Tous les forums
Encore un cas de GUN!
11/06/2005 à 00h39
C'est mon troisième depuis que j'ai le microscope (depuis début janvier).
J'en ai eu deux ou trois autres avant mais pas suivis au micro au début.
Un gendarme de 26 ans qui a un passé de militaire (dixit... Pour moi ,les gendarmes sont censés être militaires).
Il reconnait avoir été négligent pour ce qui est du brossage, se plaint de saignements spontanés, d'halitose et de douleurs+++ au point qu'il a failli aller chercher un rendez-vous ailleurs car j'était complet aujourd'hui!
Mon assistante a réussi à lui trouver une demi-heure et à le faire venir pendant ses heures de boulot ("vous savez, ce serait dommage d'aller ailleurs car nous sommes spécialisés dans les problèmes de gencive" sic! :-))
Son état général est impeccable, patient de type sportif.
A l'examen, le premier signe qui frappe c'est qu'il n'y a aucune obturation présente en bouche.
Je suis sûr que le papier pH montrerait (si je l'avais reçu, grrrrr!) une basicité buccale à tout casser.
Il me raconte qu'il s'est fait enlever les 8 il y a quelques temps (2 ou 3 ans) car il sentait son occlusion se modifier. Et je constate qu'il présente une légère béance incisive (son ongle passe sans rester coincé). Ce qui est intéressant, c'est que les secteurs les plus touchés sont les secteurs latéraux qui supportent les contacts occlusaux surtout à gauche. De là à y voir une relation de cause à effet...
La pano ne montre pas d'atteinte osseuse, l'apparition des symptomes date de 7 ou 8 jours.
Au microscope, j'ai pensé que j'allais me rendre à l'avis de Phil et Amibien (je crois) qui mettaient en cause quasi exclusivement les spirochètes, parce que là, il y en avait des tonnes, plus que tout ce que j'ai jamais vu. Dommage pour les photos, il est venu tard dans l'après-midi et les bestioles étaient encore trop vivaces avant mon départ pour faire des photos bien nettes.
Et bien, désolé, mais comme pour les deux premiers dont j'ai déjà parlé il y a deux mois environ, j'ai vu du trichomonas, même s'il y en avait peu sur ce coup.
Davant l'ampleur de la douleur et la montagne de spiros hyper actifs, j'ai prescrit flagyl et paroex pendant neuf jours avant de le revoir pour lui apprendre à utiliser la brosse souple qu'il vient d'acheter.
A suivre...
11/06/2005 à 01h05
as tu vu ces fuso spirilles sortes de grands filaments tres fins qui bougent pas enormement que l'on reconnait comme responsables aussi avec le spiro ..des GIN et PUN
le tricho la si cela se verifie c'est une publication qu'il faudrait envisager .....mais est-il causal ou opportuniste ?
flagyl parfaitement indiqué ...moi je prescris un peu plus longtemps selon ce qu'avait dit Bonner .....
autre question toi qui est un pro ......patient à risque ou pas de recidive puique dejà tu as la faible suceptibilité à la carie . pourras tu nous donner d'autres infos et après traitement tu compte le monitorer comment ?.......c'est juste pour s'amuser ces questions ....
11/06/2005 à 02h03
phil a écrit:
-------------------------------------------------------
> as tu vu ces fuso spirilles sortes de grands
> filaments tres fins qui bougent pas enormement que
> l'on reconnait comme responsables aussi avec le
> spiro ..des GIN et PUN
Non, pas cette fois. La seule fois ou je les ai vus, il y avait aussi beaucoup de spiros mais c'était une paro chronique que la patient vient de décider de traiter (vue cet après-midi) à force de traîner avant de lui faire sa prothèse.
> le tricho la si cela se verifie c'est une
> publication qu'il faudrait envisager .....mais
> est-il causal ou opportuniste ?
>
En même temps, trois cas c'est peu pour faire partie des données acquises ;-) ;-) ;-)
J'ai réuni quelques trucs sur les trichomonas et il faut que je trouve le temps de mettre de l'ordre dans tout ça (et c'est pas ce soir que ça va se faire!)
Bon dans l'ensemble c'est assez marrant, il y a de tout de certains sites qui parlent d'abcès pulmonaires dus au tricho en passant par d'autres qui le traitent de parasite, d'autres de commensal.
