Cookie Consent byPrivacyPolicies.comRemontée de marge/elongation coronaire - Eugenol

Remontée de marge/elongation coronaire

Optic’s

25/04/2025 à 12h19

T’as mis 2 screwpost sur 14 et 15 ?


Vw campersurfvan bmnk1q - Eugenol
enlaye

25/04/2025 à 12h22

c est que lorsqu il y a embrouille du point de contact , c est qu il n etait pas bon ou bien placé .
par exemple un compo usé ou cassé , une couronne à la con ou une dent en rotation .... . et la dent d à coté a tendance , (par la dérive mesiale) a se coucher un peu dessus .
alors si tu ne machines pas la crete proximale de la dent d à coté cette crete a tendance à se retrouver en surplomb par rapport à ta nouvelle limite .
et ça c est con pcq ca ça emboucane à 2 niveaux :
- au mieux tu auras un point de contact tres haut , du coup tu auras une papille non soutenue donc pas stable , avec la salade qui se coince dedans .
- au pire , le logiciel de la fraiseuse va te couper la limite lorsqu il va choisir son axe d insertion pcq lui il ne supporte pas la contre dépouille .
et tu auras fait tout ca pour rien


bouboule

25/04/2025 à 12h22

Optic’s écrivait:
-------
> T’as mis 2 screwpost sur 14 et 15 ?

On tient la prochaine avancée à proposer à nos signataires compulsifs!! Le SC66 ( désolé je suis vieux, pour les jeunes faudra convertir ça en CCAM)!

Jolie gencive!


Blue eye thumb medium dx1i0w - Eugenol
bill

25/04/2025 à 12h26

Optic’s écrivait:
-------
> T’as mis 2 screwpost sur 14 et 15 ?

Purée ces vieux, ils ne respectent rien…
😎





Vw campersurfvan bmnk1q - Eugenol
enlaye

25/04/2025 à 12h26

alors qu avec la fraise longue de l epaisseur de ta couronne si elle passe quand tu surfaces , t es tranquille .
tu te fais en même temps la coronoplastie proximale , et le point de contact pourra être plus bas . elle saura te remercier la papille .


Vw campersurfvan bmnk1q - Eugenol
enlaye

25/04/2025 à 12h28

Optic’s écrivait:
-------
"T’as mis 2 screwpost sur 14 et 15 ? "
j écoule le stock :-))


Vw campersurfvan bmnk1q - Eugenol
enlaye

25/04/2025 à 12h42

autre truc de vieux qui va avec le screw post :
quand tu as niqué la gencive , elle a été bien brave , il ne s agit pas d aller la contrarier avec de matrices des de ci de là , la cire molle c est tres bien . tu peux l esquicher sous la limite

K8yo3krotsfkp9detl5s3w652047 - Eugenol

Dentarue

25/04/2025 à 15h25

C’est gratuit et ça le vaut ☝️


Vw campersurfvan bmnk1q - Eugenol
enlaye

25/04/2025 à 16h41

Je me disais mais qu est ce qu il branle , il est malade ou quoi ? Suis rassuré.


paul53

25/04/2025 à 18h50

enlaye écrivait:
------
> ah , j ai oublié de dire un truc super important .
> c est que pour faire le curetage de la racine , il faut une fraise LONGUE fine
> et grain fin , c est obligatoire pour la stabilité et l esthétique de la
> papille .
> vais te dire pourquoi .

Salut Enlaye
Et donc, tu pourrais préciser stp?
Merci


Vw campersurfvan bmnk1q - Eugenol
enlaye

25/04/2025 à 19h26

Il y a 2 fonctions dans la longue fraise .
en haut et en bas .
- En haut comme un paralléliseur pour retailler si besoin la face Proxi de la dent d a coté en fonction de ton axe l insertion. alors forcément il faut du grain fin pour mieux polir ensuite

- en bas c est une autre fonction c est pour nettoyer la racine infiltrée et la mettre de dépouille jusqu au fond de la poche .
pourquoi de dépouille ?
pcq il va se faire une attache dessus , mais je ne connais encore jusqu où elle montera mais ce que je sais c est que vais exploiter la partie libre pour la limite de la couronne . Alors tant qu à faire autant ne pas avoir à y retourner pour faire une taille périphérique. Le but étant de juste a avoir a préciser la limite de la prothèse en limite de finition pour le labo .

En gros c est cet axe racinaire qui déterminera l axe de la préparation . Bon pour une couronne ça paraît simple , mais pour un bridge ça prend toute son importance.
Voilà pourquoi c est intéressant d avoir une fraise longue , les 2 actions du haut et du bas étant liées .

