Cookie Consent byPrivacyPolicies.comamelogenese! - Eugenol

amelogenese!

Modérateur

08/04/2005 à 02h06

perthuis a écrit:
-------------------------------------------------------

> Elle est atteinte de surdité , je suppose qu'il
> n'a pas de rapport ?

Pour une fois je ne zappe pas une patiente, car devant un tel questionnement, il est difficile de zapper.

Et plus je réponds.

Il est indispensable de savoir si la surdité fait partie d'un syndrome pluri-malformatif.

Si c'est le cas, il convient de prendre contact avec les services hospitaliers, car le dentiste de ville n'est pas formé pour la prise en charge de ce type de pathologie, et doit être avant tout mis au courant de l'état général, et qu'il ait ensuite l'intelligence d'aller chercher les bonnes solutions, auprès des soignants.

Car malheureusement, dans ce type de syndrome, il est fréquent que la prise des médications générales provoquent des problèmes entre autres de fragilité dentaires, et le simple soin, ne suffit pas, quand ce n'est pas le syndrome lui même qui explique en tout ou partie cette fragilité.


Image19 iebot6 - Eugenol
athos

08/04/2005 à 22h15

merci Catrose, je n'avais pas saisi cela en effet

mais je m'éloigne car le moderateur est arrivé!!...

(je plaisante monsieur le moderateur, votre intervention, pour étonnante qu'elle fut m'a fortement réconcilié avec ce que j'imaginais de votre sensibilité...et j'adhere a ce que vous avez dit.)


Avatar transparent iqadnc - Eugenol
adhoc

09/04/2005 à 21h12

S'il avait zappé, on refesait une bouderie générale numérique au coin du feu.
Tu nous feras suivre ton cas d'email piqueté chez ta petite ado, athos?
Il y avait hésitation entre cupules céramiques ou plaquage composite liquide.
Je pense que la deuxieme solution, a son age , est plus indiquée, mais ce n'est qu'une opinion.


Image19 iebot6 - Eugenol
athos

09/04/2005 à 21h57

oui Adhoc, c'est pour compo liquide que je m'était décidé,cependant j'ai des craintes concernant leur tolérance pulpaire car il sa s'agir de grandes étendues sans barrière de protection, meme si je soigne l'adhesion pour reduire l'interface dent biomateriau, je n'aurais pas de fluorures pour la controler...les volumes pulpaires sont enormes et tres proches!

j'ai toujours un faible pour les verres ionomères, que ce soit en restauration ou en scellement, mais là je coince...

l'aspect esthetique des compo liquides n'est pas le top... de memoire il y avait eu un post sur des preparations a minima et des facettes pelliculaires, je n'ai pas retrouvé.

de toute manière les dents sont a peine émergées alors ça va pas aider!

j'ai demandé une pano (la mienne n'est pas encore installée, pas encore commandée ferme en fait, j'hesite), elle ne m'a rien révélé de plus, toutes les dents sont là, avec des volumes pulpaires enormes!!!...

ce matin j'ai fait un essai sur une 24 avec un compo liquide, la petite a coopéré (mais a trouvé ça contraignant, va falloir apprivoiser!), a la fin elle m'a dit : oh elle est belle!! je veux celle là et pis celle ci aussi!... la pauvre se rend pas compte...

esthetiquement c'était passable, faut que je trouve un compo plus indiqué...

une suggestion?


Audi tt 2007 jzsdts - Eugenol
sbire

09/04/2005 à 23h22

Comme adhesif, tu pourrais utiliser un monocomposant contenant un desensitizer, évidement pas d'etching.
Les flow existent aussi en opaque donc pourquoi pas deux couches, l'une pour masquer les lacunes et l'autre pour l'esthétique.

As tu fait des gouttières de fluor avant?
Tu peux aussi faire des tests de susceptibilité carieuse pour controler tout cela (PDI).

La reconstitution, tu la fais juste en vestibulaire? Préparation de la dent ou pas?

A+


carie killer

09/04/2005 à 23h45

sbire a écrit:
-------------------------------------------------------
> Comme adhesif, tu pourrais utiliser un
> monocomposant contenant un desensitizer,


tu peux utiliser bis block de chez bisico


Image19 iebot6 - Eugenol
athos

09/04/2005 à 23h49

pour le compo de ce matin c'est ce que j'ai fait, masque et teinte, le resultat est passable, c'était un test avec ce que j'avais, je dois pouvoir faire plus caracterisé...

mais ça c'est en vestibulaire, j'y arriverai avec de la patience, toutes les autres faces m'inquiètent...

le controle du risque carieux m'inquiète moins, ça parait paradoxal car c'est le but recherché,, mais je pense que ce sera gerable, plus que la tolerance aux resines...


je n'ai pas fait de gouttières, j'ai beaucoup hésité, a l'epoque (denture lacteale) il y a quelques années j'étais branché zymafluor, je ne vois aujourd'hui aucune trace d'atteinte malgré tous les parametres defavorables, et la petite a de tres bonnes habitudes d'hygiène.
mais il est peut etre encore souhaitable d'en faire?

pour la prepa des surfaces, j'aimerais etre minimaliste, elle n'a que 11ans, c'est sur ça va pas faciliter les techniques...

bin ce soir je plonge dans les catalogues pour trouver produits miracles!

merci de l'aide!!!


