Cookie Consent byPrivacyPolicies.combesoin de conseils pour facettes sur dents colorées à la - Eugenol

besoin de conseils pour facettes sur dents colorées à la tétracycline

bounette

20/06/2005 à 22h15

Tout est dans le titre!

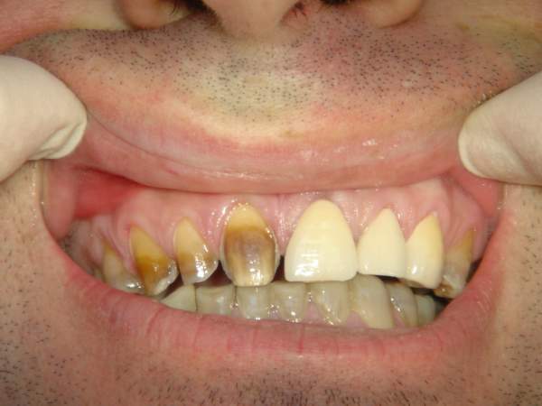
J'ai un patient qui présente de trés fortes colorations à la tétracycline avec des puits dans l'émail. Je lui ai proposé des facettes de canine à canine en haut et en bas.
Je me demande par contre comment coller mes facettes car je crois bien que qd l'émail et la dentine sont atteints par la tétracycline ça colle moins bien (j'ai de vagues souvenirs d'un article mais je suis pas sure)
Avec quoi colleriez vous?
Je pensais utiliser le panavia. Qu'en pensez vous?


Squash u44zd8 - Eugenol
steph

21/06/2005 à 00h59

Je crois plutôt que dans ce cas tu démarres par un blanchiment avant d'attaquer les facettes.
Le problème est que le gel de blanchiment peut perturber ton adhésion si tu colles trop rapidement après éclaircissement.
Il faut un délai raisonnable...mais je sais plus de combien avant de pouvoir coller efficacement.
Et tu colles avec ce que tu veux.


bounette

22/06/2005 à 15h29

OK ... j'avais pas prévu de blanchiment car mon prothé m'a dit qu'il utiliserai une teinte opaque pour masquer les colorations.
Je vais coller au panavia ... pourvu que ça tienne!

Merci steph!


Utilisateur anonyme

24/06/2005 à 01h03

Pour les facettes il y a un produit génial chez Bisico.


Images qct94b - Eugenol
themumbly

30/06/2005 à 16h51

bounette a écrit:
-------------------------------------------------------
> OK ... j'avais pas prévu de blanchiment car mon
> prothé m'a dit qu'il utiliserai une teinte opaque
> pour masquer les colorations.
> Je vais coller au panavia ... pourvu que ça
> tienne!
>
> Merci steph!

Moi je dirais pas de panavia mais plutot le variolink ou le composite de collage de chez apol


bounette

30/06/2005 à 22h35

variolink c'est du compo de collage non?
Quelle différence avec le panavia? Je croyais que le panavia c'était un compo auto ...

Tu penses vraiment qu'il y a une différence?

Merci de tes conseils en tous cas!


Images qct94b - Eugenol
themumbly

01/07/2005 à 09h54

Il me semble que le panavia est photo et oxyguard mais ca fait trés longtemps que je l'ai pas utilisé...aprés c'est une question d'habitude de travail et j'ai l'habitude du variolink.
les facettes tu as deux impératifs une occlusion parfaite( parfois il vaut mieux s'abstenir) et collage SOUS DIGUE.
A+


bounette

02/07/2005 à 20h32

themumbly: ta mémoire te joue des tours ! le panavia n'est pas photo ... mais il est bien oxygard...

J'ai une autre question:
comment coller sous digue pour les facettes des incisives inf? Elles sont tellement sérrées que je ne peux même pas passer le fil dentaire!

à+


Squash u44zd8 - Eugenol
steph

02/07/2005 à 21h55

Un léger stripping des faces proximales avec un strip abrasif adapté, genre diamanté.
Pas facile tout de même je te l'accorde, mieux vaut ne pas s'énerver à la pose de la digue, tu y passeras sans doute qq minutes mais après ce sera royal.
Des photos si tu peux, et précise-moi le gel de blanchiment utilisé STP.


Images qct94b - Eugenol
themumbly

03/07/2005 à 01h30

bounette a écrit:
-------------------------------------------------------
> themumbly: ta mémoire te joue des tours ! le
> panavia n'est pas photo ... mais il est bien
> oxygard...
>



Introducing the all New 4th generation PANAVIA Resin Cement!
Suitable for use with all types of curing lights including LED(160mW/cm2)
Dual Cure Dental Adhesive System that's excellent for ANY procedure and ANY curing light!

* Light intensity of approved curing lights(400-500nm)
* Conventional halogen(>250mW/cm2), LED(>160mW/cm2)
* halogen(>550mW/cm2)


Il est auto et photo
@+


jfb

03/07/2005 à 17h51

facette procera pour masqer la teinte


bounette

07/07/2005 à 16h12

ok THEMUMBLY !!!

pourtant aprés avoir moultes fois relu le mode d'emploi, on ne parle absolument pas de photopolymérisation !
Peut-être que je n'ai pas la dernière version du panavia (pourtant je l'ai commandé cette année!)


pour steph: désolé mais j'ai laissé tomber la digue... oui je sais "c'est pas bien". J'ai une assistante trés efficace au fauteuil et je pense que les conditions étaient bonnes quand même ...
Faut que je me remette à niveau côté digue parceque je ne suis pas encore au point ...