Suis je clair ?


paul53

25/04/2025 à 20h53

Oui ! Merci


Vw campersurfvan bmnk1q - Eugenol
enlaye

28/04/2025 à 19h47

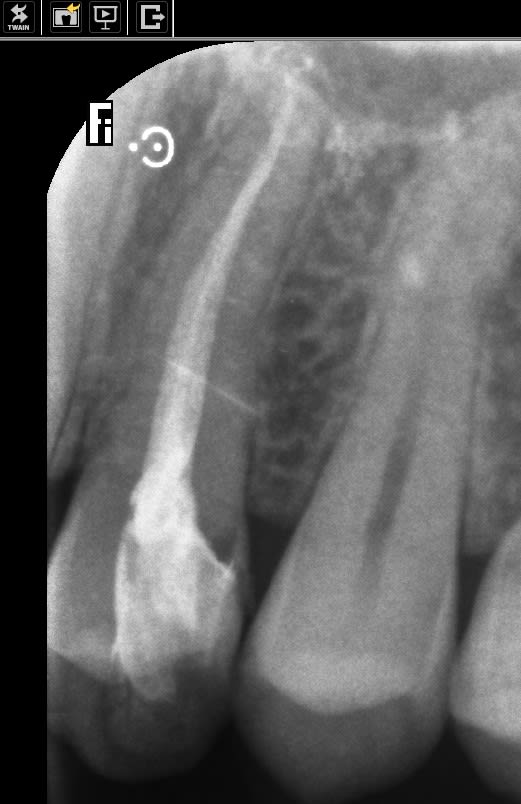
une dernière d aujourd'hui .
le cas de départ était profond pour un jeune . il est resté des mois avec son pansement et ça saigne volontiers

4xayrlvj92rwvh98nmb53lles8ks - Eugenol

Optic’s

28/04/2025 à 20h26

Et ?


