Cookie Consent byPrivacyPolicies.comImplant proche d’une racine dévitalisée - Eugenol

Implant proche d’une racine dévitalisée

Mikaellisa

09/12/2025 à 23h50

Bonjour
J’ai eu deux implants aujourd’hui.
Un implant est proche d’une racine mais celle ci est dévitalisée.
Il réfléchissait à l’enlever ou à le laisser et devait échanger avec des confrères.
Qu’en pensez vous?
Y a t il un risque avec une racine dévitalisée ? Merci.

Mikaellisa


120 81 mdkvjo - Eugenol
Monaco

10/12/2025 à 04h32

C'est un lupus ! C'est toujours un lupus !


Avatar transparent iqadnc - Eugenol
adhoc

10/12/2025 à 09h06

Quand tu passeras en troisieme années d'odontologie , on t'expliquera :-)


Mikaellisa

10/12/2025 à 09h35

Bonjour
Je ne vous demande pas une réponse très détaillée. Juste savoir si il y a des risques ultérieures ou pas.
Car comme cet implant servira de pilier de bridge avec l’autre implant, je ne veux pas être embêté dans le temps et en même temps ressortir l’implant et le remettre, c’est pas une partie de plaisir pour moi donc ma demande si c’est risqué de laisser comme cela. Cordialement.
Merci.


Hok 1b hgd3rj - Eugenol
Hokusai

10/12/2025 à 09h38

non c est ok tu peux y aller...


Mikaellisa

10/12/2025 à 09h42

Merci Hokusai pour votre réponse rassurante. Cordialement.


Hokusai écrivait:
-------
> non c est ok tu peux y aller...

Oui mais où ?


Hok 1b hgd3rj - Eugenol
Hokusai

10/12/2025 à 10h15

Mikaellisa écrivait:
----------
> Merci Hokusai pour votre réponse rassurante. Cordialement.

non mais je deconne...
on a aucun tableau clinique aucune imagerie... rien nada... tu veux avoir quoi comme réponse ?

moi maintenant je dis qui vivra verra... y a des implanto qui forent dans des canines maxillaires incluses... et ça se passe bien.


king_zoulou

10/12/2025 à 10h21

Ce forum est réservé aux professionnels de santé.

Si vous voulez un deuxième avis, un troisième, un vingtième… bah vous allez consulter vingt autres dentistes.

Ou sinon y a chatgpt


Mikaellisa

10/12/2025 à 12h41

Encore faudrait il qu’on en trouve.
Un grand merci à Okusai.
Quant aux autres, je dirai que le ton que vous utilisez avec votre petit air supérieur, je retrouve le ton de certains médecins jeune génération où l’argent prédomine sur le service médical.
Vous avez fait de longues études, moi aussi et je reste courtois sans prendre les gens de haut. si on me pose une question dans mon domaine, je réponds le plus simplement possible pour aider.
Mais ce n’est surtout pas votre façon de faire de me considérer comme un membre de la petite société donc très éloigné de vous.
Triste France et merci à Okusai.


Hok 1b hgd3rj - Eugenol
Hokusai

10/12/2025 à 12h44

je sais je suis le meilleur... y que des rageux et des pessimistes sur eugenol.

heureusement que je suis là pour relever le niveau


Ne l'écoute pas mon Mika, c'est moi le meilleur 💪


Et7jtaj0pdi18gzjlxjiamlx15gs - Eugenol
Prunelles

10/12/2025 à 13h23

ℙ𝕖𝕣𝕧𝕖𝕣𝕤 ℙé𝕡è𝕣𝕖 écrivait:
--------------
> Ne l'écoute pas mon Mika, c'est moi le meilleur 💪

Et on sent fout !
La vraie question est : Qui a la plus grosse ?


Capture d  cran 2015 03 12 12.28 - Eugenol
chicot29

10/12/2025 à 13h32

Mikaellisa écrivait:
----------
> Encore faudrait il qu’on en trouve.
> Un grand merci à Okusai.
> Quant aux autres, je dirai que le ton que vous utilisez avec votre petit air
> supérieur, je retrouve le ton de certains médecins jeune génération où l’argent
> prédomine sur le service médical.
> Vous avez fait de longues études, moi aussi et je reste courtois sans prendre
> les gens de haut. si on me pose une question dans mon domaine, je réponds le
> plus simplement possible pour aider.
> Mais ce n’est surtout pas votre façon de faire de me considérer comme un membre
> de la petite société donc très éloigné de vous.
> Triste France et merci à Okusai.

Tout à fait pourquoi parler d'implants hors de prix alors qu'un petit appareil peut tout à fait convenir pour remplacer vos 2 dents. C'est beaucoup moins cher en plus.