Jusqu'à un site portugais qui le considère comme faisant partie de la flore buccale normale (en tout cas, pas la mienne). D'ici à ce que ce soit eux qui aient enlevé Amibien! :-) :-)
> flagyl parfaitement indiqué ...moi je prescris un
> peu plus longtemps selon ce qu'avait dit Bonner
> .....
Je ne me rappelle plus la durée donnée par Bonner, c'est combien de temps?
S'il le faut, je le revois dans 9 jours justement, je pourrais prolonger si nécessaire.
>
> autre question toi qui est un pro ......patient à
> risque ou pas de recidive puique dejà tu as la
> faible suceptibilité à la carie . pourras tu nous
> donner d'autres infos et après traitement tu
> compte le monitorer comment ?.......c'est juste
> pour s'amuser ces questions ....
Un pro, un pro...Vil flatteur! ;-)
L'atteinte gingivale a été très rapide et très forte.
J'ai attiré son attention sur le risque de récidive.
Pour la suite, il faut déjà voir sa motivation et la réponse locale. Il y a beaucoup de tartre mais uniquement supra gingival. Si le contrôle de plaque est bon, il me semble que la suite peut être assez simple.
A condition qu'il reste bien conscient du besoin de contrôle micro régulier...
Pour le sida, à creuser même si au premier abord, les PMN sont présents et ont l'air de bien fonctionner.
Je poste la suite ici même.
11/06/2005 à 02h37
flagyl bonner donne 14 jours
les labos qui donnent le resultat des tests PCR quand ils conseille une duree c'est 8 à 10 jours en moyenne
donc pas de fusobacteries pourtant souvent citées.. tiens tiens
tricho c'est vrai j'ai regardé sur le net pas grand chose....
sida c'est les lympho qu'il faudrait voir mais je doute que le microscope te permette de distinguer les differents types de lympho.
au fait avais -tu beaucoup de PMN ?
je suis jaloux j'en ai pas vu depuis plus de 10 ans des GUN et pourtant j'en vois des patho...
je reve aussi d'une parodontite juvenile . J'ai jamais vu
13/06/2005 à 04h25
dans ce cas, bains de bouche 8 x par jour avec H2O2 à 3% avec chlorure de magnésium (12,4 gr par litre)plus 8 x par jour avec isobétadine à 1%, mais pas de flagyl...
soins locaux concommittants avec brosse souple autant que possible...
revoir après huit jours....
(je réserve flagyl pour directement après lithotritie de toute la bouche en une séance, le risqué étant que to patient ne revienne pas malgré son apparente motivation, ils sont souvent indécrottables)
13/06/2005 à 18h08
Amibien a écrit:
-------------------------------------------------------
je réserve flagyl pour directement après lithotritie de toute la bouche en une séance, le risqué étant que to patient ne revienne pas malgré son apparente motivation.
Oui, je me suis tâté longuement avant de donner du flagyl.
Je n'en ai pas donné aux autres cas que j'ai rencontrés, mais ici le type avait tellement mal que le risque était qu'il aille ailleurs ou on l'aurait mis sous birodogyl ou même augmentin...En disant domi38 n'a pas réussi à me soigner, il n'y connait rien.
Il y a bien sûr un risque qu'il ne revienne pas mais dans ce cas, les récidivent travaillent pour nous hyark, hyark, hyark!!!
13/06/2005 à 21h11
avec ma prescription les douleurs durent encore 48 heures, il est vrai mais avec le flagyl il risque la chiasse et de se trouver mal... en plus un gendarme !!! as-tu pensé à l'alcoolisme assez répandu dans cette profession ? hyark, hyark, hyark...
13/06/2005 à 22h42
l'amibe m'enfin quoi tu ne leur a pas encore vendu de l'eau !
a propos d'armée pour toi et pour domi 38 .. j'ai un nouveau contact pour lancer des etudes sur les amibes et les trichomonas
je n'en dit pas plus mais dès que j'ai des infos je vous tiens au courant
salut les affreux !
14/06/2005 à 02h35
pour domi,
la radio a souvent 6 mois de retard sur la clinique d'où l'absence de signes radios de ta GUN.
