Cookie Consent byPrivacyPolicies.comAnalyse céphalométrique 07/01 - 03/04 - Eugenol

Analyse céphalométrique 07/01 - 03/04

MT

16/04/2005 à 21h00

L'angle ANB n'est absolument pas fiable dans la détermination des classes squelettiques. Il est trop dépendant de la version des incisives.

Il n'est pas rare de trouver une classe I avec proalvéolie supérieure dont l'ANB est > à 6°.

Il n'est pas rare de trouver une classe III avec ANB positif s'il existe une compensation alvéolaire du décalage des bases avec proalvéolie > et rétroalvéolie <.

Pour déterminer la classe squelettique, rien ne vaut l'analyse de Sassouni ou de Delaire.


1 p3qrc4 - Eugenol
Bjc.

17/04/2005 à 04h51

L'angle ANB est très, très, mais alors très peu dépendant de la version des incisives.

C'est une mesure complémentaire, qu'il faut interpréter.

S'il y a de nombreuse analyses céphalometriques, c'est qu'aucune n'est parfaite.
Et que, quelque soit la technique que l'on choisi, il faut la faire intélligement, et non pas croire, ou dire que l'angle ANB est dépendant de la version des incisives. C'est un non sens.
Il faut comprendre l'angle ANB, et ses intervenants, et d'autres mesures simples, avant de faire du Sassouni ou du Delaire; qui sont, de plus, des analyses complèxes et délicates.
C'est encore une fois le petit bout de la lorgnette.


Tu vois Adhoc, c'est ça qui me chagrine. La perte de bon sens!!!

@+












MT

17/04/2005 à 13h02

La position des points A et B dépend bien de l'inclinaison de la table externe de l'os alvéolaire incisif et donc de la version des incisives. Il faut mieux tenir compte des valeurs absolues de SNA et SNB que de leur différence.

La détermination des classes squelettiques par Sassouni est rapide et simple: prendre point O intersection des plans palatin, occlusal et mandibulaire et du plan parallèle au plafond de l'orbite passant par le point le plus inf de la selle turcique (le plus souvent une des 4 droites ne passe pas par O, ne pas en tenir compte). ENA et Pog se trouvent idéalement sur la même arc de cercle de centre O que le profil soit archial, post-archial ou pré-archial. Ceci permet de déterminer et de visualiser rapidement le décalage des bases.

Pour Delaire, pas la peine de se taper toute l'analyse. Repérer trois points:M, FM et Clp. Tracer M-Clp. Puis tracer CF1 passant par FM de façon à ce que l'angle MClp-CF1 soit égal à 85 ou 90° selon le sexe et l'âge. Idéalement NP et Me sont sur cet axe. sinon tracer FM-NP et FM-Me. Ceci permet de déterminer et de visualiser trés rapidement le décalage saggital des bases.


MT

17/04/2005 à 13h18

Amusez-vous donc à comparer les valeurs de ANB et du décalage donné par Sassouni et/ou Delaire et vous ferez les mêmes constatations que moi.

Personnellement je ne tiens quasiment plus compte de la valeur de ANB dans les cas limites (petite Classe II, petite Classe III).

Et si l'examen clinique reste primordial, la multiplication des mesures céphalométriques par "petits bouts" de différentes analyses permet pour moi de faire le tri et et mieux préciser la conduite à tenir dans les cas difficiles. Il n'y a pas un seule analyse fiable à 100%, je suis d'accord.


Avatar transparent iqadnc - Eugenol
adhoc

17/04/2005 à 13h51

Ce qui serait intéressant, voire rigolo, serait qu 'on cherche un cas actuel, en traitement,où une analyse non archiale (steiner par ex.)et une analyse archiale donnent deux résultats assez opposés du décalage sagittal.
Est ce que l'un d'entre vous sait si on peut trouver sur le net des petits freeware d'analyse céphalo?
A l'époque , quand j'étais plus jeune et que je commencais l'ortho, j'avais fait un petit programme en visual basic 3 ; les scanners plats étaient hors de prix et j'utilisais ces petits scanners a rouleaux pour scanner mon calque et , sur l'ecran, je pointais mes points remarquables pour analyse de steiner.
Et les années ont passé, la vie et le toutim, et il aurait fallu que je reprenne le prog. pour l'adapter aux scan. actuels.
Et on a la flemme et on perd sa flamme, quel dommage!!!


trismus

17/04/2005 à 15h42

Pour éteindre ta flemme et rallumer ta flamme va faire un tour sur http://www.cabri.com/v2/index.htm

C'est un logiciel de géométrie dynamique qui te permettra de faire toutes les analyses que tu veux sur des images jpeg.

ne prends pas feu.


Avatar transparent iqadnc - Eugenol
adhoc

17/04/2005 à 16h31

Je prends ma bougie, et j'y vais.
Merci , trismus.@+++++


occlusion

18/04/2005 à 23h19

Bonjour, voici les clichés "panoramique" et "télé de profil" du 13 avril 2005 de Florent B. (voir les premiers posts pour comparer juillet 2001 et mars 2004 avec ce 13 avril 2005). J'espère que ces radios vous conviendront parfaitement pour les mesures? Aucun "trucage".
J'attends avec impatience et une grosse pointe de stress votre verdict clair, précis et concis sur l'évolution favorable ou défavorable du cas.
Ne faites pas durer le suspens trop longtemps : je n'en dors plus ! :-)
A l'avance merci.