Pour les photos j'en ai pris quelques une ... je vous les poste bientôt c'est promis

Le résultat est nickel pour le haut coté teinte.
J'attends de finir le bas et je vous colle tout ça sur le web!

PS:pour le blanchiment j'utilise le POLA SDI version fauteuil. je dois d'abord obturer quelques puits d'émails et reconstituer qq dents donc c'est pas pour tout de suite.

à+ et merci!


bounette

06/09/2005 à 20h12

Me voilà donc de retour avec les photos du cas en question!

Je n'ai pas pu poster la photo préop car ayant oublié mon appareil photo le jour de la consult, je l'ai prise avec mon téléphone portable !!! si si c'est vrai ... mais je n'ai pas le cordon pour les transférer sur mon ordi ...
Toutefois je vous poste:
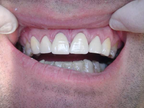
- Photo 3 des préparations de 11 12 13 avec les facettes provisoires de 21 22 23 en place.
J'ai réalisé les facettes prov moi-même par moulage d'un wax-up car le patient souhaitait voir ce que ça donnait si on comblait ses diastèmes. (résine coolsin de Pierre Rolland)
- Photo 2 des facettes prov du haut toutes en place
- Photo 1 du cas final: facettes définitives du haut et du bas scéllées au panavia

On a fait un petit blanchiment des prémo et surtout une gouttiere car avait tendance à bruxer la nuit ...
C'est une contre-indication des facettes , je sais , mais patient trés motivé pour gouttière+ facettes et j'ai fait un réglage hyper précis de l'occlusion dans tous les sens ... je croise les doigts mais ça devrait tenir ...

Voilà! Patient trés trés content car n'avait pas souri depuis 30 ans !

Si vous avez des questions ou des remarques (pas méchantes hein?)...n'hésitez pas!

à+ ;)

Facettes 1 27 07 2005 21 33 42 vnv439 - Eugenol
Facettes 2 06 07 2005 23 53 07 l4zjhe - Eugenol
Facettes 3 06 07 2005 23 17 08 nptg3w - Eugenol

Image19 iebot6 - Eugenol
athos

06/09/2005 à 21h07

le resultat final est tres joli Bounette, ton patient devait etre content, c'est un travail agréable a regarder

as tu fais quelque chose sur les incisives mandibulaires?


Grueavatar nptrc9 - Eugenol
Le Choixpeau magique

06/09/2005 à 22h10

Question de béotien: les facettes provisoires, elles sont scellées comment ?


bounette

07/09/2005 à 00h54

Alors les provisoires ... ça a été toute une histoire ...
Je les avais d'abord scéllées avec du tempocem (dexter) mais ça n'a pas tenu ... puis j'ai essayé avec du crown and bridge ...idem donc j'ai fini par scéller avec du ketac-cem ... et ça a été !
Le problème est venu de la dépose qui a du être faite avec ultrasons et sous anesth locale.Mais on fait pas d'omelettes sans casser des boeufs euhhhhhhhhhh des oeufs............

A part ça, je ne suis pas mécontente de mon travail... surtout pour une première fois !

à+


Images qct94b - Eugenol
themumbly

07/09/2005 à 16h44

Trés joli, tu as scellé avec quoi finalement???


Avatar ow44t3 - Eugenol
Chicot

08/09/2005 à 00h25

Joli cas, et encore un patient rendu heureux par "un cochon de dentiste" comme on a pu nous appelé autrefois....

bravo bounette


bounette

08/09/2005 à 17h54

Merci merci ...
Alors pour répondre à vos questions :
J'ai fait facettes céram de canine à canine en haut et en bas, scellées au panavia.

à+ ;)


Squash u44zd8 - Eugenol
steph

08/09/2005 à 22h52

Très sympa comme boulot, tu peux nous montrer des photos?
Je voudrais voir le résultat final, est-ce suffisant pour masquer les colorations?


Image19 iebot6 - Eugenol
athos

08/09/2005 à 23h22

bin Setph? c'est deja fait, tu suis pas Steph, tu suis pas...
tsss...3post en occluso stp.


bounette

09/09/2005 à 22h17

Steph j'ai déjà mis des photos plus haut!
Je t'en remets une du le résultat final.
Les facettes étaient épaisses donc aucun problème de teinte.
Nous avons volontairement choisi une teinte pas trop claire pour ne pas trancher avec les prémo qui sont restée foncées malgré le blanchiment.

à+ ;)


bounette

09/09/2005 à 22h18

encore raté!
voilà je la remets!

Facettes 1 27 07 2005 21 33 42 w3dgi6 - Eugenol

Image19 iebot6 - Eugenol
athos

09/09/2005 à 22h22

tu crois que Steph y va la voir?:)


Squash u44zd8 - Eugenol
steph

09/09/2005 à 23h32

C'est quoi cette allusion?
Bien sûr que je l'ai vu la photo.
Bounette, ce que j'aime sur ta photoc'est le ....flou, ça me rassure je suis pas le seul.
Blague à part ta gencive est très belle, bon signe pour l'avenir et effectivement pas de colorations au travers des facettes, bravo.


12