Cookie Consent byPrivacyPolicies.comhn et cmu - Eugenol

hn et cmu

cyberquenottes

04/04/2005 à 18h43

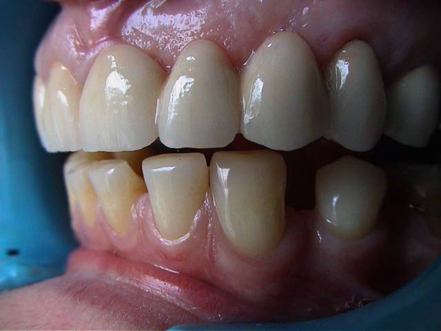
allez Hop 1 cas dont je suis un peu content

fait en Mars 2001

cette pauvre accidentée en 95 avait un bridge ( refait par le même praticien sur ordre de la MGEN ) qu'elle tenait avec la langue ( si si ! )

vue en 1997
attaquée en 02/2000 ,
bridge prov en 03/2000
definitif 03/2001

Provisoires rhmo0h - Eugenol
Moignons lddpsg - Eugenol
009 zjsi1b - Eugenol
010 tzjx7d - Eugenol

alhoun

04/04/2005 à 18h58

nice job.


Image19 iebot6 - Eugenol
athos

04/04/2005 à 19h26

ça fait envie tout ça...
j'y retourne immediatement
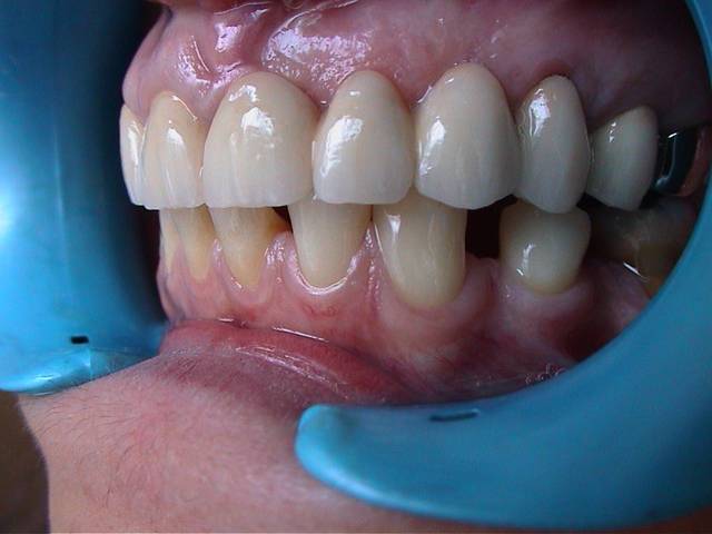
tes provisoires, tu les a faites comment?


Images 1 qtgoxf - Eugenol
ciwil

04/04/2005 à 19h34

Appelons-le superquenottes


Avatar transparent iqadnc - Eugenol
adhoc

04/04/2005 à 19h58

Ouais mais c un tres tres bon cyber, aussi. CyberSuperQuenottes va etre un peu lourd a porter.


cyberquenottes

04/04/2005 à 20h01

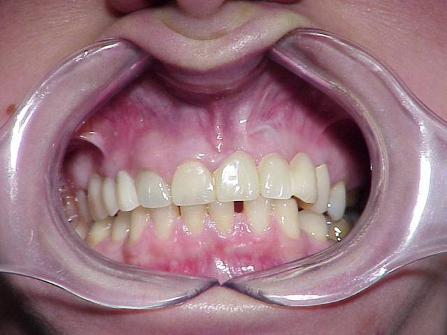
les provisoires ont été cuites au labo
( obligé car complet haut je sais pas faire ) ,

j'avais fait 2 bridges prov avec des ion 3M de part et d'autre pdt la préparation et les soins

merci , c'était a ce jour mon plus beau succès , hélas tout n'est pas comme ca


3f3boxni50k58rq7e9ce9ddqrxgk - Eugenol
dentiste57

04/04/2005 à 21h52

c'est merveilleux ce qu'on peu faire avec des patients motivés et un peu d'argent...