050413pano s6rbgf - Eugenol
050413teleprofil pnrlxj - Eugenol

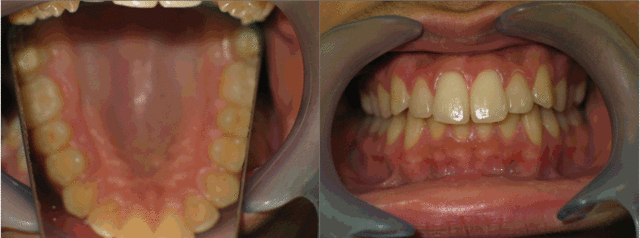
occlusion

19/04/2005 à 00h00

Photos intrabuccales.

03 palais blocic ambjby - Eugenol
04 coted coteg h0mpqk - Eugenol

Avatar transparent iqadnc - Eugenol
adhoc

19/04/2005 à 01h46

Comme dsait catrose , il a une proalvélie de départ que tu as bien réduite, mais pas suffisamment. Je me ferai immoler par certains , d'autres peut etre prendront ma défense, mais sans extraction des 4 sup , je vois pas comment tu pouvais la réduire plus que tu as fait.
Les secteurs latéraux, c'est pour moi parfait.
Les rapports verticaux sont supers.
L'occlusion molaire et pm, c toi le spécialiste.
La vue frontale est esthétique.
Je ne suis pas convaicu de la levée absolue des parafonctions (souvent le jardin devenu tres tres secret du patient)
Le futur au niveau récidives est peut etre un petit zizgag de l'arc incisif supérieur.
L'idéal serait le fil de contention le plus longtemps possible 13-23 et 33-43.



occlusion

19/04/2005 à 02h33

adhoc a écrit:
--------------
> Je ne suis pas convaicu de la levée absolue des parafonctions (souvent le jardin devenu tres tres secret du patient)
>
Tu penses à quoi ?

> Le futur au niveau récidives est peut etre un petit zizgag de l'arc incisif supérieur. L'idéal serait le fil de contention le plus longtemps possible 13-23 et 33-43.
>
Je revois le patient en juin et il n'est pas impossible que je placerai un dernier REIOR sur les 6 sup. et retrait des REIOR sur les 7 sup. pour que ces dernières se mettent en occlusion. But secondaire : faire descendre la cuspide des canines supérieures vers le plan des bords incisifs des centrales.
Je serai heureux si un ODF pouvait mesurer les valeurs 2001 et 2005 sur les téléRx et comparer celles-ci aux valeurs "normales" de vos tables de références.
Tout a été obtenu uniquement par REIOR (approx. x10, successifs) et GAL, cad en l'absence de toute force exogène.
Donc, pardonne-moi de ne pas comprendre pourquoi je devrais placer une contention. Peux-tu expliquer?



Avatar transparent iqadnc - Eugenol
adhoc

19/04/2005 à 10h12

Je ne connais pas, n'ai pas pratiqué de traitement par calage résine.
3 ans de modifications "endogènes" ; contention ou non, je ne sais pas.Que dit la bibliographie la dessus?


occlusion

19/04/2005 à 10h28

adhoc a écrit:
--------------
> Je ne connais pas, n'ai pas pratiqué de traitement par calage résine.
>
C'est normal : l'imagination de la méthode vient de l'analyse de la Déglutition Salivaire Dysfonctionnelle (DSD) via l'Occlusodontologie et mon premier REIOR a été placé le 30 juin 1999. Aucune publication "sur papier" : j'attendais le temps (années) et le verdict des ODF pros.

> 3 ans de modifications "endogènes" ; contention ou non, je ne sais pas.Que dit la bibliographie la dessus?
>
Bonne question : je ne sais pas. Qui dit plus ? :-)

Si je dois faire un choix aujourd'hui, ce serait sur une méthode efficace d'expansion transversale maxillo-mandibulaire : le palais me paraîtrait encore trop étroit, ce qui est en relation avec une difficulté relative de la respiration nasale. Dans ce cas, je risque aussi de devoir passer par une contention. Ou, alors, je poursuis simplement avec d'autres REIOR et sans contention ? Mais, ceci n'est que l'avis hésitant d'un Occlusodontologiste !


1 p3qrc4 - Eugenol
Bjc.

19/04/2005 à 14h10

Je serai heureux si un ODF pouvait mesurer les valeurs 2001 et 2005 sur les téléRx et comparer celles-ci aux valeurs "normales" de vos tables de références.

Avec plaisir, mais quelles valeurs?

@+




Avatar transparent iqadnc - Eugenol
adhoc

19/04/2005 à 17h37

Page précedente, bjc. Teleradiographie 2005.
Je m'y mets Jeudi.


1 p3qrc4 - Eugenol
Bjc.