Vw campersurfvan bmnk1q - Eugenol
enlaye

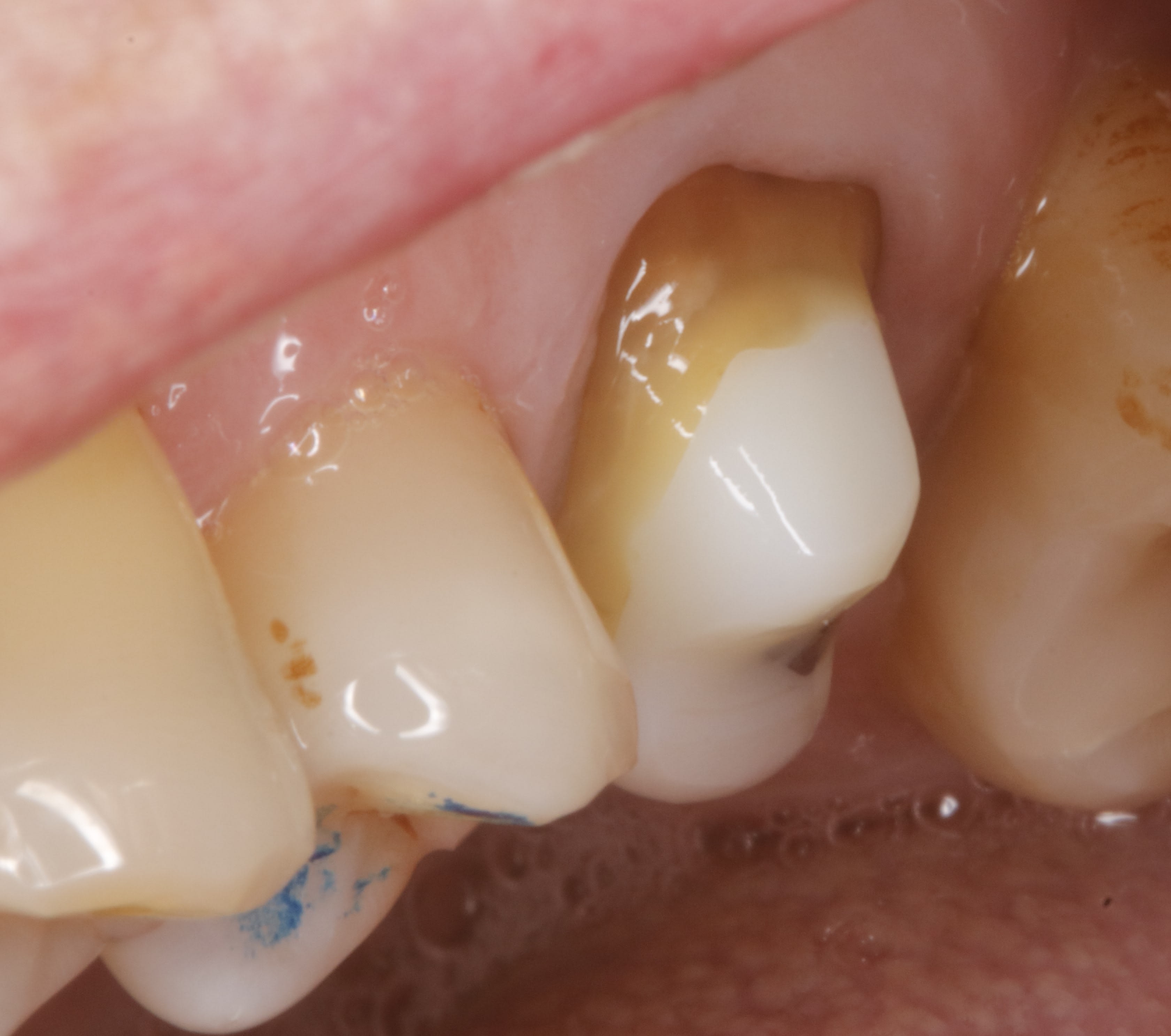
28/04/2025 à 20h43

et le plus simple était de couper la papille emboucanée et là on est à 3 semaines sans prov , aujourd'hui c est le jour de la pose .