ZORBECA

10/04/2005 à 13h56

Tu crois encore aux miracles...

Bon courage ce sont des cas que je n'aime pas du tout, je me sens responsable, pourtant nous y sommes pour rien.

Bon dimanche

Code pour Athos: MADOUCERENTREDEPARISCETAPRESMIDI.


Image19 iebot6 - Eugenol
athos

10/04/2005 à 15h21

code bretonnant : FAISLUIMESHOMMAGESEMPRESSES


catrose

11/04/2005 à 00h05

athos,
cas delicat mais on a tous confiance en ta competence
je te conseille un desensitizer tres efficace a placer avant le composite: GLUMA de Kulzer

"la pauvre ne se rend pas compte.."
C'est bien la le probleme.Ce n'est qu' a travers tes explications et tes soins qu'elle(et les parents) comprendra l'importance du suivi ;imperatif de ne pas la "lacher" .
Moi un cas comme ca,c'est un recall tous les 3 mois par courrier(carte postale sympa standardisee)


Image19 iebot6 - Eugenol
athos

11/04/2005 à 00h17

merci Catrose, c'est celui que j'avais choisi, ça me rassure que Bill et toi soient de cet avis...

je posterai les photos des que cela aura avancé un peu, mais je vais privilégier l'intéret sur le long terme plus que la présentation eugenolienne, tant pis pour mon ego.


Avatar transparent iqadnc - Eugenol
adhoc

11/04/2005 à 17h46

Dans les cavités plus importantes a pulpe assez proche, peut etre envisager technique sandwich VIo - composite?
(le petit hic avec gouttiere de fluoration; l'adhésion est hélas souvent moins bonne pour les compos.)


catrose

11/04/2005 à 19h53

adhoc,
peux tu expliquer sandwich Vlo-composite?


Image19 iebot6 - Eugenol
athos

11/04/2005 à 20h31

le biomateriau qui sera en contact avec le tissus dentaire sera un verre ionomere afin de pouvoir controler l'interface par les fluorures

le biomateriau de restauration sera un composite pour assurer la perinité de la restauration

pour les gouttieres je suis de ton avis Adhoc.


catrose

11/04/2005 à 21h05

bon,je vais rajouter VIo dans mon glossaire(j'avais lu V Lo)
J'ai fait cette technique sur des molaires posterieures erodees par abus de Coca:
VIo fuji
Composite Z 100


Image19 iebot6 - Eugenol
athos

11/04/2005 à 22h15

oui, et le collage du compo sur le v iono?


catrose

12/04/2005 à 00h28

Technique de routine:
GC Cavity Conditionner
GC Fuji II LC
Etching ou One-step(mieux ici car moins agressif)
Bonding
Z 100

Dans ton cas,il va falloir que tu t'adaptes a la forme de la dent,aux surfaces en pensant aussi a la sensibilite(Gluma) et a l'esthetique.
Beau challenge


Avatar transparent iqadnc - Eugenol
adhoc

12/04/2005 à 00h34

Je viens de reprendre le fil. Pardon Catrose, lire VIO au lieu de VLO (erreur de frappe).
Dans le cas de ta petite patiente, athos, pour le collage demandé, procédure catrose, toujours impecc.


Audi tt 2007 jzsdts - Eugenol
sbire

12/04/2005 à 01h13

yes!


Blue eye thumb medium dx1i0w - Eugenol
bill

13/04/2005 à 02h35

C'est la même technique que les cavités "sandwichs" postérieures.
Le pb que tu auras sasn doute athos sera esthétique car finesse des couches....
Tu peux essayer de faire qq essais de teinte sur des dents extraites.
Bon courage.


tantine

15/04/2005 à 17h16

j'arrive un peu en retard mais expérience perso,attention aux VIo sur dts ayant une amélogénèse imparfaite,car parfois réaction très douloureuse post op durant 2H!


Avatar transparent iqadnc - Eugenol
adhoc

15/04/2005 à 18h31

Ces vilains tubulis qui font que nous embeter.


Image19 iebot6 - Eugenol
athos

30/04/2005 à 14h10

pfff...des nouvelles de ma galères pour ceux qui s'y interessent et qui compatissent( sont trop bons!)

d'abord j' ai coincé le papa, donc c'est bien de sa faute!

Pere hw7tpw - Eugenol

Image19 iebot6 - Eugenol
athos

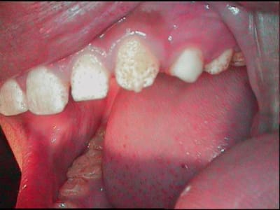
30/04/2005 à 14h11

j'ai fait il y a 10jours un test sur 24, grossier! mais pour voir la tolerance

Test prealable sur 24 vv6qwp - Eugenol

Image19 iebot6 - Eugenol
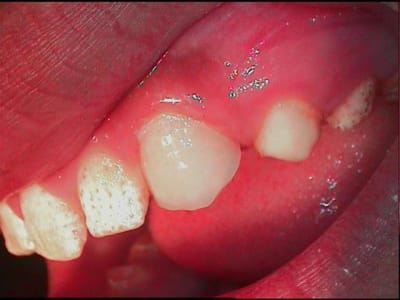
athos

30/04/2005 à 14h12

ce matin, comme la sensibilité résiduelle etait tres légère, j'ai osé sur 23

23 fflmpl - Eugenol