Prunelles écrivait:
---------
> ℙ𝕖𝕣𝕧𝕖𝕣𝕤 ℙé𝕡è𝕣𝕖 écrivait:
> --------------
> > Ne l'écoute pas mon Mika, c'est moi le meilleur 💪
>
> Et on sent fout !
> La vraie question est : Qui a la plus grosse ?

on sent fou(t) : ça veut dire que tu pues ?
ou
on s'en fout : ça veut dire que tu t'en bats les steaks ?

Et d'abord c'est moi ka la plus grosse, épicétou, d'ailleurs m'en va commander au papa noel shein un nouvel imper plus grand (en plus de ce que tu sais) pour ranger tout mon matos.


Hok 1b hgd3rj - Eugenol
Hokusai

10/12/2025 à 13h45

ℙ𝕖𝕣𝕧𝕖𝕣𝕤 ℙé𝕡è𝕣𝕖 écrivait:
--------------
> Et d'abord c'est moi ka la plus grosse, épicétou

la photo qui le confirme :

Tuskahmw7b7vnf9wysezarg3iqv4 - Eugenol

Et7jtaj0pdi18gzjlxjiamlx15gs - Eugenol
Prunelles

10/12/2025 à 13h48

ℙ𝕖𝕣𝕧𝕖𝕣𝕤 ℙé𝕡è𝕣𝕖 écrivait:
--------------
> on sent fou(t) : ça veut dire que tu pues ?
> ou
> on s'en fout : ça veut dire que tu t'en bats les steaks ?

Ouais c'est pas faux !

Aq4a4ymxzj5f458szk43h4nux3eq - Eugenol

Hokusai écrivait:
-------
> ℙ𝕖𝕣𝕧𝕖𝕣𝕤 ℙé𝕡è𝕣𝕖 écrivait:
> --------------
> > Et d'abord c'est moi ka la plus grosse, épicétou
>
> la photo qui le confirme :

Même pas vrai, pas la bonne photo

Cdh3kfynpy1ejsh64pj3ktgq2ir2 - Eugenol

Hok 1b hgd3rj - Eugenol
Hokusai

10/12/2025 à 13h52

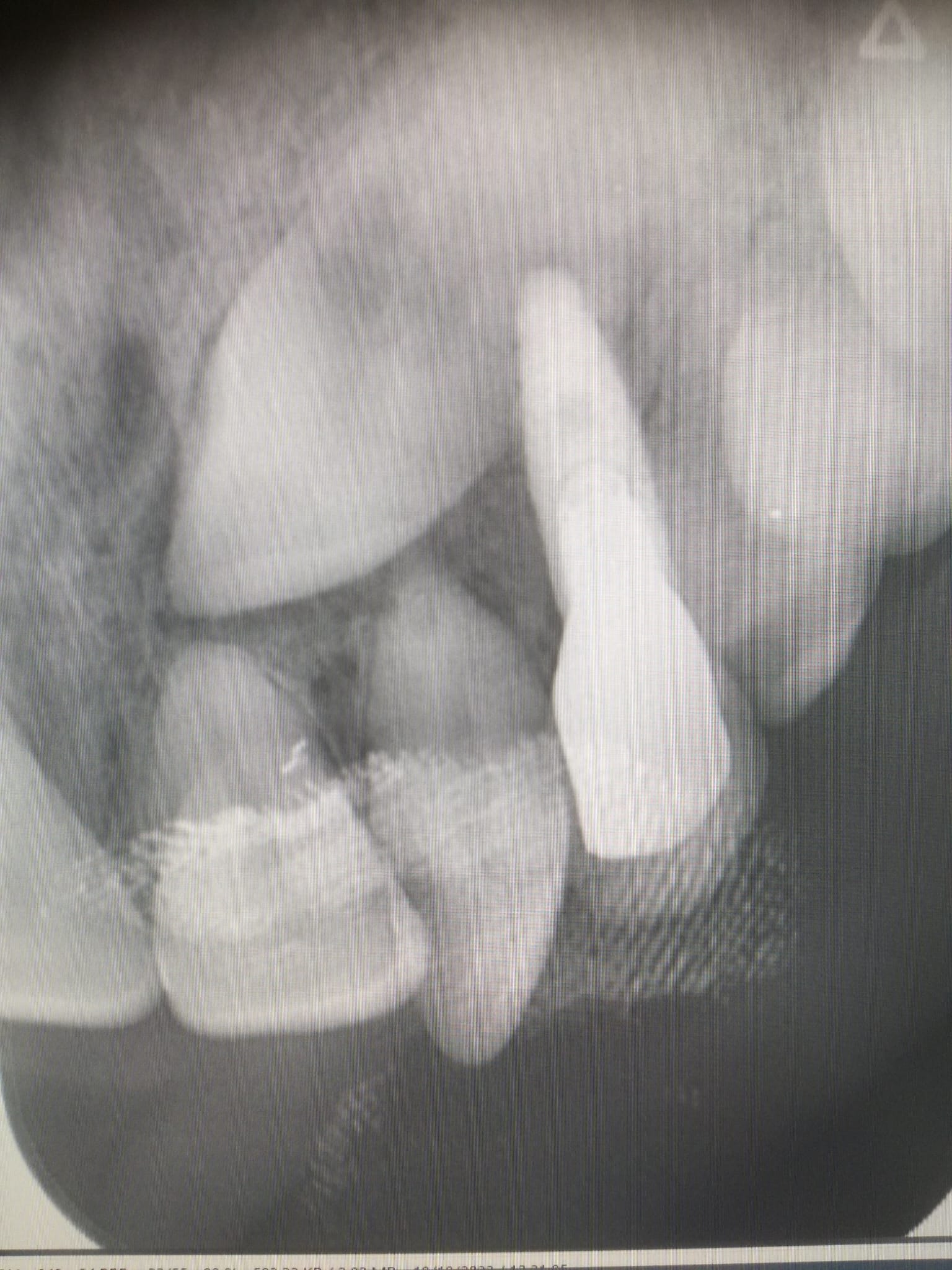
là par exemple on est très très proche de la racine... :