Zoe   son arriv e whwqpj - Eugenol
emma

04/04/2005 à 22h51

Voilà, ma 1ère journée avec le QS, ben c'est pas évident, la seule anesthésie qui a marché c'est une intra-septale sur une jeune patiente de 8 ans les autres anesthésies bide complet et je n'aime pas les échecs, désolée Amibien, je vais faire ce que tu me conseilles Adhoc et je l'appellerai copain!


alhoun

04/04/2005 à 22h56

emma a écrit:
je vais faire ce
> que tu me conseilles Adhoc et je l'appellerai
> copain!
>
> Emma


et cete fondue, on se la mange quand?


Image19 iebot6 - Eugenol
athos

04/04/2005 à 23h03

et le bruit, la sensibilité a la penetration du truc? la pression?

t'es decouragée ou t'as bon espoir?

la fondue?


alhoun

04/04/2005 à 23h07

étoile des neiges......


3f3boxni50k58rq7e9ce9ddqrxgk - Eugenol
dentiste57

04/04/2005 à 23h51

athos a écrit:
-------------------------------------------------------
> et le bruit, la sensibilité a la penetration du
> truc? la pression?

non mais c'est fini les sites porno, je sais que c'est le primtemps et que vous voulez sortir votre bourgeon mais gare au coup de gel!! bientot les saintes glaces!


Image19 iebot6 - Eugenol
athos

05/04/2005 à 00h35

mais arretes !!...je vais encore me faire griller!...

Dr Villette etais dans ma region dernierement, je m'étais inscrit mais j'ai eu un coup de mou et j'ai pas pu assister...frustrant!
Emma avait promis un direct des ses debuts, elle tient promesse...

chere Emma, vivement la suite de tes aventures...


Avatar transparent iqadnc - Eugenol
adhoc

05/04/2005 à 00h49

Emma, ma chere emma, ton premier cas de trancorticale, fais le sur un espace d'édentement.
Ex; 5 extraite (depuis plus de 6mois quand meme!) et tu veux traiter 6 ou 7 (la 8 bof, des fois ca marche, mais la, la spix , je préfère ).
Tu passeras sans probleme dans la corticale.
Tu vrilles d'abord sur 2 a 3 mm, tu injectes un peu pour éviter le bouchage, puis a la garde de ton aiguille et tu injectes 1/2 dose. Si c'est un brachy. 1 dose.
Tu sentiras du bout de tes doigts la pénétration (ouh la, modo, ne zappezpas!!) ,c'est facile et te mettra en confiance.
Quand une trancorticale échoue (rare, mais parfois os tres dense entre 35 et
36, tu fais ton intra ligamentaire avec le QS.
Tes belles petites mains te remercieront.



Image19 iebot6 - Eugenol
athos

05/04/2005 à 11h24

intra ligamentaire avec le QS? c'est possible malgre le diametre de l'aiguille?


colza

05/04/2005 à 11h45

excusez moi mais QS dans la rubrique HN et CMU c'est HS


Robert Gruman

05/04/2005 à 12h44

La solution est très simple: lacher les chiens du fiscs (il parait que nous avons proportionnellement 5 fois plus de fonctionnaires des impôts par rapport à la population que les Etats Unis )et contrôler le train de vie des cmu et rmistes avec les mêmes méthodes qu'ils utilisent pour nous ,en allant par exemple chez nous afin d'évaluer la valeur de notre piano , savoir la valeur de leur abonnements téléphone portable , combien par famille,la valeur de la voiture qu'ils utilisent . Savez vous que le 93 recèle le plus grand nombre de voitures de luxe?
Il parait que les services du fisc refusent cette mission pour laquelle ils n'auraient pas été "préparés".Ils ont surtout peur de recevoir un coups de couteau d'un dealer.Ces gens engloutissent plus de 10% du budget social de ce pays , on a donc droit à un contrôle serré et peut être musclé comme on l'est avec nous .Je rappelle que l'économie souterraine des trafics en tous genres est supérieure à celle de l'industrie du pétrole !On en a assez de se faire tondre pour ces gens .


