Cookie Consent byPrivacyPolicies.comqui a l'expérience de greffe d'os de banque ? - Eugenol

qui a l'expérience de greffe d'os de banque ?

guillaume tell

13/06/2005 à 15h45

1 ) Un chirurgien dentiste n'est pas autorisé en France à faire des prélèvements sanguins par voie intraveineuse extrabuccale ; Donc tu peux toujours faire un prélèvement dans la bouche du patient mais c'est pas très facile .
2 ) Ce que je fais n'est pas considéré comme une manipulation sanguine au sens de la loi française car le prélèvement ne quitte pas la pièce où il a été fait et surtout parcequ'il n' y a aucune adjonction de quoi que ce soit dans le prélèvement genre anticoagulant puis thrombine bovine pour recoaguler comme c'est le cas avec les PRP. Il existe d'ailleurs un décret de loi paru au Journal officiel à ce sujet.

à bientôt


Bjorn

14/06/2005 à 18h34

Merci petite pomme!;-)


guillaume tell

14/06/2005 à 19h37

Ya pas d'quoi p'tite balle jaune....


Amibien

14/06/2005 à 20h10

aaahhhhh je sais qui tu es maintenant Bjorn... tu es l'associé de Guillaume Tell... tu aurais pu le dire plus tôt.... Bonjour à toi...


guillaume tell

14/06/2005 à 21h54

Mais non , c'est pas mon associé... son Nom m'évoquait simplement un ancien champion de tennis , c'est tout... c'est peut-être avec lui que tu vas fêter ton anniversaire !
Bon là , on devie un peu de la question d'origine du post...


Bjorn

15/06/2005 à 01h18

http://www.neilpryde.com/teampryde/riders/dunkerb.html

C'est pas du tennis!
Arbalette...


guillaume tell

15/06/2005 à 23h41

OK j'ai maintenant tout comprendu : toi aussi tu attends TA vague....


Amibien

25/11/2010 à 01h11

Il s'en est passé des choses sur presque sept années... Le temps passe vite, trop vite...

--
Petit Prince


Manolito wom2of - Eugenol
manolito

27/11/2010 à 17h17

et du coup, tu l'a experimenté l'os de banque depuis ce temps?


Avatar ow44t3 - Eugenol
Chicot

27/11/2010 à 18h44

Zimmer vend 700€ le fragment de tête femoral pour les greffes onlay......

--
;O)


Dscn3400 tjaray - Eugenol
Boris

27/11/2010 à 19h43

Ça donne envie de ressortir quelques cadavres des placards....



Amibien

28/11/2010 à 19h13

J'ai besoin de vos conseils éclairés pour un cas limite et toi Boris, tu seras intéressé. Je pense à Gulguch aussi... Alhoun ? Pourquoi pas ? Bref, si cela vous dit je vous mets sur le forum les planches dentascan et vous me direz quoi... A plus


Smile beach jgh0a1 - Eugenol
Céramik

28/11/2010 à 19h57

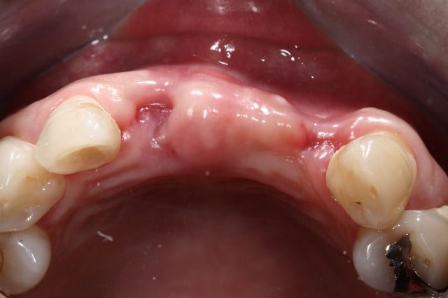
Os de banque

Pose de l'implant la sem passée.

--
Céramik

Bloc 11 qh0ruk - Eugenol

3f3boxni50k58rq7e9ce9ddqrxgk - Eugenol
dentiste57

28/11/2010 à 20h23

Amibien écrivait:
-----------------
> J'ai besoin de vos conseils éclairés pour un cas limite et toi Boris, tu seras
> intéressé. Je pense à Gulguch aussi... Alhoun ? Pourquoi pas ? Bref, si cela
> vous dit je vous mets sur le forum les planches dentascan et vous me direz
> quoi... A plus

quoi ?

:)


il y a biobank aussi
c'est pas mal du tout.