Petite question: pour les rares cas de GUN (3 au total) que j'ai pu observé, j'ai prescrit amox + flagyl. Ai-je bien fait? Mea culpa, c'était avant de vous connaître...
14/06/2005 à 09h57
tonio
première remarque : oui tu as raison pour les radios mais avec un bilan radio long cone bien realisé et bien observé on peut voir des signes de perte de corticales assez vite ( 3 mois surement ) . Ceci dit la radio n'est qu'un element pour juger de la patho .
concernant les antibio ce que tu prescris doit tenir compte de ce que tu es suceptible de rencontrer .dans la GUN sont regulièrement impliqués :
treponema denticola ... les spirochètes . Sensibilite au metronidazole .
fusobacteries : sensibles au metronidazole et a l'amoxicilline
trichomonas: sensibilité au metronidazole
donc le metronidazole est suffisant en prescription probabiliste . Pas d'amoxicilline necessaire
par contre moi pour un cas comme cela je ferai un test microbio complementaire systématique non seulement pour verifier mon diag clinique mais aussi pour être sur qu'il n'y a pas autre chose
la prescription atb doit tenir compte de la sensibilité des paropathogènes connus ......
je resouligne le point suivant aussi . Chez un patient de ce type il ne faut oublier de penser que cela peut être un des premiers signes d'un infection par le VIH .
15/06/2005 à 23h24
merci phil pour tes précisions.
J'avais effectué ces prescriptions car ayant vu un conférencier à la fac qui conseillait cette association.
Petite question : pourrais t'on envisager une association tétracycline + métronidazole? Si oui, dans quel cas? quels germes détruit on?
16/06/2005 à 01h40
associer une cycline au metronidazole ... pourquoi pas mais est-ce utile ?
pourquoi rechercher une assoc sachant que si on peut avoir des effets synergiques on peut accumuler les effets secondaires
pourquoi ne pas au moins dans un premier temps se contenter d'une monotherapie ?
que faire en cas d'intolerance aux produits classiques ?
la plupart des paropathogènes sont sensibles au metronidazole à l'amoxicilline et à la clindamycine .
soit on utilisera l'une de ces molécules . le plus souvent le metronidazole soit une association metro + amox pour maitriser l'ensemble des patho des complexes rouges oranges vert + aa de Socransky . Avec cela pas besoin de cycline .les associations sont plutôt a reserver en seconde intention
la clindamycine est indiquée pour le complexe rouge et orange mais en l'absence de Aa et de complexe vert . D'après mes souvenirs il y a des effets secondaires embetants qu'il fait qu'il faut en limiter l'utilisation.
si on a intolerance à metro + amox ou clinda on peut effectivemment utiliser la doxycycline qui agit sur tout ausi à peu près mais qu'il est preferable de ne pas utiliser en première intention.
tout cela si possible après tests et confirmation par le labo ....
comme cela on tape au plus juste sans en rajouter
22/06/2005 à 01h54
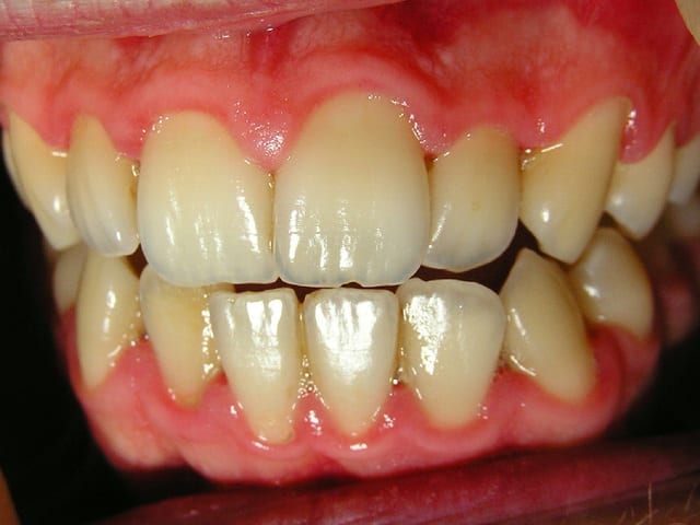
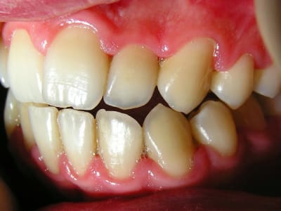
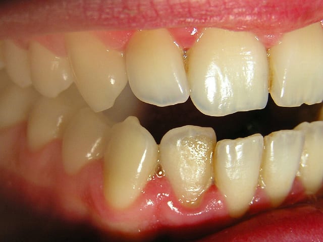
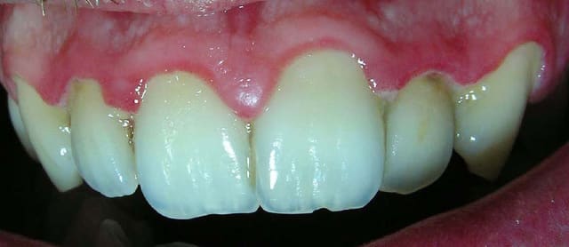
J'ai revu mon gendarme ce soir après 9 jours de flagyl + brosse Inava 15/100 trempée dans le paroex.