haisha

05/04/2005 à 16h10

Les deux tiers des mercedes et autres bmw qui se
garent devant le cabinet appartiennent a des cmu.
Les patients les plus necessiteux que je traite
n ont pas la cmu ,car en general ils se donnent la peine de travailler pour depasser de 10 ou 30 euros par mois le seuil pour beneficier des aides.
Ils n ont pas compris que dans notre douce France, il faut etre ou tres riche ou assisté
ou les deux a la fois.
Tout est pour le mieux dans le meilleur des mondes .
Cela dit ,il y a des cmu pauvres :une bonne moitie de ceux que je soigne et a defaut d etre rentable ,il est gratifiant de les traiter correctement .
(une patiente remotivee pour se presenter a des embauches : ceramique + stellite ; retrouvee le sourire et rajeunie de 15 ans )


Image19 iebot6 - Eugenol
athos

05/04/2005 à 16h22

d'accord avec toi Haisha, c'etait la le sens different que je voulais donner a la notion de medecine a deux vitesses...


ameli

05/04/2005 à 17h03

Je suis tout à fait d'accord avec cette analyse. Les contrôles sur les attributions du RMI ou CMU sont notoirement insuffisants.
Parmi les fraudeurs, on compte ceux qui travaillent en étant cachés ( travail au noir important, frontaliers qui travaillent en pays étranger mais habitent en France et ne font pas état de leur travail salarié ) et il y a les dealers majeurs qui n'ont pas la moindre envie de travailler mais ont besoin d'une couverture sociale.
Mais qui doit faire ces contrôles ? Réponse : l'Etat, qui décide d'attribuer ces aides. En aucun cas la sécu qui n'est que "payeur".
Il est certain qu'il y a donc un sérieux nettoyage de dossiers à effectuer. Mais c'est dommageable de faire payer la note à de pauvres bougres qui n'y sont pour rien.

Maxime à prendre au 2° degré : "tous ceux qui généralisent sont des cons."


phil

05/04/2005 à 17h18

la secu n'est jamais responsable de rien donc ! si elle n'est que payeur alors !


LdL

05/04/2005 à 17h32

Je ne suis pas certain que la Sécu puisse se défausser du problème sur l'état... Ok elle n'est que payeur, mais justement... Car à suivre ce raisonnement, ce devrait être l'état qui vérifie nos feuilles de soins et qui demande des indus le cas échéant... pourquoi la cq vérifierait-elle que les professionels n'ont pas trop perçu, sans vérifier qu'elle n'a pas des ayant droit qui n'en ont pas...


Ameli, ta maxime (succulente) est à rapprocher de celle ci: je déteste autant les clichés que les gitans joueurs de guitare et voleurs de poule.


Avatar transparent iqadnc - Eugenol
adhoc

05/04/2005 à 17h39

Pauvre Maxime qui va devoir se déplacer dos au mur.


ameli

05/04/2005 à 18h42

Il est heureux que la sécu n'aie pas un pouvoir de police !
C'est l'état et les collectivités régionales et départementales qui décident de l'attribution des prestations sociales ( c'est normal à mon avis ). La sécu ne peut que vérifier les facturations qui lui sont présentées (c'est normal aussi ).
Ce qui est illogique, c'est qu'il y ait si peu de suivi des dossiers. Demandez à des assistantes sociales qui gèrent ces cas, elles vous le confirmeront.
Toujours le même problème : manque de personnel...


haisha

05/04/2005 à 19h15

Tout a fait d accord pour la secu .
C est normalement le role de l etat qui devrait
verifier a qui il distribue son (notre ) argent.
On arrive a manquer de personnel dans des domaines sensibles alors que nous avons un nombre de fonctionnaires surrealiste ...
C est du Kafka avec un zeste de Uburoi .