Cookie Consent byPrivacyPolicies.comamelogenese! - Eugenol

amelogenese!

Image19 iebot6 - Eugenol
athos

30/04/2005 à 14h17

je sais j'ai repassé au collet!

donc en résumé de vos conseils ( comme ça cela sera de votre faute a tous!): pas d'etching, gluma,verre iono (petites pointes, et tres fine pellicule pour l'esthetique...

si la semaine prochaine la bouche n'a pas explosée je suivrai ce protocole

nb : en posterieur je scelle!! mais dur dur!!
ci joint la 37...c'est drole hein?!...

Hihi  f6hapz - Eugenol

ZORBECA

30/04/2005 à 17h35

.


Avatar transparent iqadnc - Eugenol
adhoc

01/05/2005 à 18h08

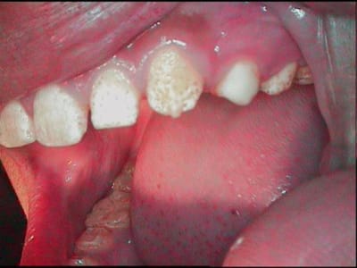
37;perte de densité vestibulaire.
Merci, athos, de poursuivre ce cas intéressant. Ta jeune patiente sera de toute facon motivée pour refaire de temps en temps ses verres ionomère dont le seul point négatif est la solubilisation progressive. Mais entre temps tu fais faire de la dentine tertiaire aux endroits les plus profonds. Vue a long terme pour une patiente motivée et fidèle, sympa!!!


michele

07/06/2005 à 17h12

bonjour
ce que vous avez fait sur la 23 protège aussi des caries ?

(mon fils de 5 ans a aussi une amélogénèse imparfaite et ses dents s'usent ...)

merci bcp

michele


Image19 iebot6 - Eugenol
athos

07/06/2005 à 21h28

chère Michele
si je répond a un patient je vais de toute manière me faire zapper par les mechants moderateurs cachés dans l'ombre mais qui surveillent

c'est vrai qu'on ne peut décemment pas consulter ainsi et ce ne serait pas professionnel de ma part de te donner un avis comme ça sans voir le cas

cependant tu peux consulter ton praticien qui est a meme de te conseiller, promis.

ton petit a 5 ans ce sont donc des dents de lait
ça ne présage pas forcément de ses dents definitives meme si cela n'augure pas favorablement

suis mon conseil, consulte ton praticien, tu verras bien que ses conseils vaudront les miens.


Image19 iebot6 - Eugenol
athos

25/10/2005 à 18h41

tiens! pendant que je suis en pedo, et que mac est occupé ailleurs, la suite, donc en definitive, glumla et flow,pas de taille,pas d'etching,pas de sensibilité post op, je crains pour les faces occl des post, sinon ça filoche pas trop mal pour l'instant...

1 sceu5w - Eugenol
1bis gqoz5j - Eugenol
2 lb5hv9 - Eugenol
2bis gwdkbq - Eugenol

Logo vuaztn - Eugenol
mac

25/10/2005 à 18h49

athos Ecrivait:
-------------------------------------------------------
> tiens! pendant que je suis en pedo, et que mac est
> occupé ailleurs, la suite, donc en definitive,
> glumla et flow,pas de taille,pas d'etching,pas de
> sensibilité post op, je crains pour les faces occl
> des post, sinon ça filoche pas trop mal pour
> l'instant...


je te surveille;)

good job, mais pense à l'appareil photo;)


Image19 iebot6 - Eugenol
athos

25/10/2005 à 18h54

mac Ecrivait:

> je te surveille;)
>
> good job, mais pense à l'appareil photo;)


arghhh...t'es encore là!!!

pfff....quel appareil photo!!!! sont bien mes clichés! (plus précis on verra trop les defauts!)


catrose

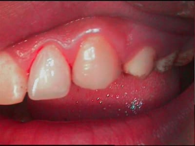
25/10/2005 à 20h31

bravo,tres joli sourire
qu'as tu fait pour les posterieures?


Image19 iebot6 - Eugenol
athos

25/10/2005 à 20h48

bin justement! rien en occlusal encore!!! je ne vois pas comment m'"accrocher", et j'aimerais ne pas tailler (elle est jeune encore:12ans1mois! et les 7 sont a peine émergées, les pulpes hypervolumineuses, les faces ocl quasi-plates...)

je vois bien qu'il faut faire quelque chose, mais je vois pas comment...

pour l'instant j'ai bien apprivoisé le petit animal...bon facile...petite de 12ans, un miroir et elle est aux anges! ça motive!


alhoun

25/10/2005 à 21h04

mais qu'est ce je fous ici moi?
ah oui: très joli, athos.


Image19 iebot6 - Eugenol
athos

25/10/2005 à 21h49

alhoun en pédo!!!!!!!!!!!! rien que pour moi!!!!!!!!!!!!!quelle émotion, je suis comblé des dieux ce soir...

meeeeeeeeeeeeeeeeeeeeeeeeeerci


elalloussi

17/11/2005 à 11h25

effectivement c'est un e amelogenese imparfaite a email pitted elle est rare c'est la fomme hypoplasique a email pitted le traitement apres conseil d'hygiene est le commpsite fluise qui comble le puit


Image19 iebot6 - Eugenol
athos

17/11/2005 à 13h06

en effet, une bonne hygiene, enseignée a l'époque des dents de lait (qui n'avaient pas d'amelogenese ) a limité le risque carieux....pour l'instant


pour abonder dans ton sens concernant l'heredité, ci joint une photo du papa, cependant moins avancé que sa fille

pour diverger cependant, l'hérédité n'inclue pas forcément, dans ce cas les atteintes obligatoires des lactéales, elles étaient indemnes a l'époque

quand j'ai vu le papa, j'ai pensé qu'une simple mise a plat des puits dans certaines régions auraient peut etre permis de limiter le risque carieux, je n'ai pas osé...

Le papa uomqqa - Eugenol

tantine

17/11/2005 à 22h16

la barbe n'est pas mal non plus!