Il va beaucoup mieux: plus de douleurs bien sûr, presque pas de saignements, halitose disparue...
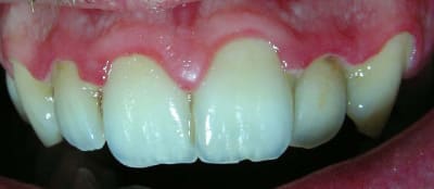
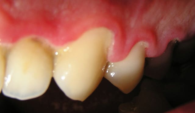
J'ai ressorti les photos prises initialement:
22/06/2005 à 02h01
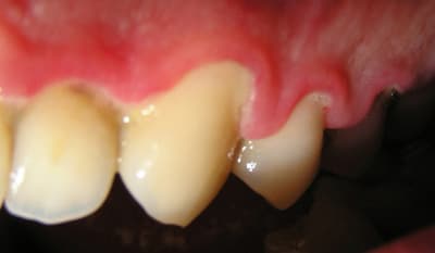
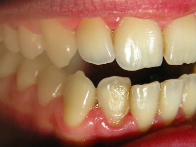
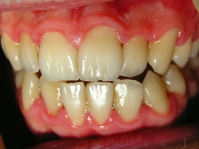
...Et les photos prises aujourd'hui, juste avant la séance de démonstration du contrôle de plaque.
Je n'ai pas fait de microscope durant cette séance car on sort tout juste du traitement antibiotique et ça n'aurait certainement pas montré grand chose.
Le but est de le revoir dans un mois pour déterminer sa motivation et son efficacité en matière de contrôle de plaque. Et pour voir comment la flore recolonise le terrain avant de lithotritier.
22/06/2005 à 02h07
Pffff!
Autant je maîtrise la macrophoto de "natures mortes", autant sur du vivant, j'ai du mal!
Des suggestions???
Allez un exemple! Pour la fête de la musique, les guitares en photo ont été faites de mes petites mains.
22/06/2005 à 09h53
moi j'ai tendance à dire qu'initialement le controle de plaque n'était pas si mauvais que cela.le concept de l'infection est à privilegier sur le concept de l'hygiène...même si le nettoyage d'une plaie infectée comme celle la est essentiel .
dans ce cas les micro organismes sont surement intra tissulaires ! l'antibiothérapie me semblait aussi preferable.
belle GUN en tout cas
tes photos initiales sont prises de près avec un defaut de profondeur de champs et un angle de prise de vue limitant cette profondeur de champs . Il te faut des ecarteurs ( celui de kerrhawe qui vient de sortir me parait excellent ) et des miroirs . Ensuite toujours prendre bouche fermée et le + perpendiculairement .diaph entre 11 et 22. ideal flash annulaire ou lampe annulaire
il y a un excellent stage de photo à val d'isere que je conseille à tous
22/06/2005 à 22h02
La microscopie initiale de ce cas.
Pas de très belles photos car les bestioles étaient trop vivaces et comme c'était le dernier rendez-vous, je ne me suis pas senti d'attendre trois ou quatre heures que leur activité baisse...
Beaucoup de spirochètes, des trichomonas, quelques entamoebas et des hématies liées au saignement spontané.
28/06/2005 à 21h32
GUN et canicule.... j'en ai vu 4 en une semaine avec bacteries grouillantes comme des bancs de poissons, amibes monstrueuses, trichomonas.... un rapport avec la température ambiante?