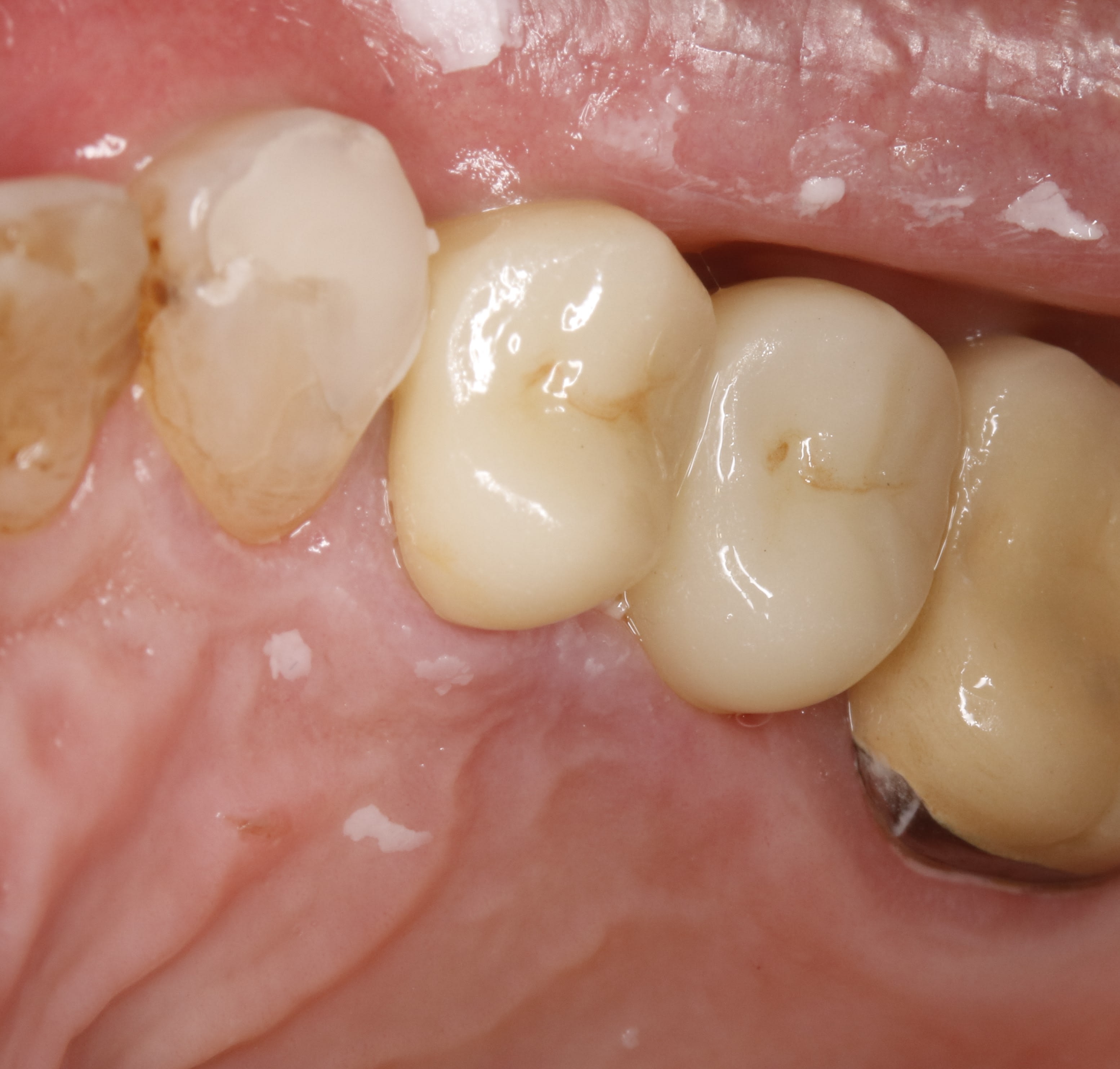
comme prévu il est venu , tu m étonnes :-)
j avais pris l empreinte la séance dernière et ce matin il est comme ça .

Kkrpxmc6svolnr0lfyhcji4gopuv - Eugenol
Zhczjunabaxavwhmtn5jidso569g - Eugenol
Tn4m8at9zh49dxs21yujjfmlccg7 - Eugenol

Vw campersurfvan bmnk1q - Eugenol
enlaye

25/04/2025 à 11h44

on jette un œil sur l empreinte qui a eté coulée , l émergence y est ça devrait aller .