Blason dql7mj - Eugenol
growler

28/11/2010 à 21h30

Céramik écrivait:
-----------------
> Os de banque
>
> Pose de l'implant la sem passée.
>
> --
> Céramik


super céram!
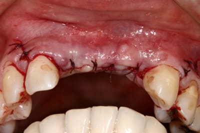
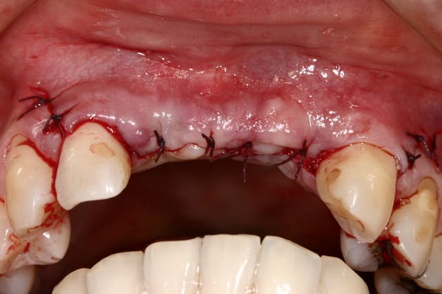
as-tu une photo juste post-op avec les sutures?


je confirme également que les greffons allogéniques biobank cortico-spongieux donnent d'excellents résultats (et en granules également pour ceux qui veulent combler des alvéoles comme il en est discuté sur une autre file)


Smile beach jgh0a1 - Eugenol
Céramik

28/11/2010 à 22h31

growler écrivait:
-----------------
> Céramik écrivait:
> -----------------
> > Os de banque
> >
> > Pose de l'implant la sem passée.
> >
> > --
> > Céramik
>
>
> super céram!
> as-tu une photo juste post-op avec les sutures?
>
>
>

C'est le cas où j'avais eu exposition de la greffe...

http://www.eugenol.com/sujets/390124-c-est-quoi?page=1






--
Céramik


Blason dql7mj - Eugenol
growler

28/11/2010 à 22h55

Une exposition du greffon c'est toujours problématique et tu as parfaitement bien géré le problème. Ca n'est jamais gagné d'avance et il est important de le gérer au plus vite si possible dès son apparition.


Amibien

29/11/2010 à 01h10

ça fait plaisir de retrouver les amis

--
Petit Prince


chicogold

29/11/2010 à 01h31

combien ça coute ce beau morceau et comment on taxe (coeff x )
merci ceramik


Smile beach jgh0a1 - Eugenol
Céramik

29/11/2010 à 02h30

http://www.biobank.fr/dentaire.php

télécharge la liste de prix...
Je factures en générale le prix de l'os plus la séance.
Un bloc, c'est 2000 à 3000 $ la greffe plus le prix du bloc.
Pas de frais pour la membrane, ni les particules que je place autour. Je couvre tjs mes greffes d'une membrane.


--
Céramik


003 penrd2 - Eugenol
Cingulum

29/11/2010 à 14h37

2 cas avec Biobank.
Je met le premier implant dans le greffon bientot je vous donnerais mon ressenti

Pour moi les avantages:
rapport temps/cout
facilité de retouche du bloc
un seul site
résultat prévisible (d'aprés études biblio...)


--
Dr Cingulum
-----Ancien interné----
----Attaché à l'apex----
www.clinic-all.fr formation par passion

Img 8566 a4ovv3 - Eugenol
Img 8704 qzvnqp - Eugenol
Img 8859 cvvu7p - Eugenol
Img 8902 nssngh - Eugenol
Img 8707 eaofy7 - Eugenol
Img 8864 mvxu59 - Eugenol

Amibien

30/11/2010 à 08h02

Bonjour, la quantité greffée me semble peu volumineuse, quelle était l'épaisseur des crêtes au départ ? Que penserais-tu de greffer ddu bio oss en apposition sous membrane au lieu de ce type de greffon à visser ? J'ai toujours observé un maintien parfait de la masse de granules ainsi greffée.

--
Petit Prince


003 penrd2 - Eugenol
Cingulum

30/11/2010 à 11h20

voici les coupes pré et post op. je précise que je fais pas un CBCT aprés chaque greffe. Ici c'est ma deuxieme, et je voulais voir ce que ça donne en post op puis à 5 mois....puisque la fonte des greffons est sujette à polémique bibliographique.....

je n'ai pas d'experience avec bio-os et membrane....



--
Dr Cingulum
-----Ancien interné----
----Attaché à l'apex----
www.clinic-all.fr formation par passion

Avant greffe qrrnlz - Eugenol
Scan post op tzfllb - Eugenol

Blason dql7mj - Eugenol
growler

30/11/2010 à 11h58

avec les greffons cortico-spongieux biobank, je n'ai jamais observé de fonte du greffon, le volume est conservé.

Greffe biobank bgzd4o - Eugenol

Avatar ow44t3 - Eugenol
Chicot

30/11/2010 à 16h53

Le cas de départ que tu montres, je le traite plutôt en expansion osseuse car il s'agit ici de gagner 1 à 2 mm. C'est pas cher (pas de bio-oss, os de banque, membrane ou exceptionnellement), prédictible et cica plus rapide car tu pose les implants en même temps

tu en penses quoi ?

--
;O)