N5mjmu4g20ggfbuktclhfzb4i0it - Eugenol
3os0pxsfpntwg491bfybvwlatt1p - Eugenol

Vw campersurfvan bmnk1q - Eugenol
enlaye

28/04/2025 à 20h45

aller envoies 440

Qaj4c4xl874hjkr2dv5couxyr6iw - Eugenol

Vw campersurfvan bmnk1q - Eugenol
enlaye

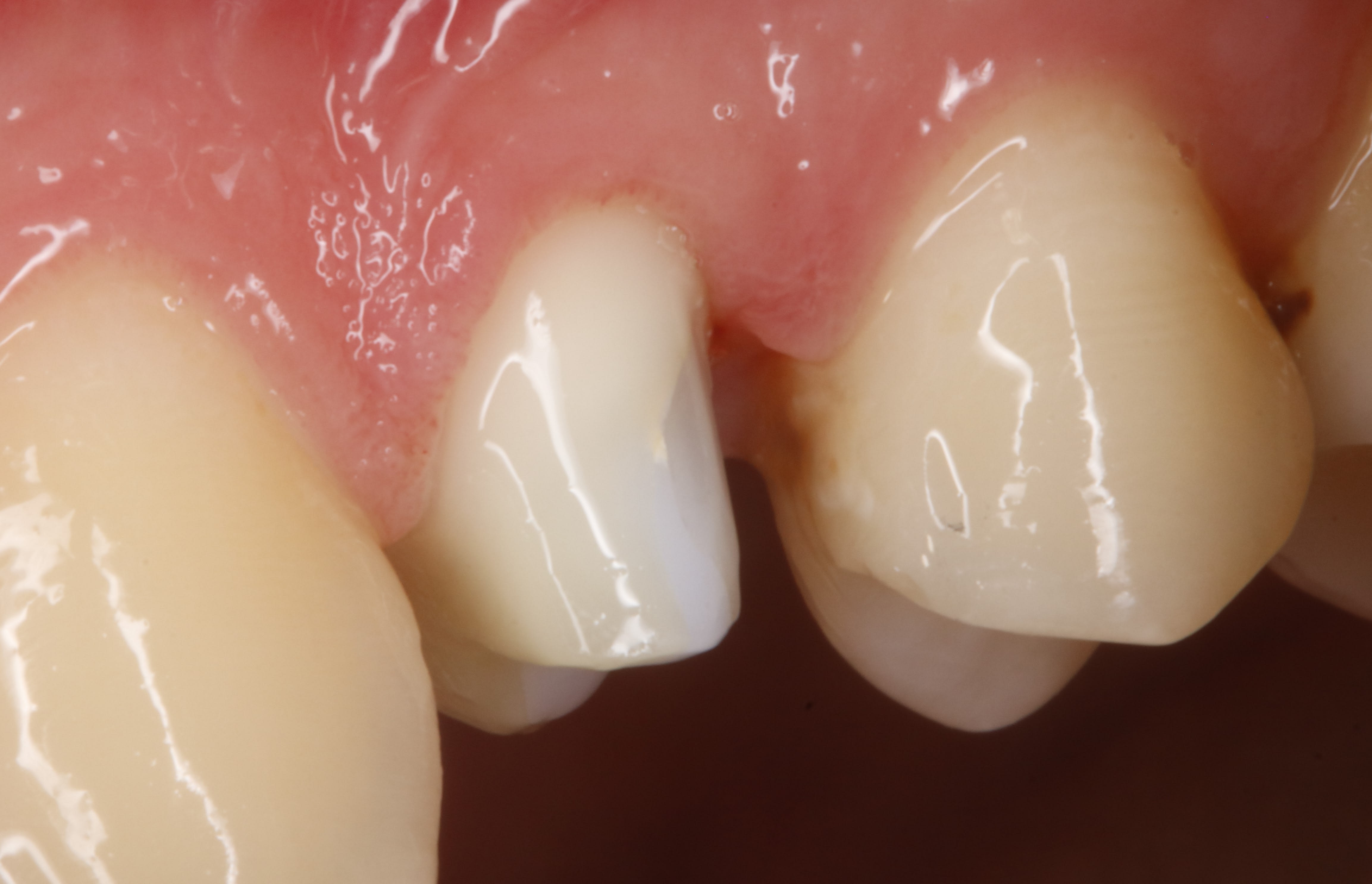
29/04/2025 à 11h39

un avantage de ne pas mettre de prov , c est qu' on ne t appellera jamais pour le resceller :-))
mais au delà de ça cela ta permet de faire ton curetage rotatif avant la finition de la taille .
la taille , le jour du curetage ( donc de la 1 ere séance) les limites sont tjs juxta voir sans limites du tout au niveau proximal .
et l autre avantage , c est que le jour de l empreinte , il t est très facile de repréciser les limites infra sans aucune goute de sang .
la photo de ce matin , c est le jour de l empreinte limites retaillées .

Gcaaxxnxmb68w91pnk19wy1dr5qm - Eugenol

Vw campersurfvan bmnk1q - Eugenol
enlaye

29/04/2025 à 11h44

et pourtant sans aucun produit ni fil , sans rien , l empreinte est propre et on a le profil d émergence périphérique .
je n ai pas la cam , mais suis sur qu en découpant un peu plus large la gencive périphérique ca devrait être très lisible

L37x4lkyj8mczhfoc43i0yq56wvq - Eugenol
H1xtmto95cu2hty823tty7cgr3lm - Eugenol

Vw campersurfvan bmnk1q - Eugenol
enlaye

29/04/2025 à 11h45

t' ain qu est ce qu il ne faut pas faire pour prendre 440 :-)))


Hok 1b hgd3rj - Eugenol
Hokusai

29/04/2025 à 12h58

mais t as pas des points de contacts trop fort sans prov ? perso quand la prov se descelle et qu il reste sans rien 7-10j , je dois retoucher les points de contact pour qu elle descende

après je fais taille empreinte prov dans le même seance...


Vw campersurfvan bmnk1q - Eugenol
enlaye

29/04/2025 à 13h09

" mais t as pas des points de contacts trop fort sans prov ? " non , la dent a déjà bougé avant que je prenne l empreinte après elle reste calme ce n' est pas un ascenseur non plus .


Vw campersurfvan bmnk1q - Eugenol
enlaye

29/04/2025 à 13h14

Hokusai écrivait:
-------
" perso quand la prov se descelle et qu il reste sans rien 7-10j ...." c est là que tu te dis : elle est putain qué belle la gencive , avoues :-))


Et7jtaj0pdi18gzjlxjiamlx15gs - Eugenol
Prunelles

29/04/2025 à 13h38

enlaye écrivait:
------
> et le plus simple était de couper la papille emboucanée et là on est à 3 semaines sans prov , aujourd'hui c est le jour de la pose .

Sachant qu’il s’agit de la papille en distal, que la limite y soit légèrement supra-gingivale au final ça ne va pas changer grand chose au rendu esthétique dans le cas où l’empreinte aurait été faite le jour de la taille.
J'observe souvent que la papille regagne l’espace une fois protéger par la couronne pour peu que le profil en interprox soit bien géré.


Vw campersurfvan bmnk1q - Eugenol
enlaye

29/04/2025 à 14h06

Ah oui c est vrai . Surtout si tu sais a l avance où sera la limite en supra . Toi et le labo .
Et comment le sais tu au fait ? :-) pcq c est de là que démarre le profil interproximal bien géré comme tu dis

Après vu que tu prends des empreintes numériques le sang te dérange beaucoup moins qu avec les silicones .


Vw campersurfvan bmnk1q - Eugenol
enlaye

29/04/2025 à 14h36

enlaye écrivait:
------
"et le plus simple était de couper la papille emboucanée et là on est à 3 semaines sans prov , aujourd'hui c est le jour de la pose ."

Heuuuu j ai dit 3 semaine pcq il n est pas venu avant , tout simplement, 1 semaine après l empreinte aurait suffit , hein .