3b4kdca6bxig2am518lqpvuf47g3 - Eugenol

Gabzou

10/12/2025 à 14h34

Mikaellisa écrivait:

> Quant aux autres, je dirai que le ton que vous utilisez avec votre petit air
> supérieur,

Ce n'est pas un air supérieur, c'est de la moquerie (plutôt bon enfant) envers une personne qui a délibérément ignoré à plusieurs reprise l'avertissement "forum réservé aux professionnels de santé" en espérant que ça passerait.
Non, ça ne passe pas, alors plutôt que de répéter pour la Xème fois qu'aucun praticien ne serait en mesure de fournir un diagnostic en ligne, certains osent (les malheureux), se permettre un peu d'humour à tes dépends.


Gabzou

10/12/2025 à 14h59

@ Hokusai
Là aussi on est très proche. Trop d'ailleurs.
Ca s'est mal terminé.
Je me souviens d'une conf à l'ADF d'un praticien qui affirmait avec beaucoup d'aplomb qu'il n'y avait aucun problème à transfixer des racines. Depuis j'ai vu ce cas, et j'ai un peu plus de doutes.

Xjl7j1xqmc1kk7je5jdwm8lmi36c - Eugenol
1cehfyo452d8vb4e4rhx349l17tv - Eugenol

Mikaellisa

10/12/2025 à 15h01

Je comprends.
Effectivement je n’avais pas pu que c’était pro comme forum.
Désolé.
C’était juste un peu d’inquiétude de ma part comme je voyais un peu d’interrogation chez mon dentiste que le bout de la racine soit entre 0,5mm et 1mm de l’implant, j’essayais de me rassurer en me disant que la racine était dévitalisée et je pensais donc que ça pouvait marcher sans devoir tout recommencer 😔


Gabzou écrivait:
------
> @ Hokusai
> Là aussi on est très proche. Trop d'ailleurs.
> Ca s'est mal terminé.

Ça finit souvent mal ♫... en général ♫


Et7jtaj0pdi18gzjlxjiamlx15gs - Eugenol
Prunelles

10/12/2025 à 15h04

Gabzou écrivait:
------
> Je me souviens d'une conf à l'ADF d'un praticien qui affirmait avec beaucoup d'aplomb qu'il n'y avait aucun problème à transfixer des racines. Depuis j'ai vu ce cas, et j'ai un peu plus de doutes.

Mon poseur me disait, si il faut toucher une racine, il ne faut pas le faire à moitié et vraiment la traverser de part en part.
Si Pluton ou Bouboule peuvent confirmer ca ?


bouboule

10/12/2025 à 15h49

Prunelles écrivait:
---------
> Gabzou écrivait:
> ------
> > Je me souviens d'une conf à l'ADF d'un praticien qui affirmait avec beaucoup
> d'aplomb qu'il n'y avait aucun problème à transfixer des racines. Depuis j'ai vu
> ce cas, et j'ai un peu plus de doutes.
>
> Mon poseur me disait, si il faut toucher une racine, il ne faut pas le faire à
> moitié et vraiment la traverser de part en part.
> Si Pluton ou Bouboule peuvent confirmer ca ?

Perso j’y touche pas. Jamais. Même quand ça fonctionne je trouve que c’est une bombe à retardement.
On fait comment si la canine incluse se retrouve prise dans un foyer d’une autre dent et qu’il faut la virer? Le tout avec l’implant qui la traverse qui lui est encore en partie intégré …


12