6n8xrohz8bsf6zhupy86899syqt2 - Eugenol

Vw campersurfvan bmnk1q - Eugenol
enlaye

25/04/2025 à 11h47

on essaye .
bon là ca va , là aussi , aller zou , ca ira

Jt46okz52exh2dykgzmba7ajlitp - Eugenol

Hok 1b hgd3rj - Eugenol
Hokusai

25/04/2025 à 11h50

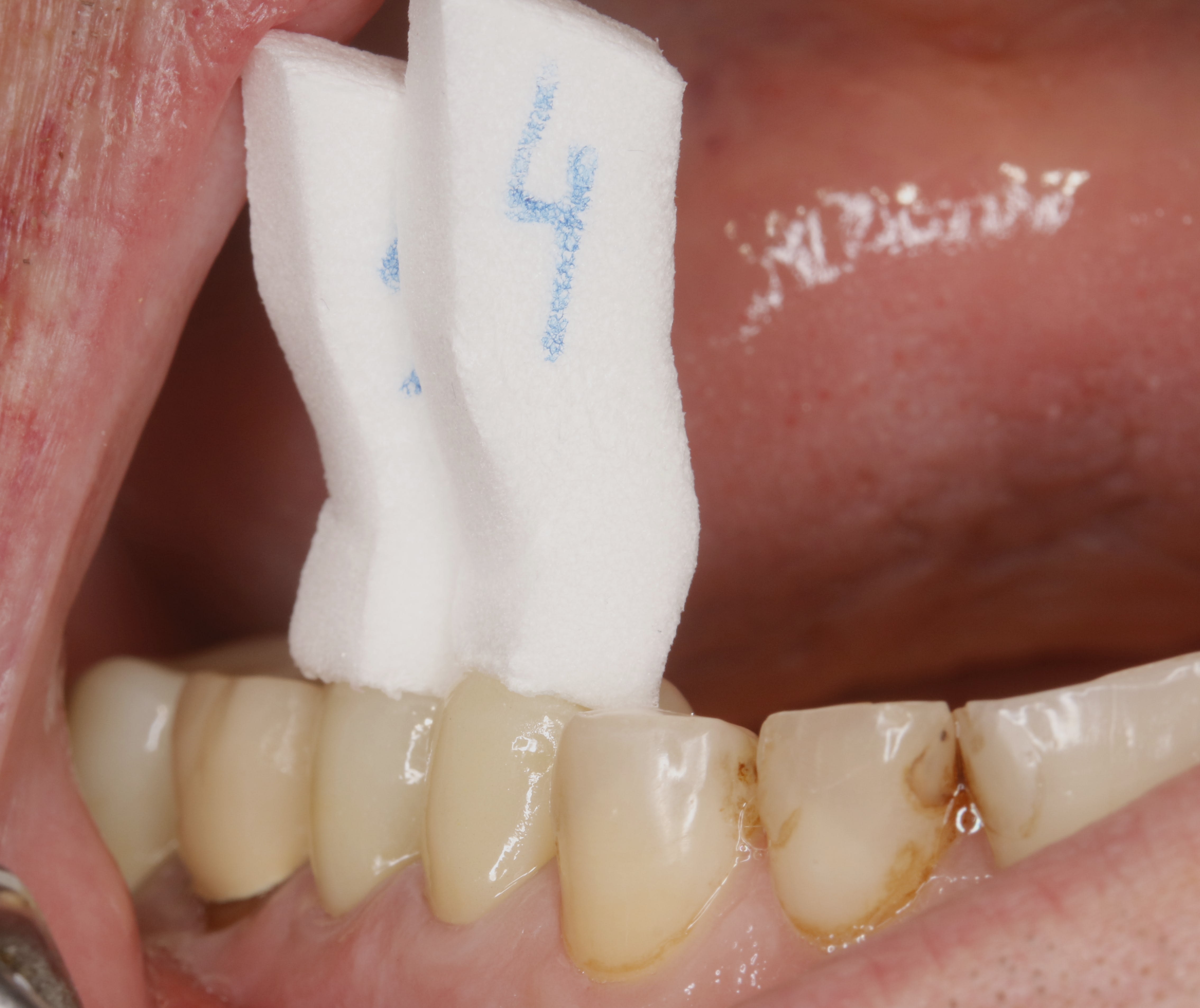
c'est quoi les calles en mousse blanche avec le 4 écrit en bleu ? c'est pour pas les confondre ?


Vw campersurfvan bmnk1q - Eugenol
enlaye

25/04/2025 à 11h51

on scelle au fuji 1 , facile à s en souvenir pour la traçabilité je n ai rien d autre :-)

3i7i1dbvwh3ua2h1rpx4cvn3yb1g - Eugenol

Vw campersurfvan bmnk1q - Eugenol
enlaye

25/04/2025 à 11h58

Hokusai écrivait:
-------
" c'est quoi les calles en mousse blanche avec le 4 écrit en bleu ? c'est pour pas les confondre ? "

oui c est les mousses qui servent normalement à tenir les radios . ca coute rien c est auto collant sur un chant et se coupe tres facilement .
facile pour sceller , ca t évite de mettre la 5 à la place de la 4 et même de la mettre à l envers vest palatin :-)
ou de la faire tomber tout simplement , c est que ça glisse ces conneries .



Vw campersurfvan bmnk1q - Eugenol
enlaye

25/04/2025 à 12h07

ah , j ai oublié de dire un truc super important .
c est que pour faire le curetage de la racine , il faut une fraise LONGUE fine et grain fin , c est obligatoire pour la stabilité et l esthétique de la papille .
vais te dire pourquoi .