19/04/2005 à 18h57

Peux tu nous donner la longueur réelle Na/Po
comme tracé sur ta télé.

@+

050413teleprofil 1  idegbr - Eugenol

1 p3qrc4 - Eugenol
Bjc.

19/04/2005 à 19h01

rectification, j'ai tracé Na/Ba.
Longueur ?


angel

19/04/2005 à 22h47

salut tout le monde .
j'ai un exposer sur les positions de la langue .
j'ai beau chercher dans les livres j'ai rien trouve.
si quelqu'un a une documentation sur cet exposer ou meme si vous pouvez m'orienter vers un site ou il traite cette question n'hesite pas a me contacter sur ma boite
[email protected]
merci


1 p3qrc4 - Eugenol
Bjc.

20/04/2005 à 13h33

Regarde dans le livre de Maryvonne FOURNIER

REEDUCATION DES FONCTIONS DANS LA THERAPEUTIQUE ORTHODONTIQUE

aux éditions S.I.D.
9 Rue Christine 75 OO6


occlusion

21/04/2005 à 12h24

adhoc a écrit:
---------------
> Je me ferai immoler par certains, d'autres peut etre prendront ma défense, mais sans extraction des 4 sup , je vois pas comment tu pouvais la réduire plus que tu as fait.
>
Pour mémoire :
"La notion de place disponible évolue comme le fait remarquer Proffit (60) en relatant la pratique des extractions au cours du traitement orthodontique dans son service hospitalo-universitaire d’orthodontie à l’université américaine de Caroline du Nord où le taux de cas traités avec 4 extractions de prémolaires était en 1953 de 10 %, 50 % en 1963 pour se stabiliser entre 35 % et 45 % au cours des années 80 pour revenir en 1993 à un niveau voisin de celui des années 50".
Source : "Les critères d’aboutissement du traitement d’orthopédie dento-faciale", HAS, Anaes, Service des recommandations professionnelles, Décembre 2003, p.27-28
http://www.anaes.fr/anaes/Publications.nsf/nPDFFile/RA_LILF-5X6E3C/$File/Traitement_orthop_dento_faciale_rap.pdf
(Coller tout le lien dans "Adresse" de iExplorer).

Si ton point de vue serait partagé par les ODF qui nous lisent, oserais-je imaginer une seule seconde que les REIOR et GAL (OTP), initialement prévus pour traiter la déglutition salivaire infantile (DSI) et la déglutition salivaire dysfonctionnelle (DSD), pourraient aussi prétendre à la prévention des "extractions préventives"?

Alors, mettons les deux pieds dans le plat : qui est d'accord et qui n'est pas d'accord avec la proposition de adhoc et, dans les deux cas, pour quelle(s) raison(s) ?


angel

21/04/2005 à 12h49

Bjc. a écrit:
-------------------------------------------------------
> Regarde dans le livre de Maryvonne FOURNIER
>
> REEDUCATION DES FONCTIONS DANS LA THERAPEUTIQUE
> ORTHODONTIQUE
>
> aux éditions S.I.D.
> 9 Rue Christine 75 OO6


pardon mais notre documentation en matiere d'ODF est tres reduite alors si tu connais un site qui parle de la position de la langue sa serai tres utiles
merci


occlusion

21/04/2005 à 13h54

angel a écrit:
--------------
> pardon mais notre documentation en matiere d'ODF est tres reduite alors si tu connais un site qui parle de la position de la langue sa serai tres utiles. merci
>
Les Logopèdes (B) et les Orthophonistes (F) font des tests de fonction / position linguale en appliquant sur la langue des points d'une vaseline spéciale rendue fluo sous une lumière noire. Voy. aussi de ce côté là.


angel

21/04/2005 à 16h17

Salut occlusion.
esqu'il ya un site ou je peux trouver cette documentation
merci


isaïe

21/04/2005 à 16h40

"Les secteurs latéraux, c'est pour moi parfait.
Les rapports verticaux sont supers. "
Adhoc, peux-tu nous donner tes critères?


occlusion

21/04/2005 à 17h18

angel a écrit:
--------------
> Salut occlusion. esqu'il ya un site ou je peux trouver cette documentation. merci
>
Je ne me souviens que des cours d'occlusion et pratique MTF (MyoThérapie Fonctionnelle) donnés à l'UNDP Namur avec Philippe GUYAUX, Logopède (Huy, Belgique), mais en te renseignant à l'Union Professionnelle de Logopèdes Francophones (UPLF, Belgique), ils devraient pouvoir t'aider. Sur les sites français, cherche après "orthophonie", "orthophoniste", l'Union Nationale des Orthophonistes et le Festival audiovisuel Lorraine-Champagne des Orthophonistes à l'Univ. de Nancy, France, qui se déroule tous les 2 ans.
PS : nous ne somme pas à la bonne adresse du Forum pour discuter de la logopédie / orthophonie et on risque de se faire jeter "out" de ce post ODF "Analyse céphalométrique 07/01 - 03/04" : crée un nouveau post ou réponds plutôt sur mon @mail. :-)


1234...